医影在线

标题: CT24817:上唇肿块(有病理结果)! [打印本页]

作者: LIAOQIANG    时间: 2010-3-3 17:44
标题: CT24817:上唇肿块(有病理结果)!
(结果公布:http://www.radida.com/bbs/forum.php?mod=viewthread&tid=63446
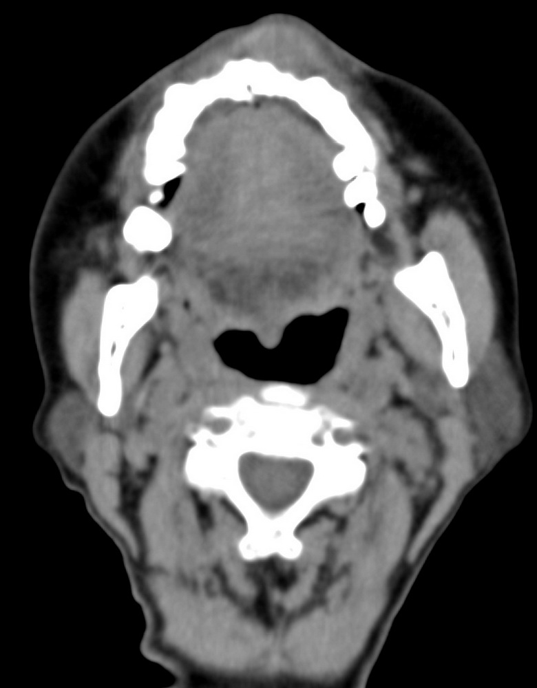
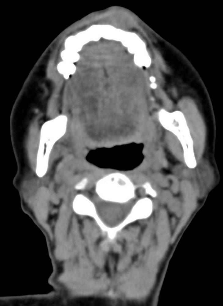
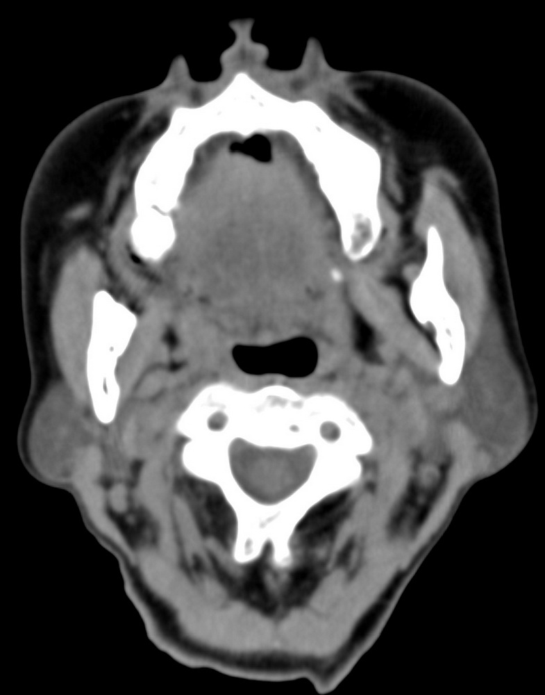
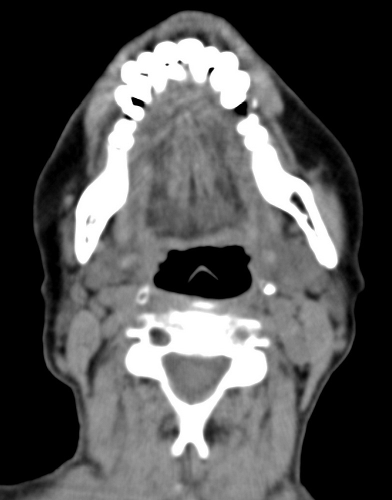
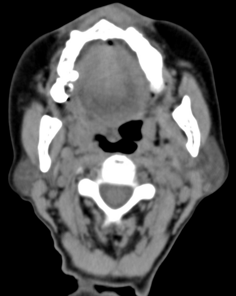
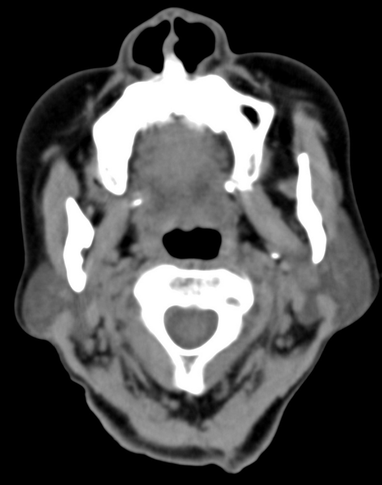
女,68岁。发现上唇无痛性肿块2年多,查体局部皮肤隆起,其余未见异常。
病灶ct值约42hu。

















[本贴已被 jiajie 于 2010-3-8 21:21:24 修改过]

作者: 深泽交通    时间: 2010-3-3 17:52
考虑纤维瘤
作者: zxl51642    时间: 2010-3-3 18:33
无特征性,但最常见纤维瘤、表皮样囊肿等。
作者: 随光逐影    时间: 2010-3-4 00:18
考虑左侧鼻唇部囊肿。
作者: 黑白光影    时间: 2010-3-4 00:22
标题: 回复:上唇肿块(有病理结果)!
以下是引用zxl51642在2010-3-3 10:33:00的发言:[br]无特征性,但最常见纤维瘤、表皮样囊肿等。

作者: LIAOQIANG    时间: 2010-3-8 16:58
病理结果:唾液腺混合瘤。
作者: 随光逐影    时间: 2010-3-8 18:06
标题: 回复:ct24817:上唇肿块(有病理结果)!
以下是引用liaoqiang在2010-3-8 8:58:00的发言:[br]病理结果:唾液腺混合瘤。[br]


——感谢楼主反馈术后病理结果,学习了。
作者: 拾荒者    时间: 2010-3-9 04:42
感谢楼主反馈结果!结合结果考虑应该是小唾液腺。
作者: 37度    时间: 2010-3-9 18:24
第一次。
作者: 当兵的    时间: 2010-3-9 21:03
病理结果:唾液腺混合瘤.片子不是很清晰,
作者: ct诊断高手    时间: 2010-3-9 23:06
感谢楼主反馈结果!
作者: 影像孺子牛    时间: 2010-3-10 06:17
感谢楼主反馈术后病理结果,学习了
作者: dhlyq    时间: 2010-3-10 08:35
感谢楼主反馈术后病理结果,学习了
作者: shuiyuan    时间: 2010-3-17 04:25
唾液腺混合瘤!学习了!
作者: dsl555    时间: 2010-3-17 05:51
感谢楼主反馈术后病理结果,学习了。
作者: 徐昊    时间: 2010-3-17 08:44
感谢楼主反馈结果!
作者: 0o80o0    时间: 2010-3-17 20:25
学习了 谢谢
作者: 泪洒红尘    时间: 2010-3-18 04:57
感谢楼主反馈结果!病理结果:唾液腺混合瘤。
作者: pujunzhi    时间: 2010-3-18 05:45
上唇唾液腺混合瘤,罕见!学习了!
作者: hhhhhh6    时间: 2010-3-20 02:41
看病理了,没想到啊
作者: 吴医师    时间: 2010-5-24 19:54
学习了 谢谢




欢迎光临 医影在线 (http://bbs.radida.com/bbs/) Powered by Discuz! X3.2