医影在线
标题: CT24821:女性,70岁 [打印本页]
作者: 网事随风 时间: 2010-3-3 19:02
标题: CT24821:女性,70岁
(结果公布:http://www.radida.com/bbs/forum.php?mod=viewthread&tid=63447)
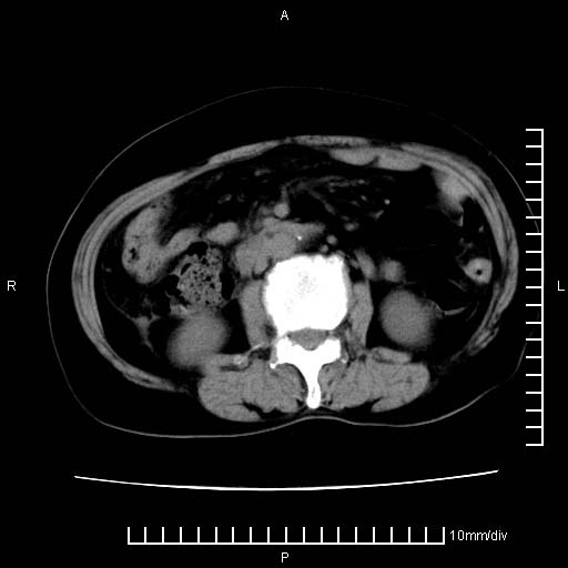
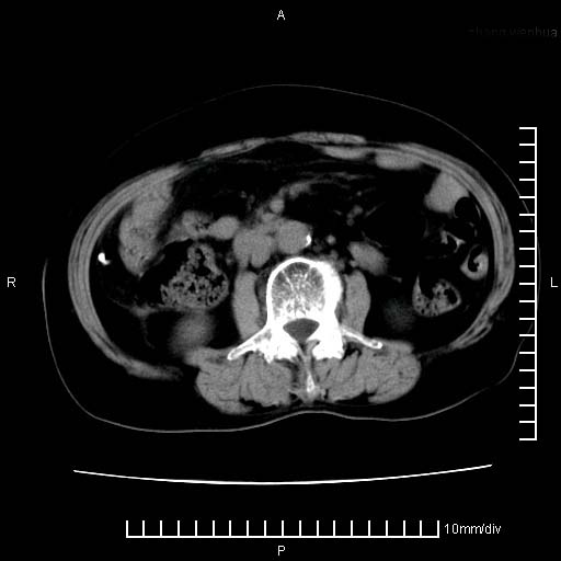
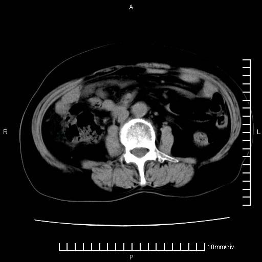
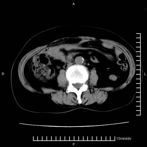
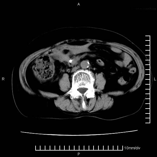
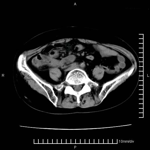
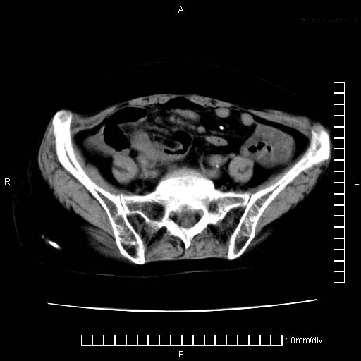
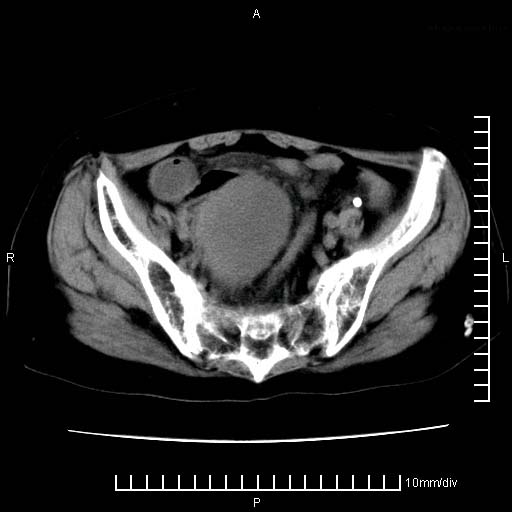
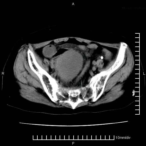
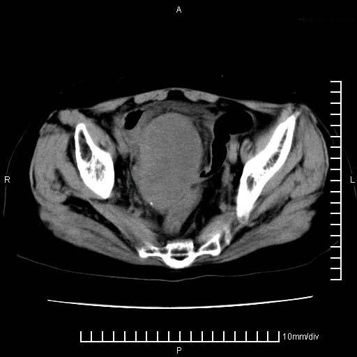
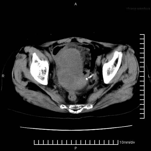
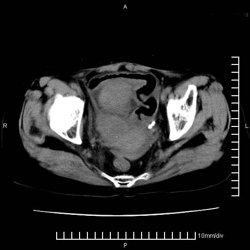
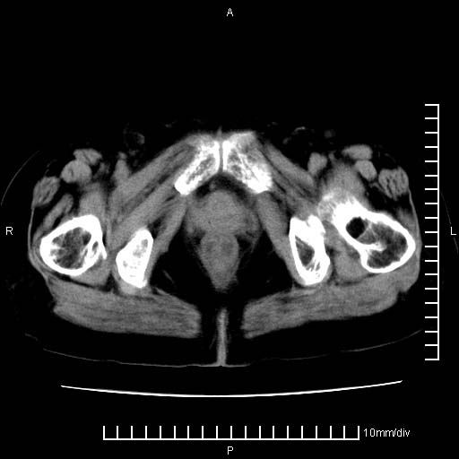
下腹疼痛2月,加重并呕吐2天,下腹压痛,反跳痛。白细胞1万2.
[img][/img]






















[本贴已被 jiajie 于 2010-3-3 19:51:05 修改过]
[本贴已被 jiajie 于 2010-3-10 18:34:37 修改过]
作者: winter 时间: 2010-3-3 19:38
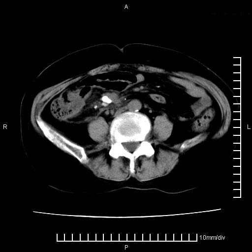
下腹至盆腔较大包块,与邻近肠管关系密切,下腹疼痛2月,加重并呕吐2天,下腹压痛,反跳痛。白细胞1万2.
由于没有做肠道准备很难分清是哪根肠管,但看位置考虑为升结肠回盲部的问题,我首先考虑化脓性阑尾炎,不除外结肠癌合并感染化脓。建议做增强进一步明确。
作者: winter 时间: 2010-3-3 19:41
补充:道格拉斯腔内有积液,且密度较高,显然提示有感染。
作者: zxl51642 时间: 2010-3-3 20:10
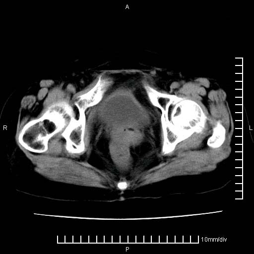
支持楼上意见:考虑回盲部慢性炎症,并包裹积脓肿。
作者: 子期 时间: 2010-3-3 21:44
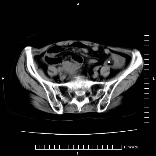
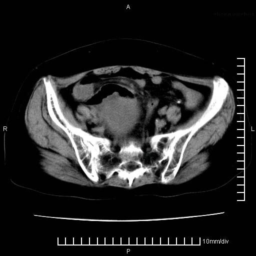
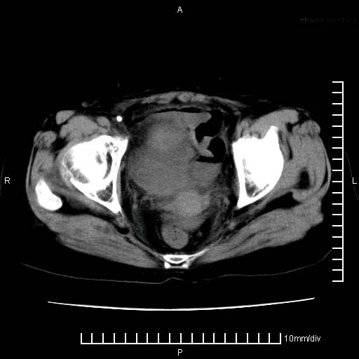
考虑右侧卵巢囊肿伴感染可能性大。
作者: 深泽交通 时间: 2010-3-3 22:40
附件实性肿块有坏死 考虑卵巢癌
作者: zjzjr 时间: 2010-3-3 22:49
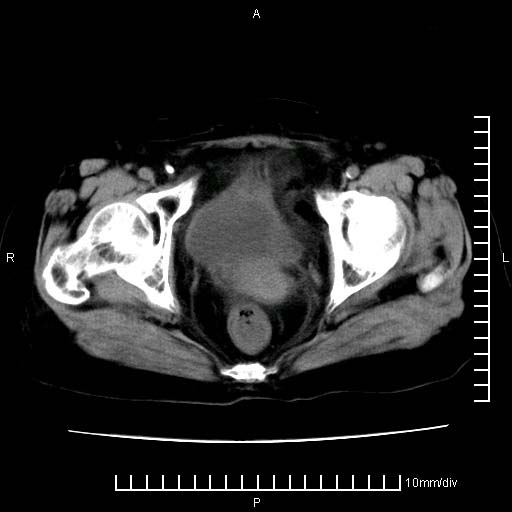
盆腔脓肿伴盆腔积液
作者: 卜一 时间: 2010-3-3 23:35
来源于附件占位—多考虑:卵巢癌!
作者: 同 时间: 2010-3-3 23:54
盆腔脓肿伴积液可能性大。
作者: yangyudong333 时间: 2010-3-4 00:09
盆腔脓肿伴积液可能性大。
作者: xclzq_910 时间: 2010-3-4 00:14
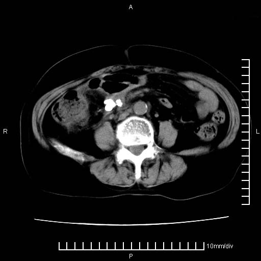
不知道大家可要注意下腹腔小肠旁不规则结节状灶,部分钙化,是否要考虑小肠腺癌.盆腔包块可能考虑脓肿.
作者: 侠女 时间: 2010-3-4 00:21
支持楼上
作者: 随光逐影 时间: 2010-3-4 00:41
考虑卵巢恶性肿瘤;盆腔积液。
作者: yuhongjun 时间: 2010-3-4 15:08
盆腔脓肿伴盆腔积液 。
作者: 黑白光影 时间: 2010-3-4 23:38
来源于附件占位—多考虑:卵巢癌
作者: hhhhhh6 时间: 2010-3-8 20:11
标题: 回复:ct24821:女性,70岁
以下是引用黑白光影在2010-3-4 15:38:00的发言:[br]来源于附件占位—多考虑:卵巢癌
有病理了,楼上的哥们你说对了
作者: 37度 时间: 2010-3-9 17:26
标题: 回复:ct24821:女性,70岁
以下是引用黑白光影在2010-3-4 15:38:00的发言:[br]来源于附件占位—多考虑:卵巢癌
作者: 影像孺子牛 时间: 2010-3-10 06:21
感谢楼主反馈术后病理结果,学习了
作者: pujunzhi 时间: 2010-3-11 06:18
感谢楼主反馈术后病理结果(卵巢癌),学习了!
作者: ct诊断高手 时间: 2010-3-11 07:50
感谢楼主反馈术后病理结果(卵巢癌),学习了!
作者: dhlyq 时间: 2010-3-11 22:26
感谢楼主反馈术后病理结果(卵巢癌),学习了
作者: 泪洒红尘 时间: 2010-3-18 04:54
感谢楼主反馈术后病理结果,学习了
作者: 吴医师 时间: 2010-5-24 20:08
感谢楼主反馈术后病理结果,学习了
| 欢迎光临 医影在线 (http://bbs.radida.com/bbs/) |
Powered by Discuz! X3.2 |