医影在线
标题: CT24862:男,61岁,发热,有脑出血病史。 [打印本页]
作者: 2008奥运 时间: 2010-3-4 21:07
标题: CT24862:男,61岁,发热,有脑出血病史。
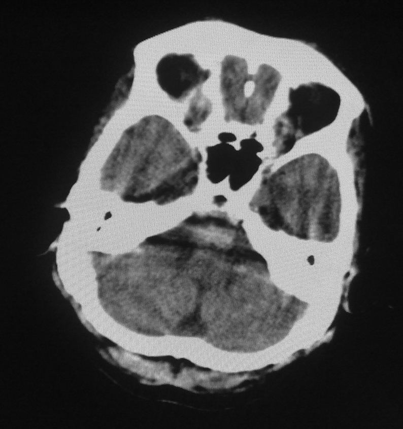
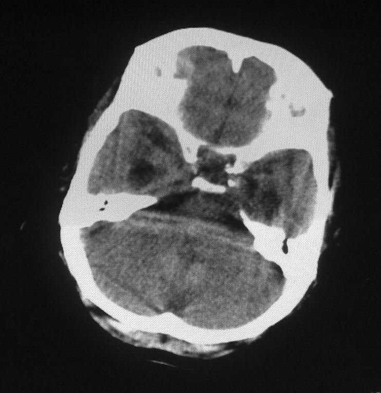
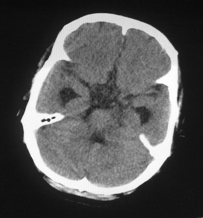
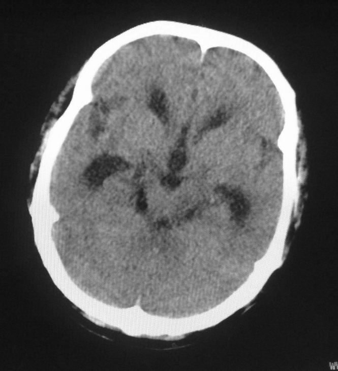
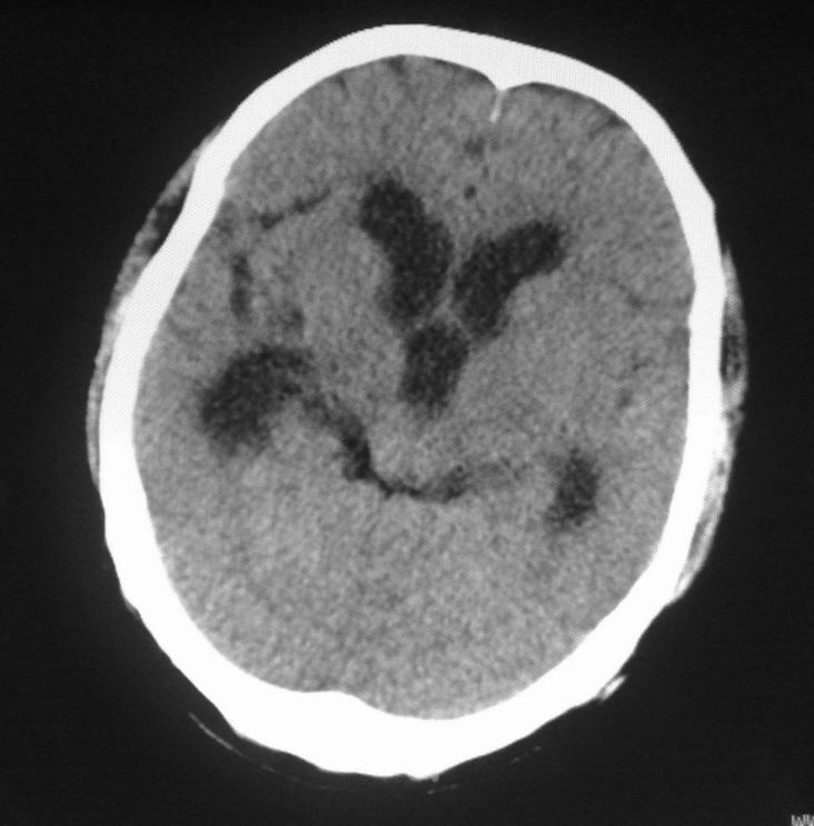
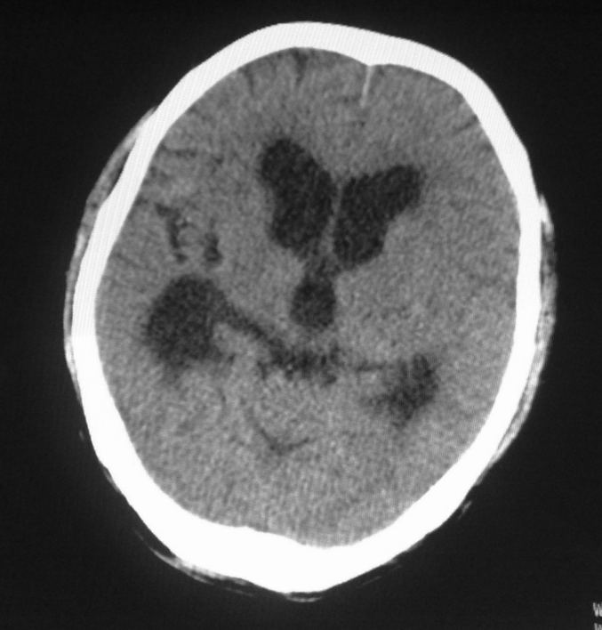
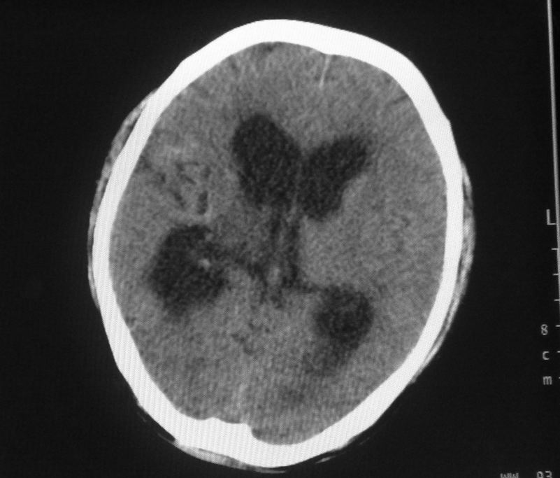
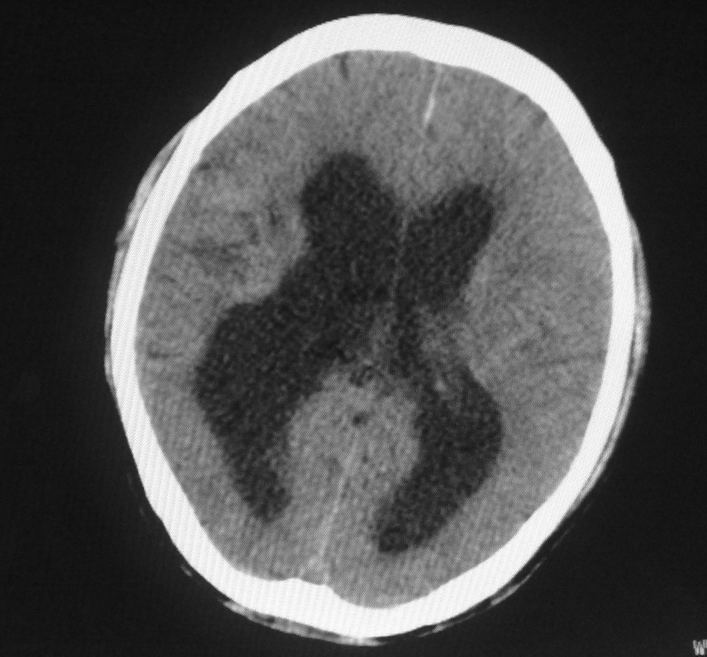
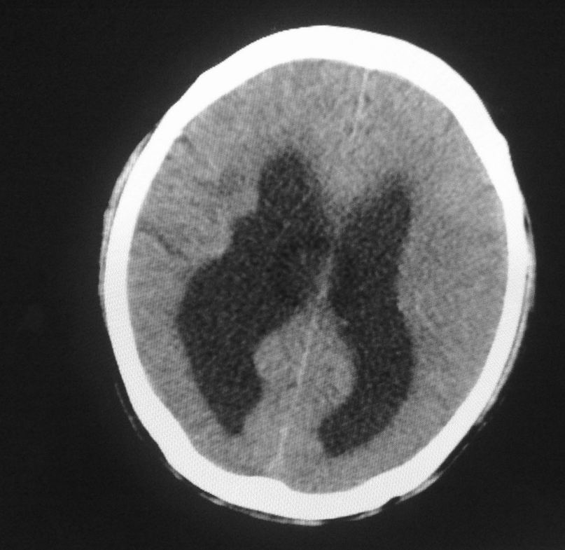
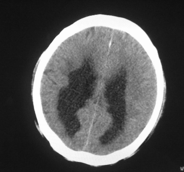
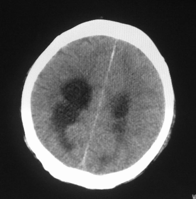
男,61岁,发热,有脑出血病史。













[本贴已被 2008奥运 于 2010-3-4 13:07:01 修改过]
[本贴已被 jiajie 于 2010-3-4 18:34:36 修改过]
作者: yangyudong333 时间: 2010-3-4 21:25
右侧基底节,放射冠软化灶,胼胝体发育不良 脑积水原因待查。
作者: 天堂鸟 时间: 2010-3-4 21:31
支持,建议mri检查。
作者: 深泽交通 时间: 2010-3-4 21:59
脑积水【脑室血块阻塞?】
作者: 卜一 时间: 2010-3-4 23:06
脑积水!四脑室显示不清,导水管梗阻?建议mri!
作者: zxl51642 时间: 2010-3-4 23:16
右侧基底节及放射冠软化灶,脑积水,四脑室显示不清,导水管梗阻?建议mri!
作者: jiahui7z 时间: 2010-3-5 01:57
标题: 回复:头部
以下是引用yangyudong333在2010-3-4 13:25:00的发言:[br]右侧基底节,放射冠软化灶,胼胝体发育不良 脑积水原因待查。
作者: liangshusheng 时间: 2010-3-5 02:18
梗阻性脑积水,出血后粘连所致
作者: 随光逐影 时间: 2010-3-5 16:40
1)右侧基底节区、右侧放射冠及右侧丘脑软化灶。2)脑积水。
作者: 黑白光影 时间: 2010-3-6 05:49
支持二楼
作者: pzj 时间: 2010-3-6 05:54
梗阻性脑积水,出血后粘连所致
| 欢迎光临 医影在线 (http://bbs.radida.com/bbs/) |
Powered by Discuz! X3.2 |