医影在线

标题: CT24879:腹直肌病变。在线等。 [打印本页]

作者: 应将    时间: 2010-3-5 17:28
标题: CT24879:腹直肌病变。在线等。
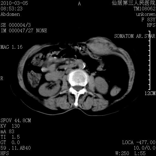
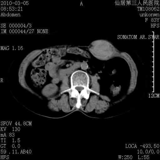
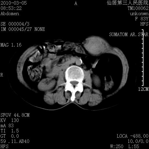
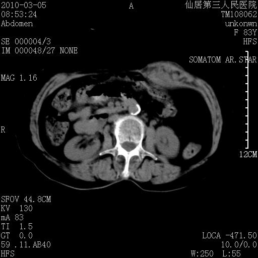
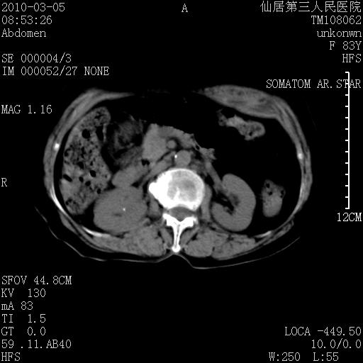
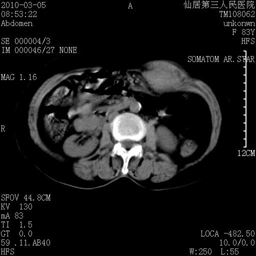
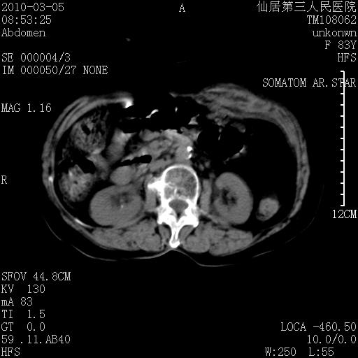
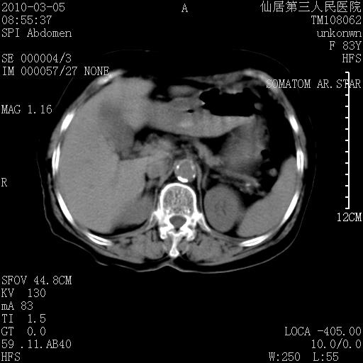
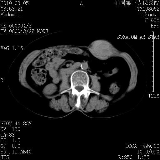
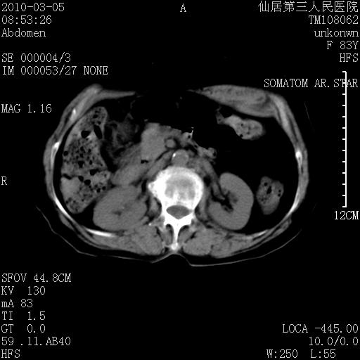
女性,83y,腹痛一周。

































[本贴已被 jiajie 于 2010-3-6 8:03:25 修改过]

作者: 还珠格格    时间: 2010-3-5 17:35
考虑:左侧腹直肌神经纤维瘤可能
作者: 卜一    时间: 2010-3-5 18:09
神经纤维瘤—支持!
作者: 健力宝    时间: 2010-3-5 18:19
神经纤维瘤—伴有出血?
作者: zjzjr    时间: 2010-3-5 18:21
有无外伤,血肿或韧带样瘤
作者: 随光逐影    时间: 2010-3-5 18:37
考虑左侧腹直肌血肿,肿瘤性病变待排。
作者: zxl51642    时间: 2010-3-5 18:46
增强看看,mfh可能性大,次之可考虑血肿、bfh、转移瘤、神经纤维瘤、侵袭性韧带样纤维瘤等。肝内钙化灶,右肾结石。
作者: 子期    时间: 2010-3-5 18:52
支持血肿
作者: yuhongjun    时间: 2010-3-5 18:58
考虑左侧腹直肌血肿,肿瘤性病变待排。
作者: 深泽交通    时间: 2010-3-5 19:08
支持腹壁纤维肉瘤
作者: 黑白光影    时间: 2010-3-6 06:45
标题: 回复:腹直肌病变。在线等。
以下是引用zxl51642在2010-3-5 10:46:00的发言:[br]增强看看,mfh可能性大,次之可考虑血肿、bfh、转移瘤、神经纤维瘤、侵袭性韧带样纤维瘤等。肝内钙化灶,右肾结石。

作者: lffw    时间: 2010-3-6 06:51
支持腹壁纤维肉瘤
作者: dhlyq    时间: 2010-3-6 06:56
神经纤维瘤—支持
作者: yangyudong333    时间: 2010-3-6 13:30
血肿,纤维瘤,子宫内膜异位都有可能。




欢迎光临 医影在线 (http://bbs.radida.com/bbs/) Powered by Discuz! X3.2