医影在线

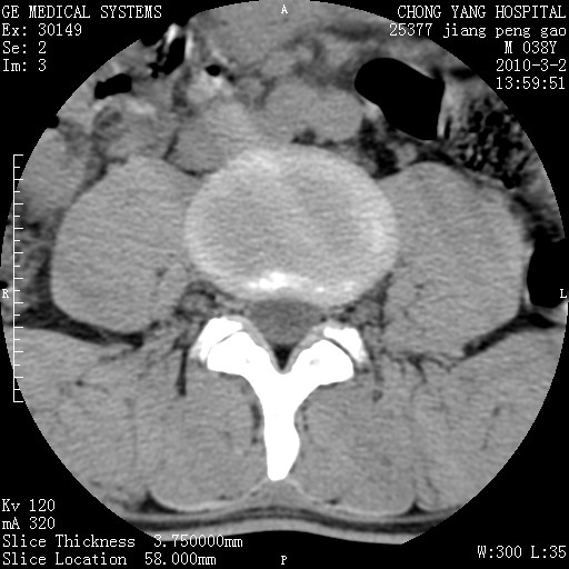
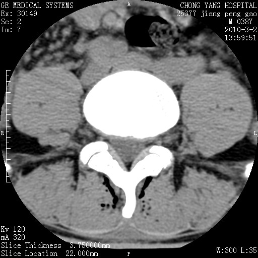
标题: CT24887:M38Y 反复腰痛 无外伤史 未做针灸 竖脊肌为何积气 [打印本页]

作者: 37度    时间: 2010-3-5 20:31
标题: CT24887:M38Y 反复腰痛 无外伤史 未做针灸 竖脊肌为何积气



















[本贴已被 jiajie 于 2010-3-6 8:14:24 修改过]

作者: yxhymx    时间: 2010-3-5 20:58
腰部扭伤?
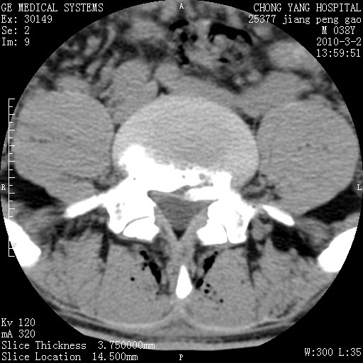
作者: sunbin    时间: 2010-3-5 22:13
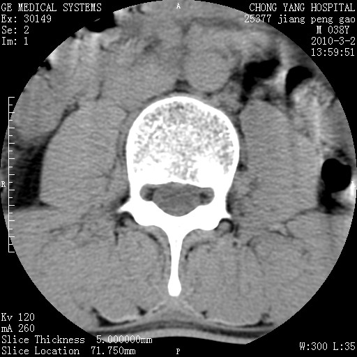
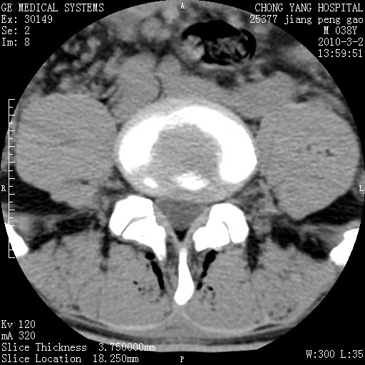
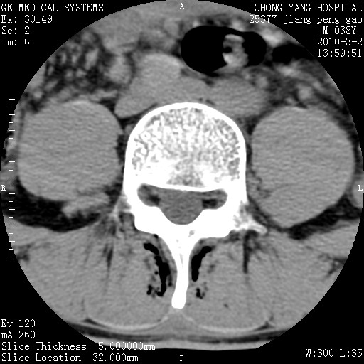
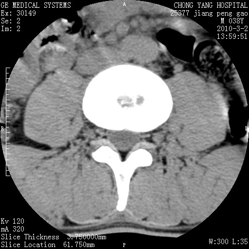
软组织积气,考虑感染性病变。
作者: zxl51642    时间: 2010-3-5 22:41
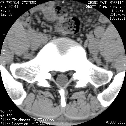
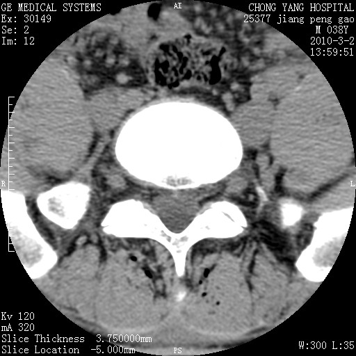
退变,轻度增生/间盘膨出、l5椎后缘软骨结节。
肌间隙积气过多也为退变表现。
作者: 同    时间: 2010-3-5 22:45
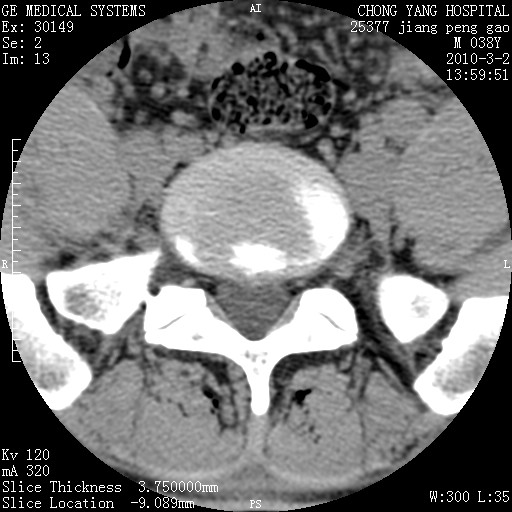
椎间盘突出,软组织积气。
作者: 随光逐影    时间: 2010-3-5 22:57
支持4楼意见。
作者: zjzjr    时间: 2010-3-5 23:36
退变,轻度增生/间盘膨出、l5椎后缘软骨结节。
肌间隙积气过多也为退变表现。
作者: 卜一    时间: 2010-3-6 01:59
退变,轻度增生/间盘膨出、l5椎后缘软骨结节。
肌间隙积气过多也为退变表现。支持!
作者: 黑白光影    时间: 2010-3-6 07:00
标题: 回复:m38y 反复腰痛 无外伤史 未做针灸 竖脊肌为何积气
以下是引用zxl51642在2010-3-5 14:41:00的发言:[br]退变,轻度增生/间盘膨出、l5椎后缘软骨结节。[br]肌间隙积气过多也为退变表现。

作者: yangyudong333    时间: 2010-3-6 13:27
退变,轻度增生/间盘膨出、l5椎后缘软骨结节。
肌间隙积气过多也为退变表现。
作者: yuhongjun    时间: 2010-3-6 13:28
退变,轻度增生/间盘膨出、l5椎后缘软骨结节。
肌间隙积气过多也为退变表现。支持!




欢迎光临 医影在线 (http://bbs.radida.com/bbs/) Powered by Discuz! X3.2