医影在线

标题: CT24891:上腹部CT平扫 [打印本页]

作者: 同    时间: 2010-3-5 22:36
标题: CT24891:上腹部CT平扫
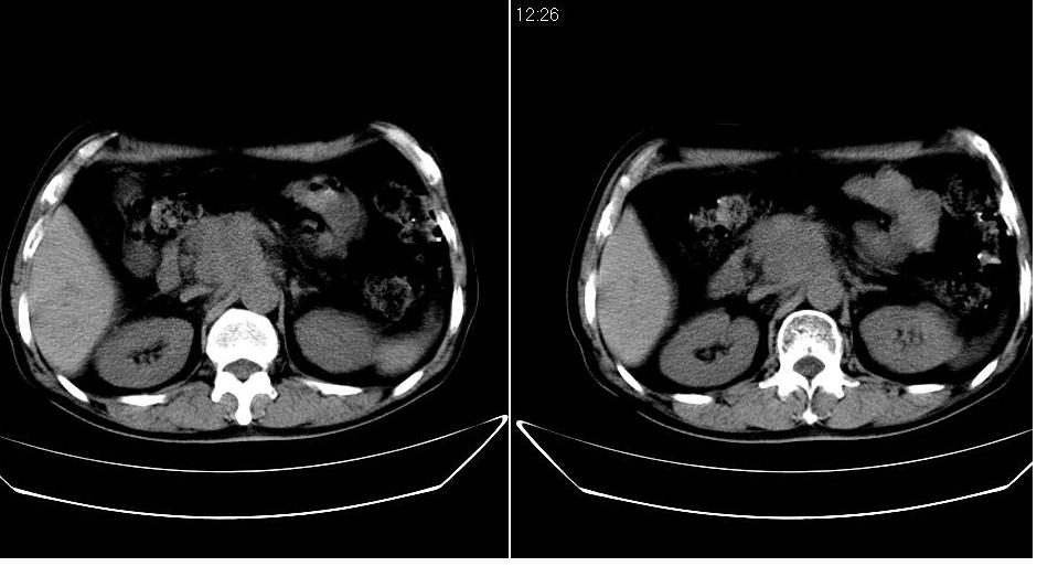
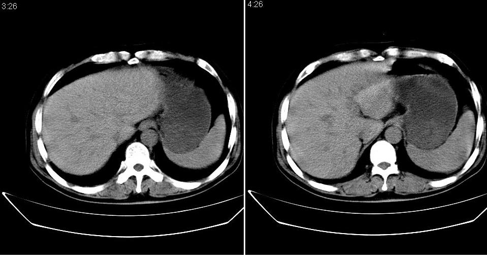
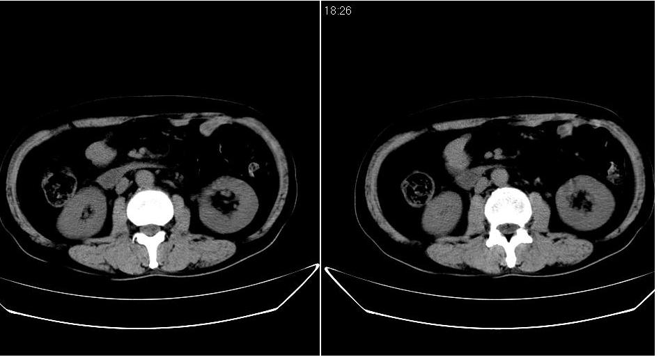
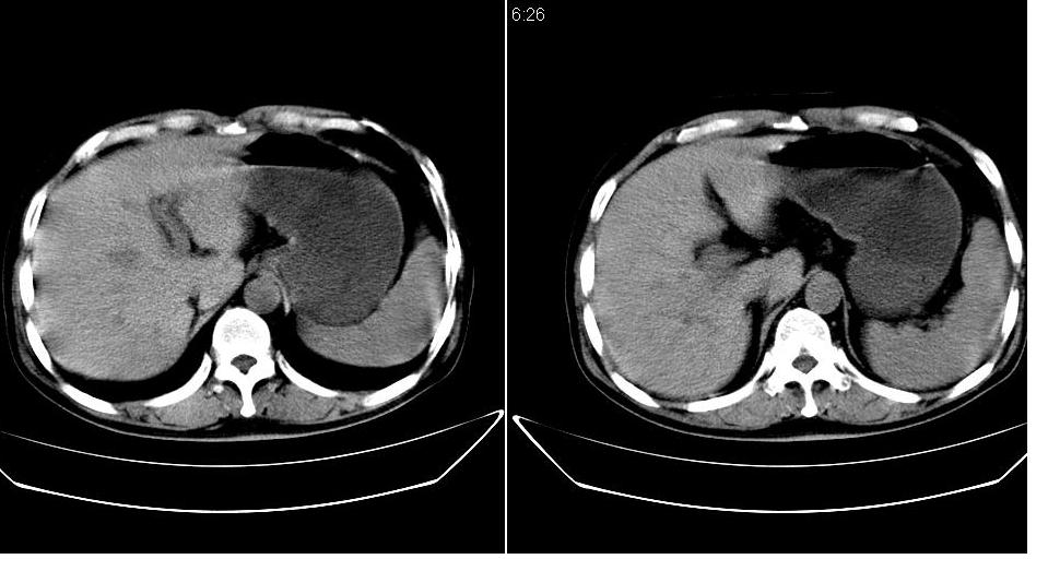
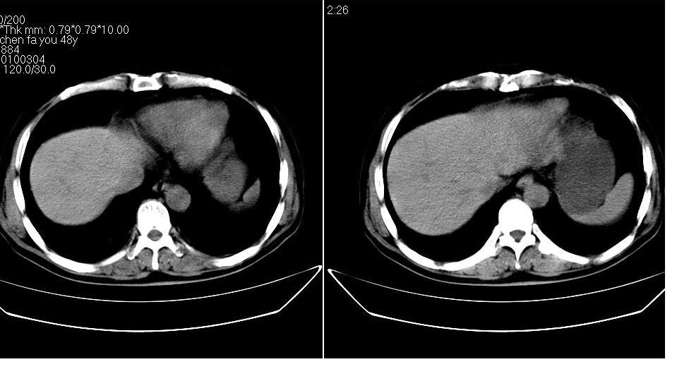
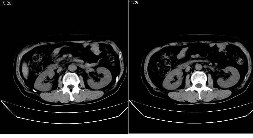
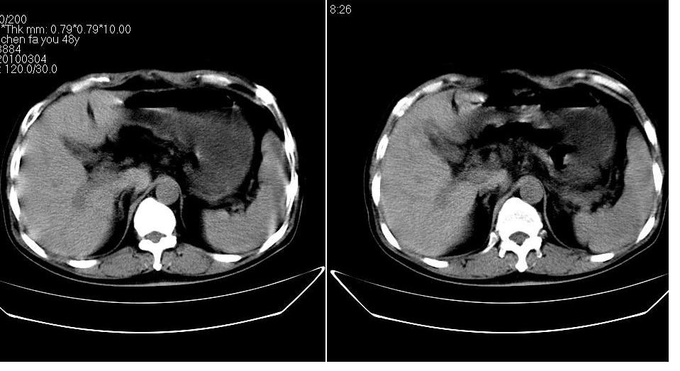
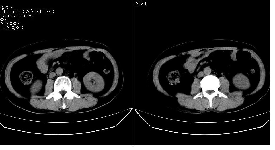
男 48岁,09年8月份在上级医院确诊胰头癌,准备在我院化疗。











[本贴已被 jiajie 于 2010-3-6 8:19:10 修改过]

作者: 随光逐影    时间: 2010-3-5 22:50
胰头癌可能性大;建议必要时行ct增强扫描检查。
作者: LIAOQIANG    时间: 2010-3-5 22:56
支持考虑胰头癌可能性。建议增强扫描。
作者: 深泽交通    时间: 2010-3-5 23:00
支持
作者: zxl51642    时间: 2010-3-5 23:02
支持考虑胰头癌可能性。建议增强扫描。
作者: xihan    时间: 2010-3-5 23:15
支持
作者: ct诊断高手    时间: 2010-3-5 23:22
支持
作者: zjzjr    时间: 2010-3-5 23:25
胰头癌可能,
作者: sgp    时间: 2010-3-5 23:42
胰头癌可能性大建议作增强
作者: dhlyq    时间: 2010-3-5 23:54
支持,建议增强
作者: 健力宝    时间: 2010-3-6 00:36
支持
作者: 科室第一人    时间: 2010-3-6 00:57
胰头体积增大内见低密度影考虑为占位,肿瘤性病变可能性大。
作者: sunbin    时间: 2010-3-6 01:39
胰头体积增大,外形不规则,密度欠均,支持胰头癌可能性大。
作者: 卜一    时间: 2010-3-6 01:39
支持:考虑胰头癌可能性。建议增强扫描。
作者: 泪洒红尘    时间: 2010-3-6 03:50
支持考虑胰头癌可能性。建议增强扫描。
作者: 黑白光影    时间: 2010-3-6 07:07
支持考虑胰头癌可能性。建议增强扫描。
作者: yuhongjun    时间: 2010-3-6 13:27
支持。




欢迎光临 医影在线 (http://bbs.radida.com/bbs/) Powered by Discuz! X3.2