医影在线

标题: CT24940:主动脉增强,典型病例。 [打印本页]

作者: 37度    时间: 2010-3-8 21:27
标题: CT24940:主动脉增强,典型病例。
































































































[本贴已被 jiajie 于 2010-3-8 21:52:38 修改过]

作者: yuhongjun    时间: 2010-3-8 21:30
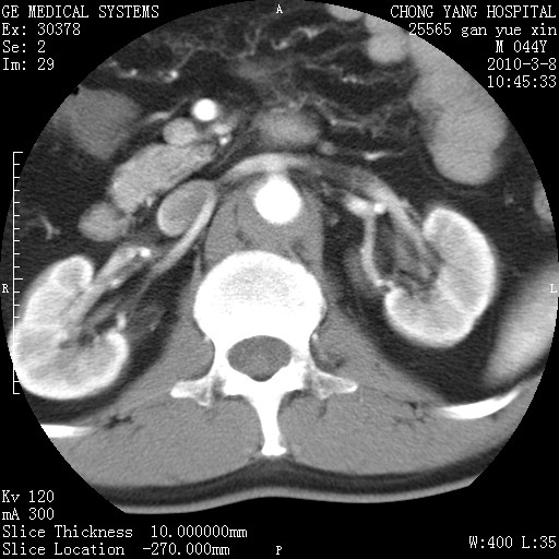
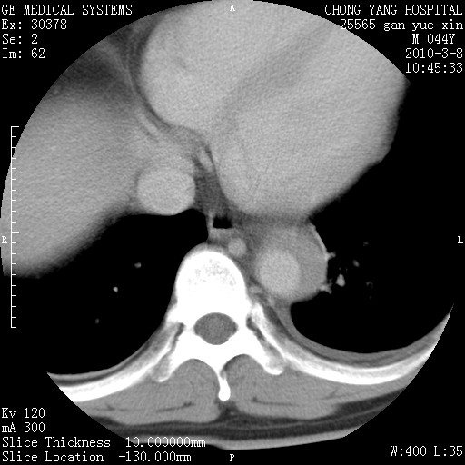
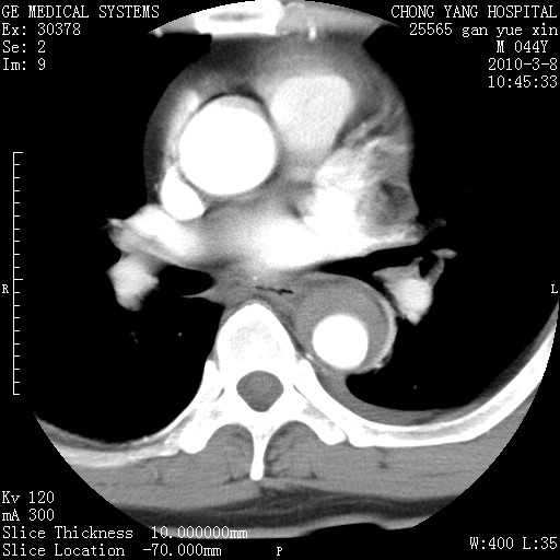
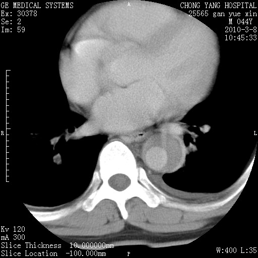
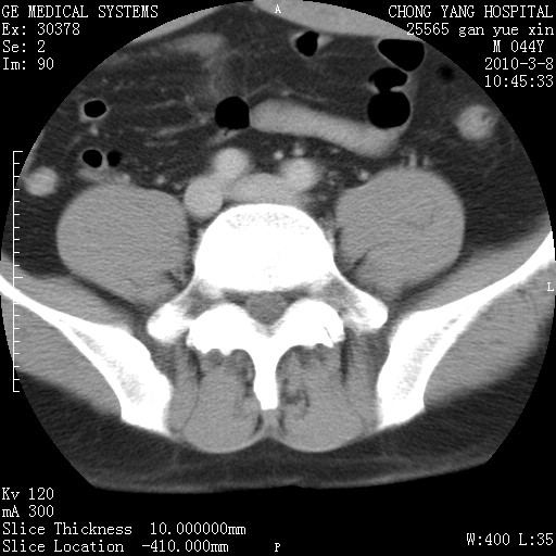
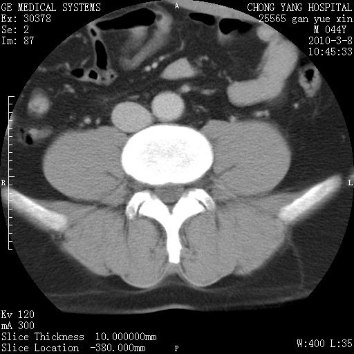
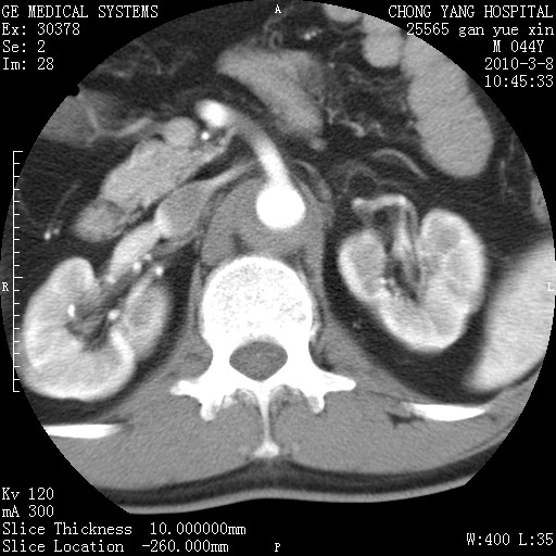
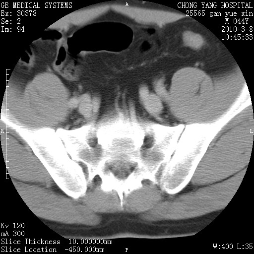
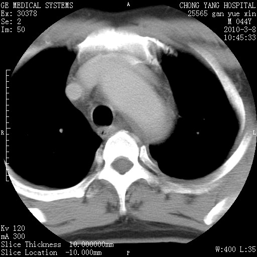
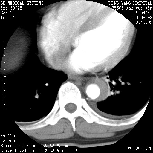
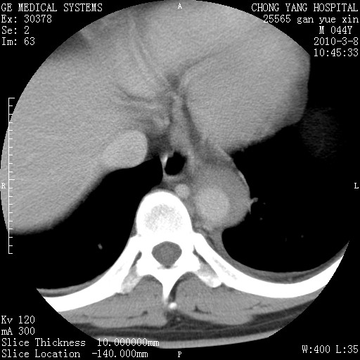
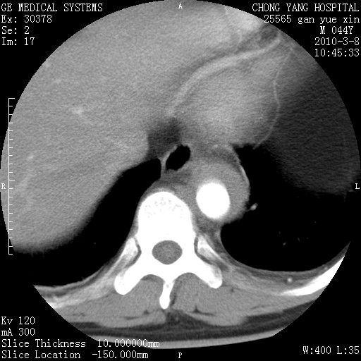
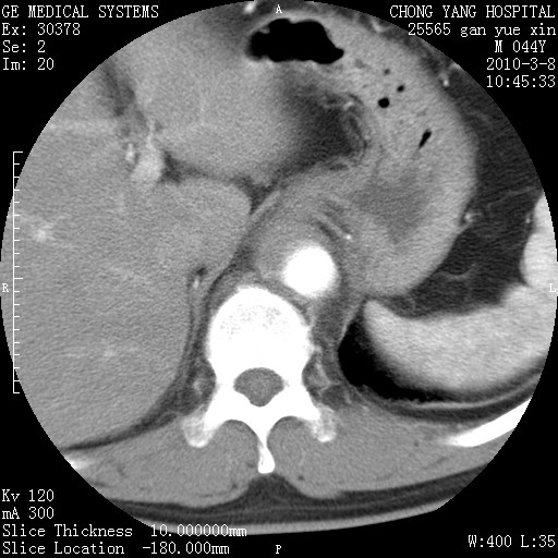
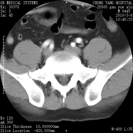
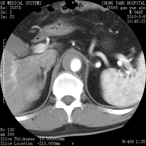
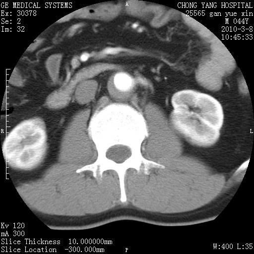
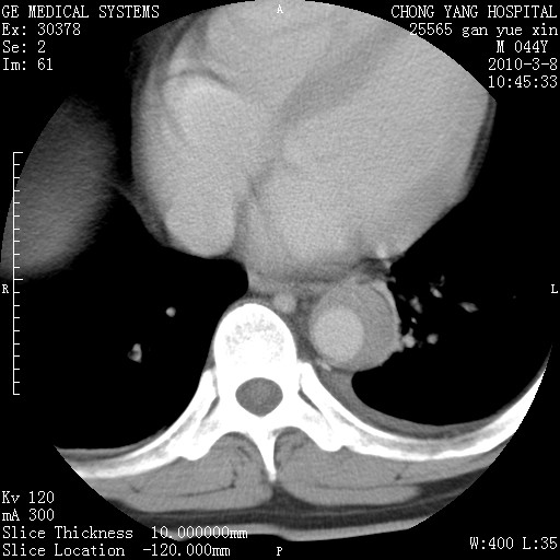
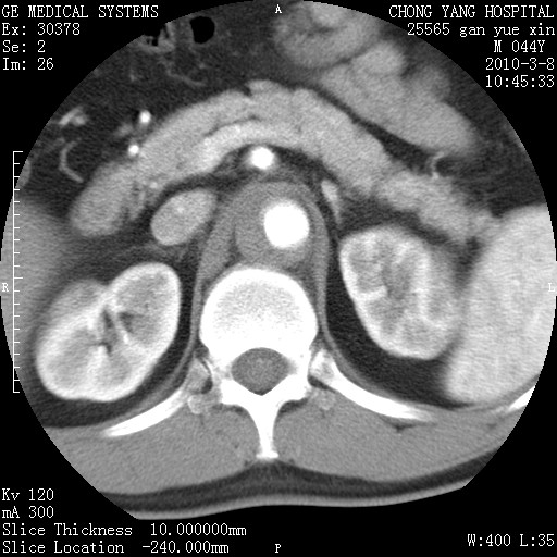
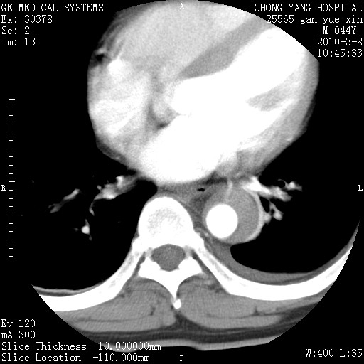
夹层动脉瘤。
作者: ct诊断高手    时间: 2010-3-8 21:41
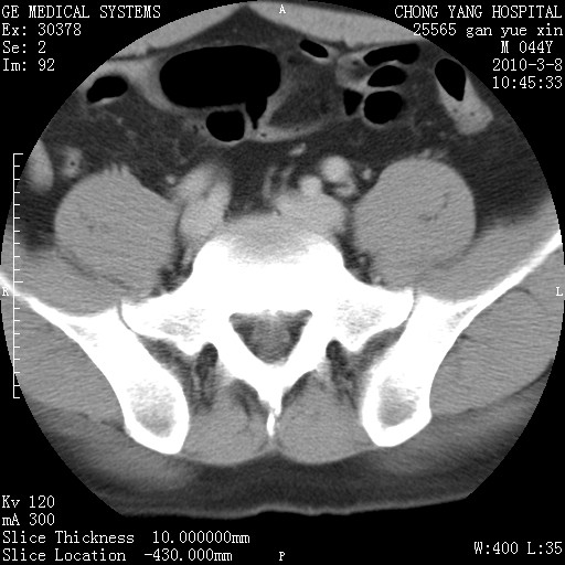
典型
作者: hhhhhh6    时间: 2010-3-8 22:15
动脉夹层
怎么没放典型病例里那走的慢,在这一会就没了
作者: yulanhua    时间: 2010-3-8 22:50
夹层动脉瘤,典型
作者: LIAOQIANG    时间: 2010-3-8 22:54
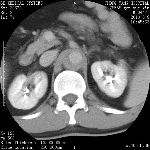
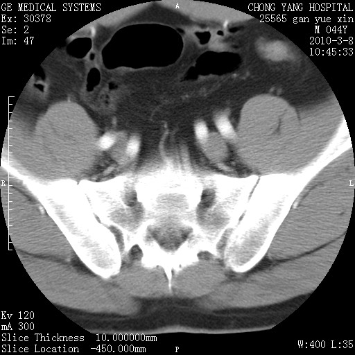
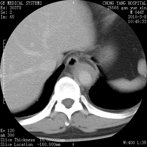
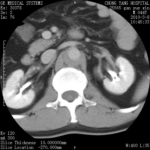
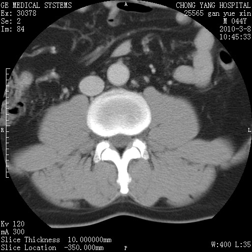
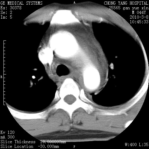
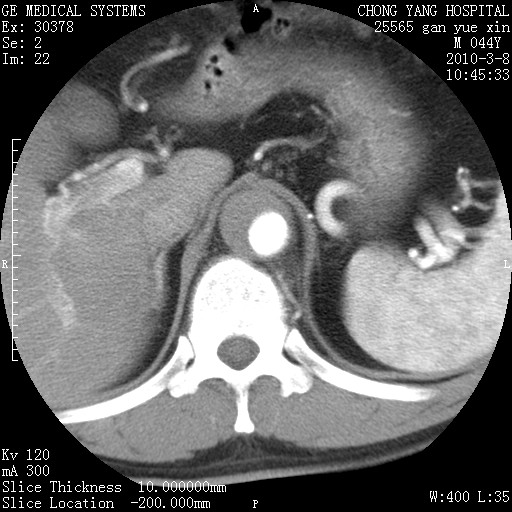
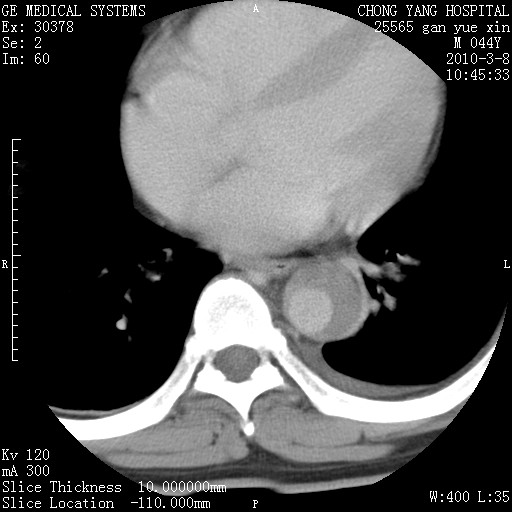
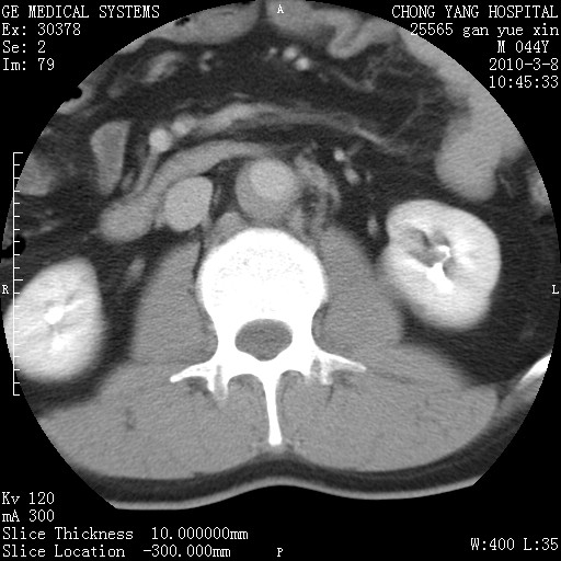
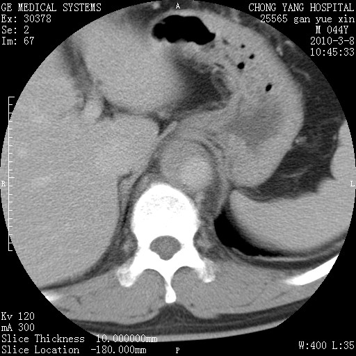
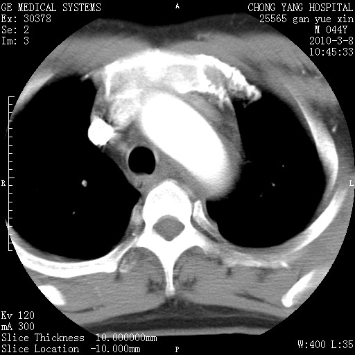
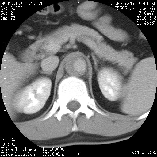
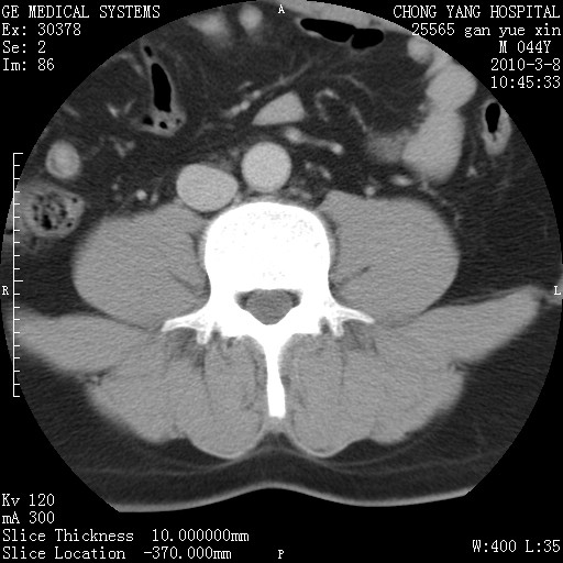
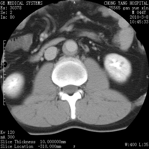
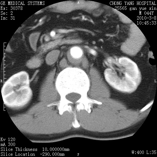
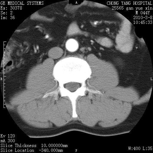
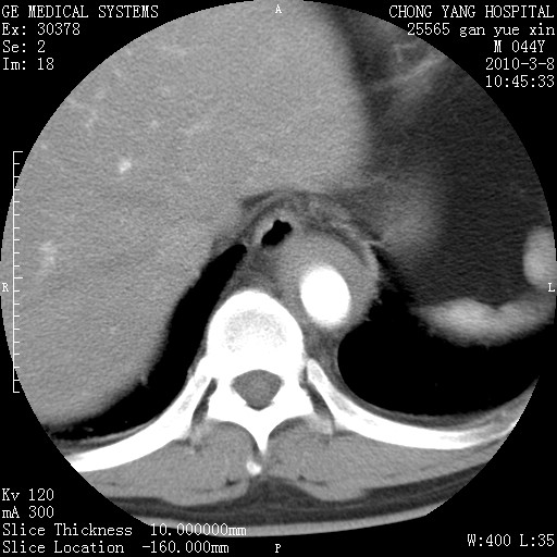
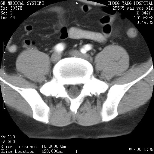
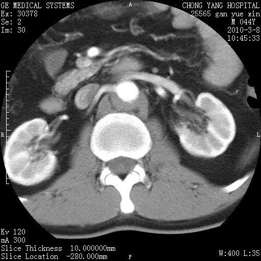
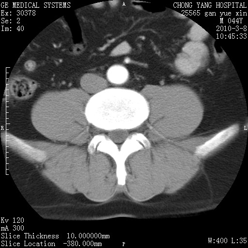
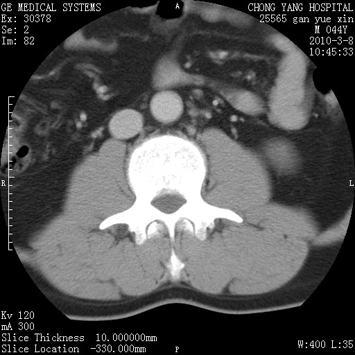
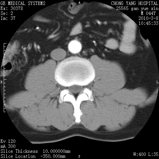
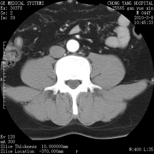
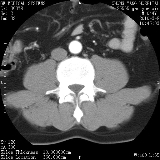
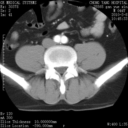
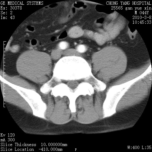
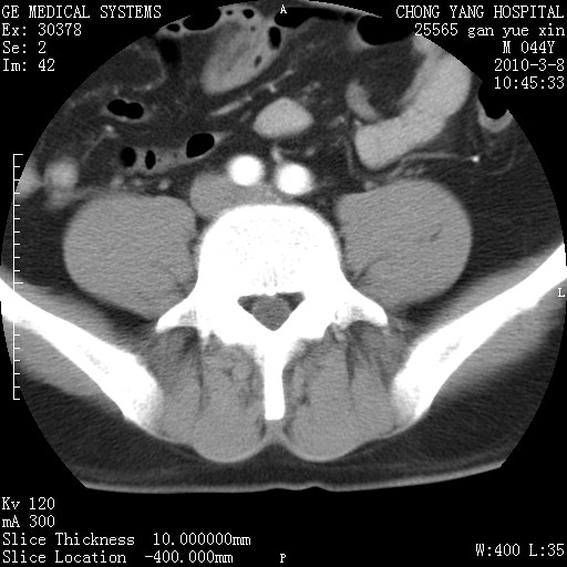
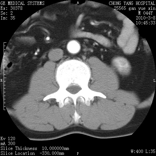
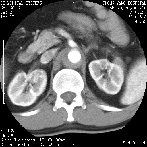
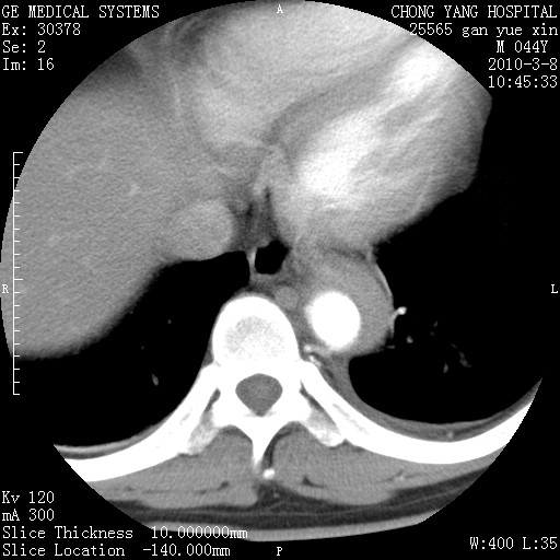
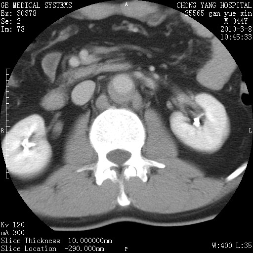
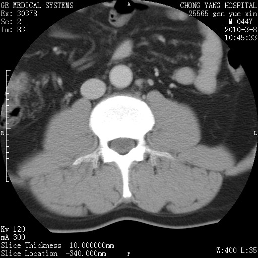
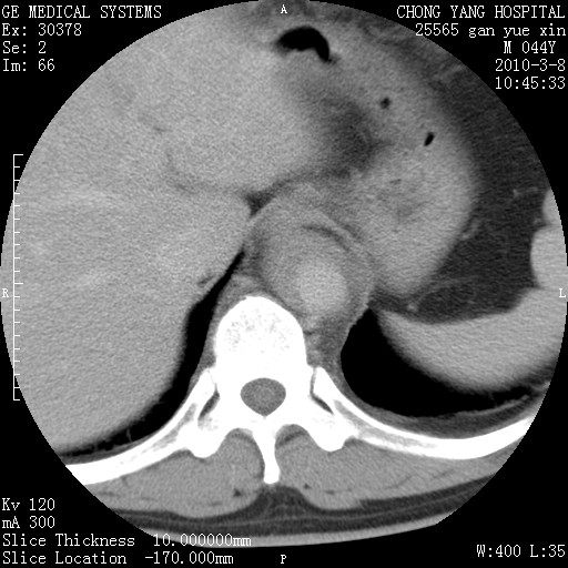
主动脉夹层。
动脉夹层的分型:
⒈debakey分型:根据主动脉夹层累及部位,分为三型:ⅰ型:原发破口位于升主动脉或主动脉弓部,夹层累及升主动脉、主动脉弓部、胸主动脉、腹主动脉大部或全部,少数可累及髂动脉。ⅱ型:原发破口位于升主动脉,夹层累及升主动脉,少数可累及部分主动脉弓。ⅲ型:原发破口位于左锁骨下动脉开口远端,根据夹层累及范围又分为ⅲa,ⅲb。ⅲa型:夹层累及胸主动脉。ⅲb型:夹层累及升主动脉、腹主动脉大部或全部。少数可累及髂动脉。
⒉stanford分型:a型:夹层累及升主动脉,无论远端范围如何。b型:夹层累及左锁骨下动脉开口以远的降主动脉。
作者: 深泽交通    时间: 2010-3-8 23:16
夹层
作者: zjzjr    时间: 2010-3-9 00:03
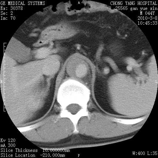
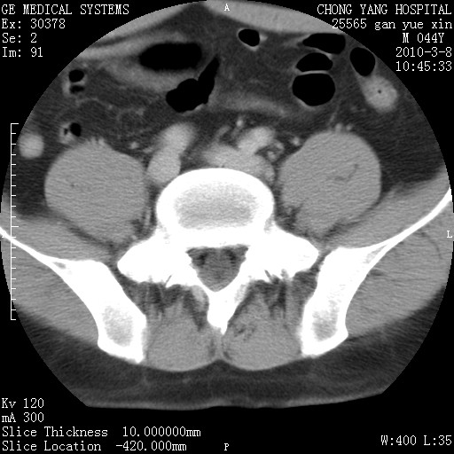
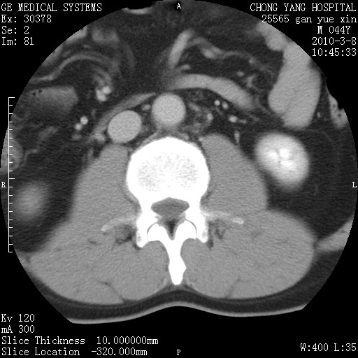
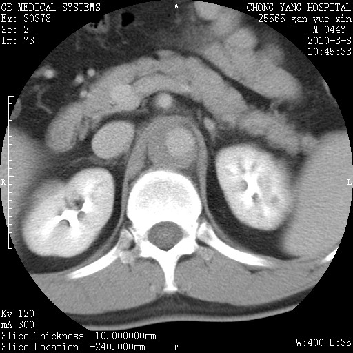
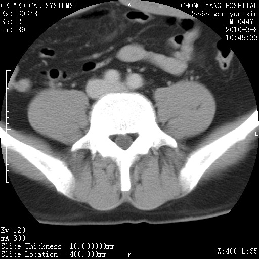
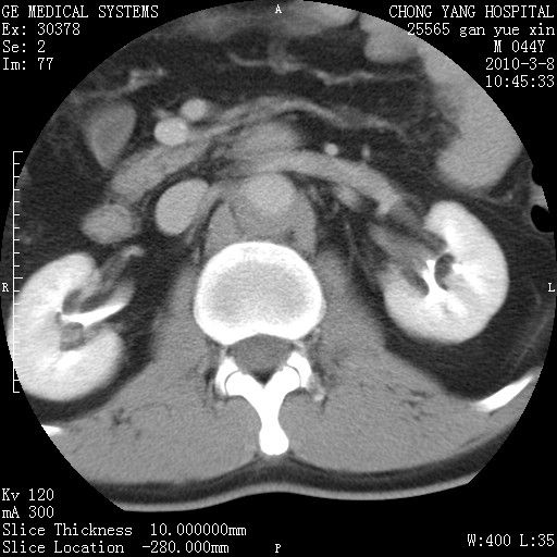
夹层动脉瘤,少量胸水
作者: zxl51642    时间: 2010-3-9 01:03
夹层动脉瘤,少量胸水
作者: 黑白光影    时间: 2010-3-9 07:21
典型
作者: dhlyq    时间: 2010-3-9 07:50
典型
作者: 随光逐影    时间: 2010-3-9 16:36
夹层动脉瘤;左侧少量胸腔积液。
作者: yangyudong333    时间: 2010-3-9 23:56
典型
作者: ghp3522    时间: 2010-10-10 20:33
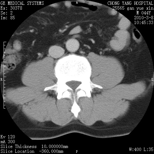
主动脉夹层。
动脉夹层的分型:
⒈debakey分型:根据主动脉夹层累及部位,分为三型:ⅰ型:原发破口位于升主动脉或主动脉弓部,夹层累及升主动脉、主动脉弓部、胸主动脉、腹主动脉大部或全部,少数可累及髂动脉。ⅱ型:原发破口位于升主动脉,夹层累及升主动脉,少数可累及部分主动脉弓。ⅲ型:原发破口位于左锁骨下动脉开口远端,根据夹层累及范围又分为ⅲa,ⅲb。ⅲa型:夹层累及胸主动脉。ⅲb型:夹层累及升主动脉、腹主动脉大部或全部。少数可累及髂动脉。
⒉stanford分型:a型:夹层累及升主动脉,无论远端范围如何。b型:夹层累及左锁骨下动脉开口以远的降主动脉。


典型。
作者: xiongneo    时间: 2010-10-11 06:45
学习
作者: yhb    时间: 2010-10-11 17:17
清晰好看
作者: 拾荒者    时间: 2010-10-14 04:03
典型主动脉夹层。
作者: 12640484    时间: 2010-11-9 23:11
学习




欢迎光临 医影在线 (http://bbs.radida.com/bbs/) Powered by Discuz! X3.2