医影在线

标题: X6963:咳嗽数天 [打印本页]

作者: 07619    时间: 2010-3-10 03:08
标题: X6963:咳嗽数天
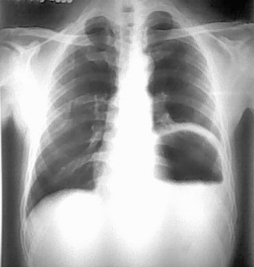
男.55.咳嗽数天




[本贴已被 cefcmj 于 2010-3-9 22:43:10 修改过]

作者: 胡宇    时间: 2010-3-10 05:06
左侧膈肌抬高,其胸腔可见胃泡影,提示膈疝,建议钡餐或ct检查。
作者: zdwys    时间: 2010-3-10 05:08
左侧膈肌抬高,其胸腔可见胃泡影,提示膈疝,建议钡餐或ct检查。
作者: zxl51642    时间: 2010-3-10 05:14
膈膨升。
作者: 黑白光影    时间: 2010-3-10 05:59
壁厚,应该是胃底+膈;有宽大液平面,无肠皱壁,应该是胃腔而不是膈疝或结肠间位;支持膈膨升。
作者: 拾荒者    时间: 2010-3-10 06:07
膈膨升与膈疝是两回事,应进一步检查。
  膈疝膈肌位置不上升,胃肠位置上移进入胸腔,膈肌动度正常或受限。
  膈膨升膈肌位置显著上升,膈肌动度减弱、消失或出现矛盾运动,胃肠位置位于膈下。另外膈麻痹病人膈肌位置也有上升。应注意鉴别。
作者: hexue    时间: 2010-3-10 06:11
左侧膈肌抬高,其胸腔可见胃泡影,提示膈疝,建议钡餐或ct检查。  
  
支持
作者: 寻芳者    时间: 2010-3-10 06:19
支持膈膨升--------------------
作者: ljp123    时间: 2010-3-10 06:28
支持膈膨升--------------------
作者: yongbest    时间: 2010-3-10 06:30
标题: 回复:咳嗽数天
以下是引用黑白光影在2010-3-9 21:59:00的发言:[br]壁厚,应该是胃底+膈;有宽大液平面,无肠皱壁,应该是胃腔而不是膈疝或结肠间位;支持膈膨升。

作者: ze3200636    时间: 2010-3-10 08:38
左侧膈肌升高,建议进一步检查
作者: yangyudong333    时间: 2010-3-10 13:43
膈膨升。
作者: 随光逐影    时间: 2010-3-10 16:24
考虑左侧膈膨升,膈疝待排。
作者: 小猫钓鱼    时间: 2010-3-10 16:43
膈膨升还是膈疝?做个上消化道造影便一目了然!
作者: ct诊断高手    时间: 2010-3-10 23:25
左侧膈肌升高,建议进一步检查
作者: zhaochen    时间: 2010-3-11 00:32
应该胸部ct检查
作者: 当兵的    时间: 2010-3-11 02:56
考虑左侧膈膨升,膈疝待排。钡餐吧
作者: gazi131    时间: 2010-3-11 02:59
膈膨升
作者: xihan    时间: 2010-3-11 03:51
壁厚,应该是胃底+膈;有宽大液平面,无肠皱壁,应该是胃腔而不是膈疝或结肠间位;支持膈膨升。
作者: 冰雪梅花    时间: 2010-3-11 04:44
左侧膈膨升
作者: shibing    时间: 2010-3-11 18:46
壁厚,应该是胃底+膈;有宽大液平面,无肠皱壁,应该是胃腔而不是膈疝或结肠间位;支持膈膨升。
作者: LIAOQIANG    时间: 2010-3-11 21:00
膈疝?膈膨升?建议钡餐检查。
作者: pantianshu    时间: 2010-3-12 03:14
应该不是膈疝
作者: 柳依婷    时间: 2010-3-12 06:56
支持膈膨升.但是要来一张侧位就更好。
作者: 小凤    时间: 2010-3-12 18:15
希望能附上最后结果
作者: 37度    时间: 2010-3-12 20:27
支持膈膨升.但是要来一张侧位就更好。
作者: zy_zj    时间: 2010-3-12 20:45
膈膨升与膈疝是两回事,应进一步检查。
  膈疝膈肌位置不上升,胃肠位置上移进入胸腔,膈肌动度正常或受限。
  膈膨升膈肌位置显著上升,膈肌动度减弱、消失或出现矛盾运动,胃肠位置位于膈下。另外膈麻痹病人膈肌位置也有上升。应注意鉴别。
支持 隔膨升。膈肌完整,不支持隔疝
作者: 心路寻觅    时间: 2010-3-13 00:01
支持膈膨升。
作者: wsmg-自在    时间: 2010-3-13 05:24
支持膈膨升。希望能有结果。
作者: mqlhxl    时间: 2010-3-15 04:52
支持膈膨升




欢迎光临 医影在线 (http://bbs.radida.com/bbs/) Powered by Discuz! X3.2