医影在线

标题: CT24967:女性,72岁。去年9月份发现肺部病变,诊为肺结核 [打印本页]

作者: fanshl    时间: 2010-3-10 04:18
标题: CT24967:女性,72岁。去年9月份发现肺部病变,诊为肺结核
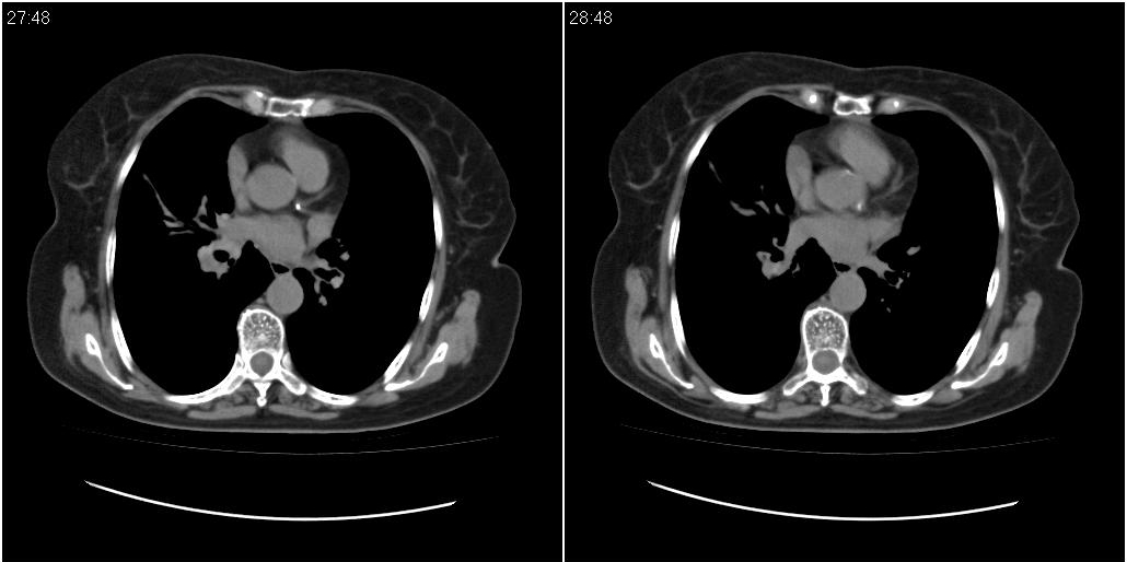
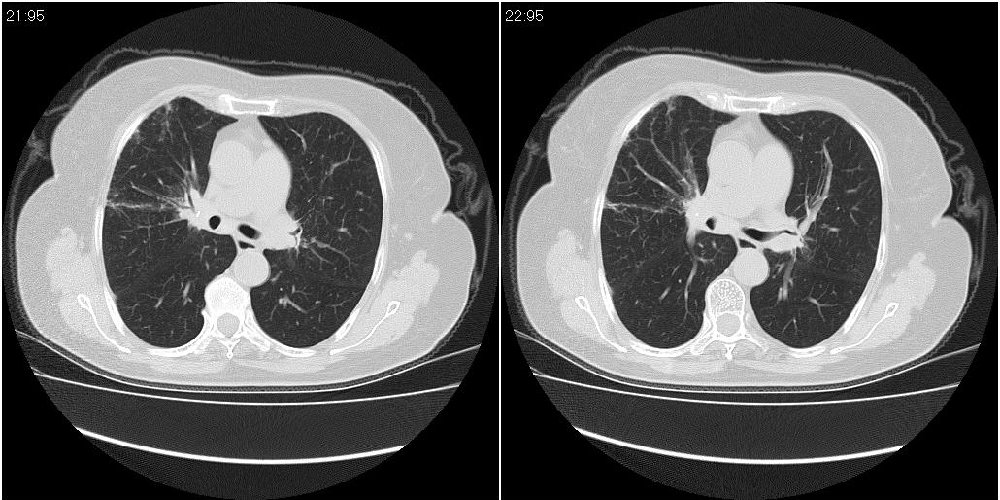
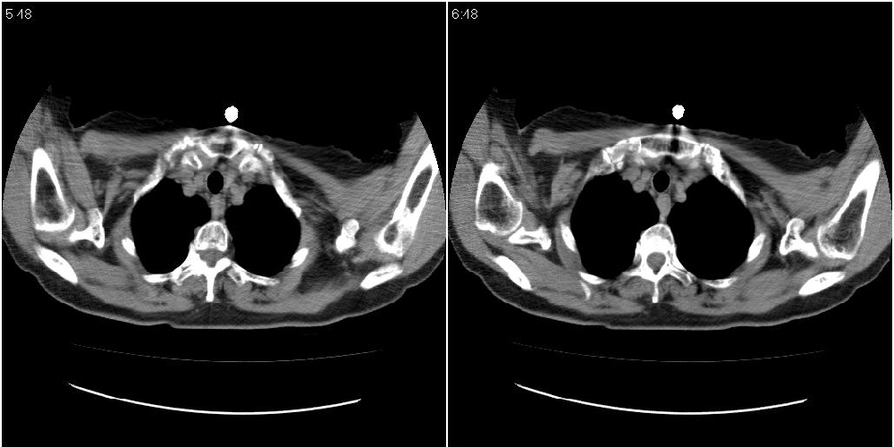
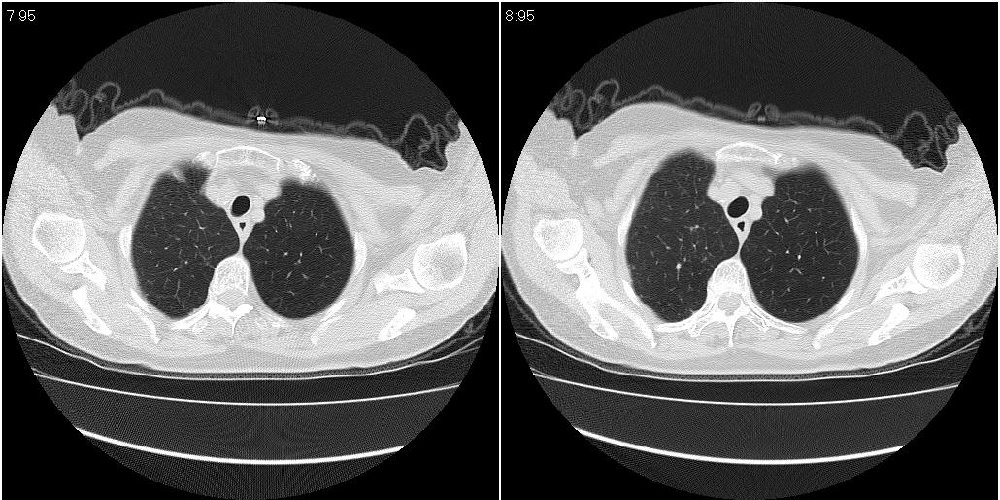
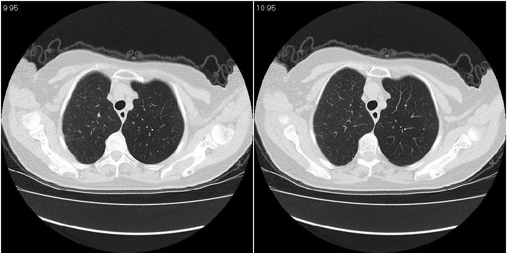
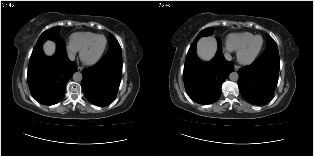
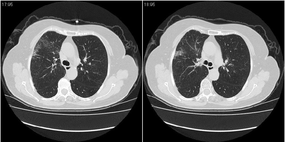
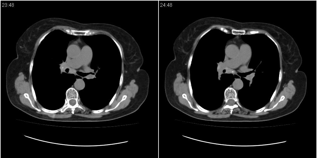
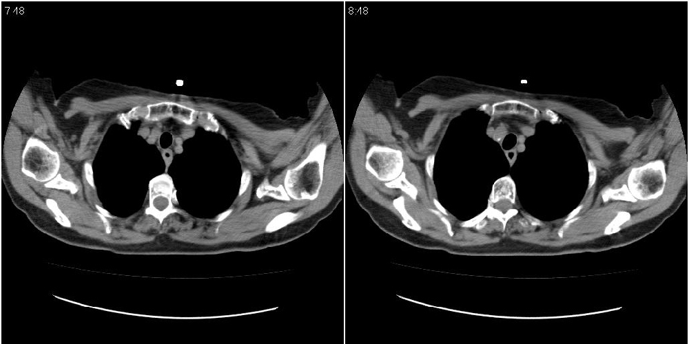
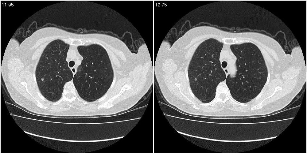
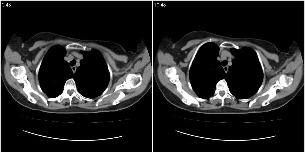
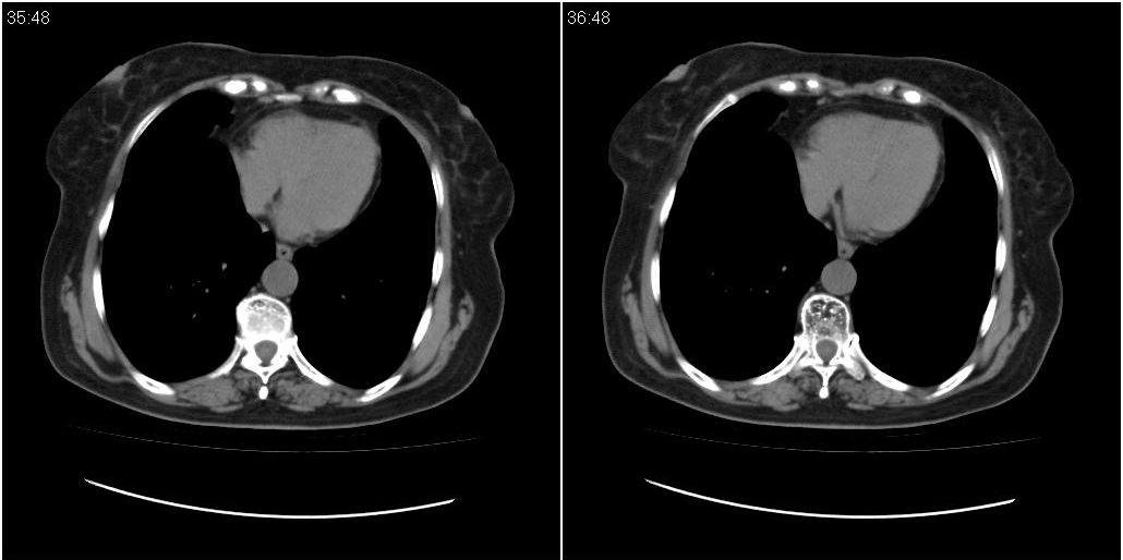
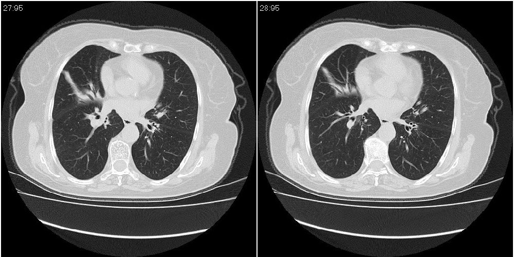
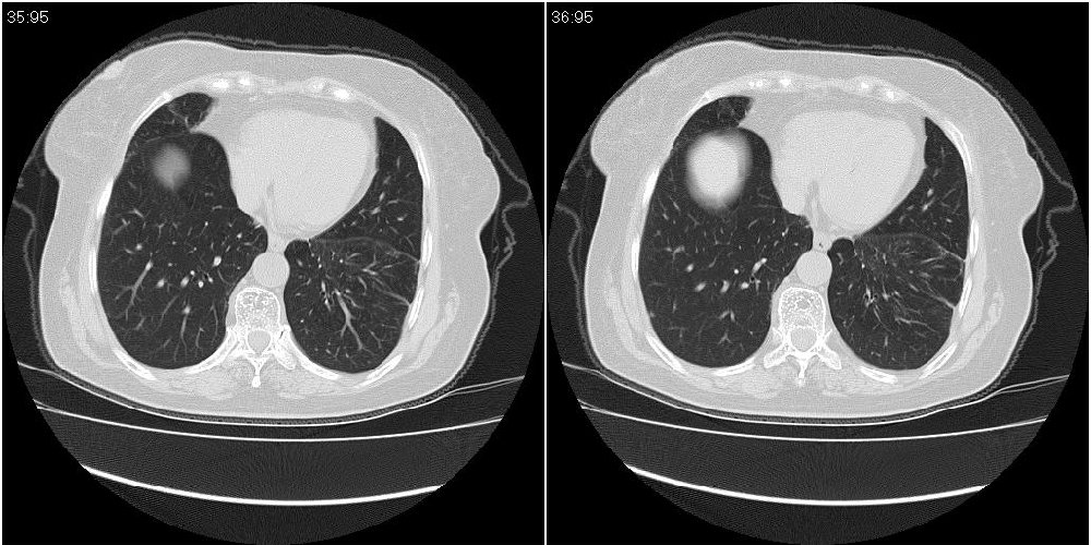
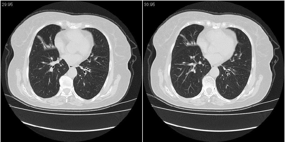
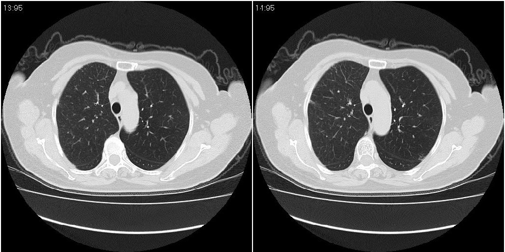
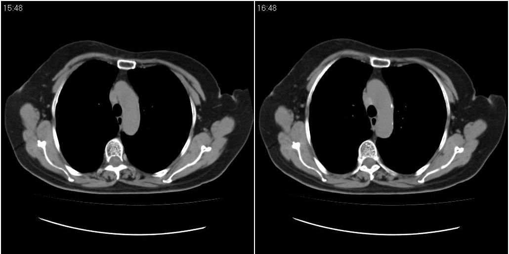
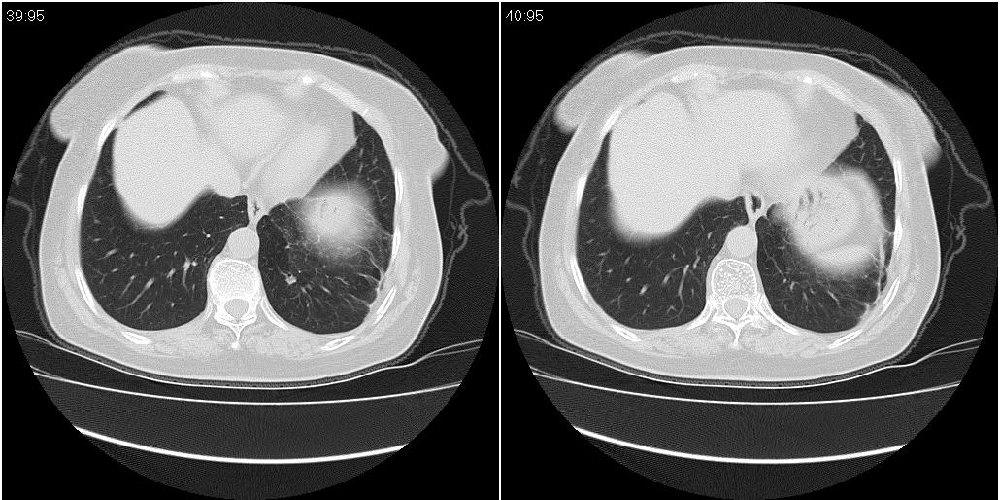
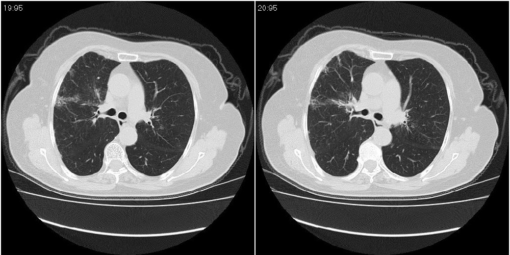
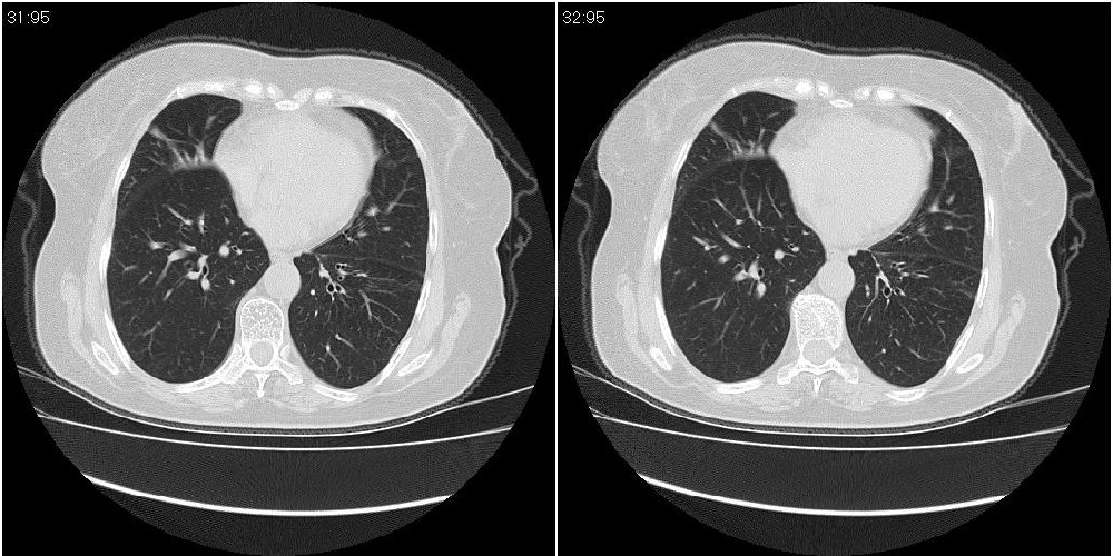
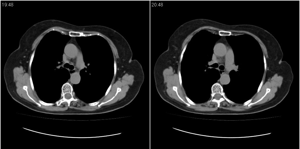
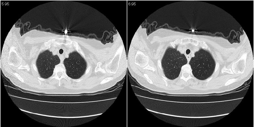
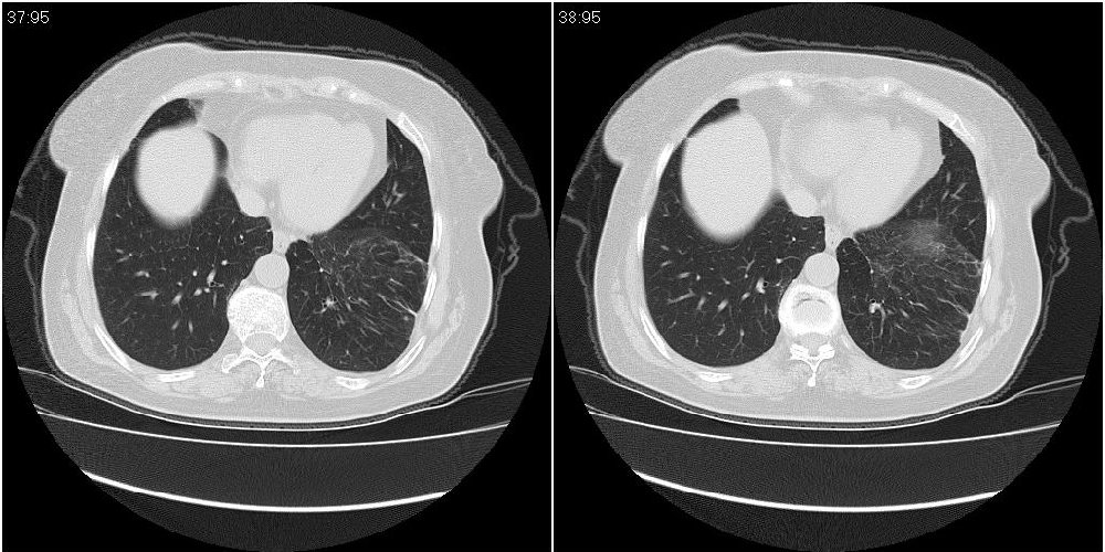
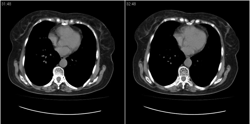
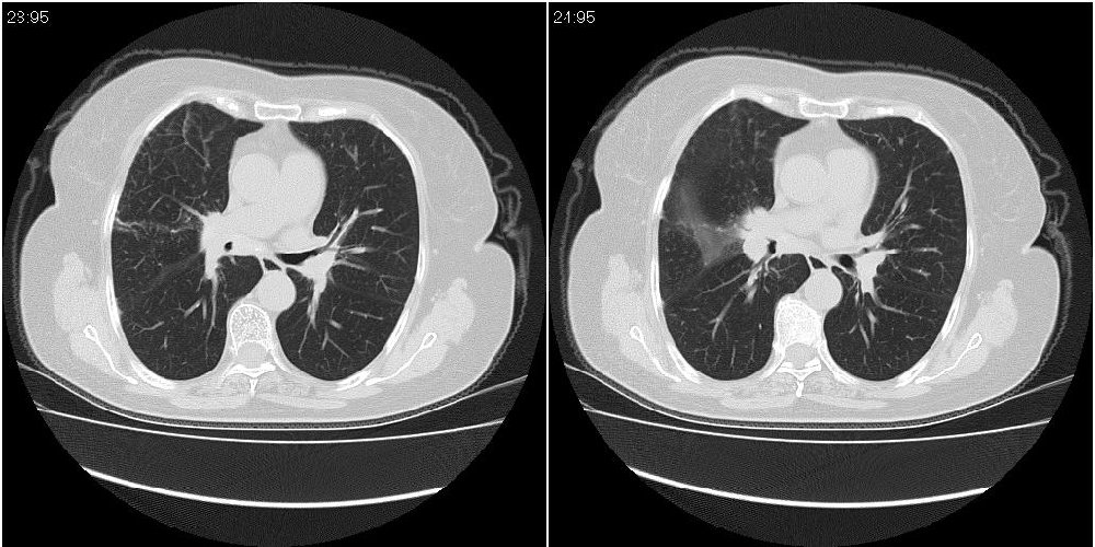
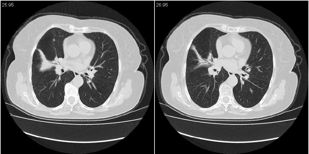
女性,72岁。去年9月份发现肺部病变,诊为肺结核并进行正规治疗至今,但复查后发现ct表现几乎没有变化。










































[本贴已被 翁志蓬 于 2010-3-9 23:28:20 修改过]

作者: 卜一    时间: 2010-3-10 05:28
右侧中叶支气管明显狭窄,建议行纤支镜检查!
作者: 子期    时间: 2010-3-10 05:32
右中间段支气管局限性狭窄,右中叶支气管亦稍显狭窄,但并未见明显占位表现,半年多了,无变化也许是好事,可能为炎性狭窄,建议继续随访。
作者: dhlyq    时间: 2010-3-10 05:35
支持楼主
作者: zxl51642    时间: 2010-3-10 05:38
双肺继发型tb并右中叶内膜tb,轻度支扩,左下胸膜肥厚粘连。
作者: 崔喜泉    时间: 2010-3-10 06:25
右中叶炎性改变,支气管狭窄但较光滑,占位可能性不大。
作者: 513ytb    时间: 2010-3-10 07:32
右中间段支气管局限性狭窄,右中叶支气管亦稍显狭窄.
作者: yangyudong333    时间: 2010-3-10 13:22
双肺继发型tb并右中叶内膜tb,轻度支扩,左下胸膜肥厚粘连。
作者: 随光逐影    时间: 2010-3-10 16:11
双肺继发性肺结核并右肺中叶节段性肺不张,左下胸膜肥厚粘连。
作者: 深泽交通    时间: 2010-3-10 17:28
还是考虑肺结核
作者: 北方的狼    时间: 2010-3-10 17:29
右侧中叶支气管明显狭窄,建议行纤支镜检查!
作者: pujunzhi    时间: 2010-3-10 17:42
右肺中叶节段性肺不张,考虑结核或慢性炎症,建议做纤支镜检查。
作者: tian1238    时间: 2010-3-10 22:35
标题: 回复:ct24967:女性,72岁。去年9月份发现肺部病变,诊为肺
以下是引用卜一在2010-3-9 21:28:00的发言:[br]右侧中叶支气管明显狭窄,建议行纤支镜检查!

作者: zjzjr    时间: 2010-3-10 22:48
双肺继发性肺结核并右肺中叶节段性肺不张
作者: ct诊断高手    时间: 2010-3-10 23:11
双肺继发型tb并右中叶内膜tb,轻度支扩,左下胸膜肥厚粘连。
作者: 同    时间: 2010-3-11 00:03
标题: 回复:ct24967:女性,72岁。去年9月份发现肺部病变,诊为肺
以下是引用yangyudong333在2010-3-10 5:22:00的发言:[br]双肺继发型tb并右中叶内膜tb,轻度支扩,左下胸膜肥厚粘连。

作者: 黑白光影    时间: 2010-3-11 06:22
还是考虑肺结核
作者: dr.yang    时间: 2013-5-3 22:49
学习了




欢迎光临 医影在线 (http://bbs.radida.com/bbs/) Powered by Discuz! X3.2