














































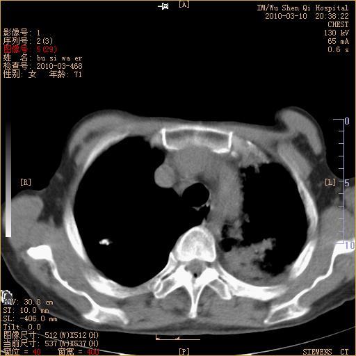
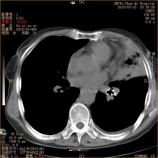
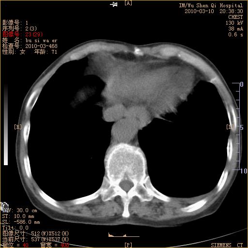
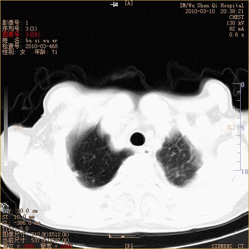
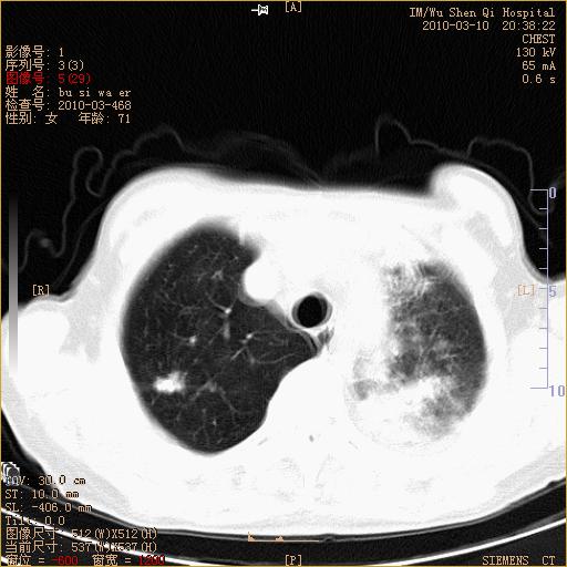
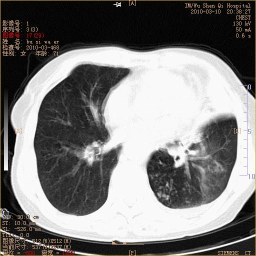
以下是引用随光逐影在2010-3-11 0:41:00的发言:[br]1)考虑左肺及右肺上叶继发性肺结核并左肺炎症感染。2)左侧支气管内膜结核可能;建议必要时行纤支镜检查。3)肺气肿。4)心包膜增厚(或少量心包积液)。5)左侧胸腔积液。
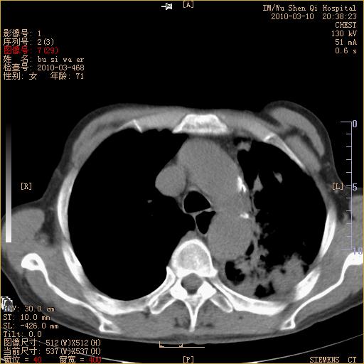
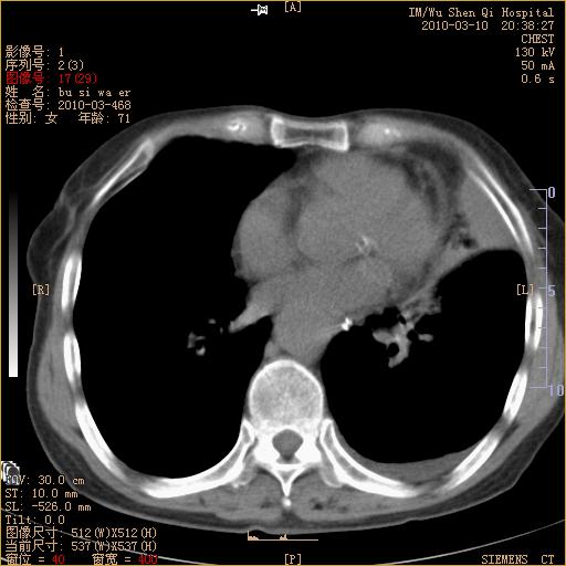
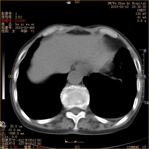
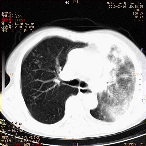
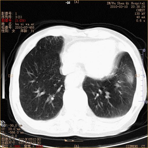
以下是引用随光逐影在2010-3-11 0:41:00的发言:[br]1)考虑左肺及右肺上叶继发性肺结核并左肺炎症感染。2)左侧支气管内膜结核可能;建议必要时行纤支镜检查。3)肺气肿。4)心包膜增厚(或少量心包积液)。5)左侧胸腔积液。
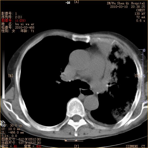
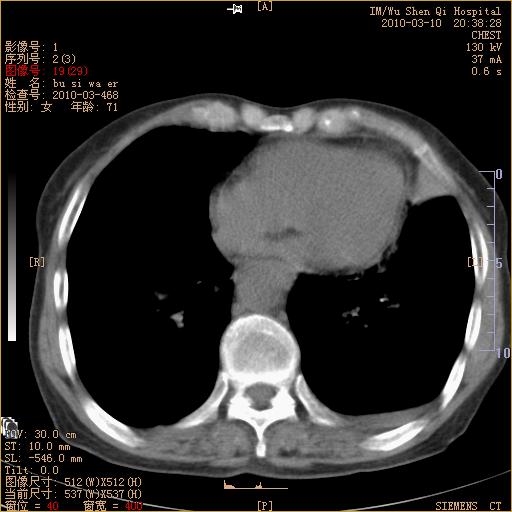
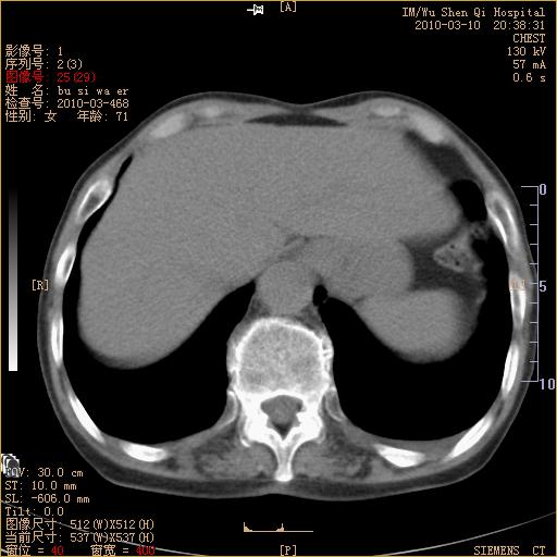
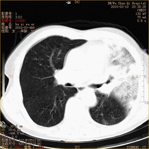
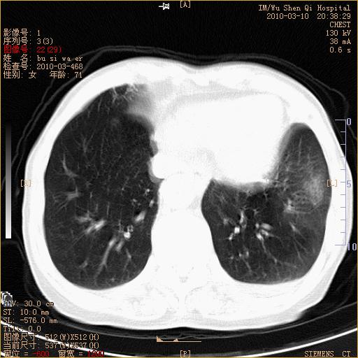
以下是引用随光逐影在2010-3-11 0:41:00的发言:[br]1)考虑左肺及右肺上叶继发性肺结核并左肺炎症感染。2)左侧支气管内膜结核可能;建议必要时行纤支镜检查。3)肺气肿。4)心包膜增厚(或少量心包积液)。5)左侧胸腔积液。
| 欢迎光临 医影在线 (http://bbs.radida.com/bbs/) | Powered by Discuz! X3.2 |