





















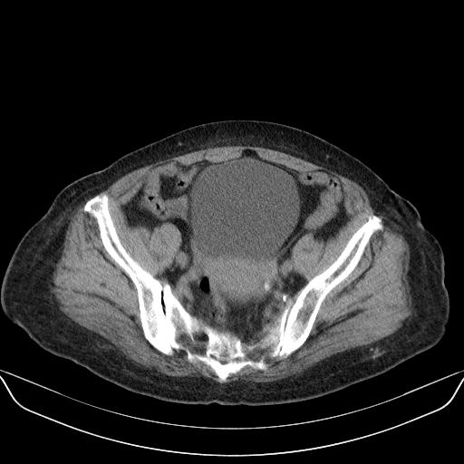
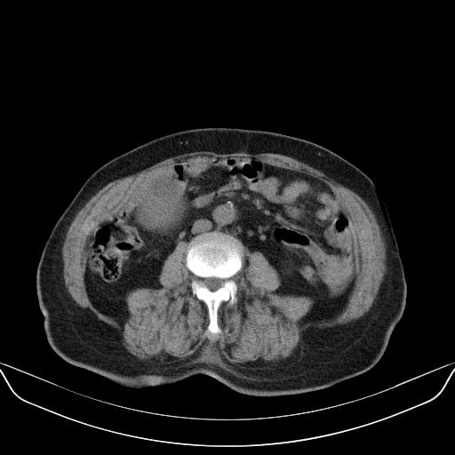
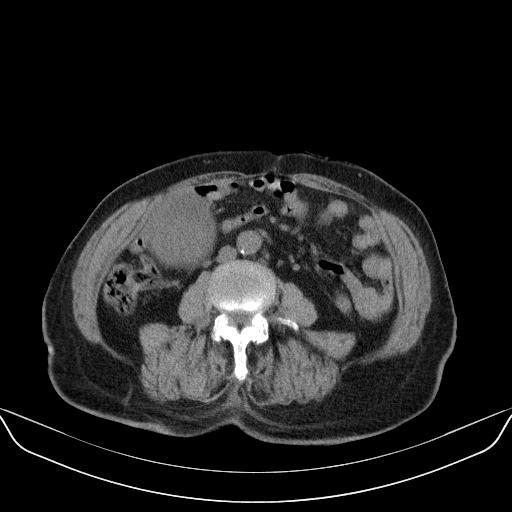
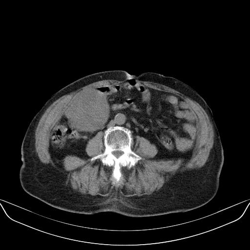
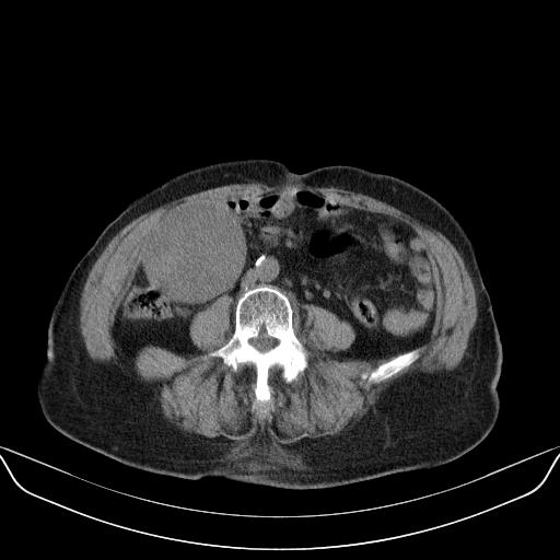
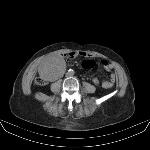
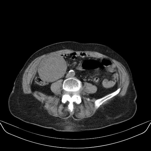
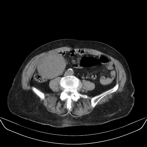
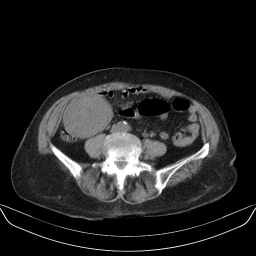
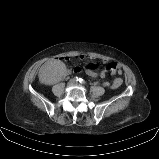
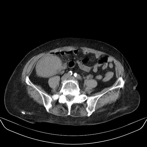
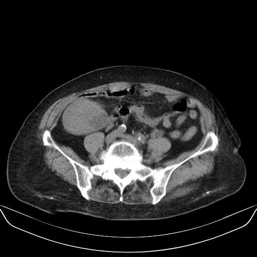
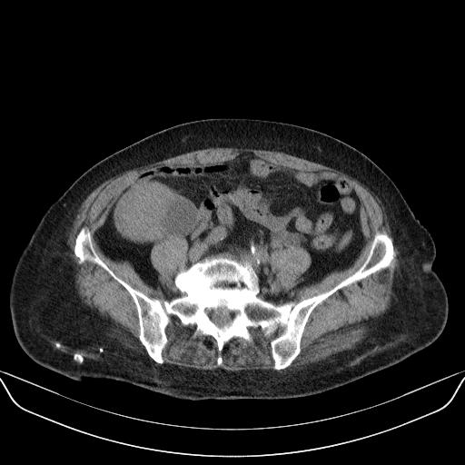
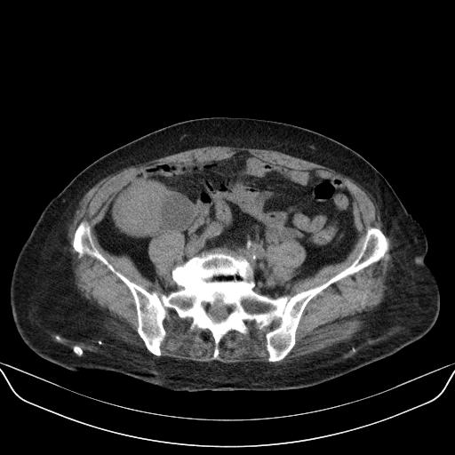
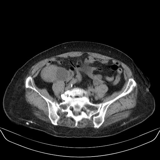
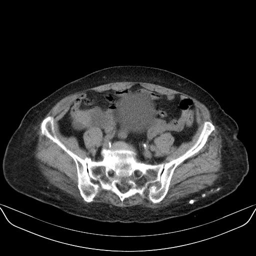
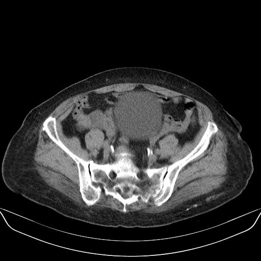
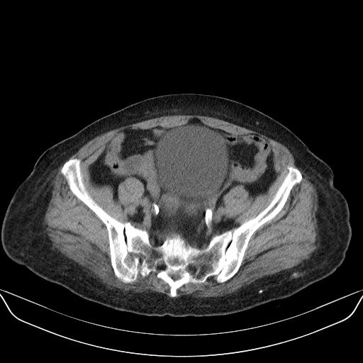
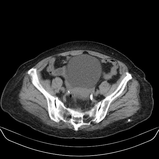
以下是引用林建春在2010-3-11 17:21:00的发言:[br]病变边界较清晰,看见明显包膜,考虑良性占位性病变。[br][br]期待病理结果!
以下是引用yuhongjun在2010-3-12 6:32:00的发言:[br]回肠末端间质瘤,不除外阑尾粘液囊腺瘤,臀部注射性肉芽肿钙化. [br] [br]
以下是引用yuhongjun在2010-3-12 6:32:00的发言:[br]回肠末端间质瘤,不除外阑尾粘液囊腺瘤,臀部注射性肉芽肿钙化. [br] [br]
| 欢迎光临 医影在线 (http://bbs.radida.com/bbs/) | Powered by Discuz! X3.2 |