医影在线

标题: CT24997:M,60Y,突发昏迷30分钟,有高血压病史。 [打印本页]

作者: 健力宝    时间: 2010-3-11 21:42
标题: CT24997:M,60Y,突发昏迷30分钟,有高血压病史。
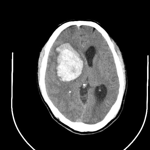
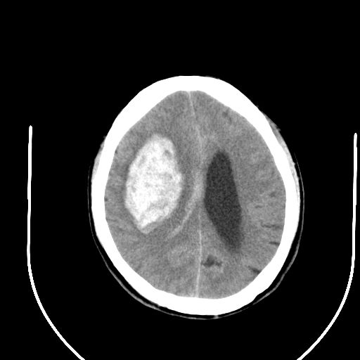
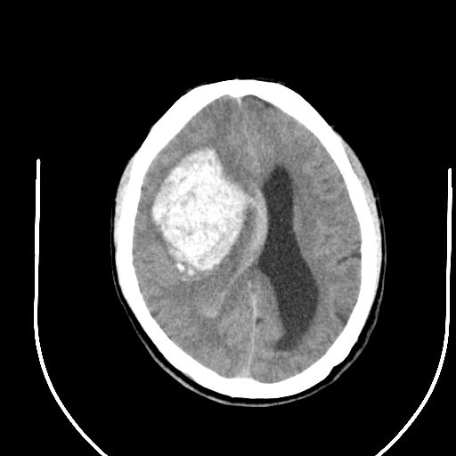
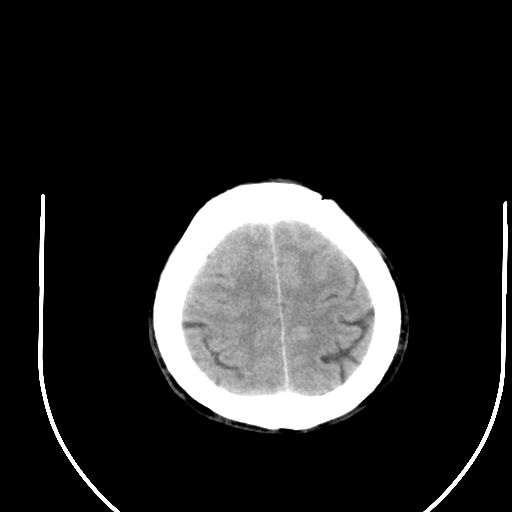
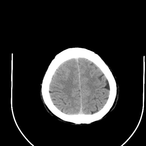
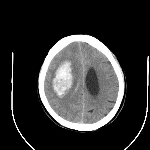
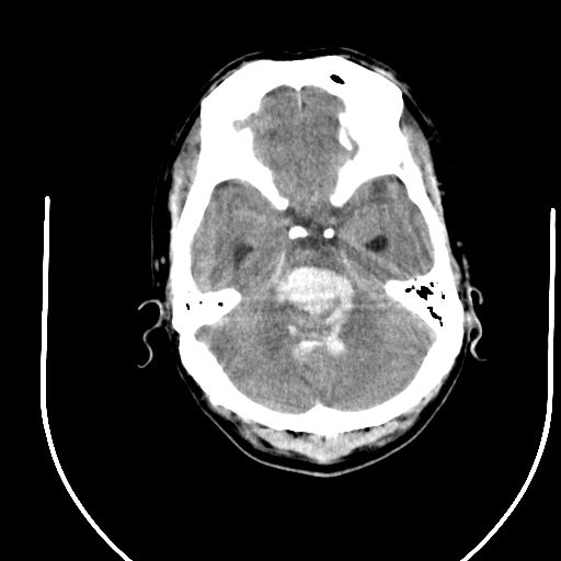
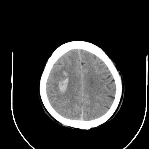
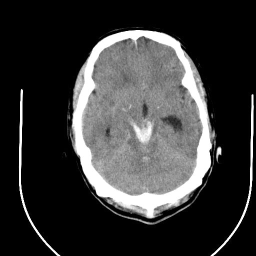
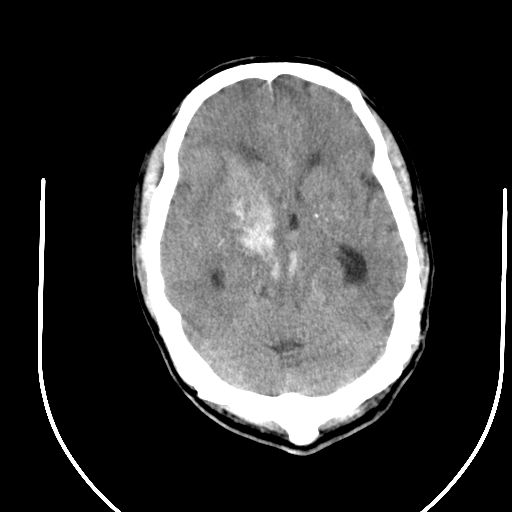
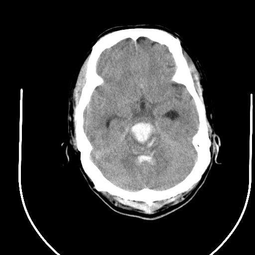
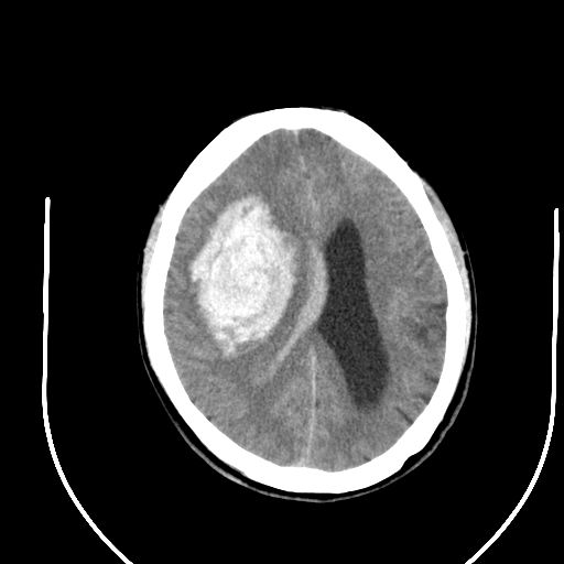
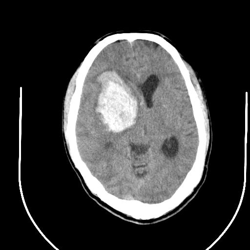
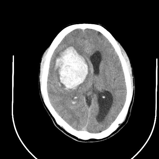
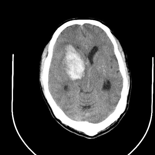
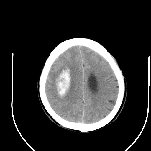
右侧基底节区脑出血并破溃入脑室。

























[本贴已被 jiajie 于 2010-3-11 15:17:21 修改过]

作者: 心路寻觅    时间: 2010-3-11 21:53
支持楼主诊断,脑中线结构有偏移,脑疝形成可能!
作者: 過目吥莣    时间: 2010-3-11 23:28
1右侧基底节脑出血伴脑干出血并破入脑室系统脑疝形成2梗阻性脑积水
作者: yangyudong333    时间: 2010-3-11 23:30
支持楼主诊断,脑疝形成。
作者: zxl51642    时间: 2010-3-12 00:30
支持楼主诊断,脑疝形成。
作者: zjzjr    时间: 2010-3-12 01:33
1右侧基底节脑出血伴脑干出血并破入脑室系统脑疝形成2梗阻性脑积水
作者: bin917    时间: 2010-3-12 03:20
1右侧基底节脑出血伴脑干出血并破入脑室系统脑疝形成2梗阻性脑积水
作者: yulanhua    时间: 2010-3-12 03:32
标题: 回复:ct24997:m,60y,突发昏迷30分钟,有高血压病史。
以下是引用過目吥莣在2010-3-11 15:28:00的发言:[br]1右侧基底节脑出血伴脑干出血并破入脑室系统脑疝形成2梗阻性脑积水

作者: yuhongjun    时间: 2010-3-12 14:31
支持楼主诊断,脑疝形成。
作者: 随光逐影    时间: 2010-3-12 16:29
1)右侧基底节脑出血伴脑干出血并破入脑室系统。2)大脑镰下疝。3)梗阻性脑积水。
作者: 林建春    时间: 2010-3-12 17:07
支持诊断:
1、右侧基底节脑出血伴脑干出血并破入脑室系统。
2、大脑镰下疝。
3、梗阻性脑积水。
作者: 黑白光影    时间: 2010-3-12 18:01
1)右侧基底节脑出血伴脑干出血并破入脑室系统。2)大脑镰下疝。3)梗阻性脑积水。




欢迎光临 医影在线 (http://bbs.radida.com/bbs/) Powered by Discuz! X3.2