医影在线
标题: MRI2811:女性,47岁。MRI号03027,外伤致头痛9天,抽搐一天, [打印本页]
作者: 心愿 时间: 2010-3-12 19:29
标题: MRI2811:女性,47岁。MRI号03027,外伤致头痛9天,抽搐一天,
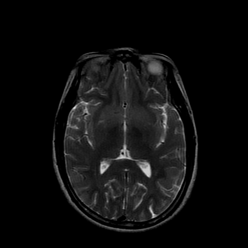
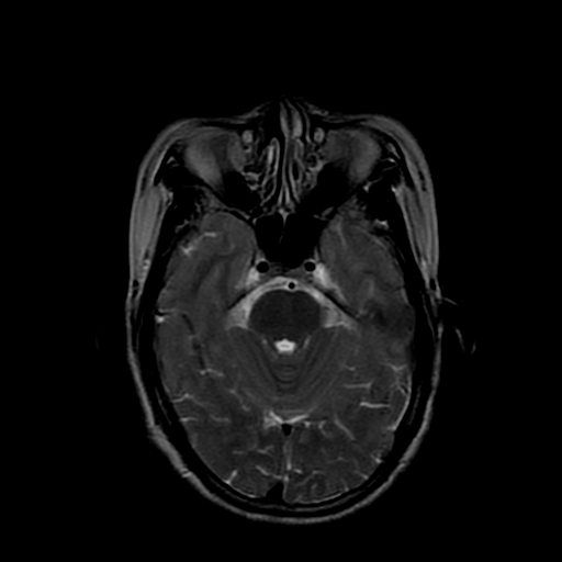
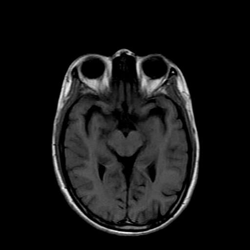
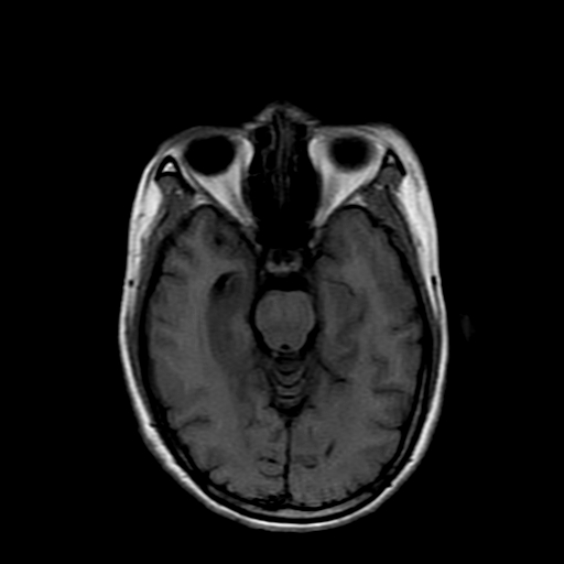
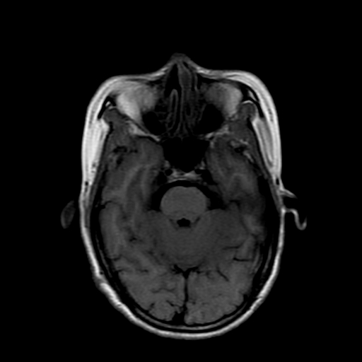
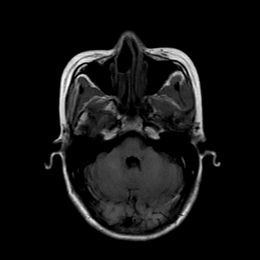
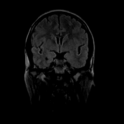
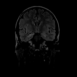
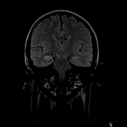
女性,47岁。mri号03027,外伤致头痛9天,抽搐一天,原无类似病史。















[本贴已被 心愿 于 2010-3-12 11:29:43 修改过]
[本贴已被 jiajie 于 2010-3-12 17:20:16 修改过]
作者: 心愿 时间: 2010-3-12 19:31
dwi及矢状位无明显异常,所以没发。
作者: chenshuqing521 时间: 2010-3-12 22:42
右侧海马硬化
作者: 随光逐影 时间: 2010-3-13 02:41
右侧海马硬化可能。
作者: 天堂鸟 时间: 2010-3-13 03:35
双侧海马的信号都有异常。
作者: 卜一 时间: 2010-3-13 04:24
双侧海马硬化!
作者: 拾荒者 时间: 2010-3-13 04:55
颞叶前部萎缩,海马萎缩,t2wi海马高信号,支持海马硬化。
作者: ayi 时间: 2010-3-13 09:22
双侧海马硬化.
作者: zy_zj 时间: 2010-3-13 20:26
双侧海马区t1低,t2高信号。为什么都考虑硬化?发病原因?鉴别诊断:炎症,梗塞等能一下子除外吗?
作者: gjj6818 时间: 2010-3-15 05:18
学习了
作者: pujunzhi 时间: 2010-3-16 05:43
双侧海马硬化!
| 欢迎光临 医影在线 (http://bbs.radida.com/bbs/) |
Powered by Discuz! X3.2 |