医影在线

标题: CT25075:鼻出血。有病理结果! [打印本页]

作者: LIAOQIANG    时间: 2010-3-15 17:37
标题: CT25075:鼻出血。有病理结果!
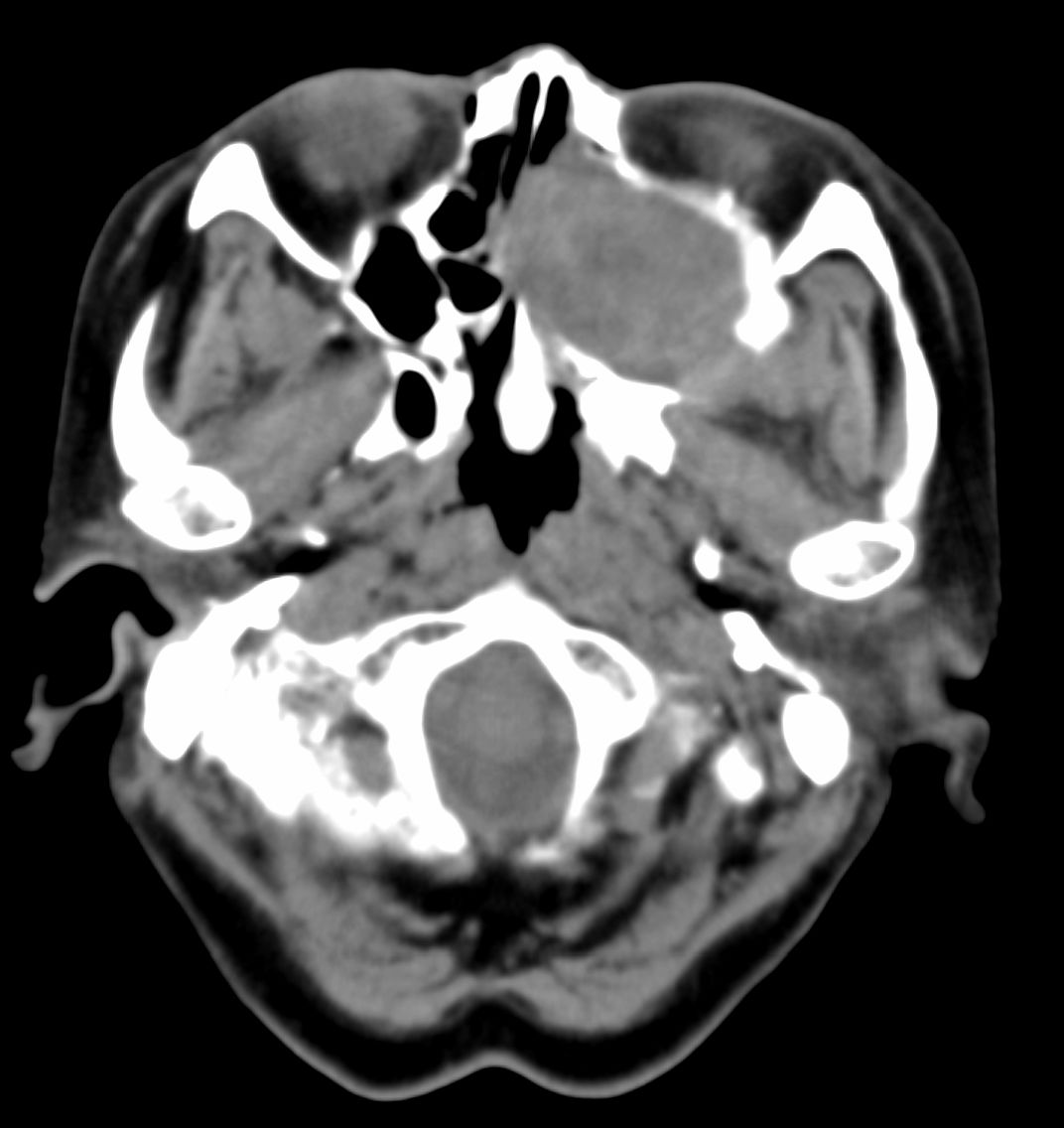
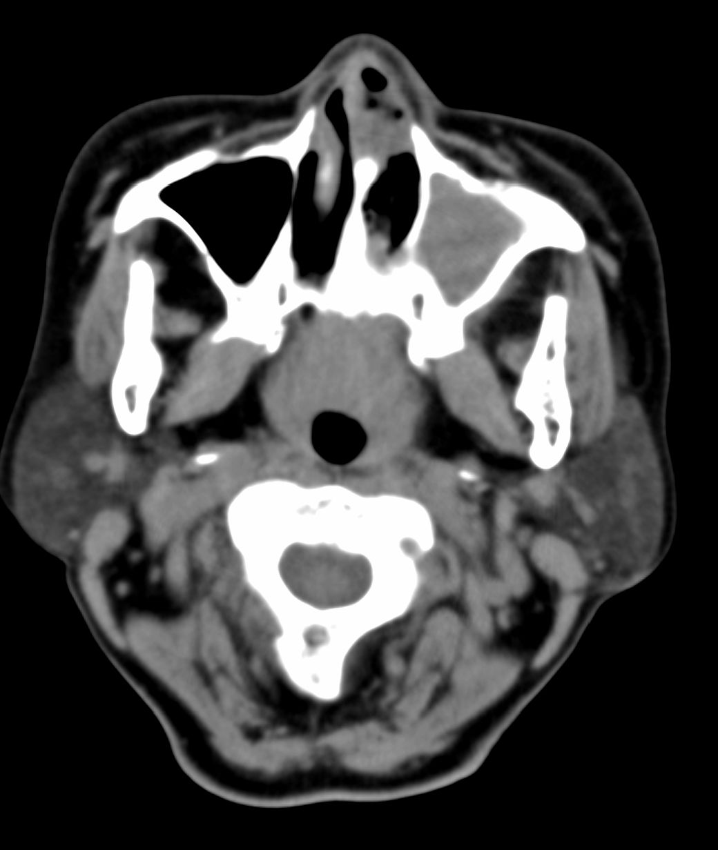
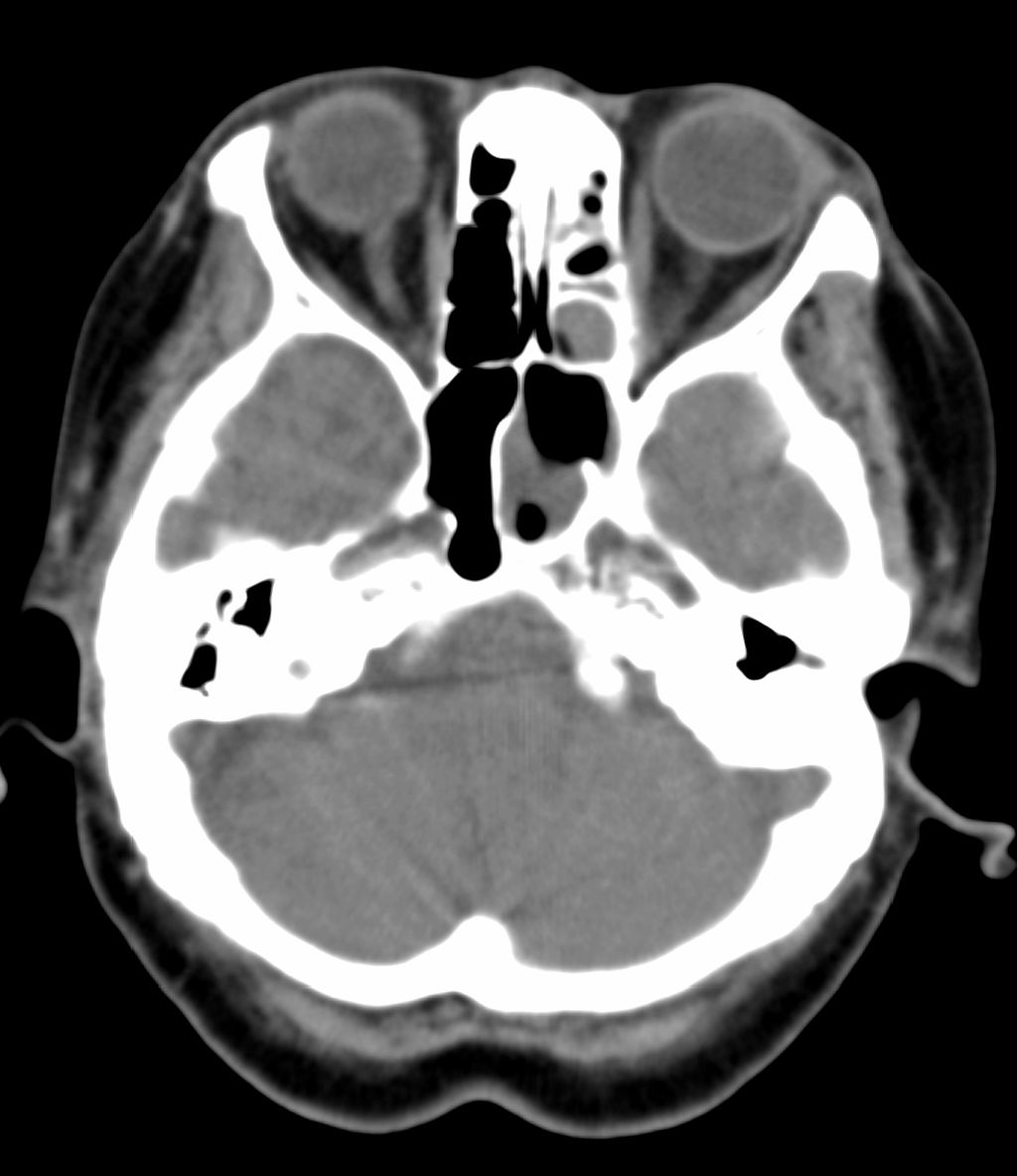
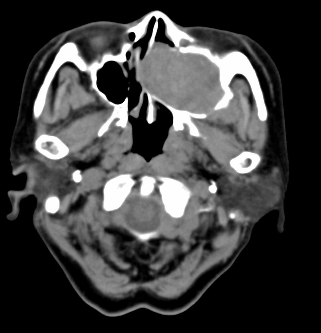
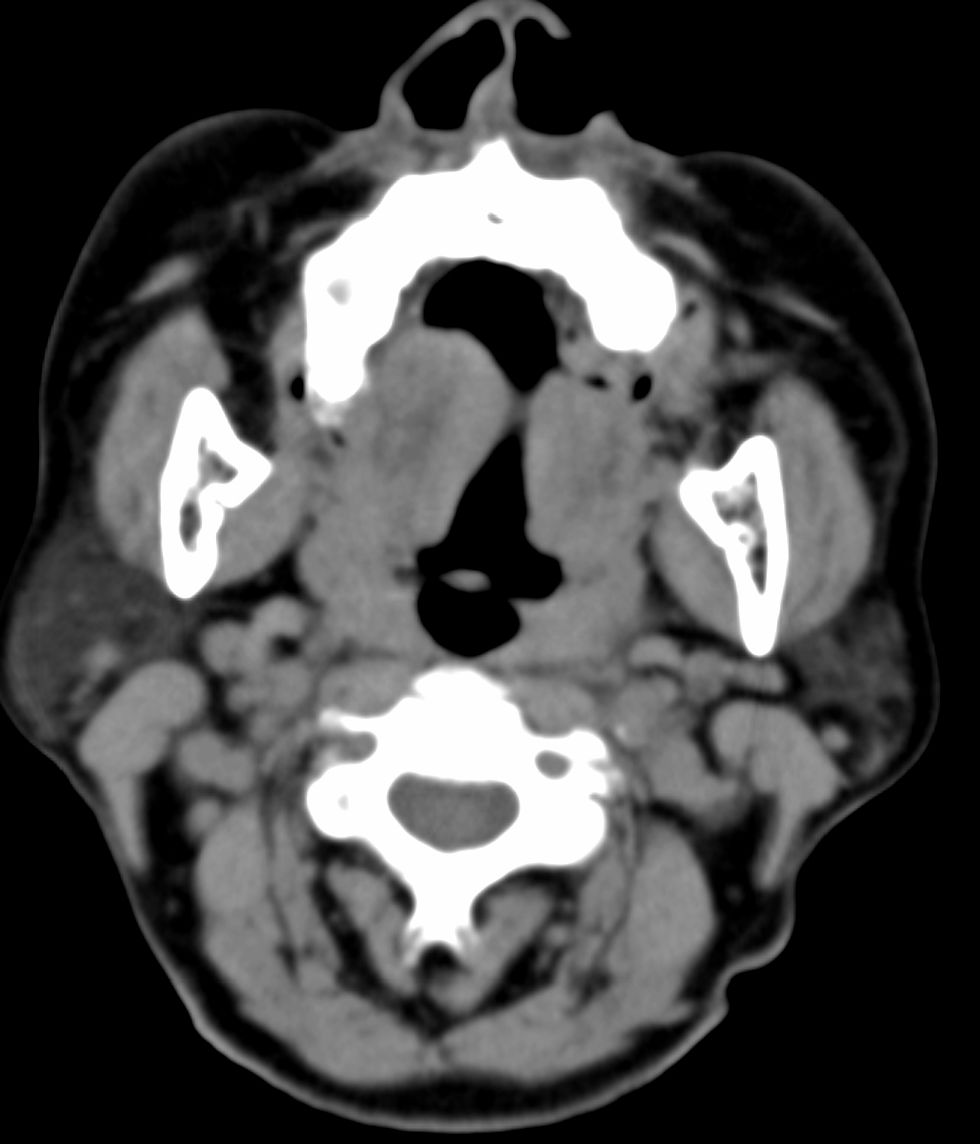
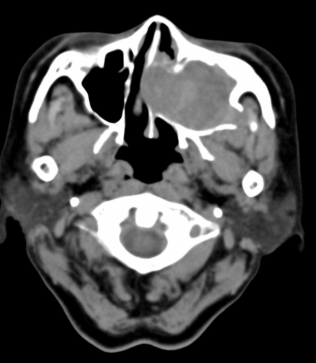
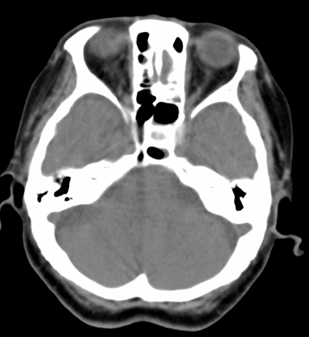
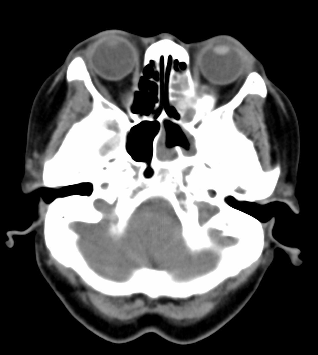
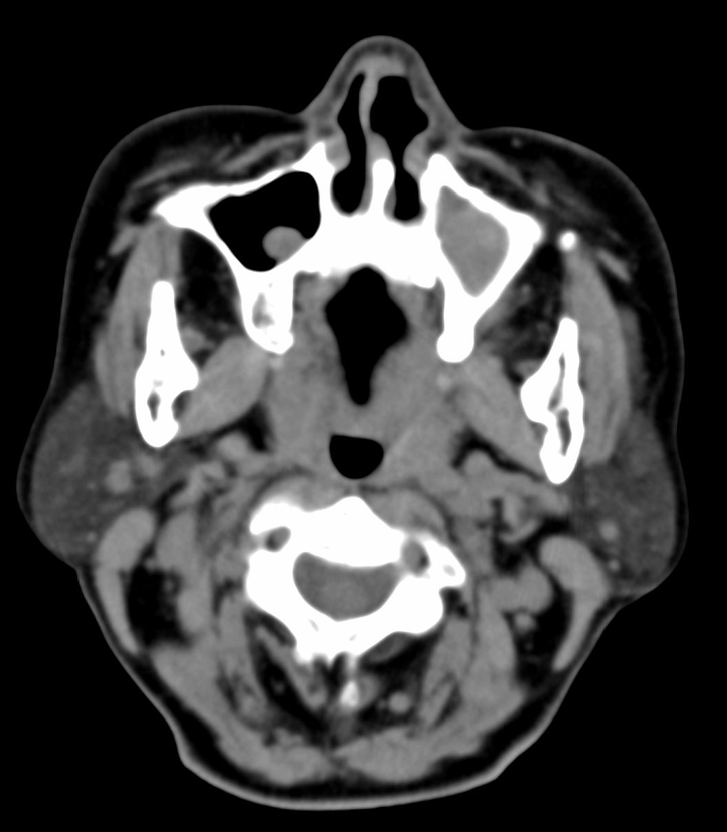
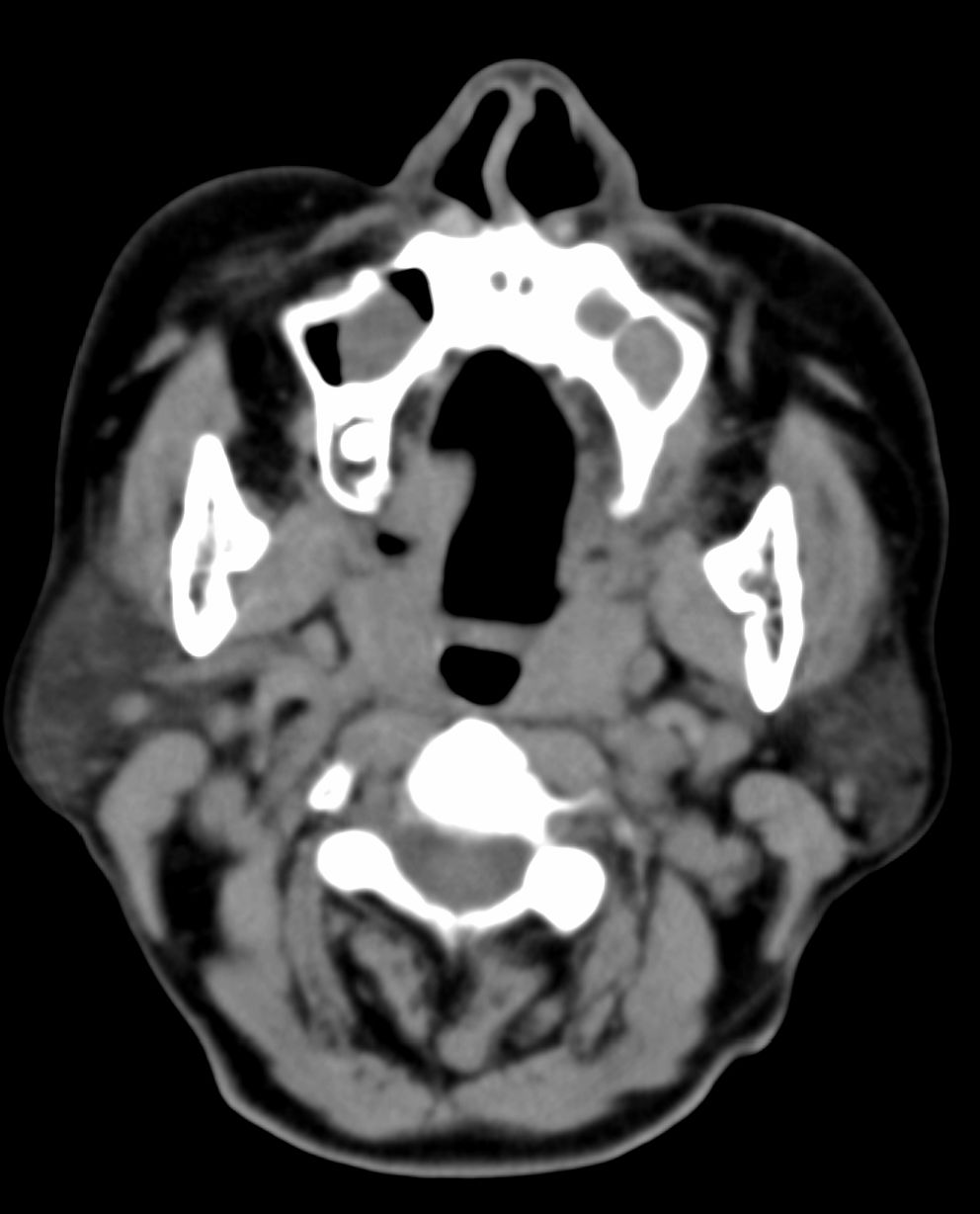
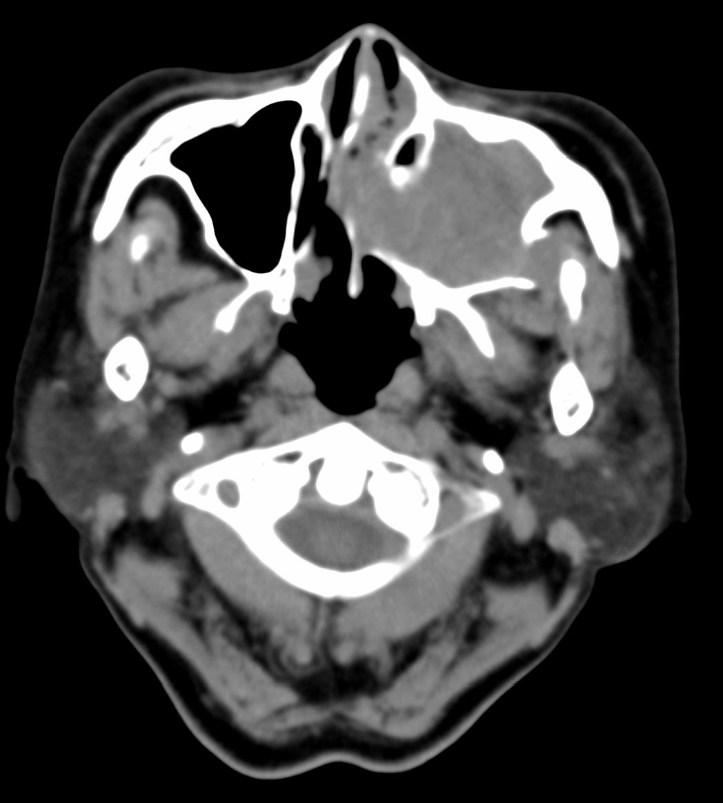
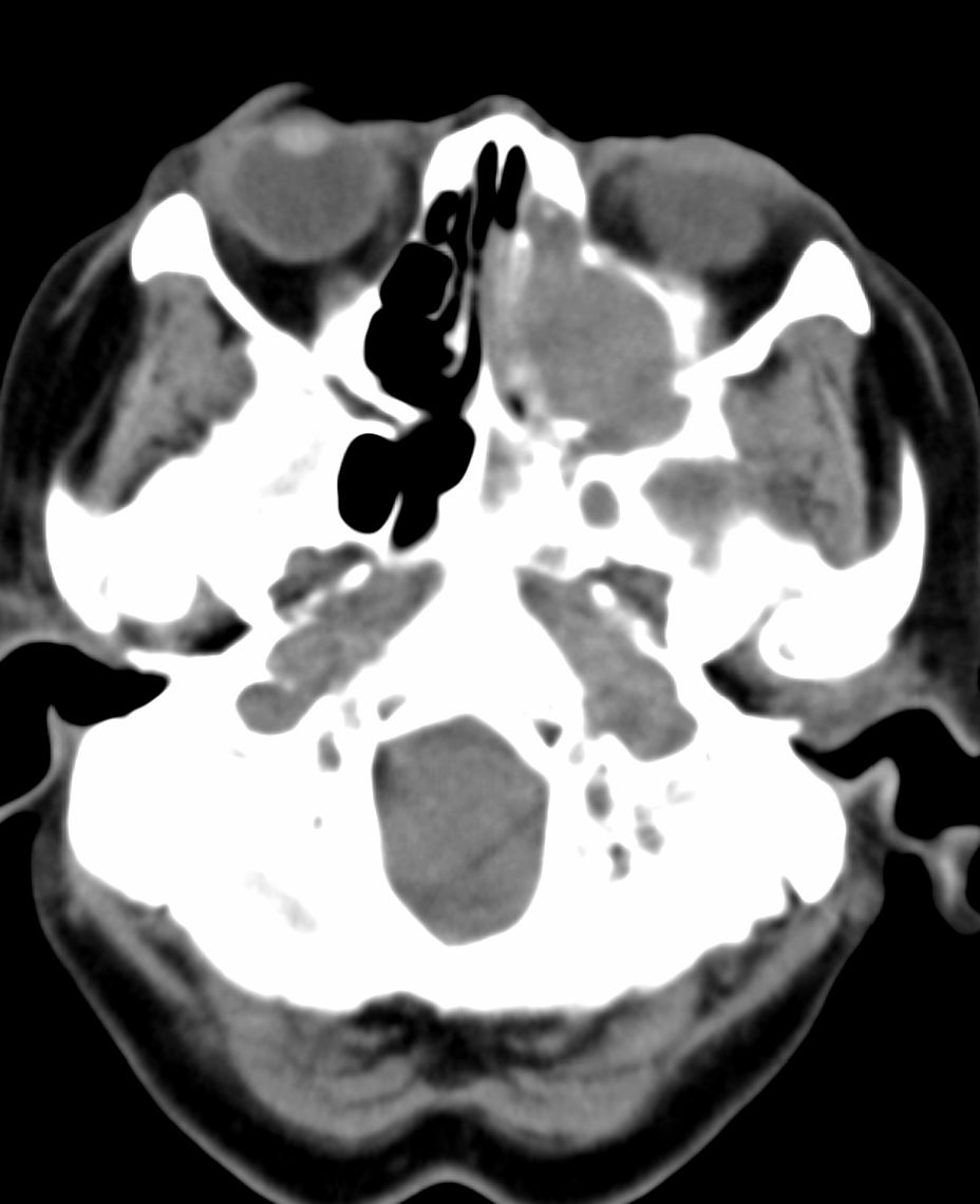
女,69岁。鼻出血2月多。(会诊病史就这样简单)鼻副窦ct检查如下:






















[本贴已被 jiajie 于 2010-3-15 18:00:06 修改过]

作者: zxl51642    时间: 2010-3-15 17:55
内翻性乳突状瘤可能性大。鉴别:上颌窦鳞癌、炎症如息肉/霉菌、acc、淋巴瘤。
作者: sunbin    时间: 2010-3-15 19:07
左侧鼻腔及上颌窦见软组织块影,左侧上颌窦腔扩大,骨质吸收,右侧上颌窦见半圆形软组织密度影,鼻中隔向右侧弯曲,左侧鼻和鼻窦内翻型乳头状瘤可能性大,建议增强。
作者: zjzjr    时间: 2010-3-15 19:13
内翻性乳突状瘤或息肉 副鼻窦炎,粘液囊肿
作者: jgr    时间: 2010-3-15 20:08
内翻性乳突状瘤可能性大,建议增强扫描检查
作者: yanshusir    时间: 2010-3-15 22:58
等待病例结果,没有楼上说的那么复杂吧。
作者: yuhongjun    时间: 2010-3-15 23:00
比较支持粘液囊肿。
作者: dhlyq    时间: 2010-3-15 23:46
左侧上颌窦及鼻腔内见软组织密度影,其内密度不均匀,见斑片状高密度影,右侧上颌窦腔明显扩大,窦壁吸收变薄,鼻中隔右偏,右侧上颌窦见一半圆形软组织密度影,边界清楚,其内密度均匀。诊断,1、左侧鼻腔及上颌窦内翻乳头状瘤可能性大,上颌窦癌,息肉及霉菌性上颌窦炎待除外。2、右侧上颌窦粘膜下囊肿。
作者: 随光逐影    时间: 2010-3-16 00:19
1)考虑左侧上颌窦内翻乳突状瘤突入左侧鼻腔。2)副鼻窦炎,右侧上颌窦黏膜下囊肿。
作者: 黑白光影    时间: 2010-3-16 04:58
标题: 回复:ct25075:鼻出血。有病理结果!
以下是引用随光逐影在2010-3-15 16:19:00的发言:[br]1)考虑左侧上颌窦内翻乳突状瘤突入左侧鼻腔。2)副鼻窦炎,右侧上颌窦黏膜下囊肿。

作者: yangyudong333    时间: 2010-3-16 14:55
比较支持粘液囊肿。
作者: 健力宝    时间: 2010-3-16 19:26
比较支持粘液囊肿。  期待病理结果!
作者: LIAOQIANG    时间: 2010-3-18 19:02
病理:霉菌性左侧上颌窦炎伴左侧上颌窦纤维组织增生。
作者: 随光逐影    时间: 2010-3-18 19:10
标题: 回复:ct25075:鼻出血。有病理结果!
以下是引用liaoqiang在2010-3-18 11:02:00的发言:[br]病理:霉菌性左侧上颌窦炎伴左侧上颌窦纤维组织增生。


——感谢楼主反馈结果,学习了。
作者: 37度    时间: 2010-3-19 00:23
像黏液囊肿,没有典型的钙化。难啊,深刻学习了。
作者: 拾荒者    时间: 2010-3-19 03:59
感谢楼主提供结果!
  窦腔密度不均匀增高,无明显钙化征象,后外侧及内侧窦壁膨胀明显,局部破坏消失,筛窦受累及,但双侧对比发现左侧窦壁骨质有硬化增白现象,这可能是支持左侧霉菌性上颌窦炎的主要依据点。
作者: hhhhhh6    时间: 2010-3-20 02:26
我看到病理了,没见过这样的霉菌性上颌窦炎学习了
作者: linyiming    时间: 2010-3-20 06:26
左侧鼻腔及上颌窦内翻乳头状瘤可能性大,未除鼻息肉。建议增强。
作者: dyqct    时间: 2010-3-25 06:12
没有钙化,ct定性困难。
作者: 施明    时间: 2010-3-25 17:13
谢谢
作者: 赵物学    时间: 2010-3-27 22:35
不好诊断,学习了
作者: tangyong119    时间: 2010-3-28 00:32
学习了
作者: sxz2001    时间: 2010-4-1 03:57
谢谢,学习了
作者: gyybzj    时间: 2010-4-1 04:37
支持内翻乳头状瘤
作者: 吴医师    时间: 2010-5-24 19:50
感谢楼主反馈结果,学习了。




欢迎光临 医影在线 (http://bbs.radida.com/bbs/) Powered by Discuz! X3.2