医影在线
标题: CT25082:肝脏增强:男性,70岁 [打印本页]
作者: 网事随风 时间: 2010-3-15 21:50
标题: CT25082:肝脏增强:男性,70岁
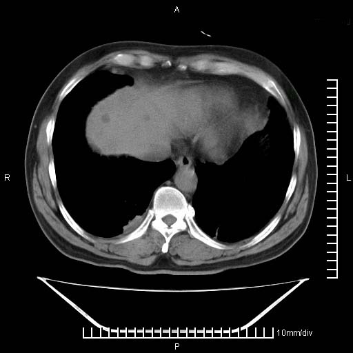
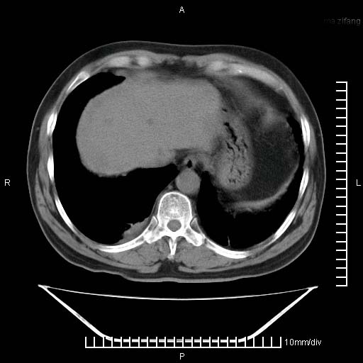
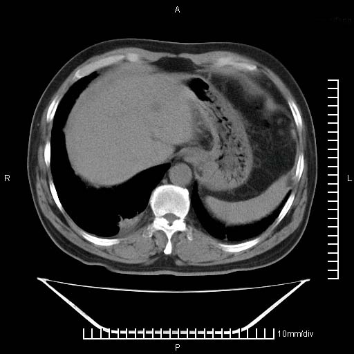
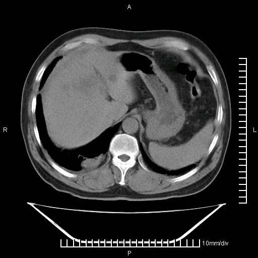
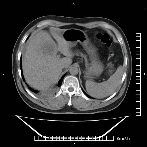
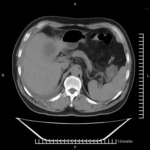
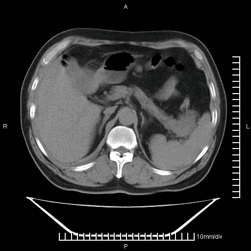
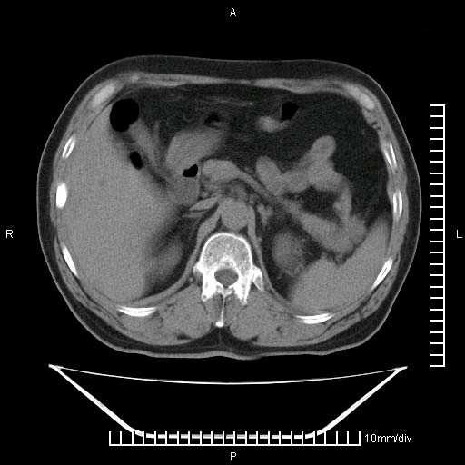
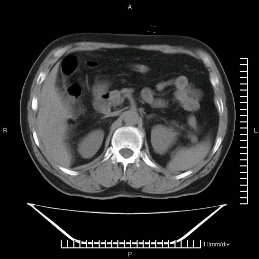
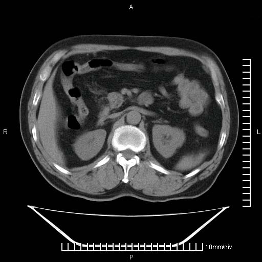
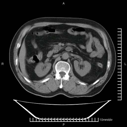
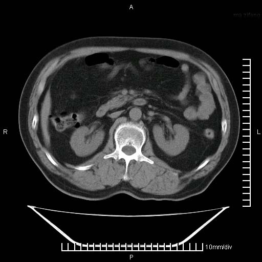
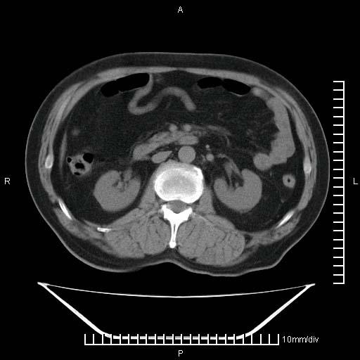
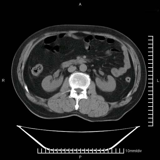
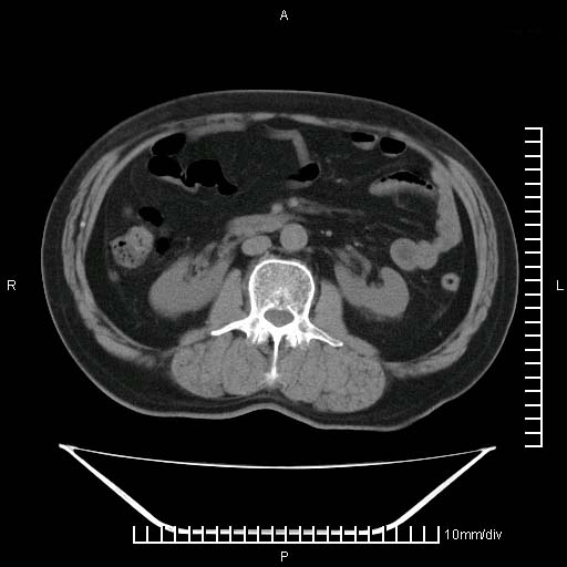
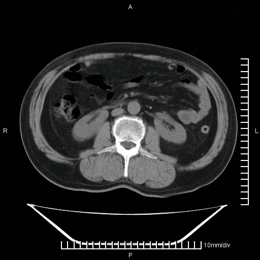
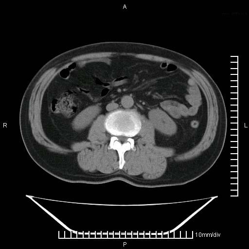
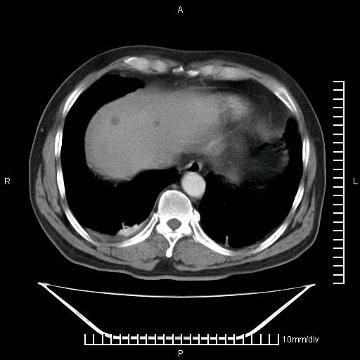
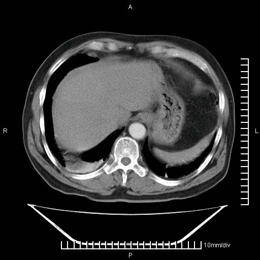
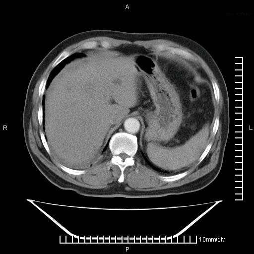
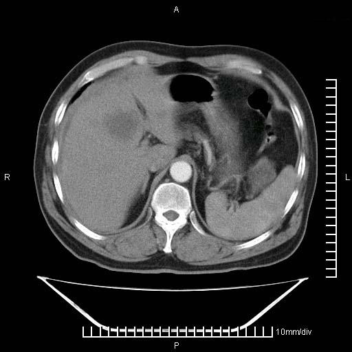
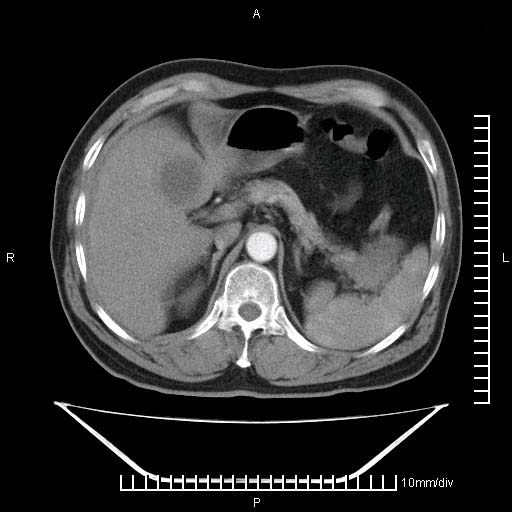
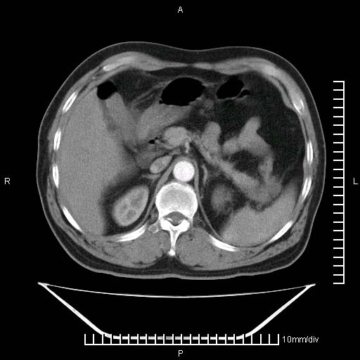
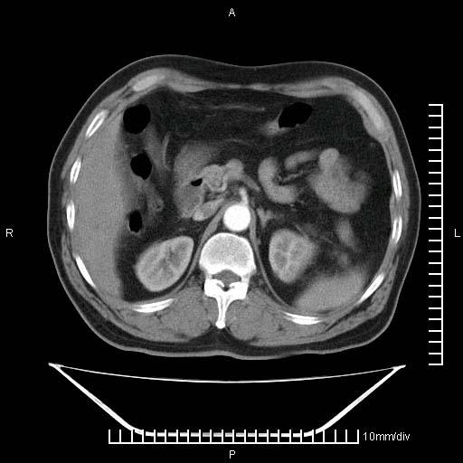
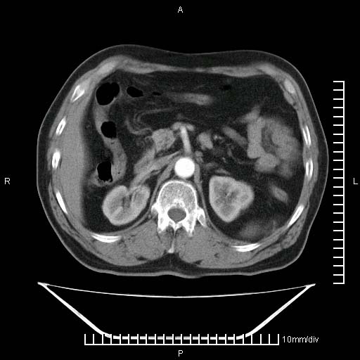
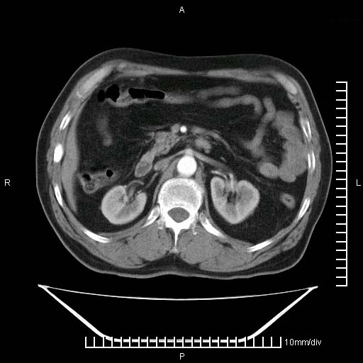
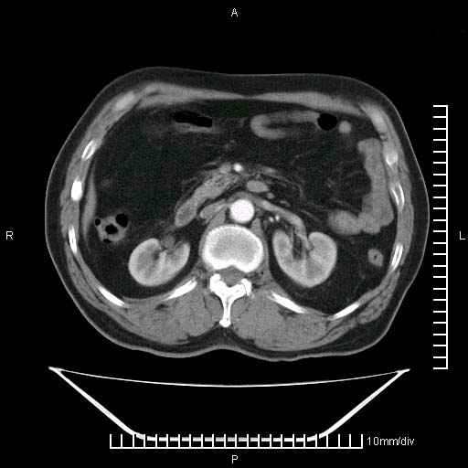
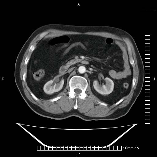
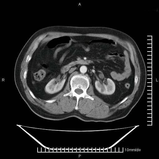
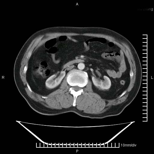
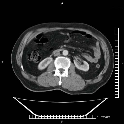
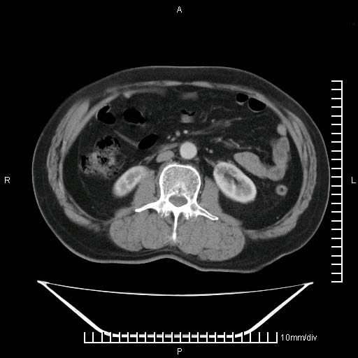
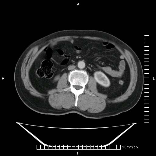
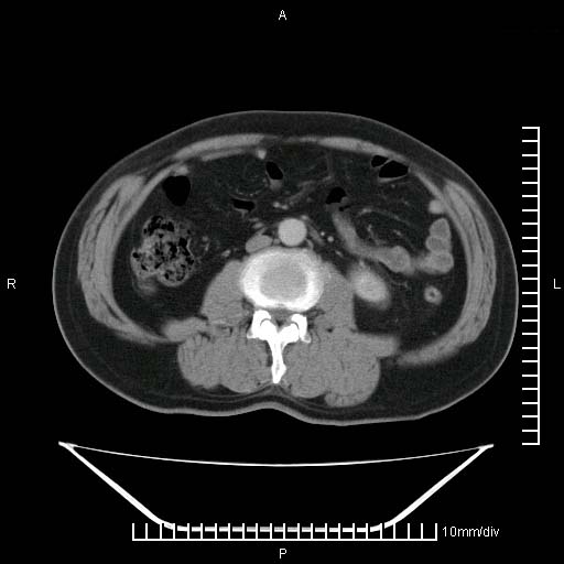
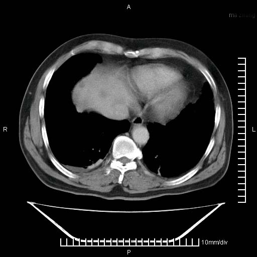
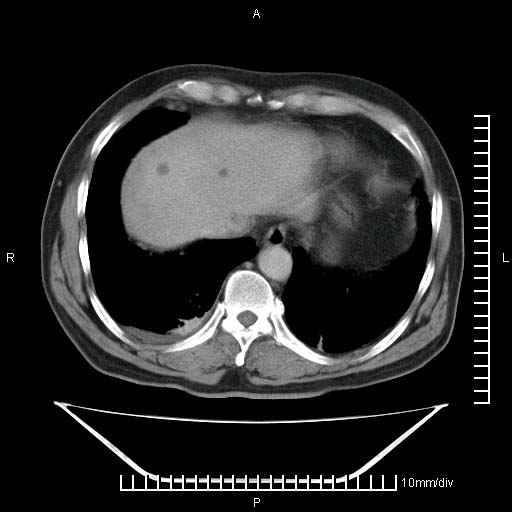
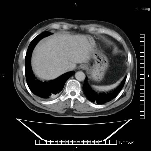
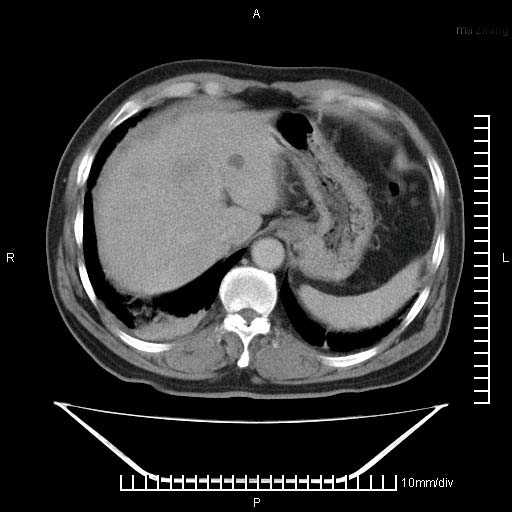
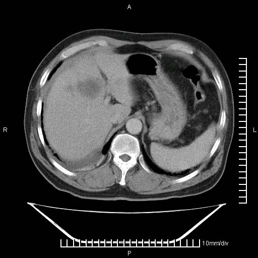
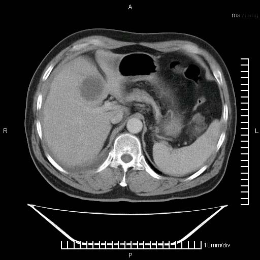
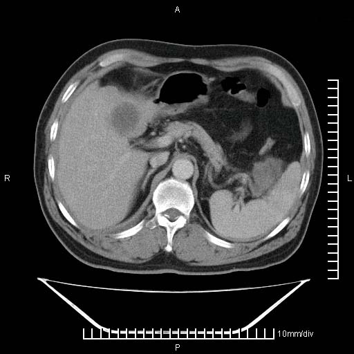
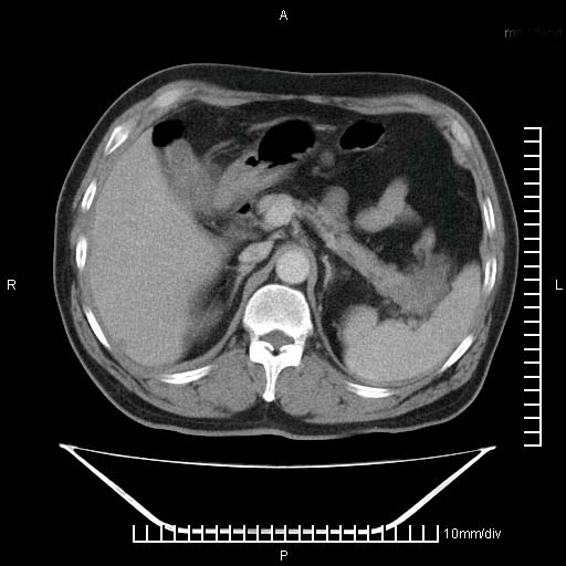
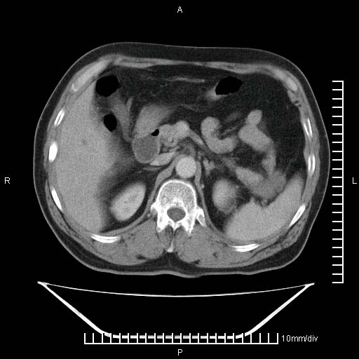
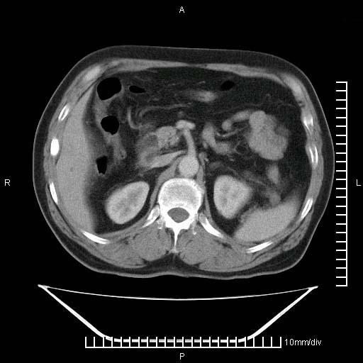
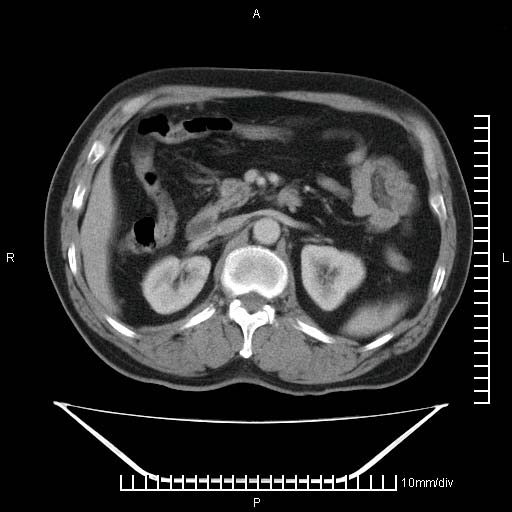
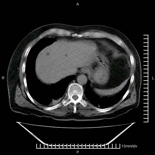
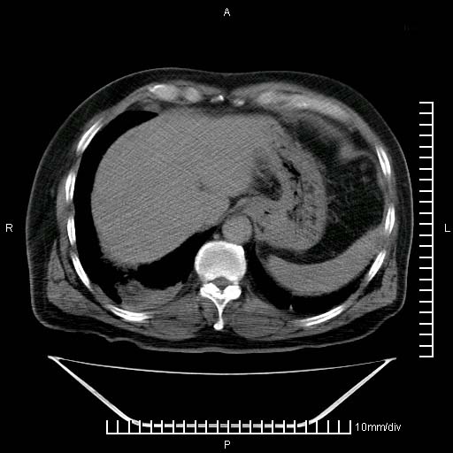
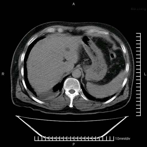
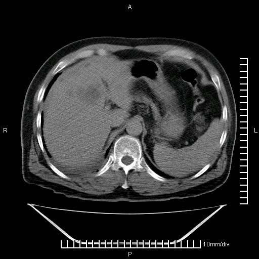
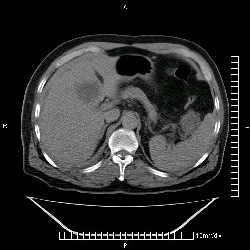
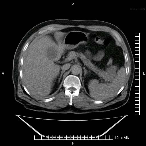
患者以心脏疾病收住院,腹部无明显症状,b超查肝脏有占位。
[img][/img]




















































[本贴已被 jiajie 于 2010-3-15 18:05:39 修改过]
作者: 子期 时间: 2010-3-15 22:21
增强效果不理想。考虑转移,胆囊壁明显增厚,不排除胆囊癌肝转移。
作者: fengzhongf2009 时间: 2010-3-15 22:48
病灶无强化,考虑囊肿。
作者: yuhongjun 时间: 2010-3-15 23:07
标题: 回复
增强效果不理想,考虑转移。
[本贴已被 yuhongjun 于 2010-3-16 7:00:23 修改过]
作者: jgr 时间: 2010-3-15 23:07
该患者胆囊在哪儿?是否有病变?
作者: liangshusheng 时间: 2010-3-15 23:15
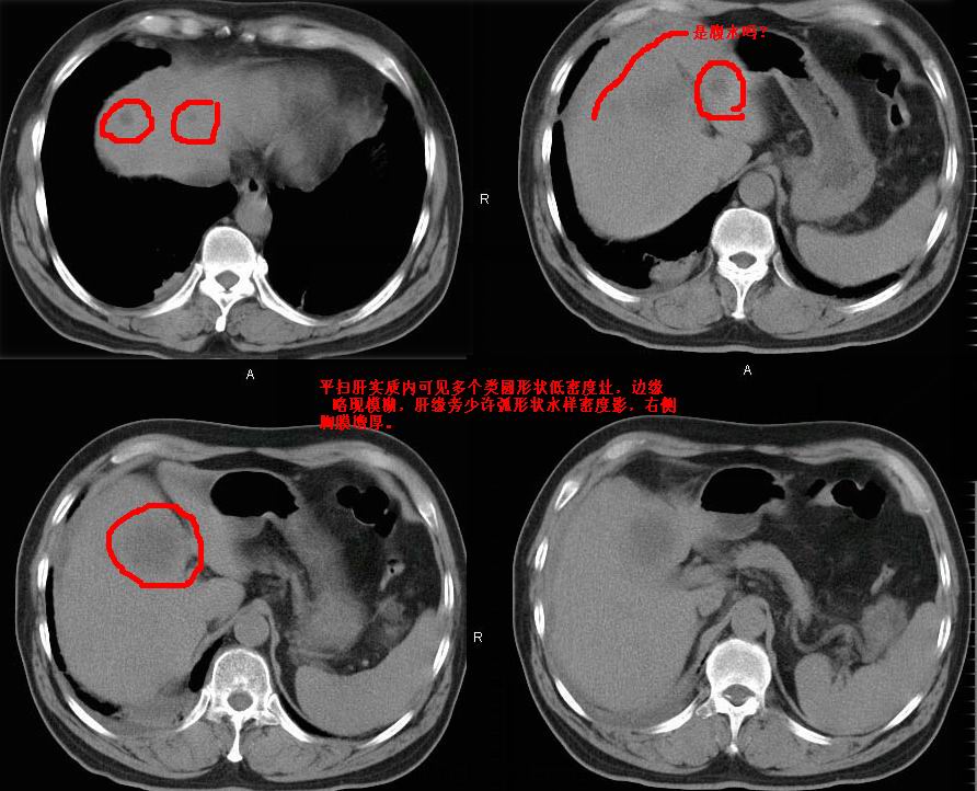
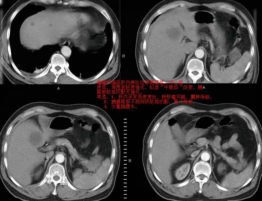
牛眼征,中心坏死无强化,外缘强化,最外缘又见低密度,考虑转移,与脓肿鉴别
作者: 深泽交通 时间: 2010-3-15 23:36
考虑右肺下叶周围癌肝转移
作者: zxl51642 时间: 2010-3-15 23:50
肝内多发转移瘤,右下肺炎症并少量胸水。胃壁增厚建议胃镜,胰尾部“病变”为肠管。
作者: dhlyq 时间: 2010-3-15 23:55
增强效果不理想。考虑转移,
作者: hcx13870488590 时间: 2010-3-15 23:57
肝内多发病灶,增强做的不太理想,效果欠佳,考虑是不是脓肿,看临床资料!!!!!!!
作者: 徘徊的牛 时间: 2010-3-16 00:20
标题: 回复:肝脏增强:男性,70岁



作者: 随光逐影 时间: 2010-3-16 00:51
1)肝脏多发性转移瘤(不排除胰尾癌转移所致可能)。2)腹水。3)右侧少量胸腔积液。
作者: 成人之龙 时间: 2010-3-16 01:33
增强效果太差了,是手推的吧,不会是团注的,肝内多发低密度灶占位,多考虑为肝ca
作者: yangyang2000 时间: 2010-3-16 05:11
增强效果不理想。考虑转移
作者: zjzjr 时间: 2010-3-16 05:24
1)肝脏多发性转移瘤(不排除胰尾癌转移所致可能)。2)腹水。3)右侧少量胸腔积液。
作者: 黑白光影 时间: 2010-3-16 05:27
增强效果不理想,考虑转移。
作者: zxczxc 时间: 2010-3-16 06:25
右下胸膜肥厚。
肝囊肿。
胰尾占位?结肠脾曲?
作者: yangyudong333 时间: 2010-3-16 14:33
肝内多发转移瘤,右下肺炎症并少量胸水。胃壁增厚建议胃镜,胰尾部“病变”为肠管。
作者: 拾荒者 时间: 2010-3-24 02:55
ct25082 结果:转移瘤
外院mr结果:胰尾恶性占位。
感谢楼主反馈“结果”。
作者: yangyudong333 时间: 2010-3-24 15:00
增强效果不理想。考虑转移,
作者: dyqct 时间: 2010-3-25 06:10
学习了。
作者: dhlyq 时间: 2010-3-25 08:19
学习了
作者: tgs_fs88 时间: 2010-3-26 04:13
肝多发低密度灶;轻度强化,较水密度高,考虑转移,不排除肝脓肿
作者: 赵物学 时间: 2010-3-27 22:33
标题: 回复:ct25082:肝脏增强:男性,70岁
以下是引用徘徊的牛在2010-3-15 16:20:00的发言:[br]
[br]
[br]
[br]
不看别的就看你这图就支持你了
作者: 帅河马 时间: 2010-3-30 05:28
学习了
作者: 吴医师 时间: 2010-5-24 19:01
谢谢 学习了
欢迎光临 医影在线 (http://bbs.radida.com/bbs/) |
Powered by Discuz! X3.2 |