

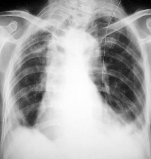
以下是引用拾荒者在2010-3-16 20:35:00的发言:[br]体位不正,肩胛骨没闪出肺野,拍照条件也不好,应该重照,否则诊断有可能与事实差距太大。
以下是引用小小医在2010-3-16 19:45:00的发言:[br]气管牵拉右移,胸段脊柱右弯畸形,慢性支气管炎,双侧胸膜增厚,左下肺炎,左下胸膜腔少量积液,建议ct
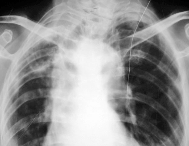
以下是引用小小医在2010-3-16 19:45:00的发言:[br]气管牵拉右移,胸段脊柱右弯畸形,慢性支气管炎,双侧胸膜增厚,左下肺炎,左下胸膜腔少量积液,建议ct
以下是引用随光逐影在2010-3-17 7:43:00的发言:[br]1)右上肺继发性肺结核。2)慢性支气管炎并左下肺感染,肺气肿。3)双侧胸膜增厚,左侧少量胸腔积液。
以下是引用随光逐影在2010-3-17 7:43:00的发言:[br]1)右上肺继发性肺结核。2)慢性支气管炎并左下肺感染,肺气肿。3)双侧胸膜增厚,左侧少量胸腔积液。
以下是引用随光逐影在2010-3-17 7:43:00的发言:[br]1)右上肺继发性肺结核。2)慢性支气管炎并左下肺感染,肺气肿。3)双侧胸膜增厚,左侧少量胸腔积液。
以下是引用帅河马在2010-3-17 17:54:00的发言:[br]1)右上肺继发性肺结核。2)慢性支气管炎并左下肺感染,肺气肿。3)双侧胸膜增厚,左侧少量胸腔积液。支持...
| 欢迎光临 医影在线 (http://bbs.radida.com/bbs/) | Powered by Discuz! X3.2 |