医影在线

标题: CT25147:男,62岁,右侧肢体活动障碍不灵活三天。 [打印本页]

作者: ldm1993    时间: 2010-3-18 06:28
标题: CT25147:男,62岁,右侧肢体活动障碍不灵活三天。
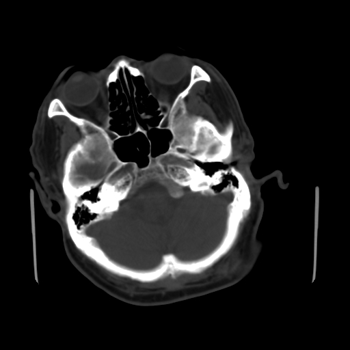
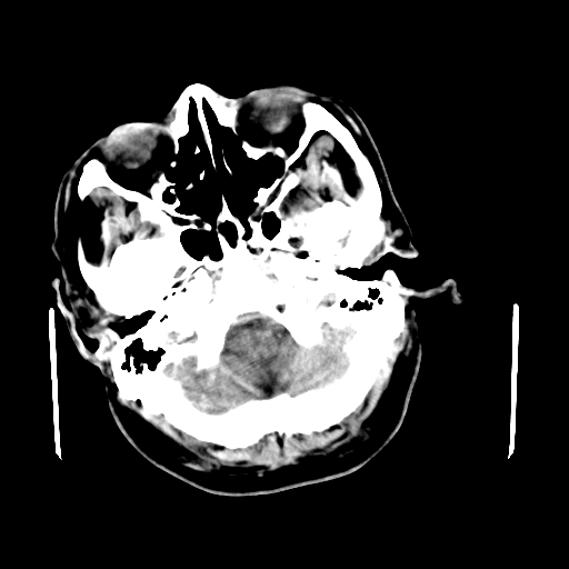
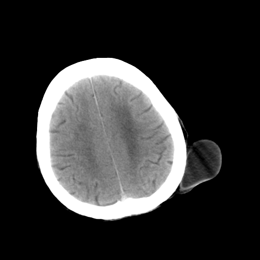
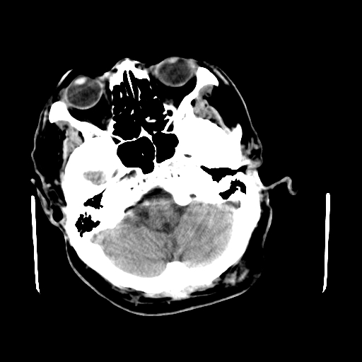
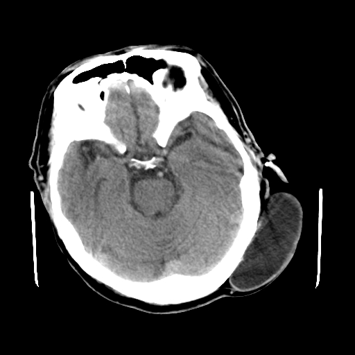
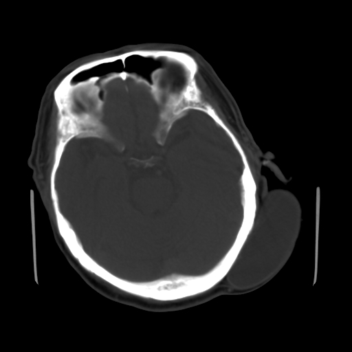
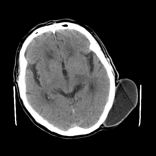
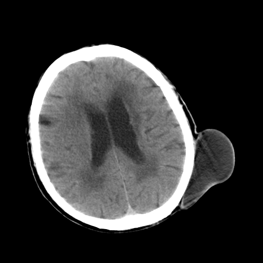
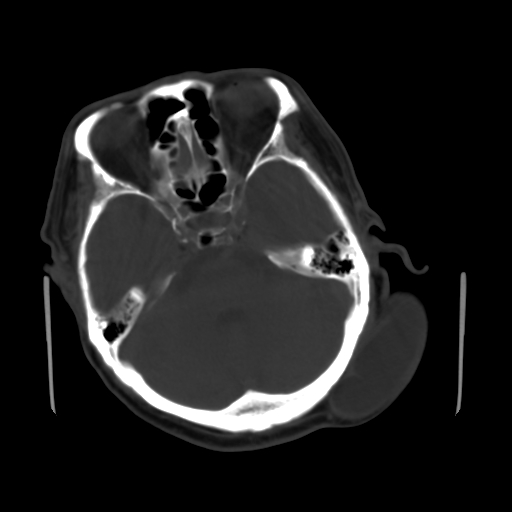
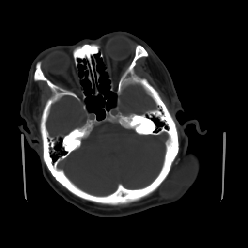
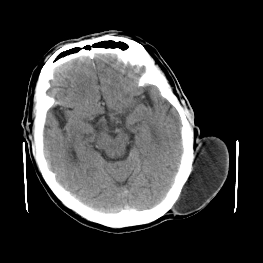
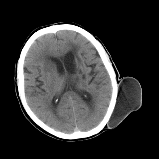
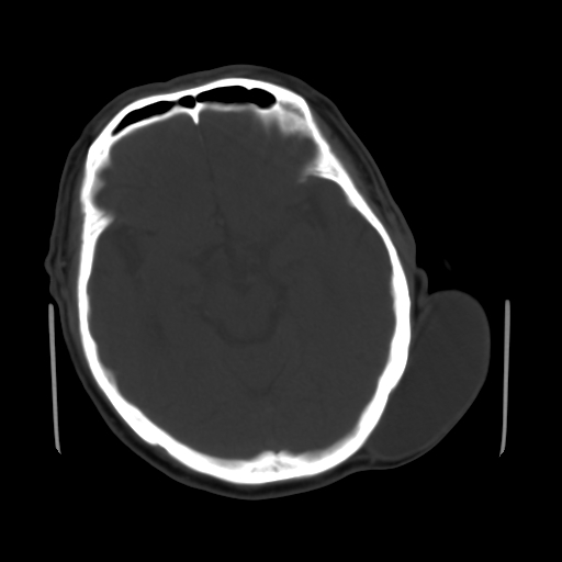
男,62岁,右侧肢体活动障碍不灵活三天,左侧头皮肿物十余年(ct值8hu)。


























[本贴已被 翁志蓬 于 2010-3-17 22:45:15 修改过]

作者: 卜一    时间: 2010-3-18 13:14
多发腔梗!皮下脂肪瘤!
作者: 张辉9999    时间: 2010-3-18 15:44
支持楼上意见。
作者: 随光逐影    时间: 2010-3-18 16:23
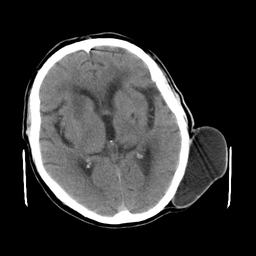
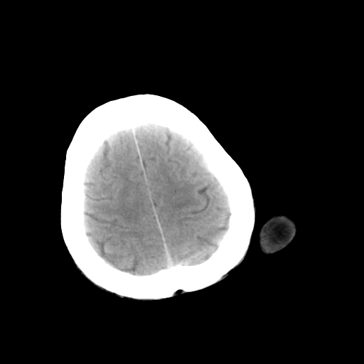
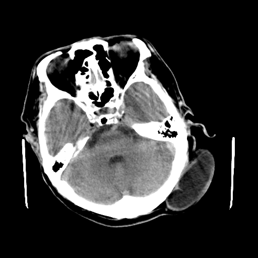
1)多发性腔隙性脑梗塞。2)脑白质病。3)脑萎缩。4)左侧枕顶部头皮下皮样囊肿,不排除脂肪瘤。
作者: LIAOQIANG    时间: 2010-3-18 17:24
1)多发性腔隙性脑梗塞。2)脑白质病。3)脑萎缩。4)左侧枕顶部头皮下皮样囊肿,不排除脂肪瘤。
支持!!
作者: zxl51642    时间: 2010-3-18 19:49
1)多发性腔隙性脑梗塞。2)脑白质病。3)脑萎缩。4)左侧枕顶部头皮下皮样囊肿或表皮样囊肿。
作者: 黑白光影    时间: 2010-3-19 20:28
标题: 回复:ct25147:男,62岁,右侧肢体活动障碍不灵活三天。
以下是引用随光逐影在2010-3-18 8:23:00的发言:[br]1)多发性腔隙性脑梗塞。2)脑白质病。3)脑萎缩。4)左侧枕顶部头皮下皮样囊肿,不排除脂肪瘤。

作者: dr.yang    时间: 2013-5-7 23:05
1)多发性腔隙性脑梗塞。2)脑白质病。3)脑萎缩。4)左侧枕顶部头皮下皮样囊肿或表皮样囊肿。




欢迎光临 医影在线 (http://bbs.radida.com/bbs/) Powered by Discuz! X3.2