医影在线

标题: CT25149:男,69岁,反复咳嗽、咳痰五年余,呼吸困难三天。 [打印本页]

作者: ldm1993    时间: 2010-3-18 06:38
标题: CT25149:男,69岁,反复咳嗽、咳痰五年余,呼吸困难三天。
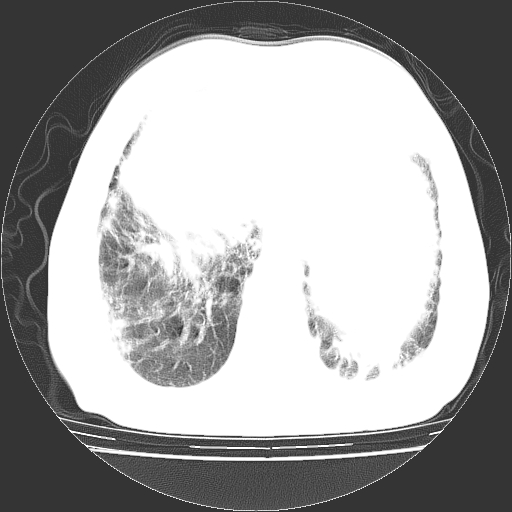
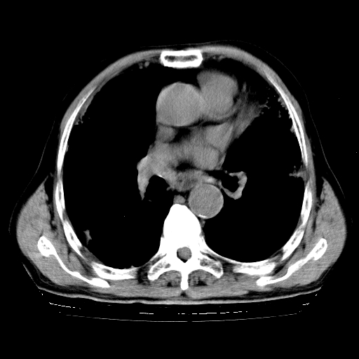
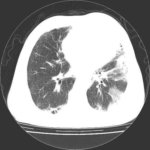
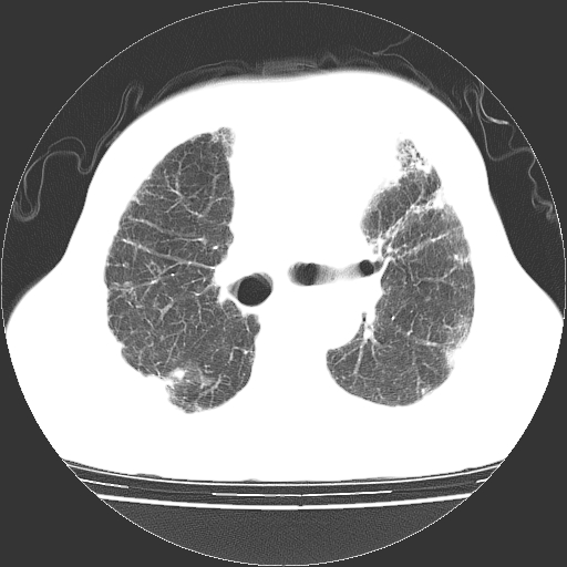
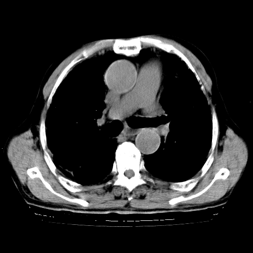
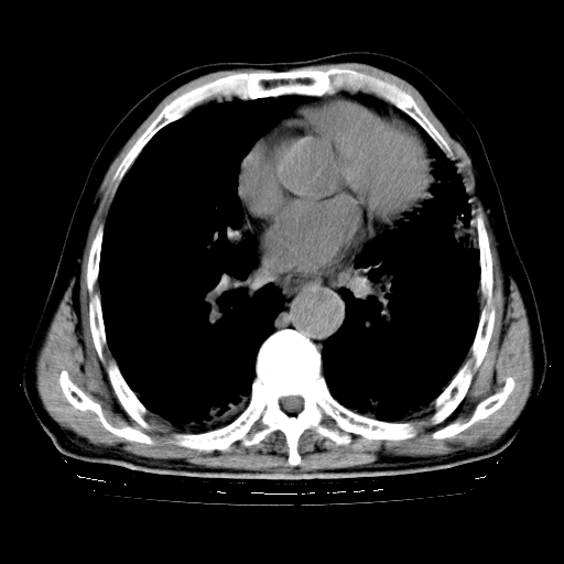
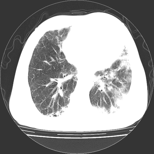
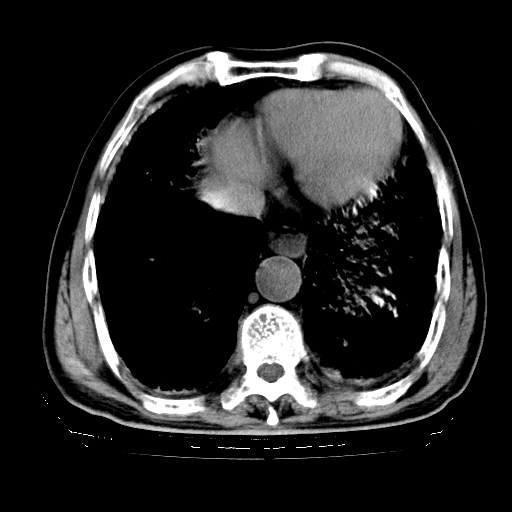
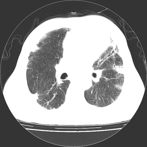
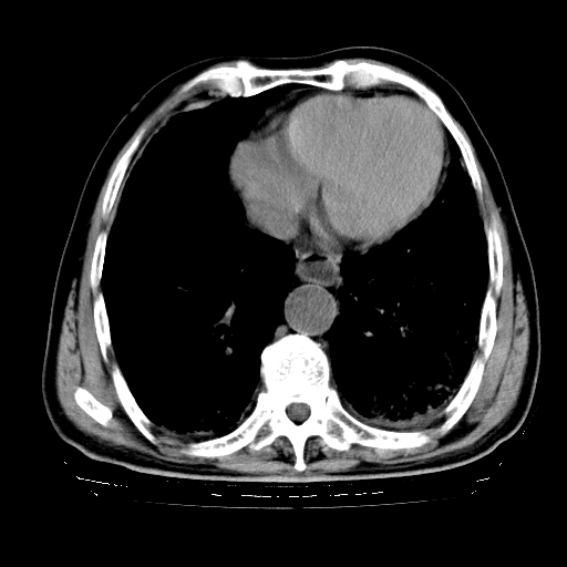
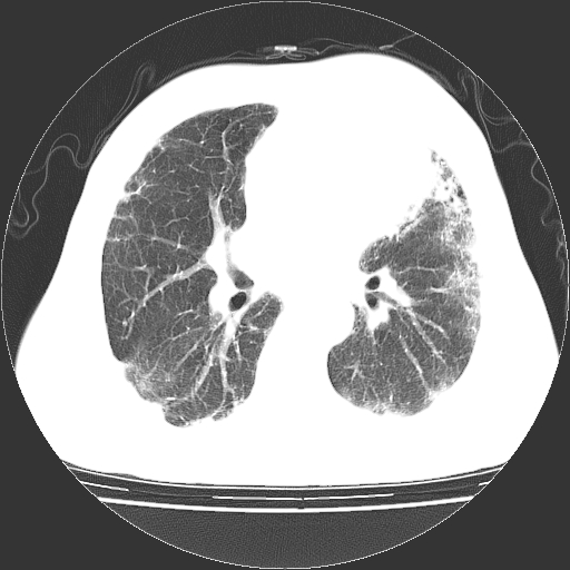
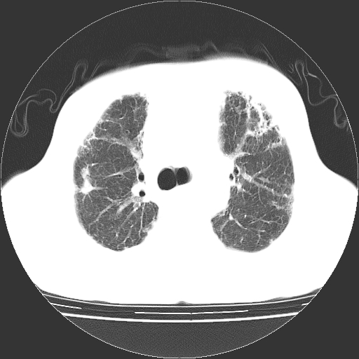
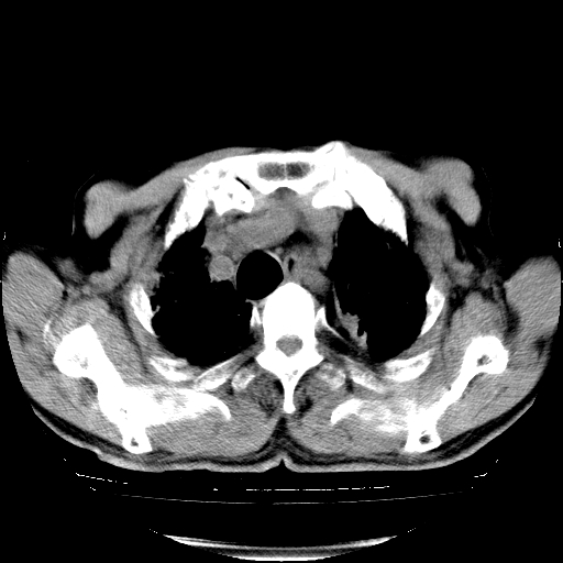
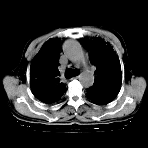
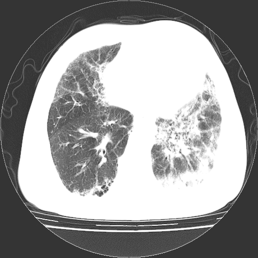
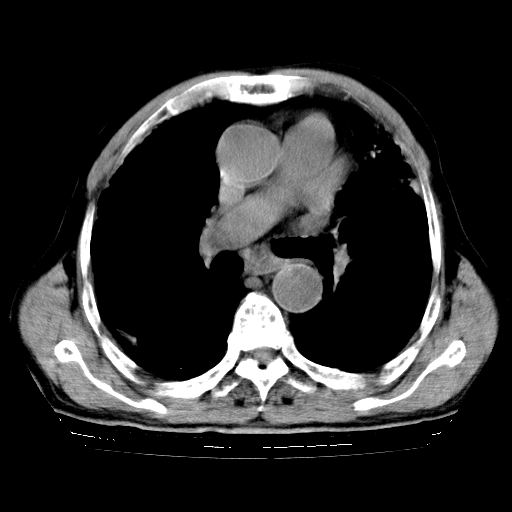
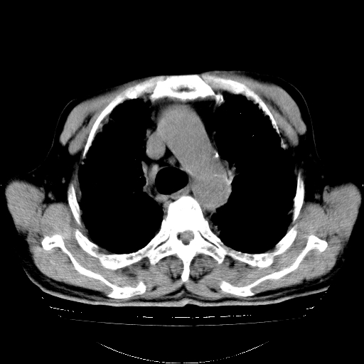
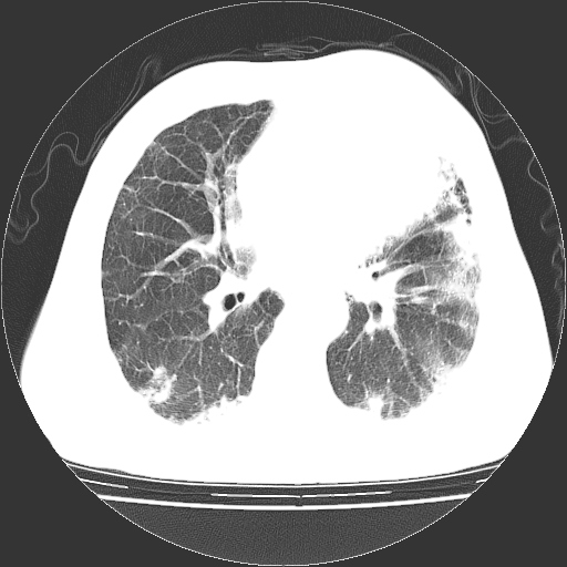
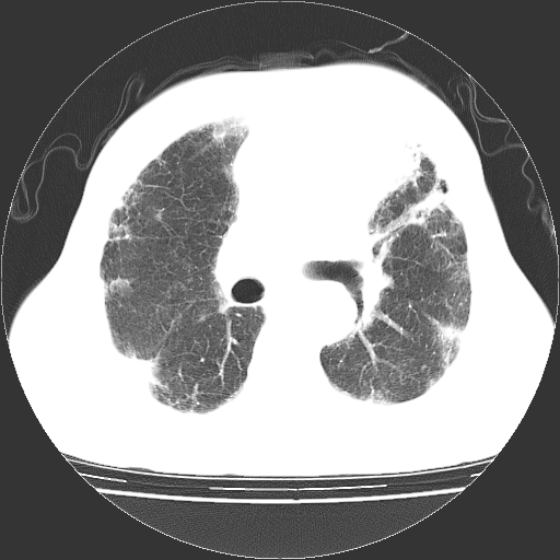
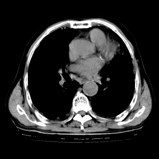
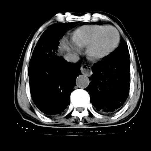
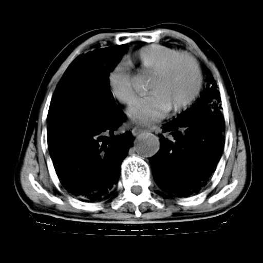
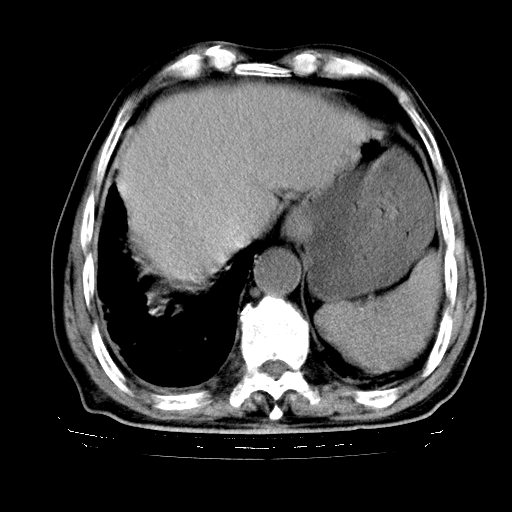
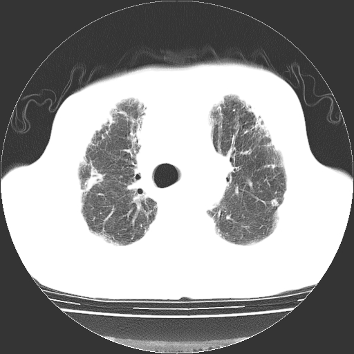
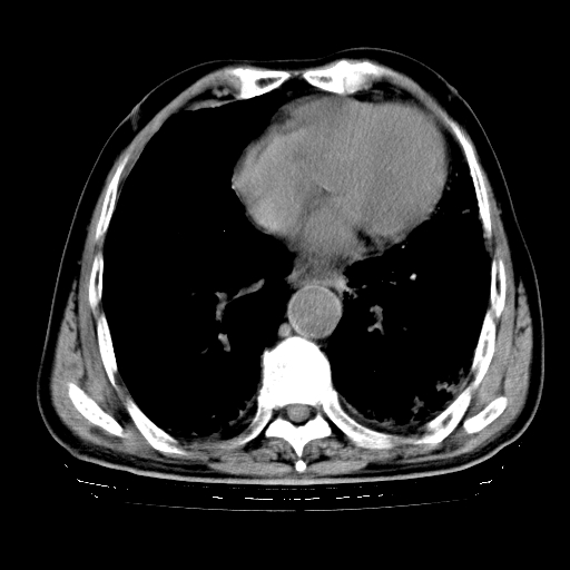
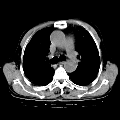
男,69岁,反复咳嗽、咳痰五年余,呼吸困难三天。






































[本贴已被 翁志蓬 于 2010-3-17 23:02:25 修改过]

作者: 地球上的    时间: 2010-3-18 07:02
慢支伴感染、肺气肿、肺心病
作者: 卜一    时间: 2010-3-18 12:58
慢支伴感染、肺气肿、肺心病!支持!另:间质纤维化!
作者: yangyudong333    时间: 2010-3-18 14:35
慢支伴感染、肺气肿、肺心病!支持!另:间质纤维化!
作者: 科室第一人    时间: 2010-3-18 15:09
两肺间质性炎症并感染,左上叶肉芽肿
作者: 随光逐影    时间: 2010-3-18 16:32
考虑慢性间质性肺炎并肺间质纤维化。
作者: LIAOQIANG    时间: 2010-3-18 16:41
慢支伴感染、肺气肿、肺心病。双肺间质性改变(间质纤维化)。
作者: zxl51642    时间: 2010-3-18 19:48
慢支伴感染、肺气肿、肺心病,双肺间质性改变(间质纤维化)。
作者: 黑白光影    时间: 2010-3-19 20:36
慢支伴感染、肺气肿、肺心病。双肺间质性改变(间质纤维化)。
作者: dr.yang    时间: 2013-5-7 23:05
慢支伴感染、肺气肿、肺心病,双肺间质性改变(间质纤维化)。




欢迎光临 医影在线 (http://bbs.radida.com/bbs/) Powered by Discuz! X3.2