医影在线

标题: CT25171:患者间断性头痛 无外伤史 [打印本页]

作者: wsqyg    时间: 2010-3-19 02:20
标题: CT25171:患者间断性头痛 无外伤史












[本贴已被 翁志蓬 于 2010-3-18 23:06:26 修改过]

作者: liangshusheng    时间: 2010-3-19 02:48
穿通畸形囊肿
作者: wangzhip2009    时间: 2010-3-19 03:01
学习了
作者: 沉默是金    时间: 2010-3-19 03:12
脑穿通畸形
作者: 听海观潮20    时间: 2010-3-19 03:15
穿通畸形囊肿
作者: 随光逐影    时间: 2010-3-19 03:30
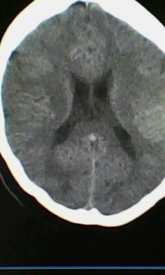
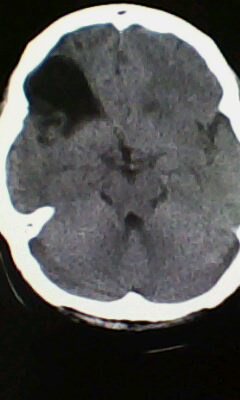
右侧额叶脑穿通畸形囊肿。
作者: 地球上的    时间: 2010-3-19 03:30
穿通畸形囊肿(学习了)
作者: jiahui7z    时间: 2010-3-19 03:40
脑穿通畸形
作者: 卜一    时间: 2010-3-19 03:44
穿通畸形囊肿!
作者: 联众之王    时间: 2010-3-19 03:44
脑穿通畸形
作者: klw    时间: 2010-3-19 04:10
图不清,有灰质异位吗?与脑裂畸形鉴别
作者: 37度    时间: 2010-3-19 04:26
囊肿引起的脑穿通。
作者: dyqct    时间: 2010-3-19 04:30
右侧额叶脑穿通畸形囊肿。支持!
作者: zxl51642    时间: 2010-3-19 04:42
脑穿通畸形
作者: 水蓝色的    时间: 2010-3-19 05:36
支持脑穿通畸形。
作者: yangyang2000    时间: 2010-3-19 06:34
穿通畸形囊肿
作者: 513ytb    时间: 2010-3-19 06:58
穿通畸形囊肿.
作者: hhhhhh6    时间: 2010-3-19 15:38
标题: 回复:ct25171:患者间断性头痛 无外伤史
以下是引用513ytb在2010-3-18 22:58:00的发言:[br]穿通畸形囊肿.

那就说囊肿不就行了吗,中间有囊肿了还可以叫穿通畸形了吗?那中间要是有个肿瘤是不是可以叫穿通畸形肿瘤呢
以前不光叫穿通畸形吗,谁没事给改了,改就改吧,反正我说了不算根着改就行了,这一病多名的问题太讨厌了
http://med.wanfangdata.com.cn/ke ... a%e7%95%b8%e5%bd%a2
http://journal.shouxi.net/html/q ... 2900638_463169.html
作者: zgb5618    时间: 2010-3-19 16:10
学习了
作者: wsz9999    时间: 2010-3-19 16:14
穿通畸形囊肿
作者: ljchenshiying    时间: 2010-3-19 16:27
穿通畸形囊肿
作者: yangyudong333    时间: 2010-3-19 16:45
右侧额叶脑穿通畸形囊肿。
作者: 黑白光影    时间: 2010-3-19 20:57
脑穿通畸形




欢迎光临 医影在线 (http://bbs.radida.com/bbs/) Powered by Discuz! X3.2