医影在线

标题: CT25189:胸椎ct,请会诊! [打印本页]

作者: jcw123    时间: 2010-3-19 20:49
标题: CT25189:胸椎ct,请会诊!
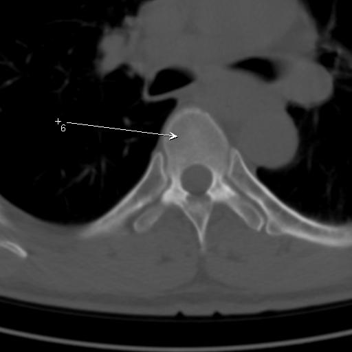
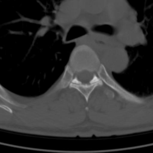
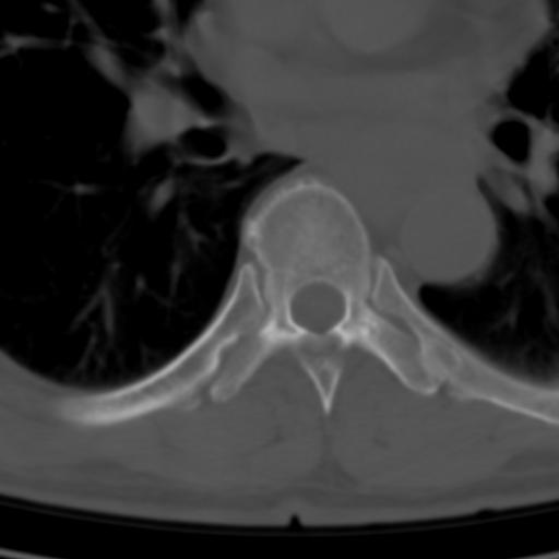
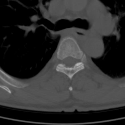
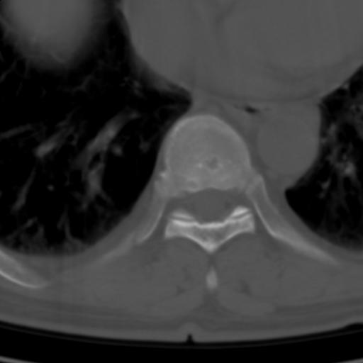
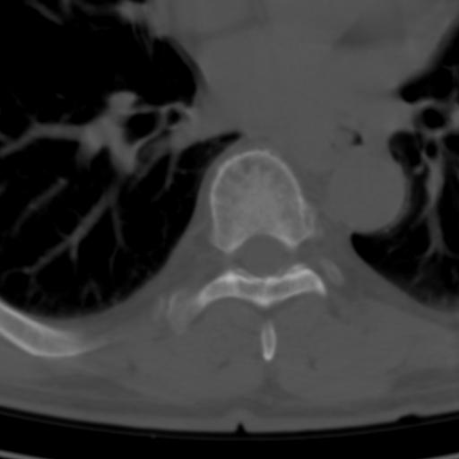
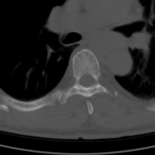
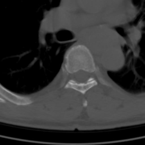
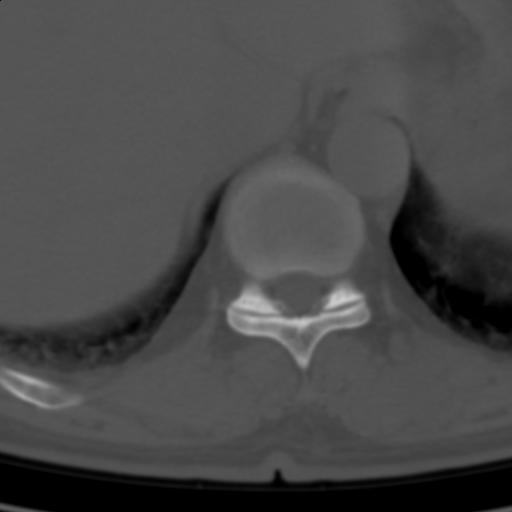
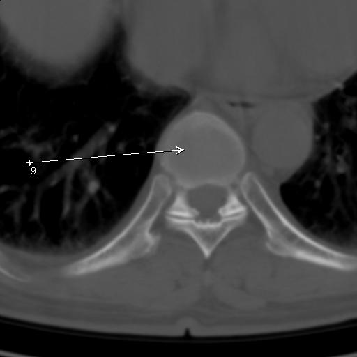
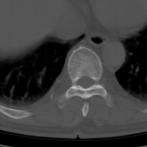
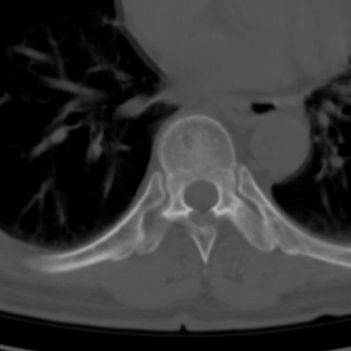
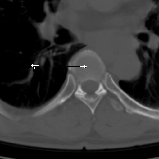
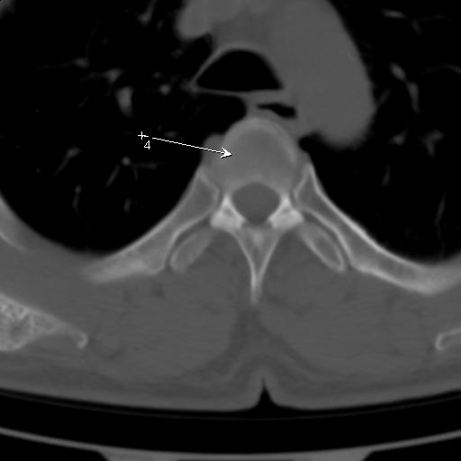
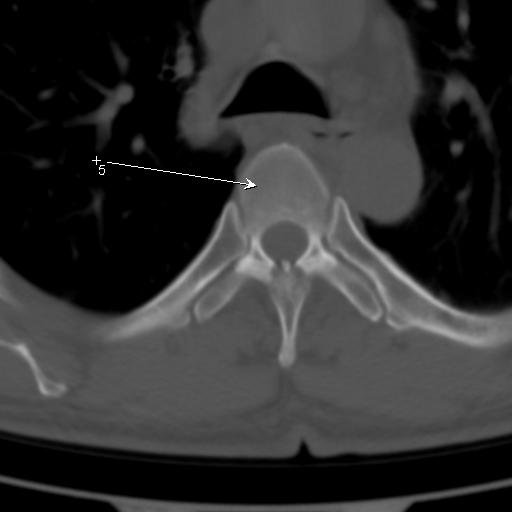
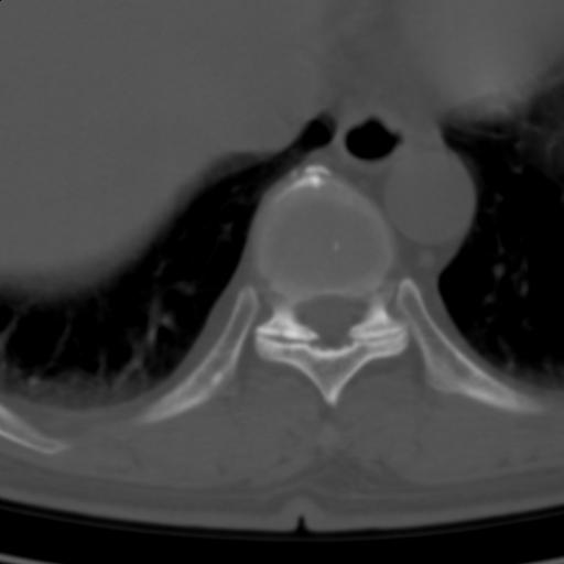
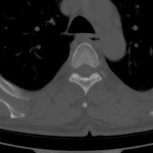
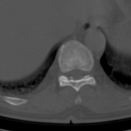
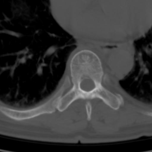
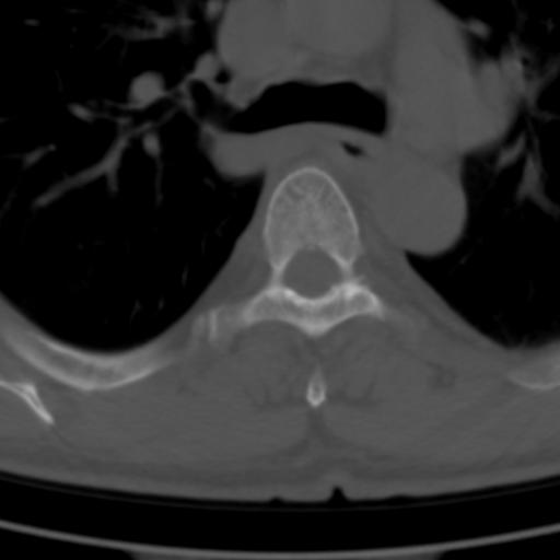
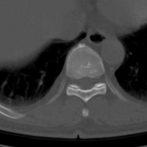
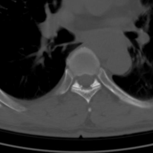
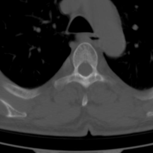
既往食管癌,现行ct检查!








































[本贴已被 jiajie 于 2010-3-19 22:15:47 修改过]

作者: 深泽交通    时间: 2010-3-19 23:03
仅见椎体退行性改变
作者: zxl51642    时间: 2010-3-19 23:59
中上段食道癌,椎体轻度退变。
作者: 同    时间: 2010-3-20 00:55
椎体退行性改变,食管癌。
作者: 边生丽    时间: 2010-3-20 01:14
中上段食道癌,椎体轻度退变。
作者: pujunzhi    时间: 2010-3-20 01:53
支持中上段食道癌,椎体轻度退变,必要时做ect。
作者: yangyudong333    时间: 2010-3-20 15:12
中上段食道癌,椎体轻度退变。
作者: 黑白光影    时间: 2010-3-20 22:55
支持中上段食道癌,椎体轻度退变。




欢迎光临 医影在线 (http://bbs.radida.com/bbs/) Powered by Discuz! X3.2