医影在线
标题: CT25199:F 78Y 腹胀半年 消瘦乏力 [打印本页]
作者: 37度 时间: 2010-3-20 00:53
标题: CT25199:F 78Y 腹胀半年 消瘦乏力















































































[本贴已被 jiajie 于 2010-3-19 22:24:46 修改过]
作者: 37度 时间: 2010-3-20 01:05
自从加入了医影在线,看片子眼不花了,打报告手不抖了,感觉水平差远了.也不缺心眼了,虽然多了很多白头发.但是:值!
作者: zjzjr 时间: 2010-3-20 01:22
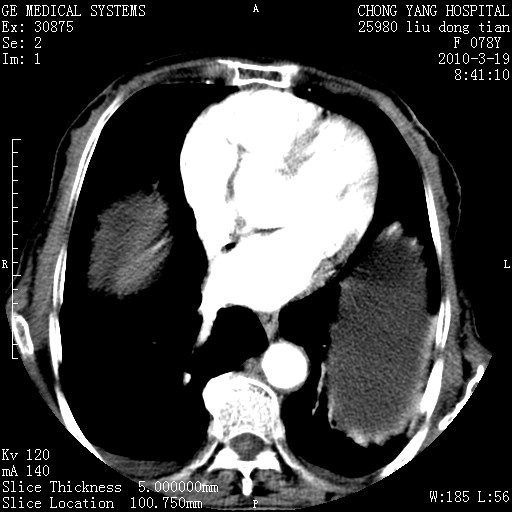
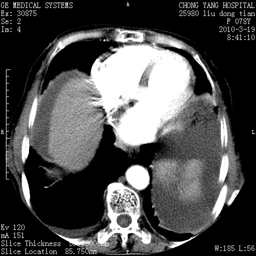
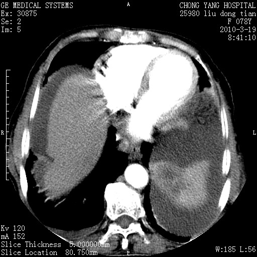
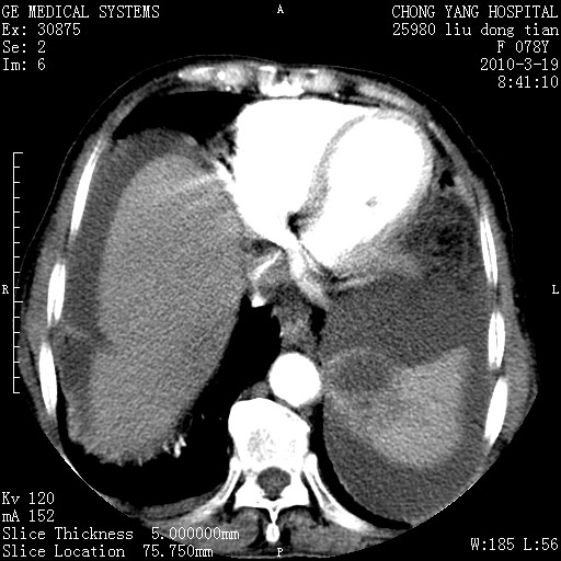
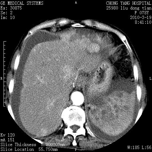
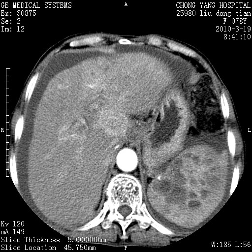
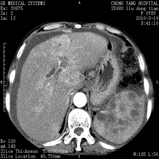
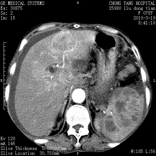
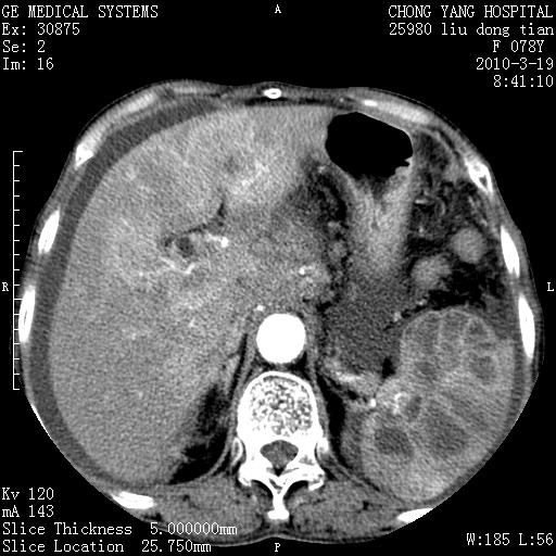
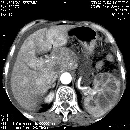
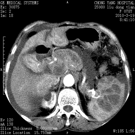
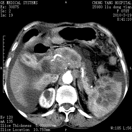
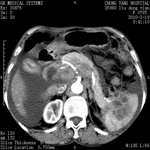
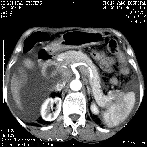
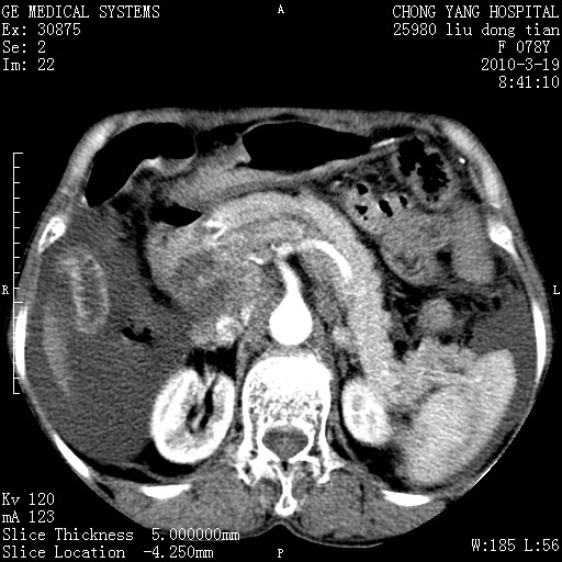
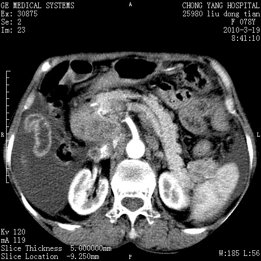
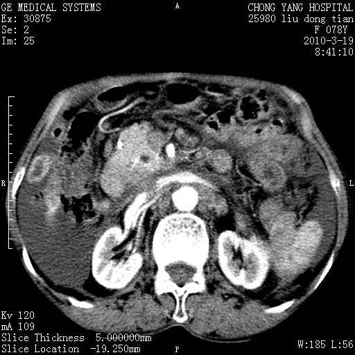
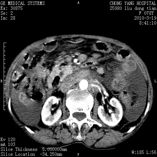
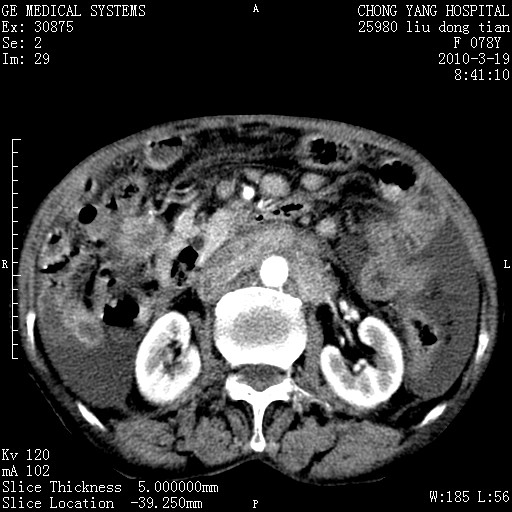
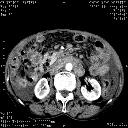
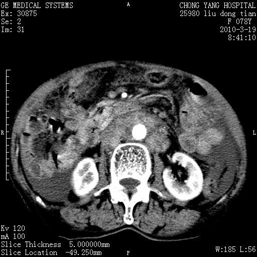
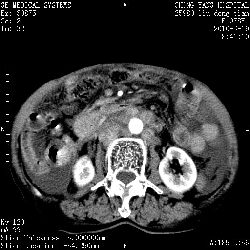
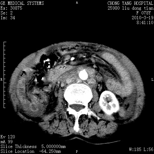
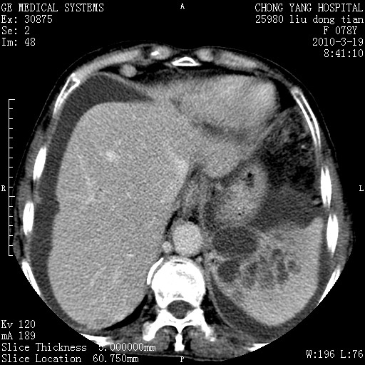
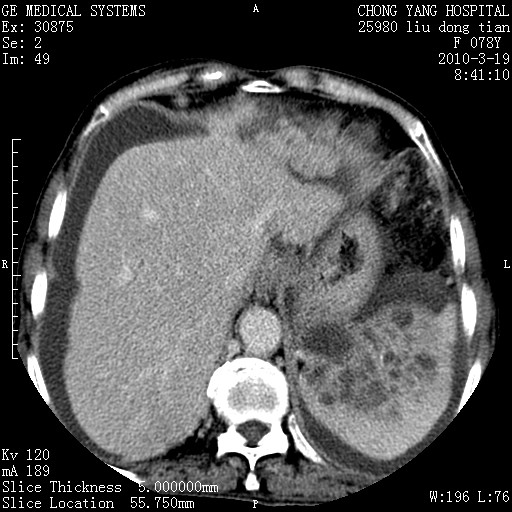
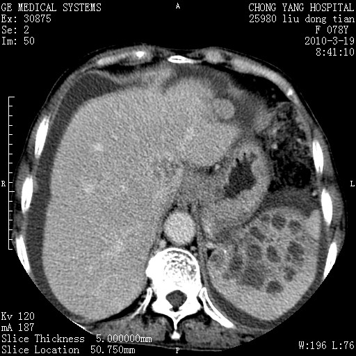
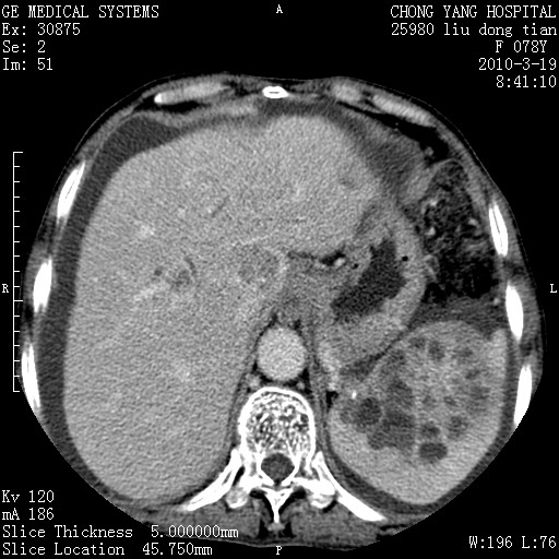
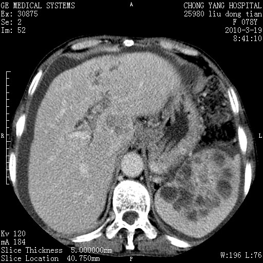
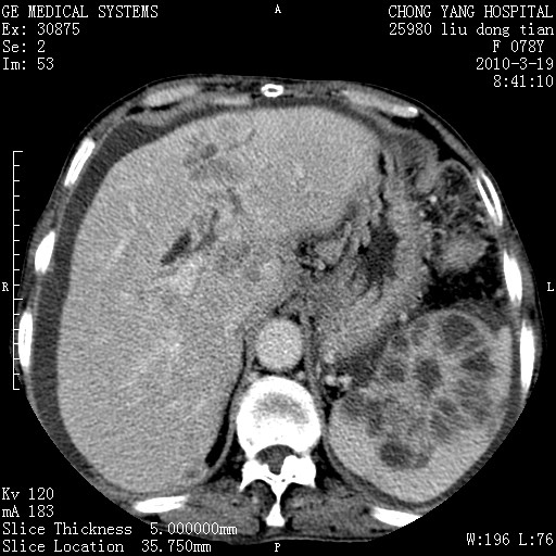
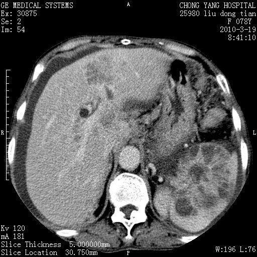
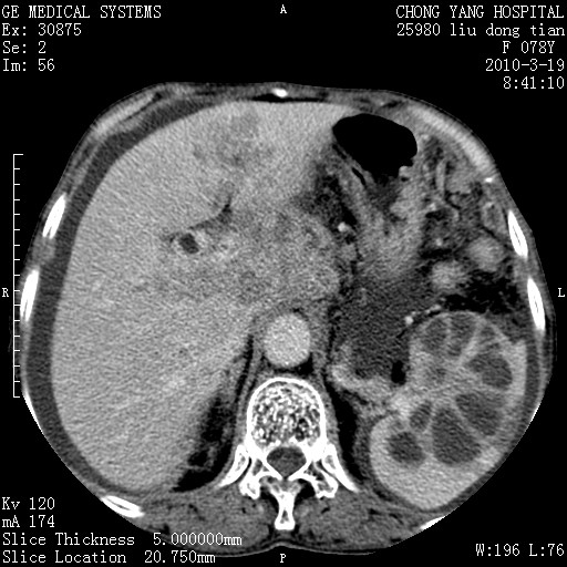
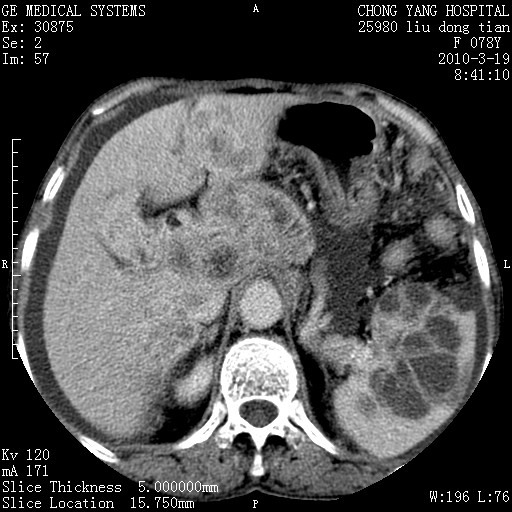
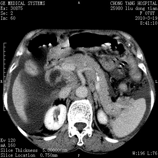
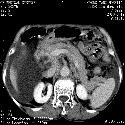
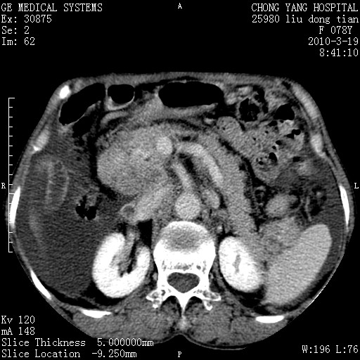
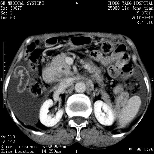
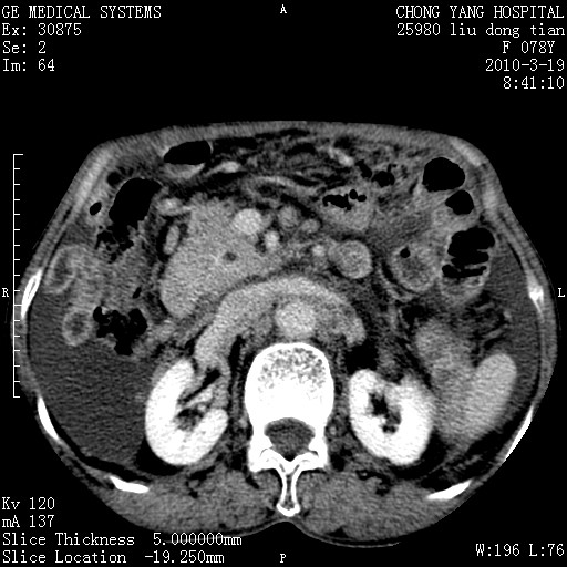
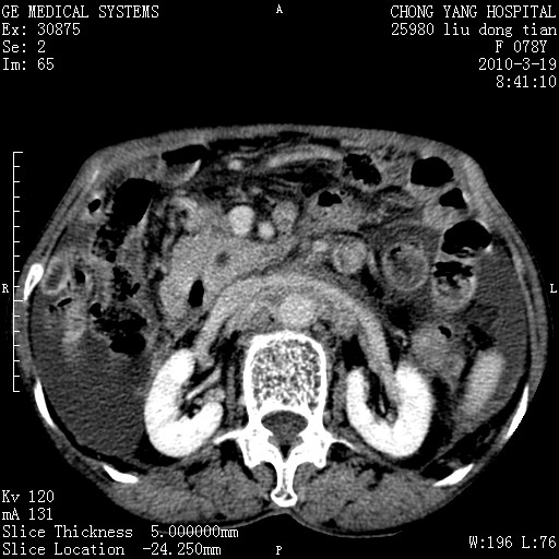
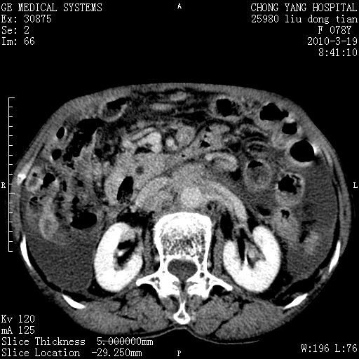
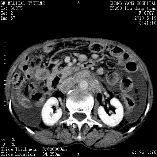
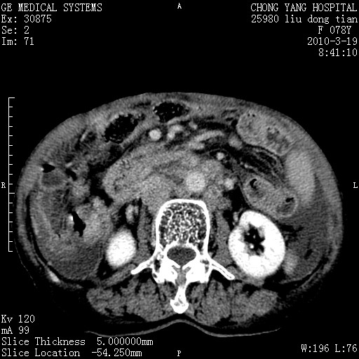
胆囊壁增厚并明显强化,胆囊癌伴多发转移瘤可能性大,淋巴瘤不除外,右肾囊肿,胸腹水.
作者: zxl51642 时间: 2010-3-20 01:29
标题: 3
考虑nhl,肝、脾、腹膜腔及腹膜后多发淋巴结受侵,腹水,右肾囊肿,慢性胆囊炎,右侧少量胸腔积液。
[本贴已被 zxl51642 于 2010-3-19 17:30:49 修改过]
作者: hhhhhh6 时间: 2010-3-20 01:47
这玩意我也不知道是什么转什么了,反正是不好的病就是了
都有可能
作者: wenjun5463 时间: 2010-3-20 01:48
首先考虑恶性淋巴瘤 。
作者: liangshusheng 时间: 2010-3-20 03:37
胰头有肿块形成,胰头ca伴肝脾、腹膜腹膜后转移
作者: 同 时间: 2010-3-20 04:20
标题: 回复:f 78y 腹胀半年 消瘦乏力
以下是引用zjzjr在2010-3-19 17:22:00的发言:[br]胆囊壁增厚并明显强化,胆囊癌伴多发转移瘤可能性大,淋巴瘤不除外,右肾囊肿,胸腹水.
作者: 曼一拍 时间: 2010-3-20 04:53
胆囊有软组织影有强化,支持胆囊癌,肝脾、腹膜后淋巴结转移。
nhl的淋巴结多围绕主动脉,而且主动脉会移位,所以不考虑nhl。
作者: wywly 时间: 2010-3-20 05:59
恶性肿瘤,淋巴来源待排。
作者: 37度 时间: 2010-3-20 06:27
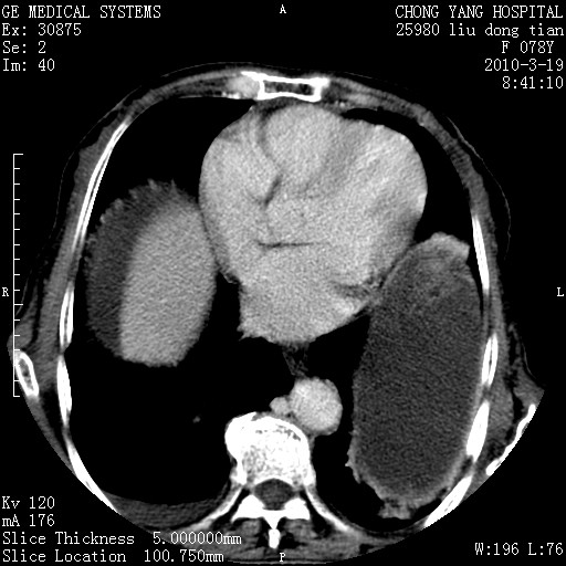
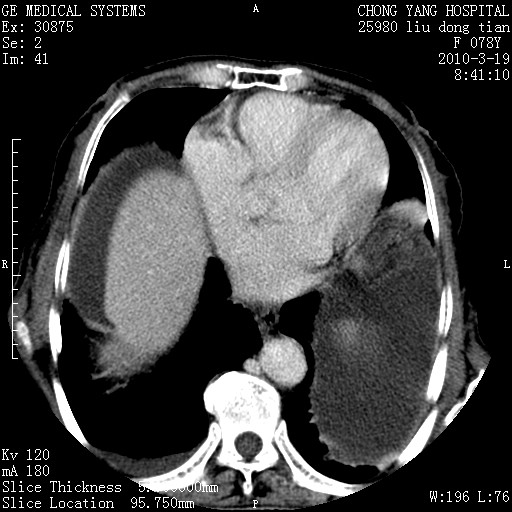
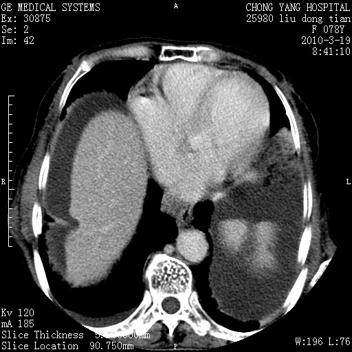
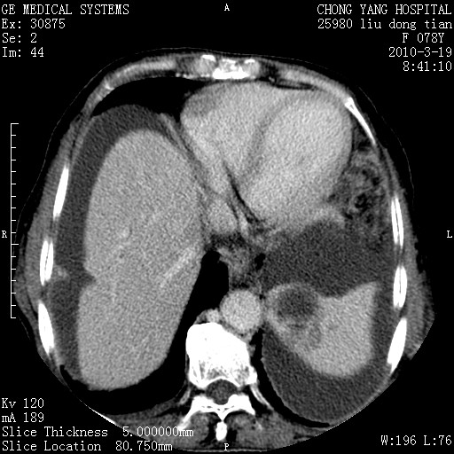
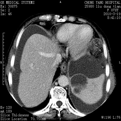
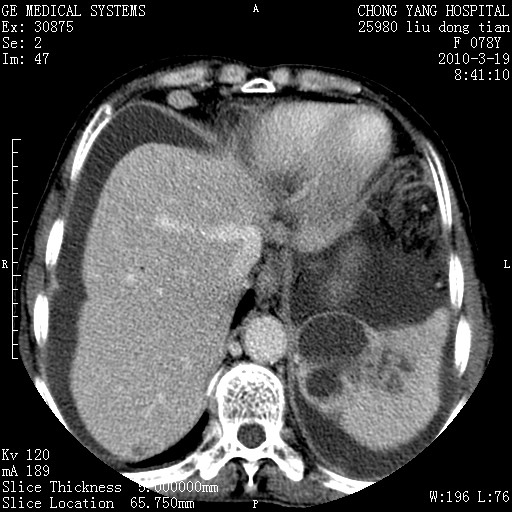
分开来讲:肝左叶、尾叶病灶有不均强化像肝癌;
脾脏病灶无强化,像多发囊肿或淋巴管瘤,不除外淋巴瘤(低强化);
胆囊增生性病变:胆囊癌,腺肌增生症,慢性胆囊炎;
肝门、胰腺头、腹膜后多个团块: 淋巴瘤,转移;
腔静脉肝内段细小有无布加可能?
一元论最好了 淋巴瘤所致改变; 胆囊癌转移不像,胆囊周围肝组织清晰,肝癌淋巴结转移?三元论都不止。
作者: 37度 时间: 2010-3-20 06:32
脾脏病灶像车轮 莲花,第一感觉还像包虫呢。真想全切出来一个个做病检。
作者: 513ytb 时间: 2010-3-20 07:41
考虑nhl,肝、脾、腹膜腔及腹膜后多发淋巴结受侵,腹水,右肾囊肿,慢性胆囊炎,右侧少量胸腔积液。
作者: yangyudong333 时间: 2010-3-20 14:44
胰头有肿块形成,胰头ca伴肝脾、腹膜腹膜后转移
作者: 卜一 时间: 2010-3-20 17:10
胰头ca伴肝脾、腹膜腹膜后转移!
作者: 沉默是金 时间: 2010-3-20 17:30
考虑恶性淋巴瘤
作者: 37度 时间: 2010-3-20 17:54
最后报的胰头癌多发转移,脾脏单独考虑囊肿或淋巴管瘤。
作者: 湘江一滴 时间: 2010-3-20 17:56
向各位学习!
作者: dhlyq 时间: 2010-3-20 18:40
考虑恶性淋巴瘤
作者: 随光逐影 时间: 2010-3-20 19:28
以下是引用zjzjr在2010-3-19 17:22:00的发言:
胆囊壁增厚并明显强化,胆囊癌伴多发转移瘤可能性大,淋巴瘤不除外,右肾囊肿,胸腹水.
作者: 黑白光影 时间: 2010-3-20 23:16
标题: 回复:ct25199:f 78y 腹胀半年 消瘦乏力
以下是引用zjzjr在2010-3-19 17:22:00的发言:[br]胆囊壁增厚并明显强化,胆囊癌伴多发转移瘤可能性大,淋巴瘤不除外,右肾囊肿,胸腹水.
| 欢迎光临 医影在线 (http://bbs.radida.com/bbs/) |
Powered by Discuz! X3.2 |