




















































































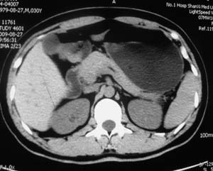
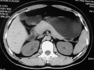
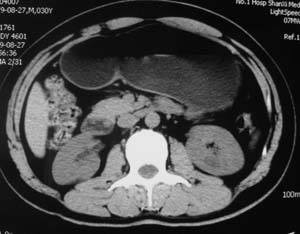
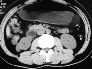
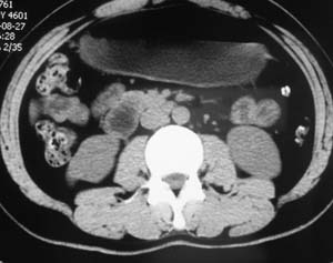
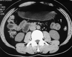
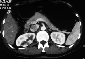
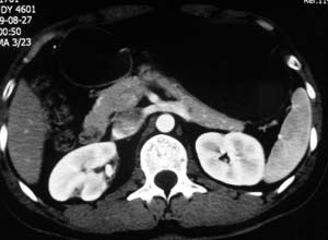
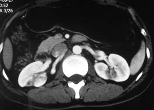
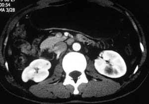
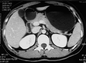
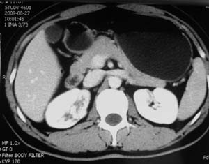
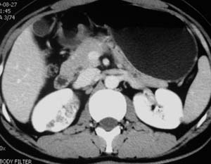
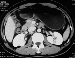
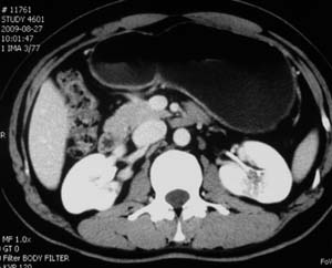
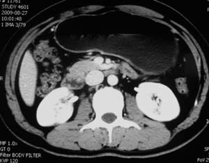
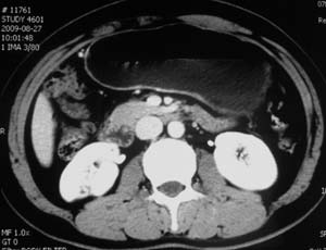
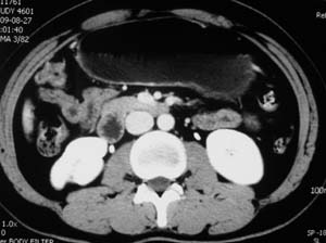
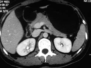
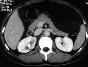
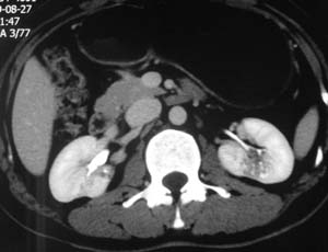
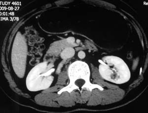
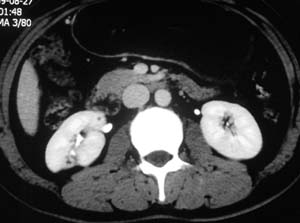
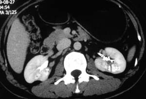
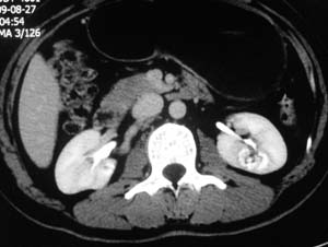
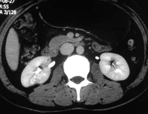
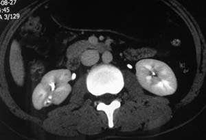
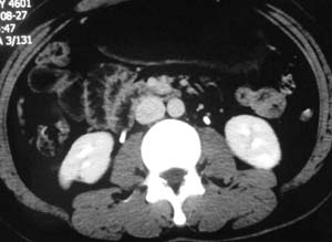
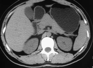
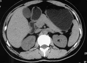
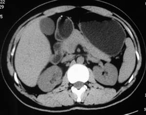
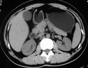
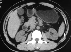
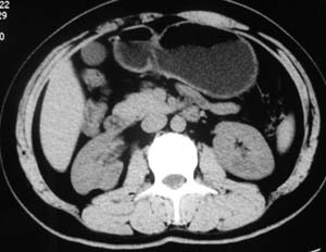
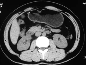
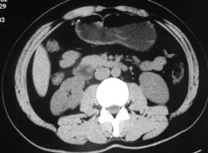
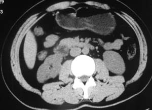
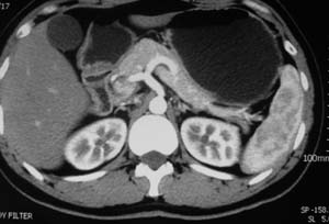
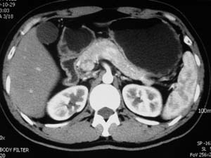
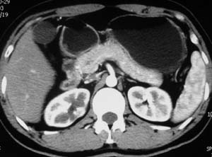
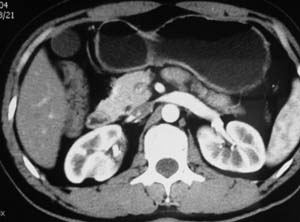
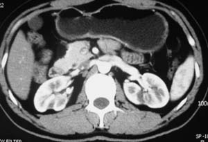
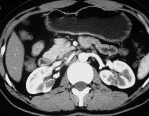
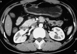
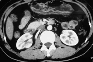
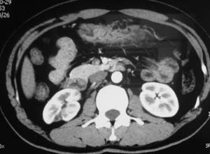
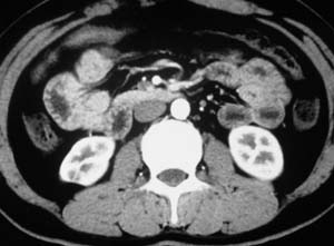
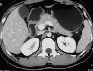
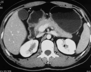
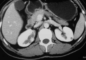
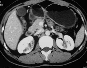
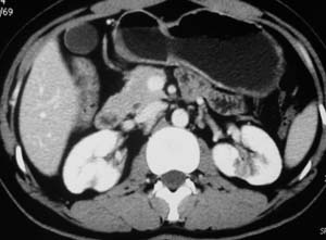
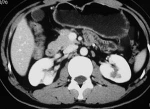
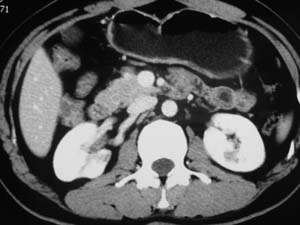
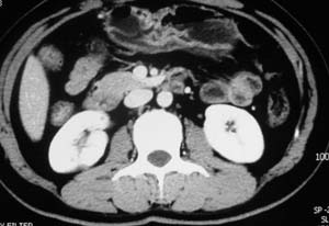
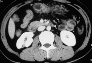
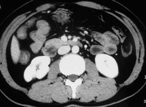
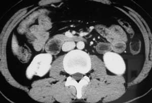
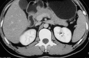
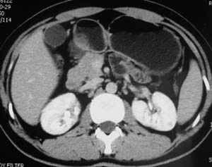
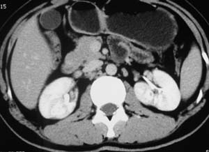
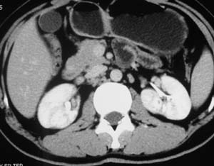
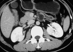
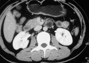
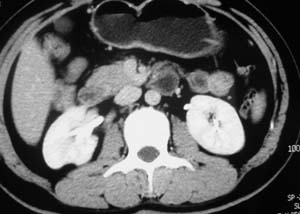
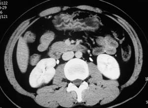
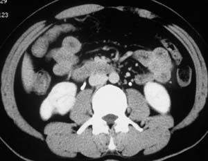
以下是引用子期在2010-3-19 20:47:00的发言:[br]血管畸形的ct增强应该有明显强化,本例并不相符合。本例双肾局部的略低密度影,累及肾盂,局部皮质明显变薄、内陷,增强扫描有轻度的强化,应考虑为炎性病变,患者为年轻男性,累及双肾的感染以结核较常见,可以没有明显的临床症状,尿中有时候也并不能查出什么;肾脓肿常有明显感染中毒症状,本例不符,另外一般的肾盂肾炎或肾小球肾炎通过小便就可确诊,其它还不能排除的是黄色肉芽肿性肾盂肾炎,然而单凭ct一般也很难鉴别。
| 欢迎光临 医影在线 (http://bbs.radida.com/bbs/) | Powered by Discuz! X3.2 |