医影在线

标题: CT25203:上腹部增强,看看 [打印本页]

作者: whylovezhang    时间: 2010-3-20 03:20
标题: CT25203:上腹部增强,看看
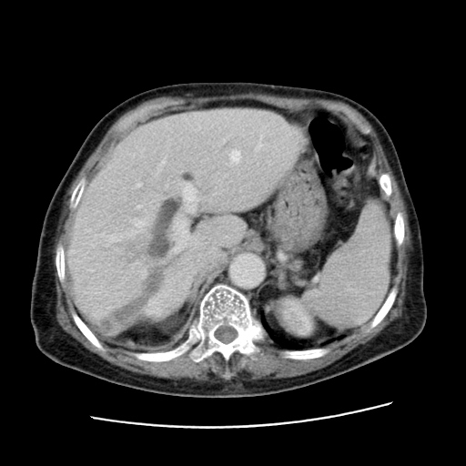
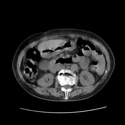
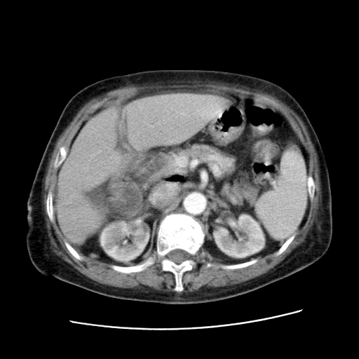
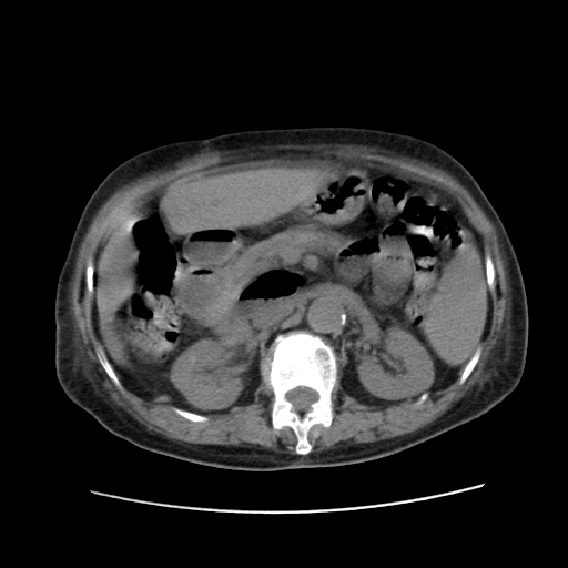
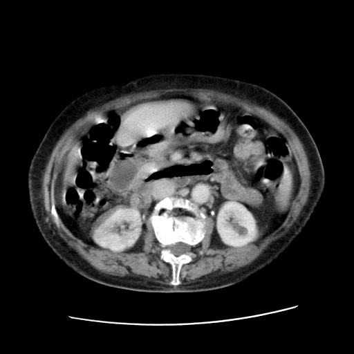
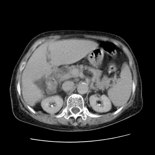
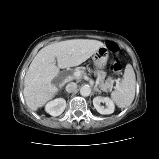
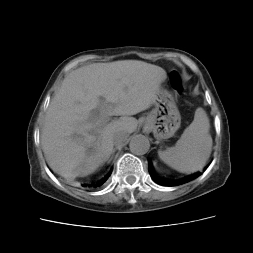
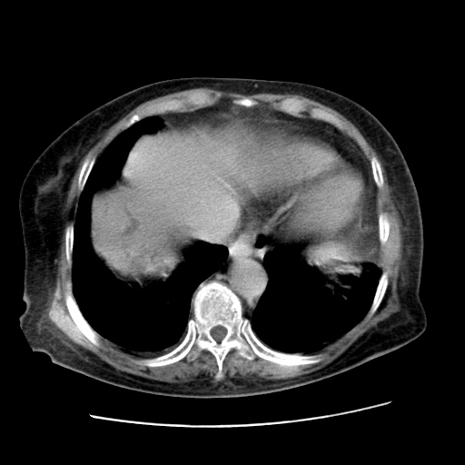
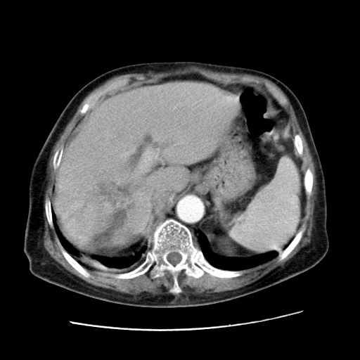
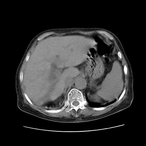
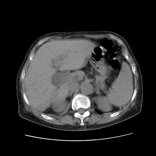
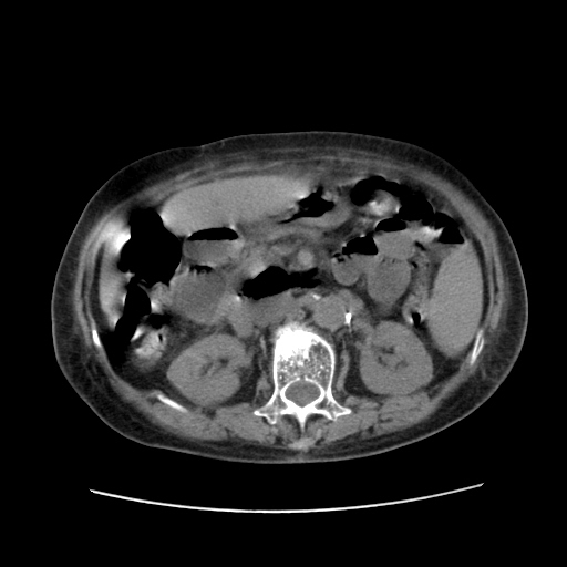
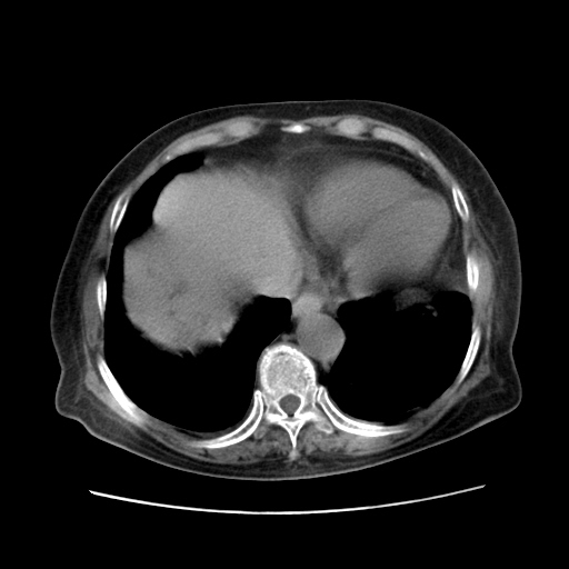
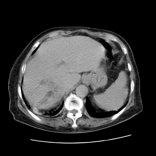
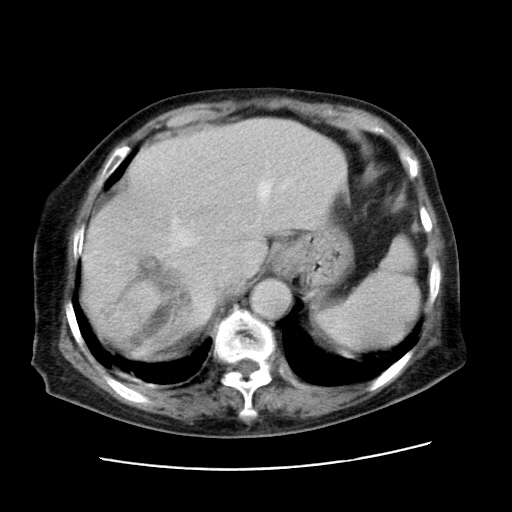
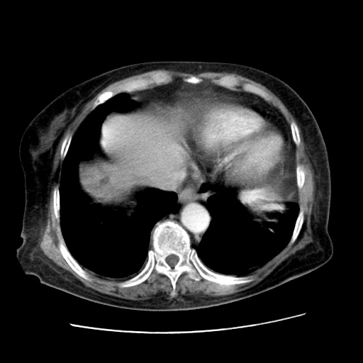
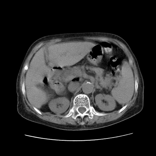
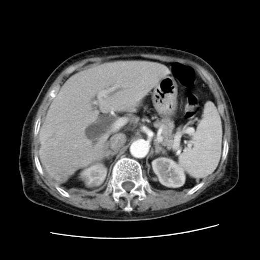
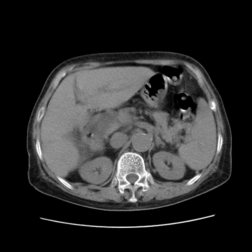
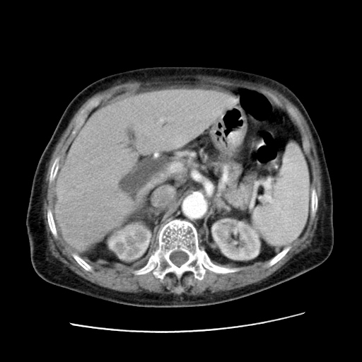
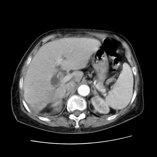
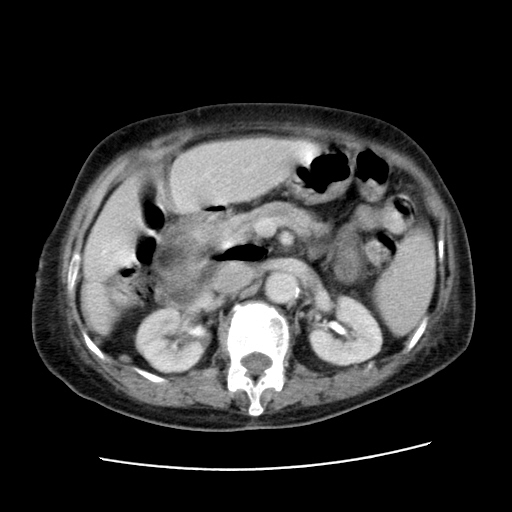
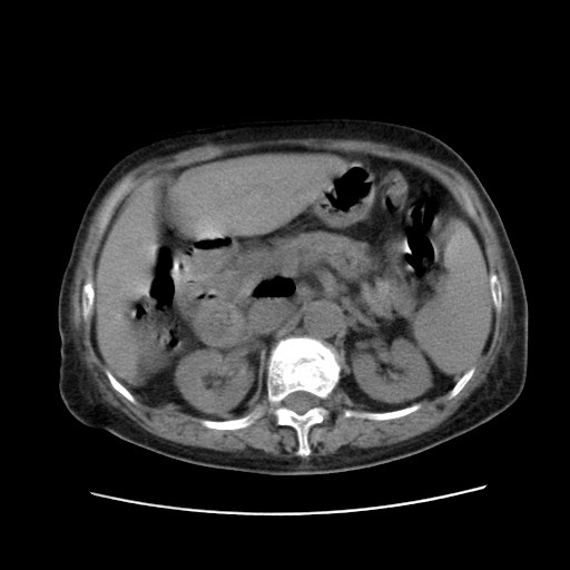
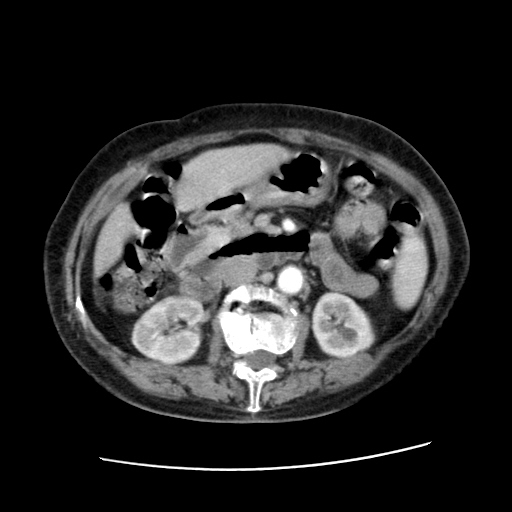
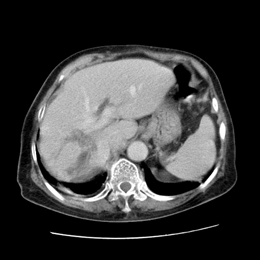
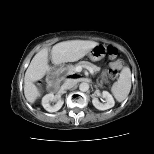
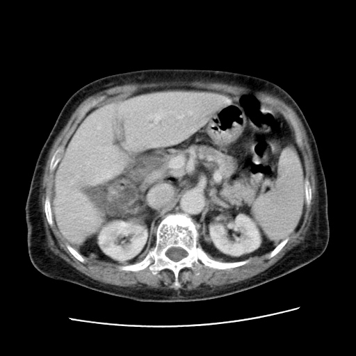
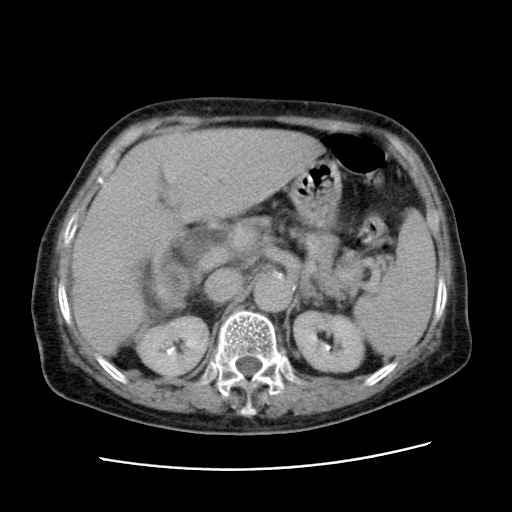
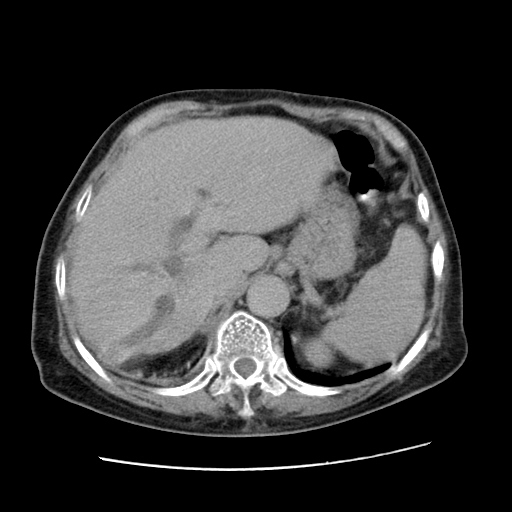
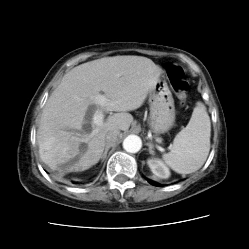
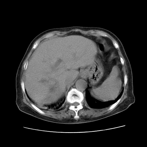
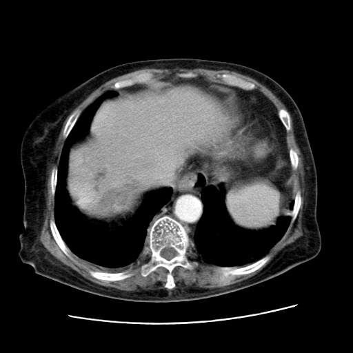
女,77.无不适




















































































[本贴已被 jiajie 于 2010-3-19 22:29:25 修改过]

作者: 子期    时间: 2010-3-20 04:16
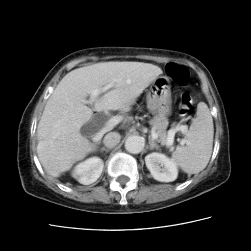
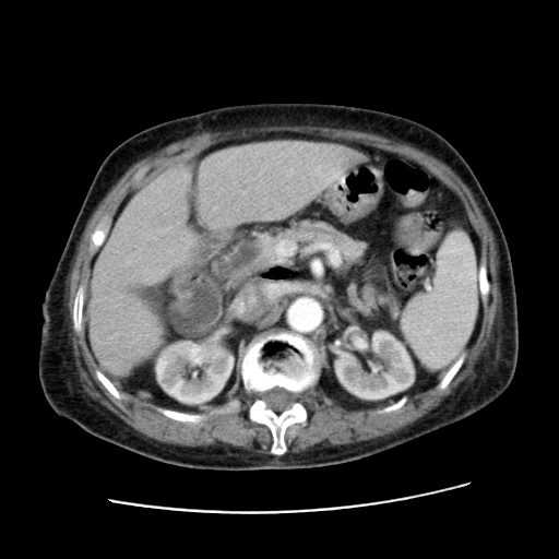
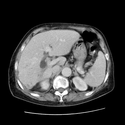
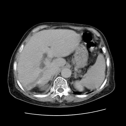
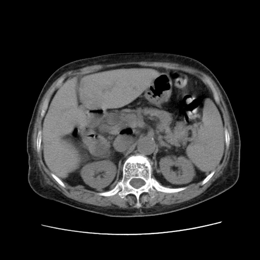
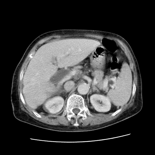
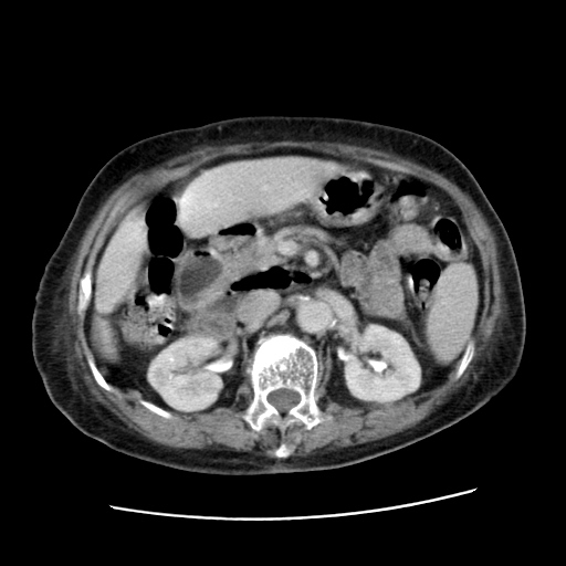
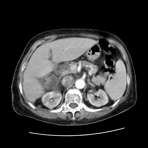
胆管扩张,壶腹部占位?
作者: zxl51642    时间: 2010-3-20 04:20
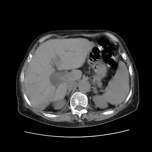
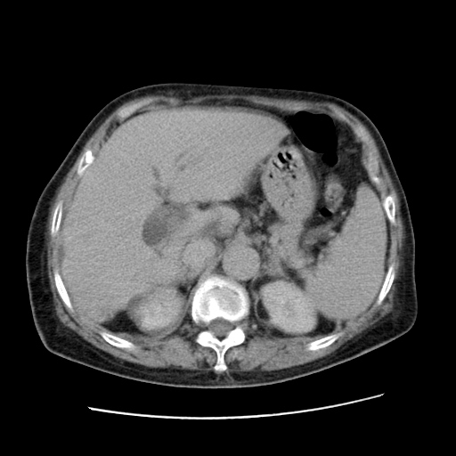
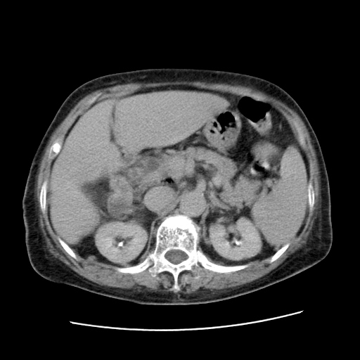
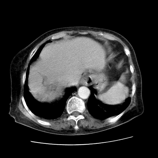
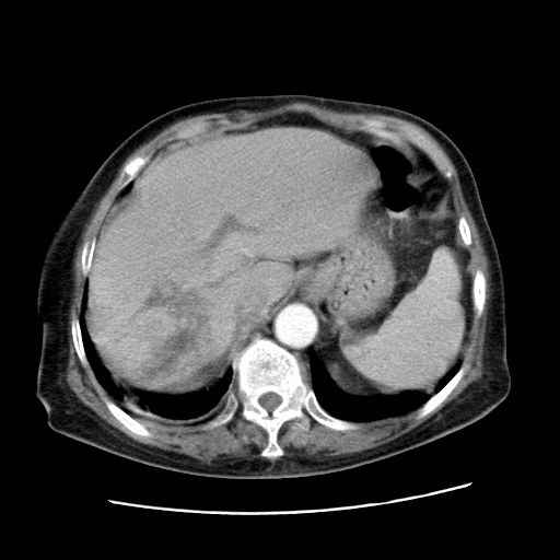
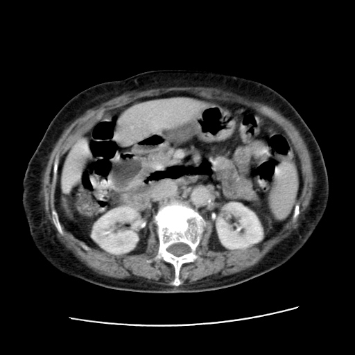
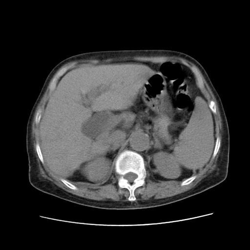
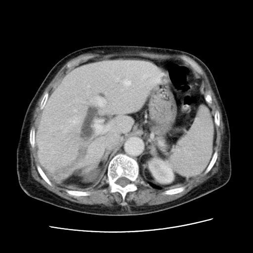
肝脏变异、异位胆囊,肝右叶肝内胆管结石并肝内胆管扩张。
作者: linyiming    时间: 2010-3-20 04:51
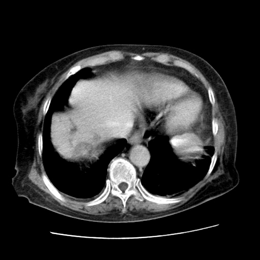
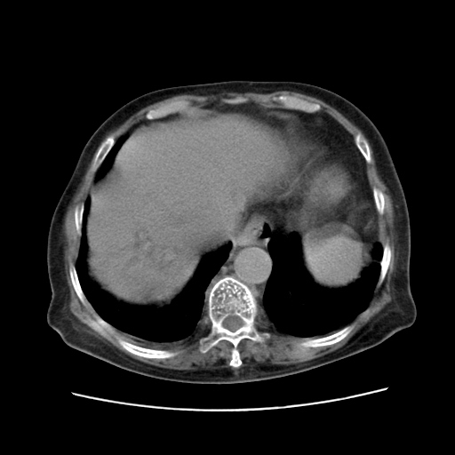
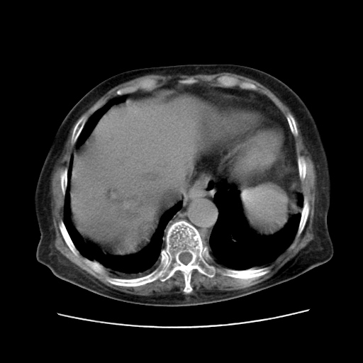
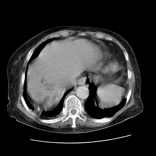
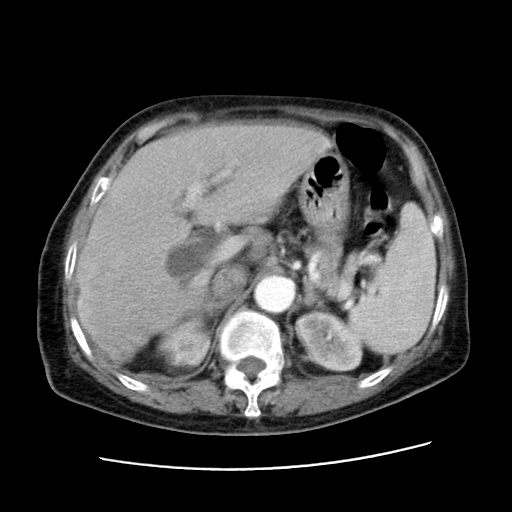
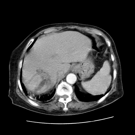
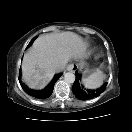
肝内胆管扩张,胆囊炎,胆囊窝积液。 右侧胸腔少量积液。
作者: yangjyan    时间: 2010-3-20 05:48
肝右叶肝内胆管结石并肝内胆管扩张。
作者: hhhhhh6    时间: 2010-3-20 14:22
肝脏变异
肝右叶肝内胆管结石并肝内胆管扩张
胆总管扩张
右侧胸腔少量积液(也可能是胸膜增厚不过是什么都一样)
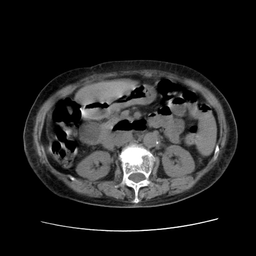
胆囊未见明显显影
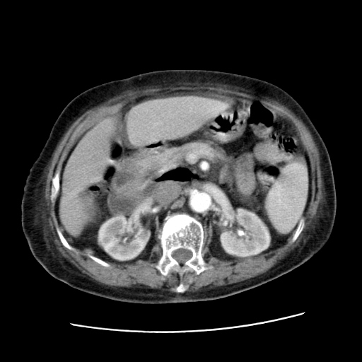
肝旁多发胆囊状液体影考虑肠腔积液基中部分囊状景不多外胆囊
肠子那块乱乱的没整明白
作者: yangyudong333    时间: 2010-3-20 14:34
肝脏变异、异位胆囊,肝右叶肝内胆管结石并肝内胆管扩张。
作者: 卜一    时间: 2010-3-20 16:53
肝右叶肝内胆管结石并肝内胆管扩张。另:慢性胆囊炎!胆囊窝积液!
作者: 深泽交通    时间: 2010-3-20 17:01
考虑胆管癌
作者: 327917407    时间: 2010-3-20 17:22
本人考虑胆管细胞癌
作者: LIAOQIANG    时间: 2010-3-20 17:57
肝右叶肝内胆管结石并肝内胆管扩张。胆总管下段梗阻,考虑壶腹部占位。
作者: dhlyq    时间: 2010-3-20 18:11
右侧肝内胆管局限性扩张,其内密度不均匀,扩张的胆管壁增厚,考虑肝内胆管炎合并结石可能性大
作者: zjzjr    时间: 2010-3-20 19:05
肝右叶肝内胆管结石并肝内胆管扩张。胆总管下段梗阻,考虑壶腹部占位。
作者: 湘江一滴    时间: 2010-3-20 19:07
标题: 回复:ct25203:上腹部增强,看看
以下是引用卜一在2010-3-20 8:53:00的发言:[br]肝右叶肝内胆管结石并肝内胆管扩张。另:慢性胆囊炎!胆囊窝积液!
支持
作者: 随光逐影    时间: 2010-3-20 19:40
标题: 回复:ct25203:上腹部增强,看看
以下是引用liaoqiang在2010-3-20 9:57:00的发言:[br]肝右叶肝内胆管结石并肝内胆管扩张。胆总管下段梗阻,考虑壶腹部占位。

作者: 黑白光影    时间: 2010-3-20 23:34
肝右叶肝内胆管结石并肝内胆管扩张。胆总管下段梗阻,考虑壶腹部占位。支持




欢迎光临 医影在线 (http://bbs.radida.com/bbs/) Powered by Discuz! X3.2