医影在线

标题: CT25225:男,51岁,头外伤一小时。 [打印本页]

作者: ldm1993    时间: 2010-3-21 17:39
标题: CT25225:男,51岁,头外伤一小时。
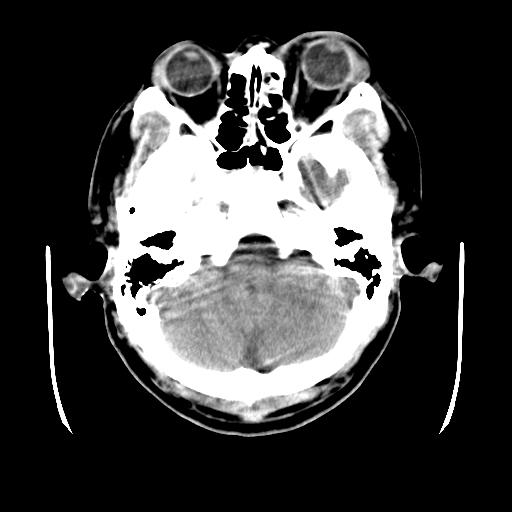
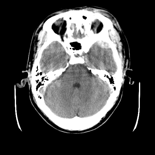
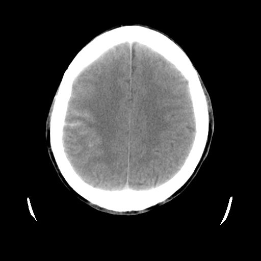
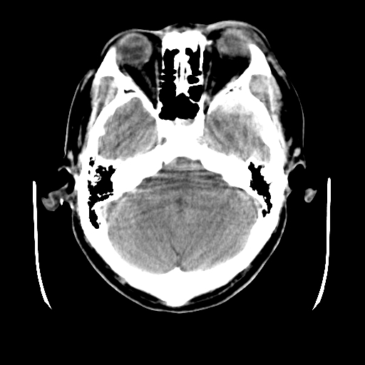
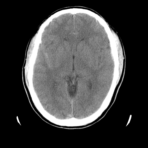
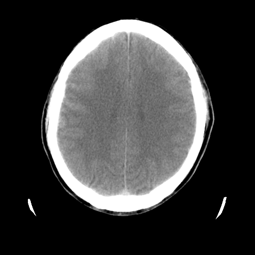
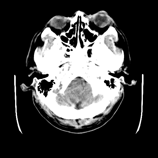
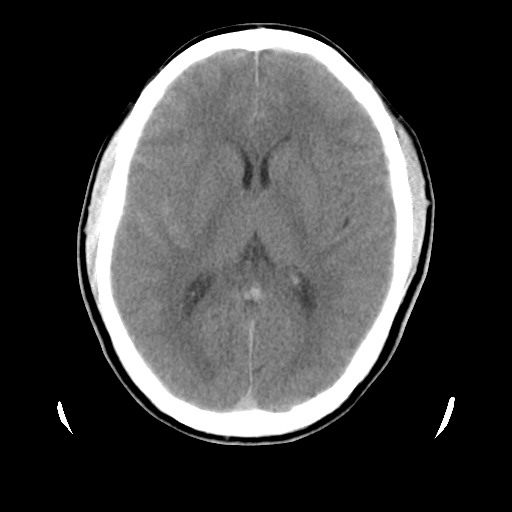
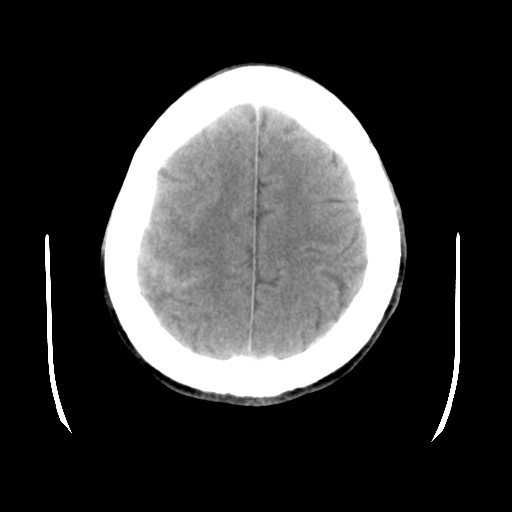
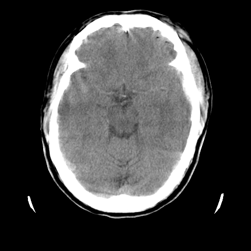
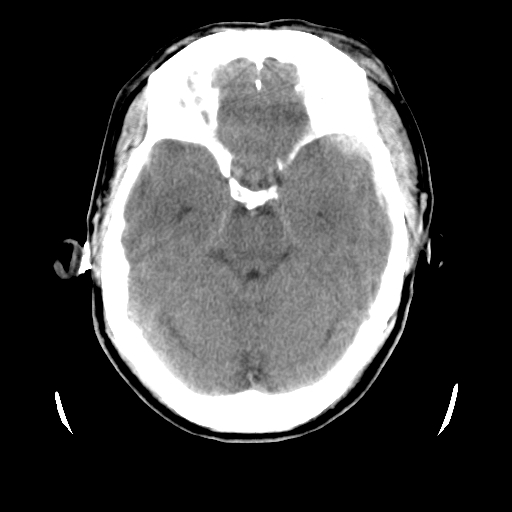
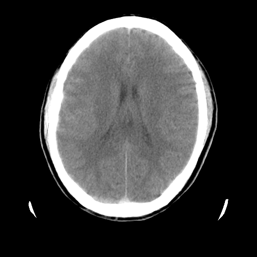
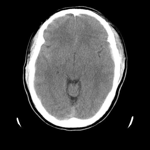
男,51岁,头外伤一小时,呕吐两次。



























[本贴已被 翁志蓬 于 2010-3-21 14:13:07 修改过]

作者: 深泽交通    时间: 2010-3-21 18:05
蛛网膜下腔出血 脑肿胀
作者: 胡宇    时间: 2010-3-21 19:09
左侧颞部硬膜外;蛛网膜下腔出血 ;脑肿胀
作者: 随光逐影    时间: 2010-3-21 19:11
1)左侧中颅窝蝶骨翼后方硬膜外血肿。2)左侧颞顶部硬膜下血肿。3)蛛网膜下腔出血。4)左侧筛窦及双侧蝶窦炎症(或积血)。5)左侧额部头皮软组织肿胀。
作者: hhhhhh6    时间: 2010-3-21 19:11
肿胀一定有了,不可能一点局部肿胀都没有不是,不过我很少报那个,当然一目了然,可能会死又没出血,或出血很少,最好报,要不人死你什么都没报这不太好
蛛网膜下腔出血
左侧硬膜外 下血肿  硬膜下血肿影不出外是蛛网膜下腔出血
左侧头皮下血肿
我看报到这就行了吧,反正明天得在查要不挫伤什么的看不见
作者: laiyan-liuwei    时间: 2010-3-21 19:21
左颞顶不头皮血肿,左侧颞不硬膜(下)血肿,蛛网膜下腔出血
作者: 草古木子    时间: 2010-3-21 20:11
1:左侧硬膜外及硬膜下混合血肿。2:蛛网膜下腔出血。3:左额部少量颅内积气?
作者: zxl51642    时间: 2010-3-21 23:13
标题: 回复:ct25225:男,51岁,头外伤一小时。
以下是引用随光逐影在2010-3-21 11:11:00的发言:[br]1)左侧中颅窝蝶骨翼后方硬膜外血肿。2)左侧颞顶部硬膜下血肿。3)蛛网膜下腔出血。4)左侧筛窦及双侧蝶窦炎症(或积血)。5)左侧额部头皮软组织肿胀。

支持,很全面!
作者: zjzjr    时间: 2010-3-21 23:36
左颞部硬膜外血肿,蛛网膜下腔出血,副鼻窦积液.头皮损伤.
作者: yangyudong333    时间: 2010-3-22 16:35
1)左侧中颅窝蝶骨翼后方硬膜外血肿。2)左侧颞顶部硬膜下血肿。3)蛛网膜下腔出血。4)左侧筛窦及双侧蝶窦炎症(或积血)。5)左侧额部头皮软组织肿胀。
作者: 黑白光影    时间: 2010-3-23 03:18
1)左侧中颅窝蝶骨翼后方硬膜外血肿。2)左侧颞顶部硬膜下血肿。3)蛛网膜下腔出血。4)左侧筛窦及双侧蝶窦炎症(或积血)。5)左侧额部头皮软组织肿胀。支持




欢迎光临 医影在线 (http://bbs.radida.com/bbs/) Powered by Discuz! X3.2