医影在线
标题: CT25226:男,71岁,皮肤黄染四天。 [打印本页]
作者: ldm1993 时间: 2010-3-21 17:49
标题: CT25226:男,71岁,皮肤黄染四天。
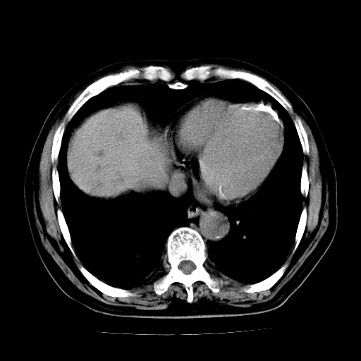
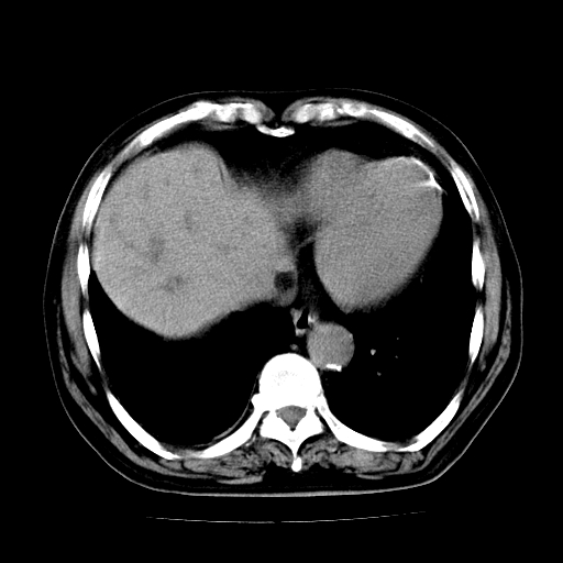
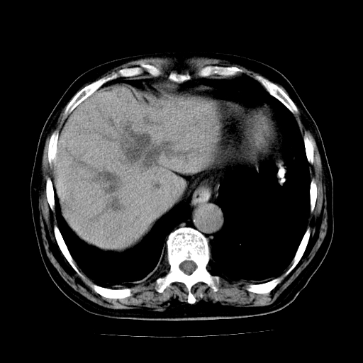
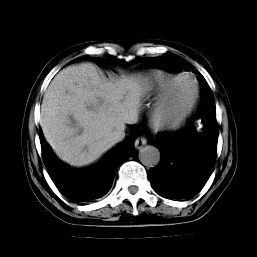
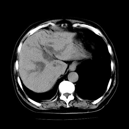
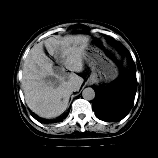
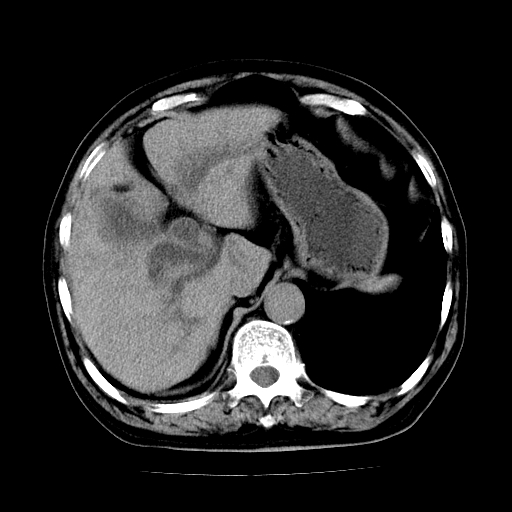
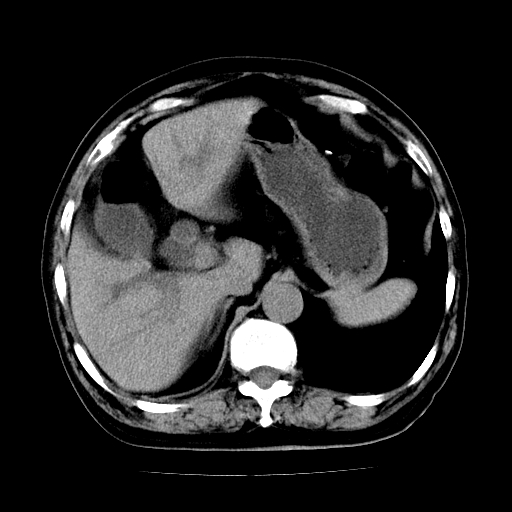
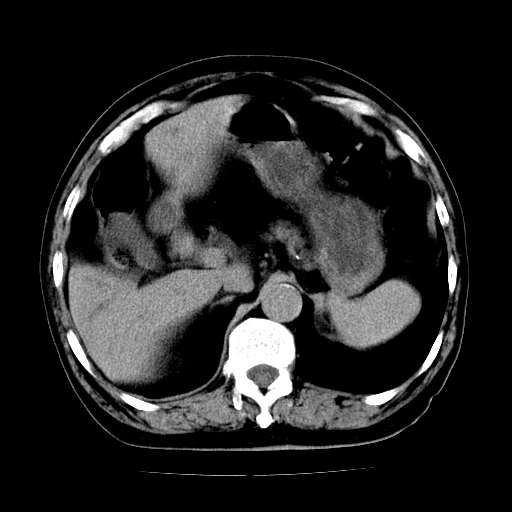
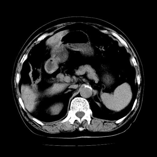
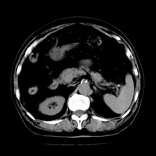
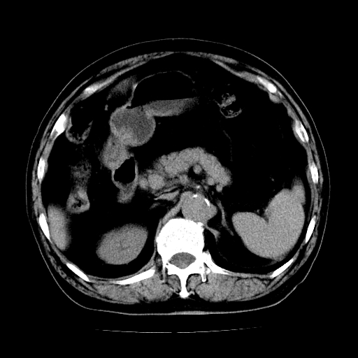
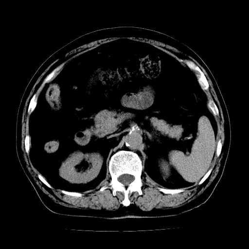
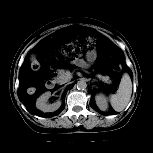
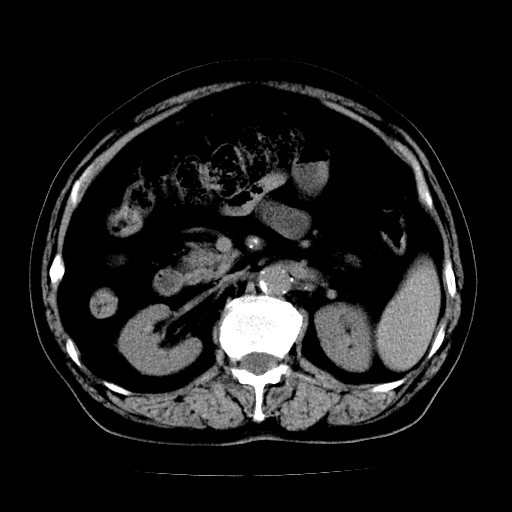
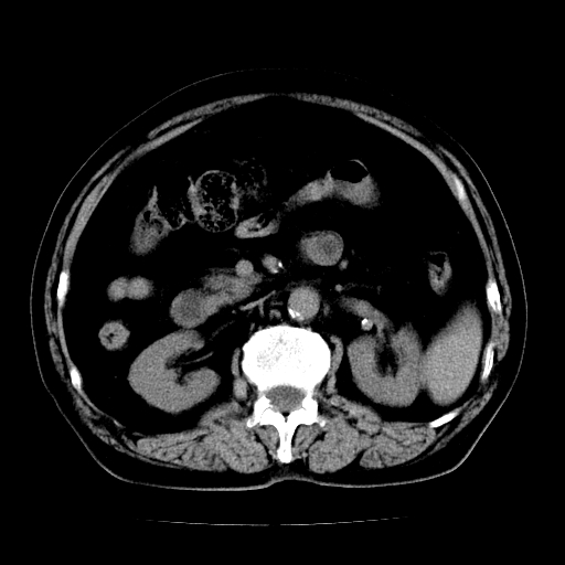
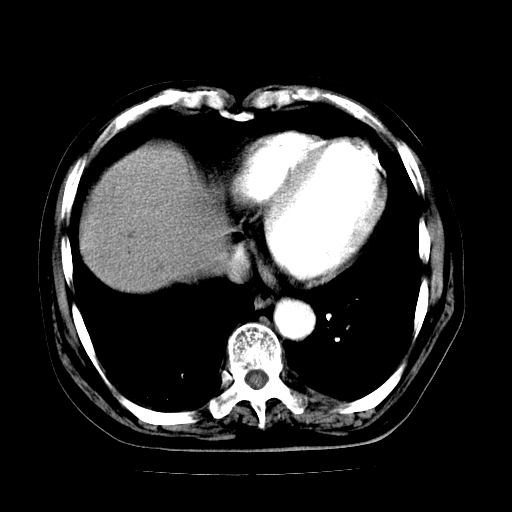
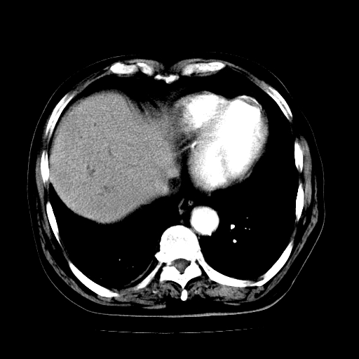
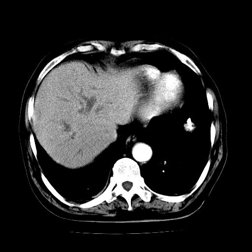
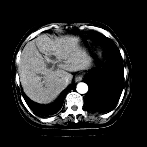
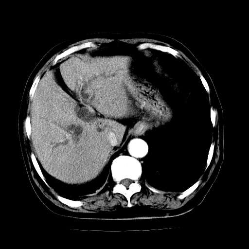
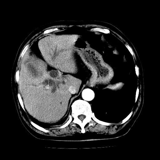
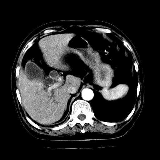
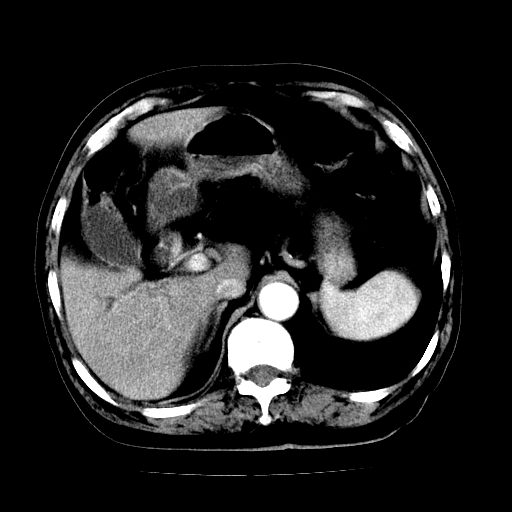
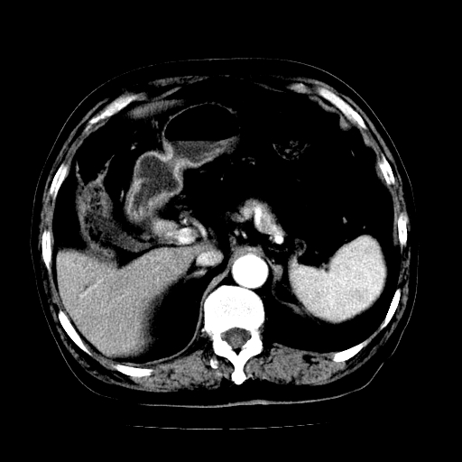
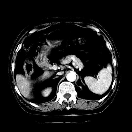
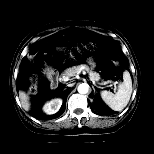
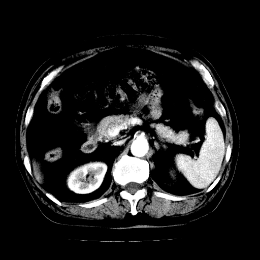
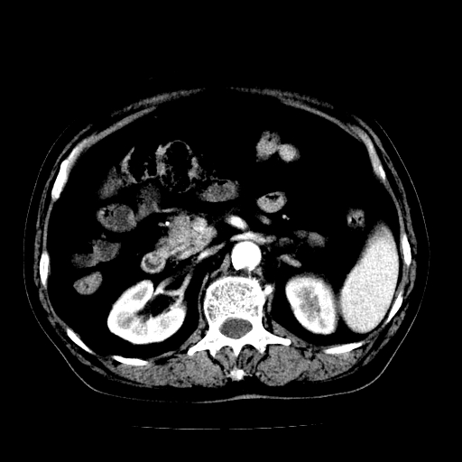
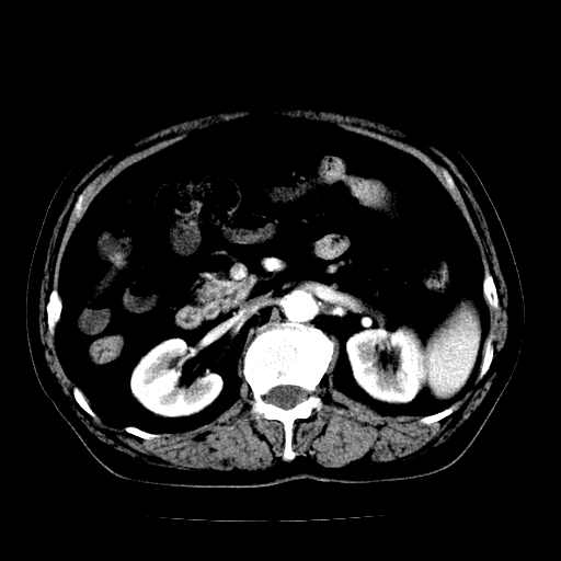
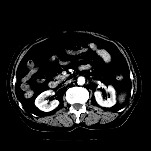
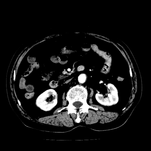
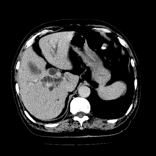
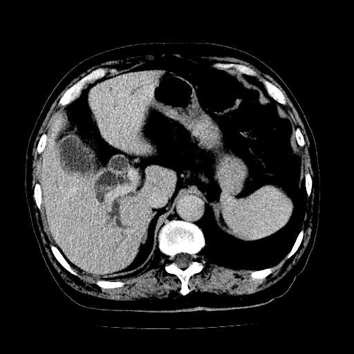
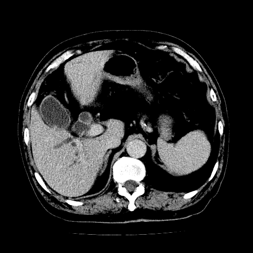
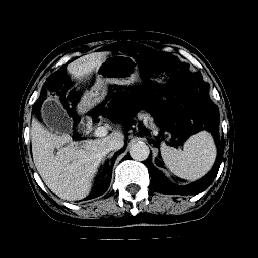
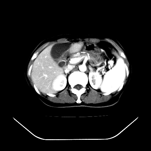
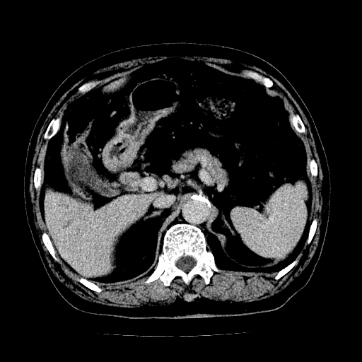
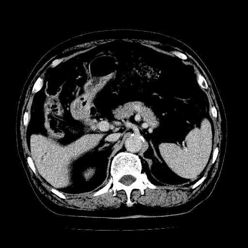
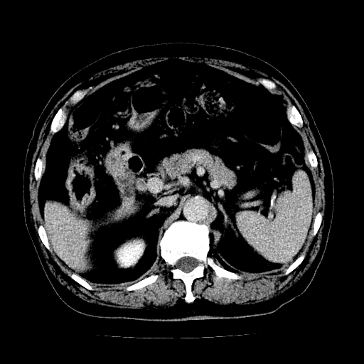
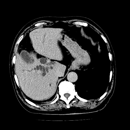
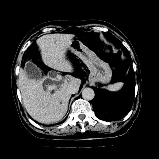
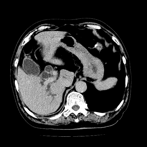
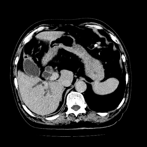
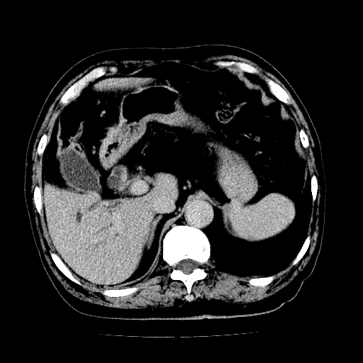
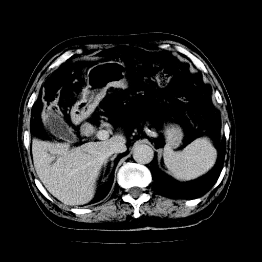
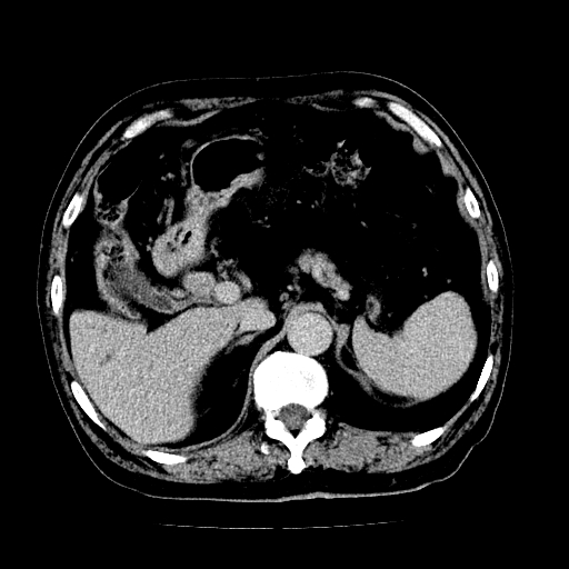
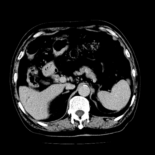
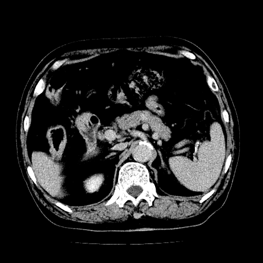
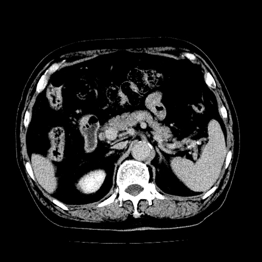
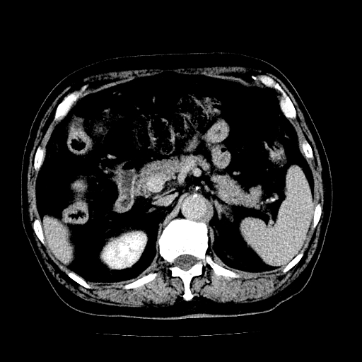
男,71岁,皮肤黄染四天。




















































[本贴已被 翁志蓬 于 2010-3-21 14:14:41 修改过]
作者: 深泽交通 时间: 2010-3-21 18:03
考虑中段胆管癌
作者: 科室第一人 时间: 2010-3-21 18:16
肝内外胆管及胆总管上段扩张,考虑为梗阻所致,建议mrcp检查。
作者: hhhhhh6 时间: 2010-3-21 18:56
标题: 支下3楼吧
你反正是有一段变窄了,看的还很清楚,是什么这个不好说,报就直接报扩张就行了了,我就不做进一步考虑了
不是还能做个增强,胆道照影那类的检查吗,接着查查到明白不就行了
报下吧,胆囊炎
肝内胆管,胆囊,肝总管级部分胆总扩大张
非要考虑我想支持下2楼回答问题的是2楼总楼层是3楼
[本贴已被 hhhhhh6 于 2010-3-21 10:57:06 修改过]
啊没注意还做强化了啊,那就支持3楼吧,也有可能是纤维斑痕,粘连什么的
[本贴已被 hhhhhh6 于 2010-3-21 11:02:53 修改过]
作者: 随光逐影 时间: 2010-3-21 19:14
考虑胆总管癌并肝内外胆管扩张。
作者: 草古木子 时间: 2010-3-21 20:00
胆管癌并肝内外胆管扩张。
作者: zxl51642 时间: 2010-3-21 23:27
支持考虑胆总管癌并肝内外胆管扩张。 局部应薄扫。心包钙化。
作者: zjzjr 时间: 2010-3-21 23:38
胆管癌并肝内外胆管扩张
作者: 1895 时间: 2010-3-21 23:43
胰腺上端胆总管内见软组织影,强化不明显,结合临床,还是考虑低位梗阻性黄疸,胆总管癌可能性大
作者: yangyudong333 时间: 2010-3-22 16:34
考虑胆总管癌并肝内外胆管扩张。
作者: 黑白光影 时间: 2010-3-23 03:22
考虑胆总管癌并肝内外胆管扩张。
| 欢迎光临 医影在线 (http://bbs.radida.com/bbs/) |
Powered by Discuz! X3.2 |