医影在线

标题: CT25227:背部疼痛伴双侧胸壁痛2月,食欲差。 [打印本页]

作者: wby3614770    时间: 2010-3-21 18:18
标题: CT25227:背部疼痛伴双侧胸壁痛2月,食欲差。
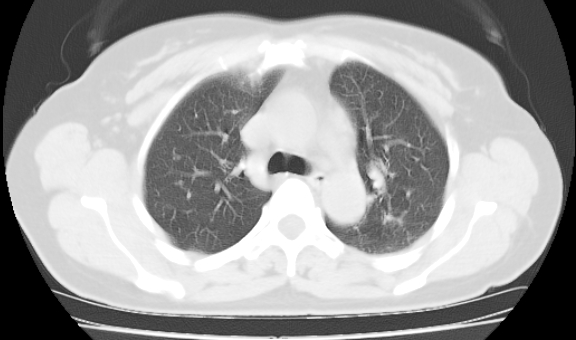
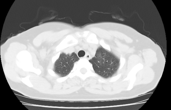
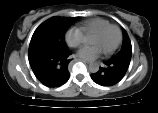
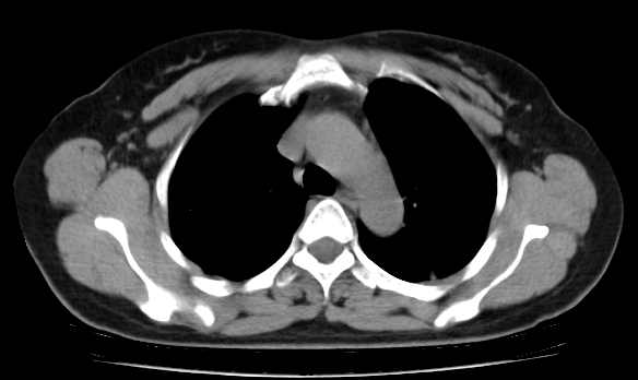
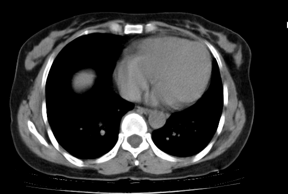
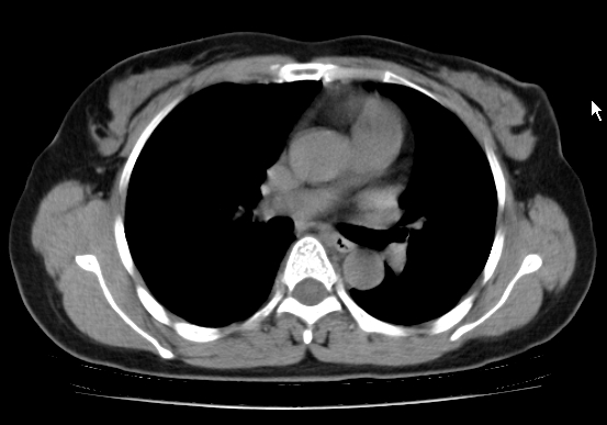
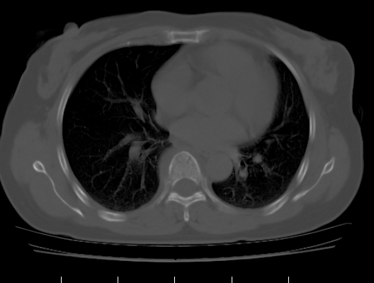
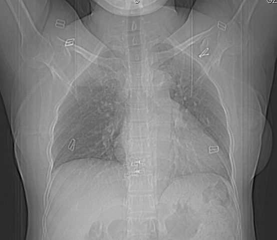
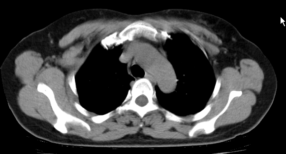
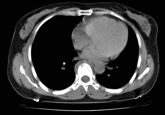
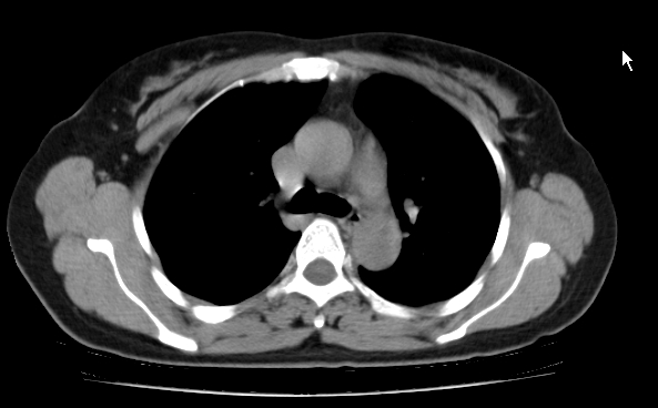
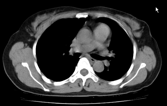
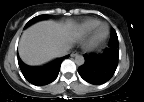
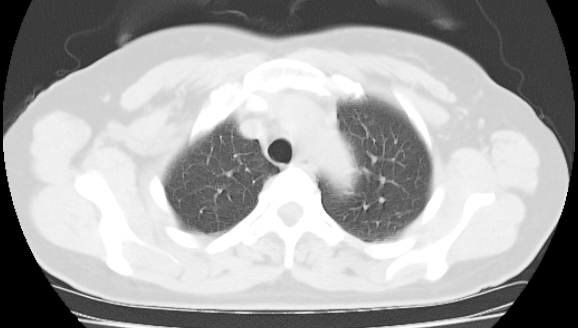
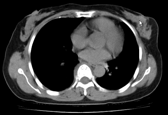
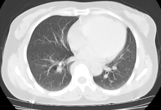
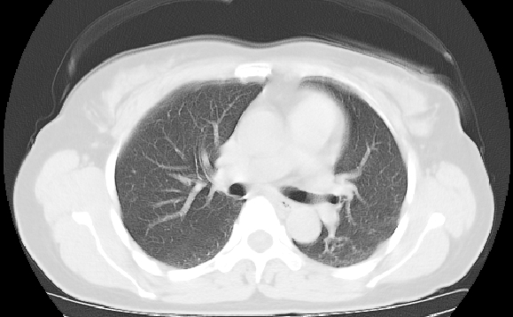
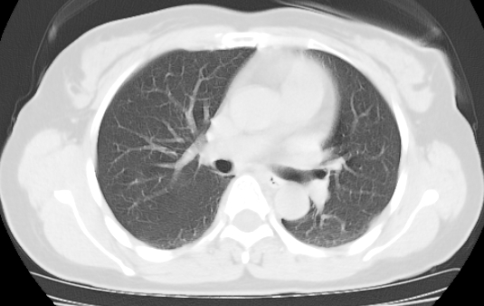
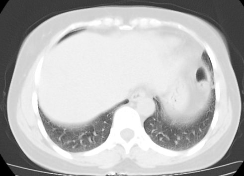
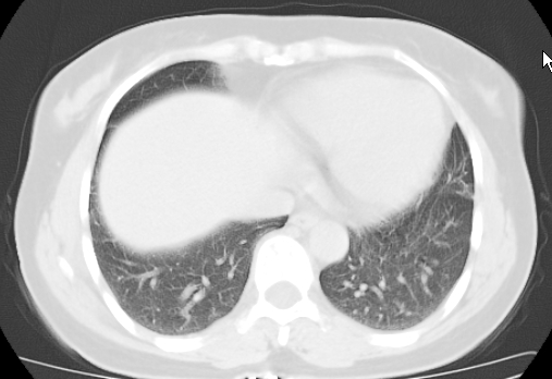
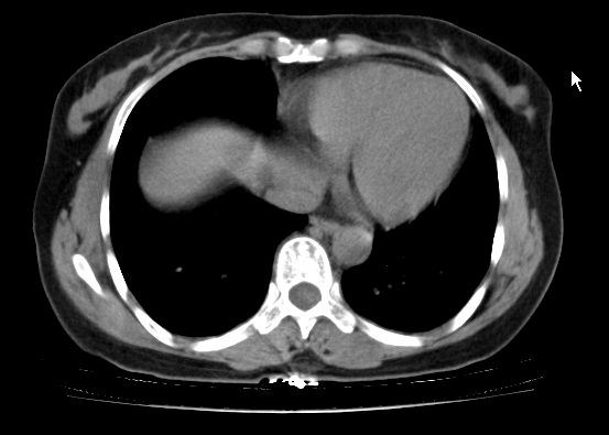
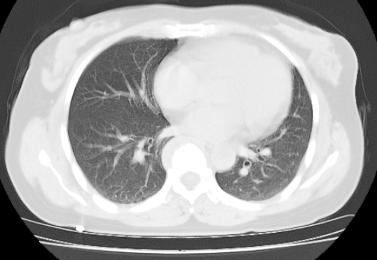
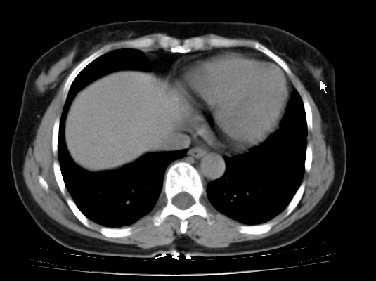
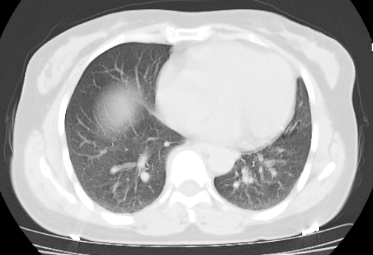
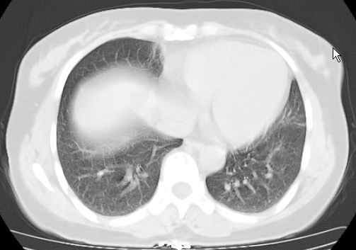
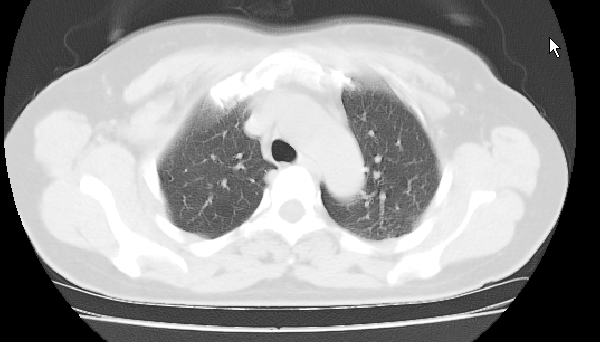
肺结核并胸椎结核?请各位高手指教。








































[本贴已被 翁志蓬 于 2010-3-21 14:15:40 修改过]

作者: meizi3600    时间: 2010-3-21 18:27
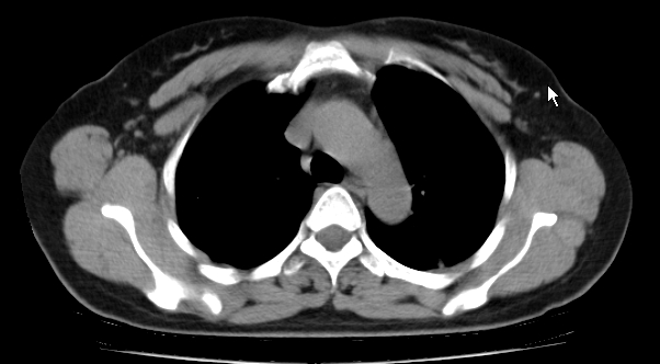
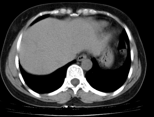
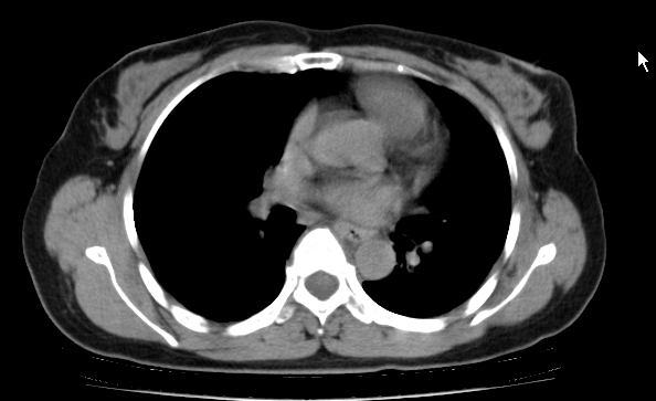
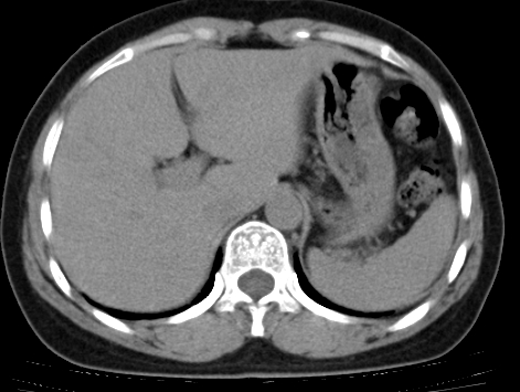
用椎体的条件来扫胸椎呀!考虑1左侧胸膜小结节形成2椎体结核并冷脓肿形成
作者: 深泽交通    时间: 2010-3-21 19:11
支持
作者: 随光逐影    时间: 2010-3-21 19:17
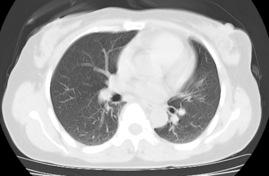
考虑胸椎结核并椎旁软组织肿胀。
作者: ct诊断高手    时间: 2010-3-21 19:27
考虑胸椎结核并椎旁软组织肿胀。
作者: 草古木子    时间: 2010-3-21 19:53
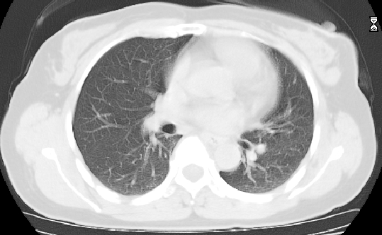
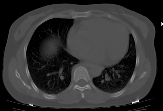
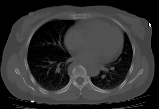
左肺结核灶,胸椎结核并冷脓肿。
作者: DUGUO    时间: 2010-3-21 22:33
标题: 回复:ct25227:背部疼痛伴双侧胸壁痛2月,食欲差。
以下是引用草古木子在2010-3-21 11:53:00的发言:[br]左肺结核灶,胸椎结核并冷脓肿。

作者: 拂晓    时间: 2010-3-21 22:55
标题: 回复:ct25227:背部疼痛伴双侧胸壁痛2月,食欲差。
以下是引用随光逐影在2010-3-21 11:17:00的发言:[br]考虑胸椎结核并椎旁软组织肿胀。

作者: zxl51642    时间: 2010-3-21 23:29
以下是引用随光逐影在2010-3-21 11:17:00的发言:
考虑胸椎结核并椎旁软组织肿胀。

支持!不排除骨原发淋巴瘤肺内转移。
作者: zjzjr    时间: 2010-3-21 23:42
左肺结核灶,胸椎结核并冷脓肿
作者: 科室第一人    时间: 2010-3-22 00:10
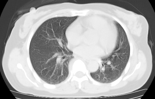
食道癌并胸椎及肺内转移
作者: whmy    时间: 2010-3-22 05:15
左肺结核灶,胸椎结核并冷脓肿
作者: qingguang220    时间: 2010-3-22 05:39
标题: 回复:ct25227:背部疼痛伴双侧胸壁痛2月,食欲差。
以下是引用草古木子在2010-3-21 11:53:00的发言:[br]左肺结核灶,胸椎结核并冷脓肿。

作者: yangyudong333    时间: 2010-3-22 16:20
考虑胸椎结核并椎旁软组织肿胀。
作者: dhlyq    时间: 2010-3-22 16:24
左肺结核灶,胸椎结核并冷脓肿
作者: zxczxc    时间: 2010-3-22 17:56
椎旁软组织肿胀。
作者: 黑白光影    时间: 2010-3-23 03:26
考虑胸椎结核并椎旁软组织肿胀。 支持




欢迎光临 医影在线 (http://bbs.radida.com/bbs/) Powered by Discuz! X3.2