医影在线

标题: CT25229:患者女62岁B超检查肝内胆管结石胆囊结石请各位专家 [打印本页]

作者: mohaiyidi    时间: 2010-3-21 19:49
标题: CT25229:患者女62岁B超检查肝内胆管结石胆囊结石请各位专家

























[本贴已被 翁志蓬 于 2010-3-21 14:19:00 修改过]

作者: mohaiyidi    时间: 2010-3-21 19:52
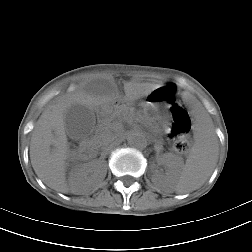
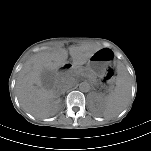
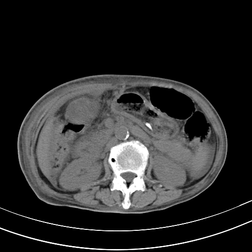
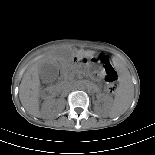
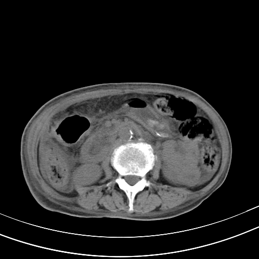
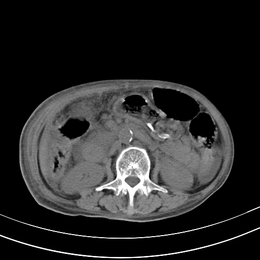
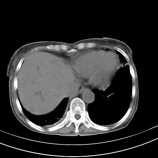
病人上腹部胀痛拌全身黄染八天
作者: 子期    时间: 2010-3-21 22:28
结石好象不明显吧?胆管稍扩张。
作者: zxl51642    时间: 2010-3-21 23:37
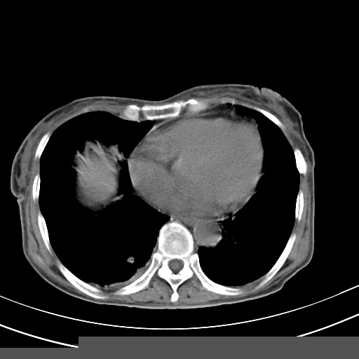
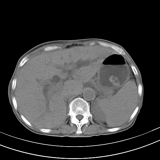
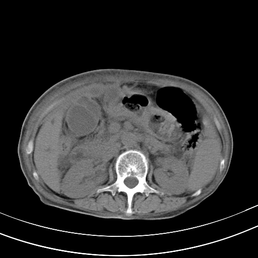
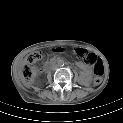
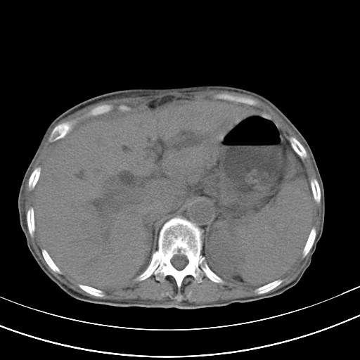
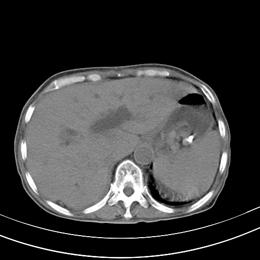
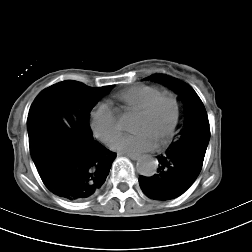
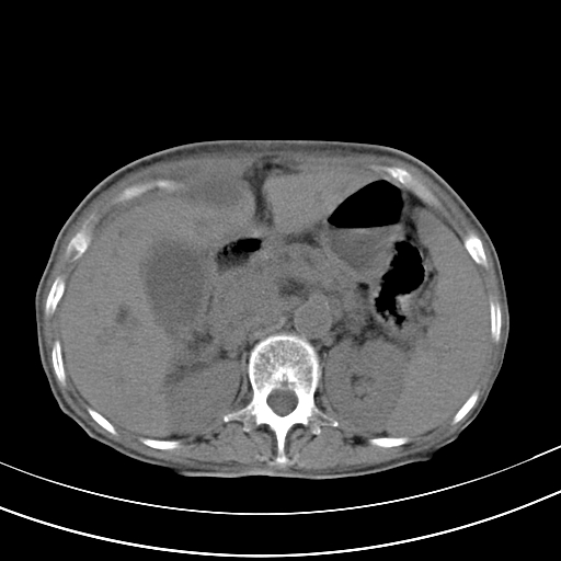
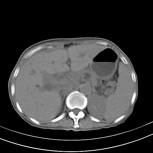
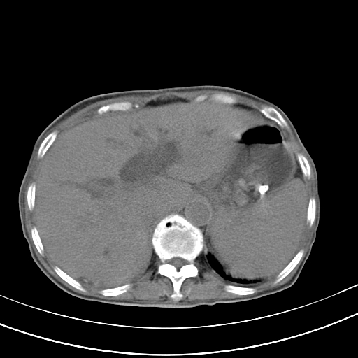
右侧少量胸水,胆囊增大,肝内胆管扩张,肝门部结构杂乱,建议增强。
作者: 深泽交通    时间: 2010-3-21 23:39
考虑胰头癌或胰腺炎
作者: 科室第一人    时间: 2010-3-21 23:55
右侧胸腔少量积液,右下叶结节灶,。
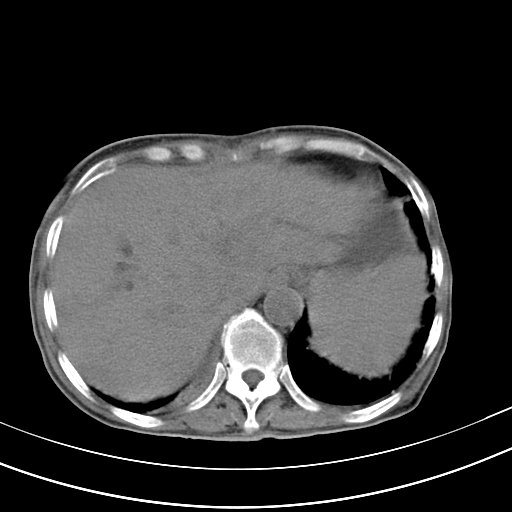
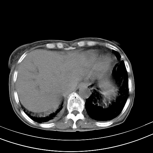
肝内胆管及胰管扩张考虑为胰头区占位,肝门淋巴结增多,肝内多发低密度影,考虑为转移。门脉高压,脾大,胆囊大。
作者: jgr    时间: 2010-3-22 01:19
建议增强扫描检查
作者: zjzjr    时间: 2010-3-22 01:35
考虑胰头癌或胰腺炎
作者: dyqct    时间: 2010-3-22 01:44
建议增强扫描检查.
作者: whmy    时间: 2010-3-22 04:56
右侧胸腔少量积液,右下叶结节灶,。
肝内胆管及胰管扩张,胰头增大考虑为胰头区占位,肝门淋巴结增多,考虑为转移。建议增强,脾大,胆囊大,壁厚,慢性胆囊炎。胃壁好像也增厚,且有一肿物。
作者: yangyudong333    时间: 2010-3-22 16:28
右侧少量胸水,胆囊增大,肝内胆管扩张,肝门部结构杂乱,建议增强。
作者: zxczxc    时间: 2010-3-22 18:04
胆囊增大,肝管扩张
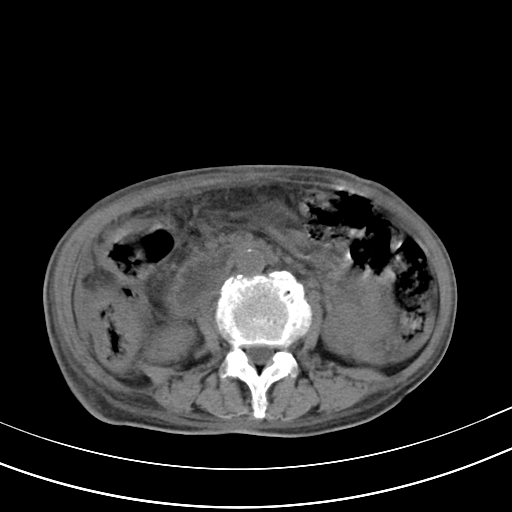
脾大,
腹水,右胸腔少量积液。
胰腺炎。
作者: 随光逐影    时间: 2010-3-22 21:08
1)考虑胰头癌并胆系低位梗阻;建议行ct增强扫描检查。2)慢性胆囊炎。3)脾大。4)少量腹水。5)双侧少量胸腔积液。
作者: 黑白光影    时间: 2010-3-23 03:33
标题: 回复:ct25229:患者女62岁b超检查肝内胆管结石胆囊结石请各
以下是引用随光逐影在2010-3-22 13:08:00的发言:[br]1)考虑胰头癌并胆系低位梗阻;建议行ct增强扫描检查。2)慢性胆囊炎。3)脾大。4)少量腹水。5)双侧少量胸腔积液。





欢迎光临 医影在线 (http://bbs.radida.com/bbs/) Powered by Discuz! X3.2