医影在线
标题: CT25230:女,63岁,萎缩性胃炎病史,患者明显黄染,不能进 [打印本页]
作者: yuhongjun 时间: 2010-3-21 21:18
标题: CT25230:女,63岁,萎缩性胃炎病史,患者明显黄染,不能进



















[本贴已被 yuhongjun 于 2010-3-21 13:22:42 修改过]
[本贴已被 翁志蓬 于 2010-3-21 14:18:42 修改过]
作者: 李衡钧 时间: 2010-3-21 22:08
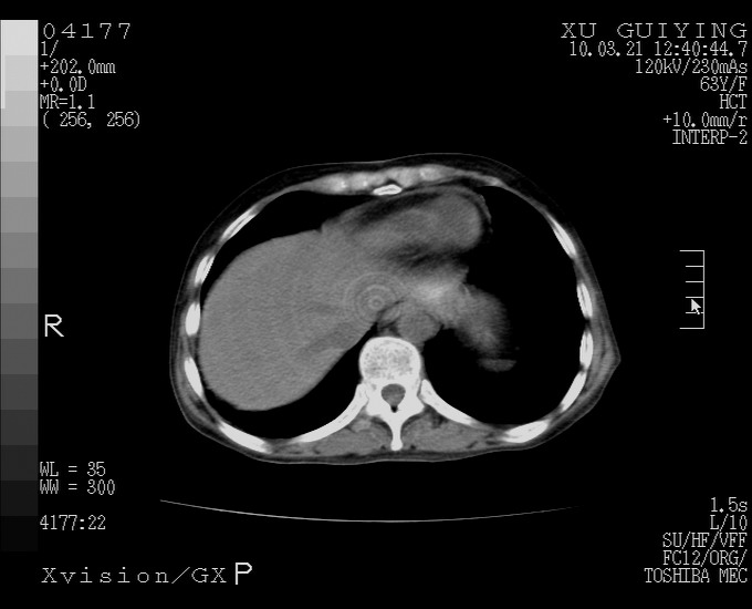
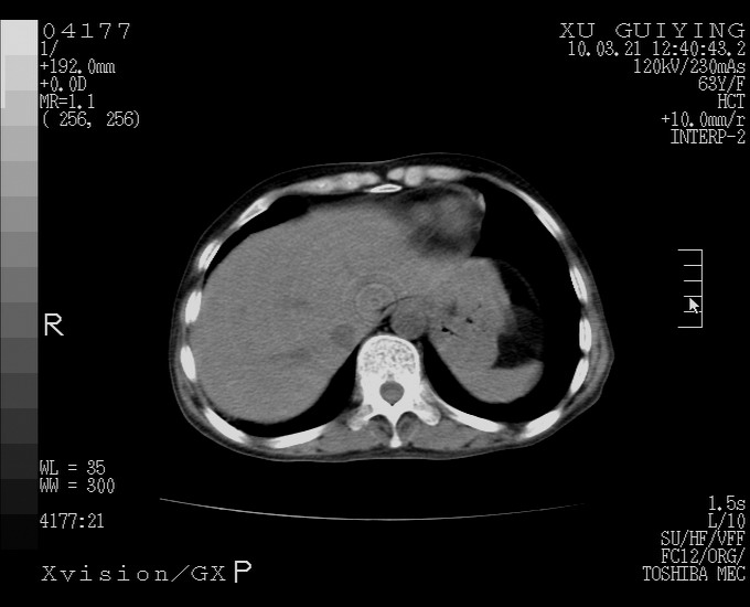
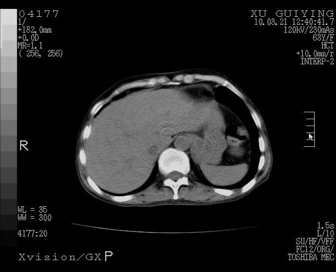
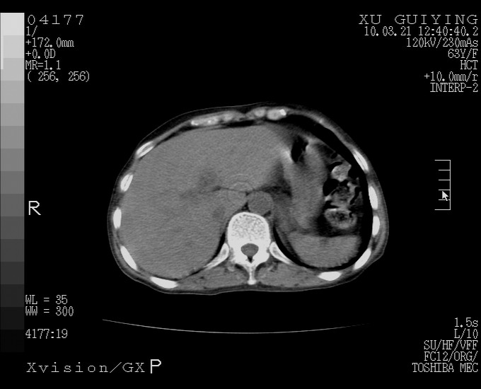
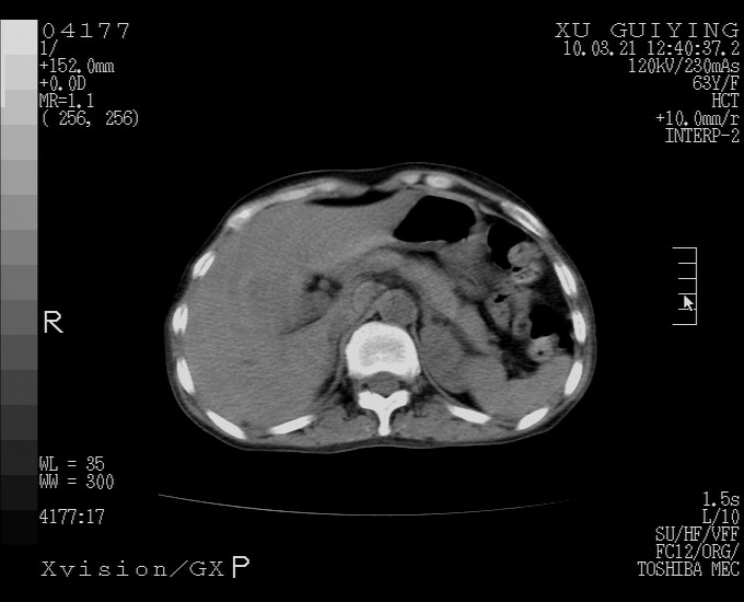
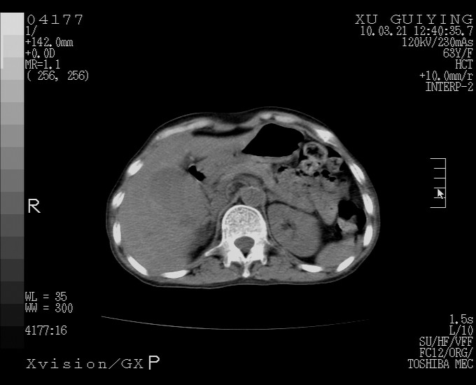
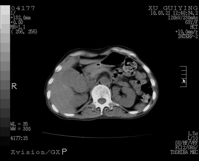
怎么没有增强呢?胆囊那么大,密度有些高啊。
作者: 子期 时间: 2010-3-21 22:21
未见明显异常,可查查肝功能,排除一下肝炎。
作者: zxl51642 时间: 2010-3-21 23:35
慢性胆囊炎,胆囊占位不排除,建议增强或彩超。
作者: 深泽交通 时间: 2010-3-21 23:36
考虑胆囊炎 不除外泥沙样结石
作者: 科室第一人 时间: 2010-3-21 23:40
胆囊体积增大,胃窦壁增厚
作者: zjzjr 时间: 2010-3-22 01:36
胆囊体积增大
作者: whmy 时间: 2010-3-22 04:37
胆囊体积增大,密度不均匀,结石不除外;胃壁增厚,考虑胃癌,建议增强。
作者: dyqct 时间: 2010-3-22 05:08
标题: 回复:ct25230:女,63岁,萎缩性胃炎病史,患者明显黄染,
以下是引用深泽交通医院在2010-3-21 15:36:00的发言:[br]考虑胆囊炎 不除外泥沙样结石
支持!
作者: yangyudong333 时间: 2010-3-22 16:17
考虑胆囊炎 不除外泥沙样结石
作者: dhlyq 时间: 2010-3-22 16:30
胆囊体积增大 ,建议超声检查。
作者: 草古木子 时间: 2010-3-22 17:56
胆囊体积增大,密度增高,较均匀,外缘也较光滑,应考虑胆囊炎。因为胃未充盈,不好说壁增厚。肝左叶及脾门处见低密度灶,有可能是血管瘤,不排除囊肿。建议超声检查或强化。
作者: 随光逐影 时间: 2010-3-22 21:10
胆囊增大,原因待查。
作者: 黑白光影 时间: 2010-3-23 03:41
这就是江湖人称的“内科黄疸”, 肝内胆汁淤积症(ic)?
| 欢迎光临 医影在线 (http://bbs.radida.com/bbs/) |
Powered by Discuz! X3.2 |