





































































































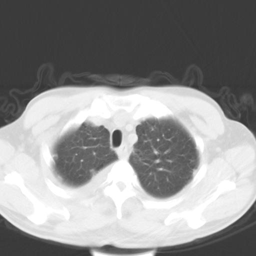
以下是引用zjzjr在2010-3-21 17:39:00的发言:[br]右下中心型肺癌并阻塞性肺炎/不张,纵膈淋巴结肿大,右侧大量胸腔积液,左侧少量胸腔积液
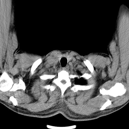
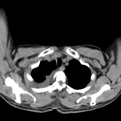
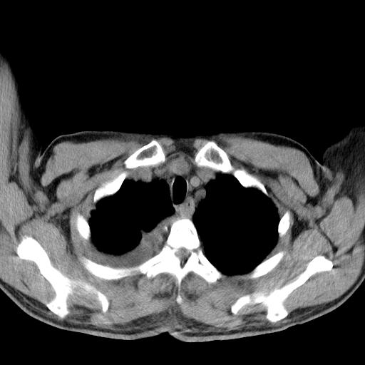
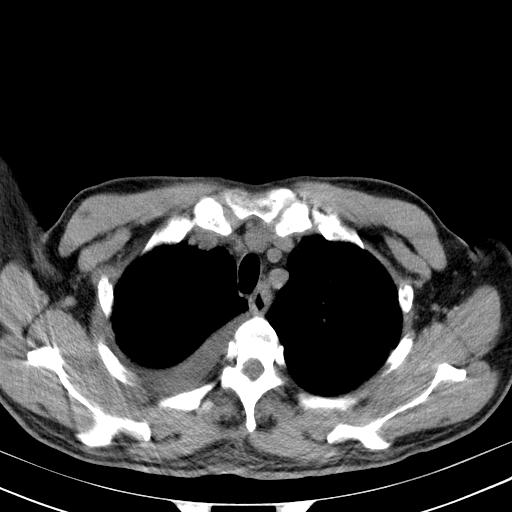
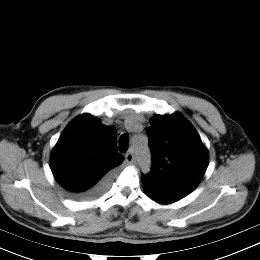
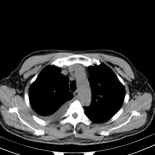
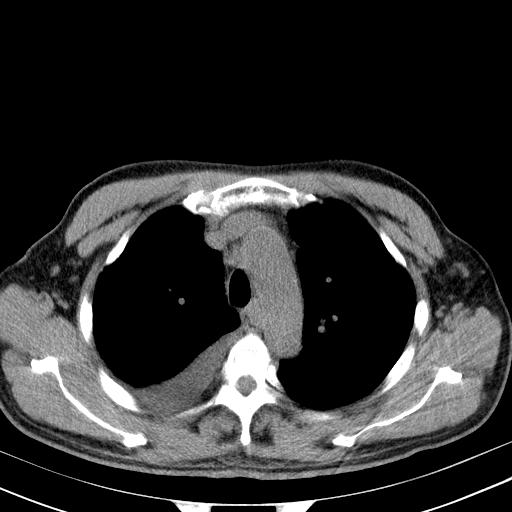
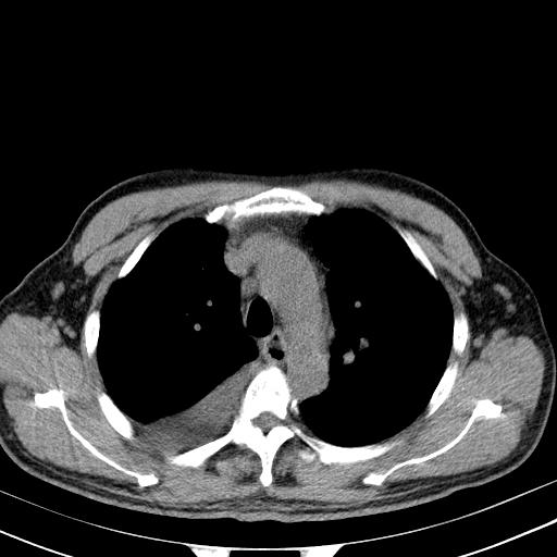
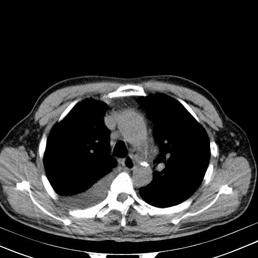
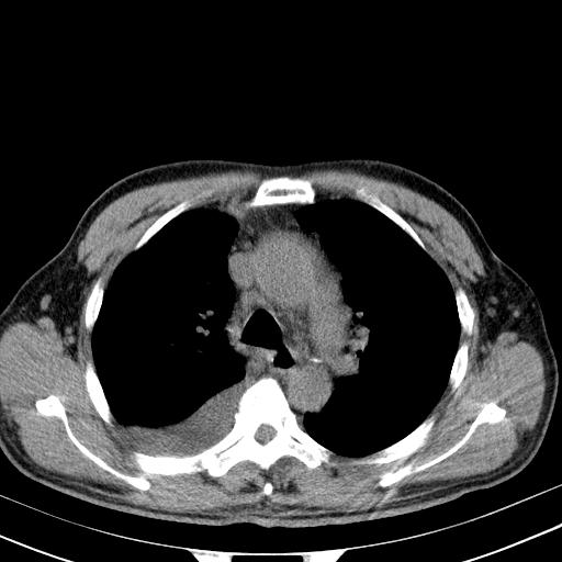
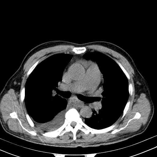
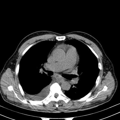
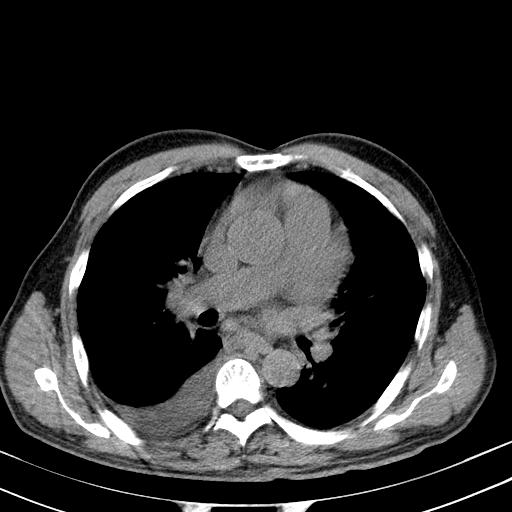
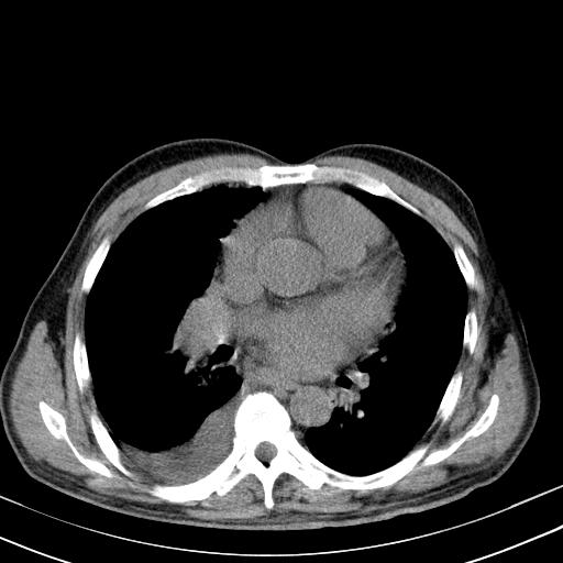
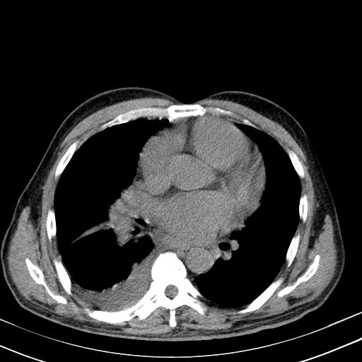
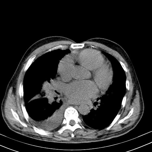
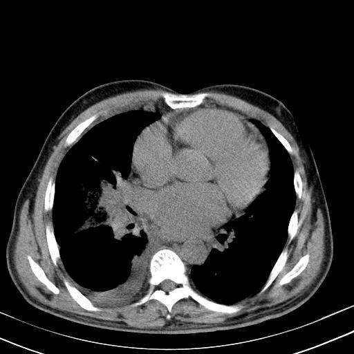
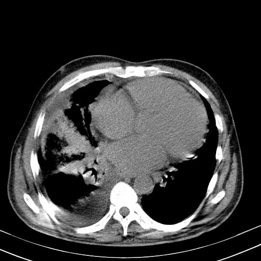
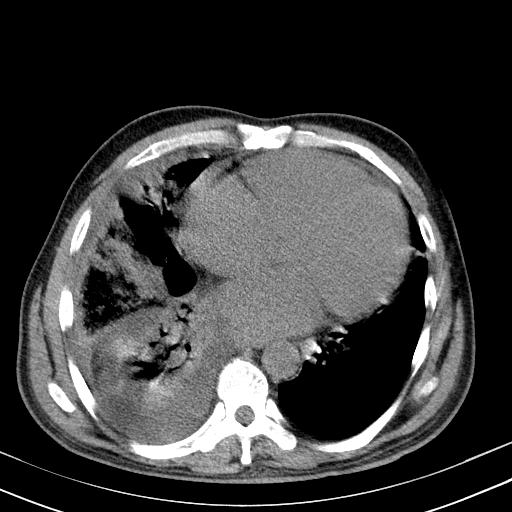
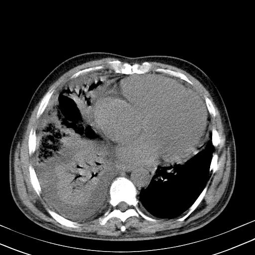
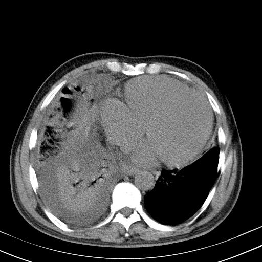
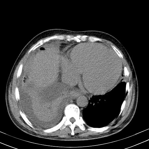
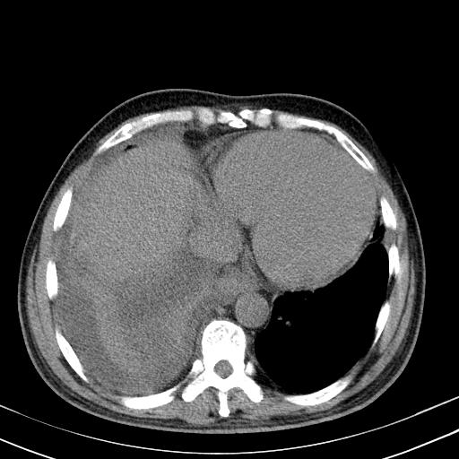
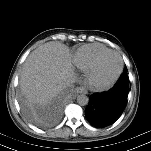
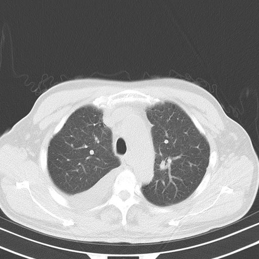
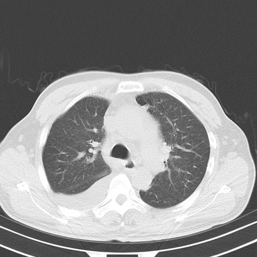
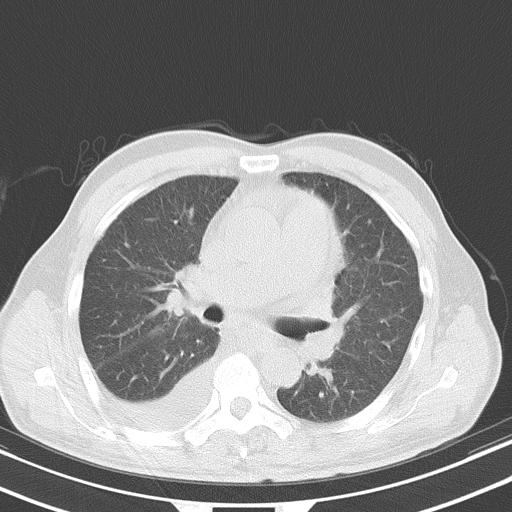
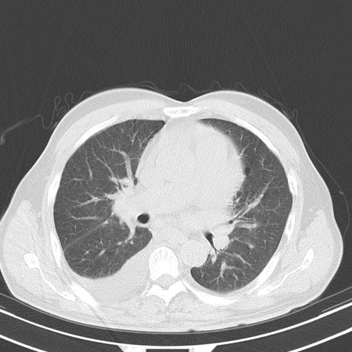
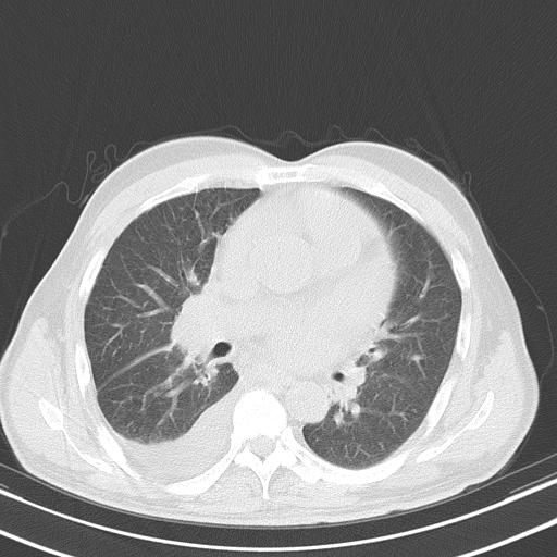
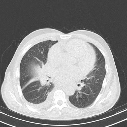
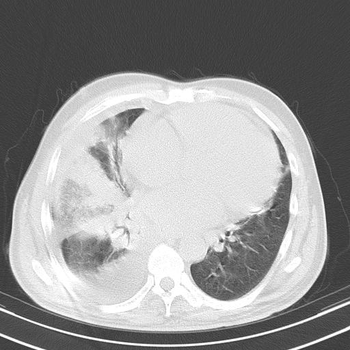
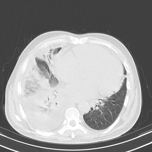
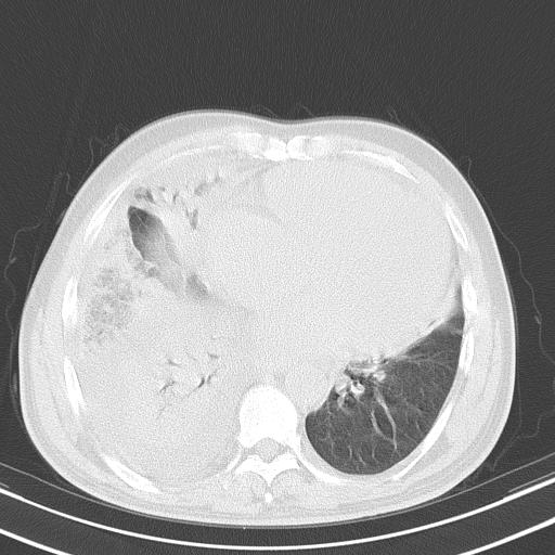
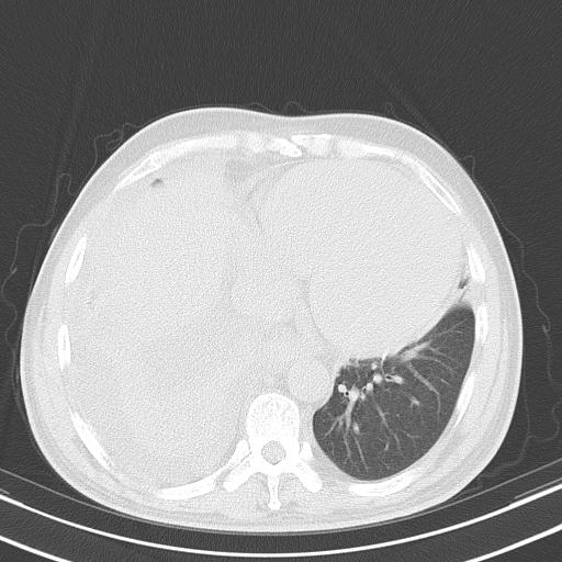
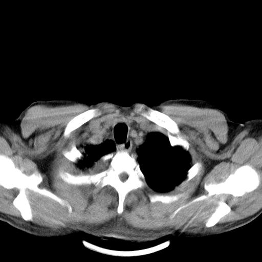
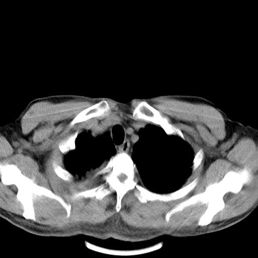
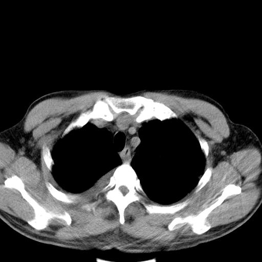
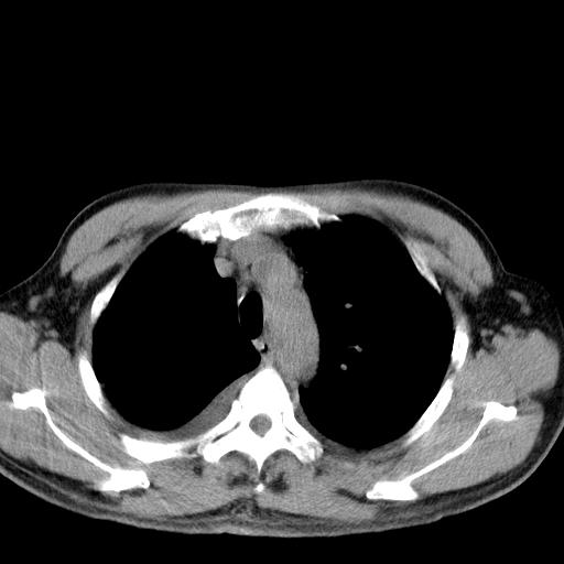
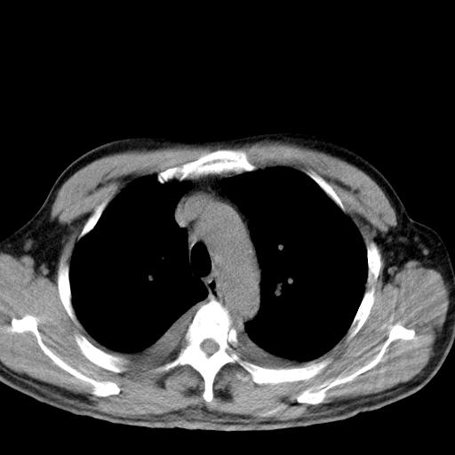
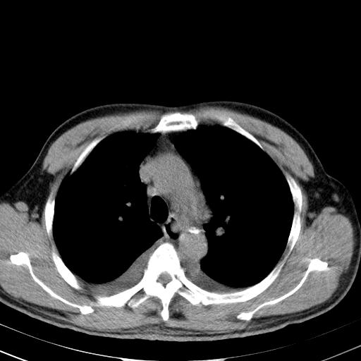
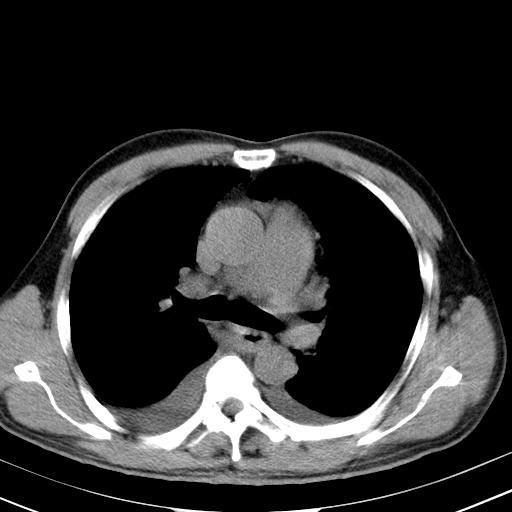
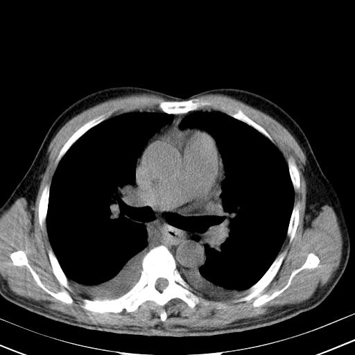
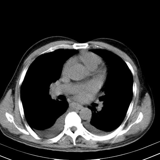
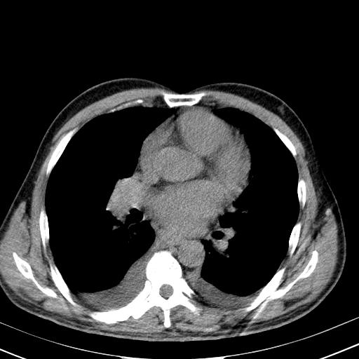
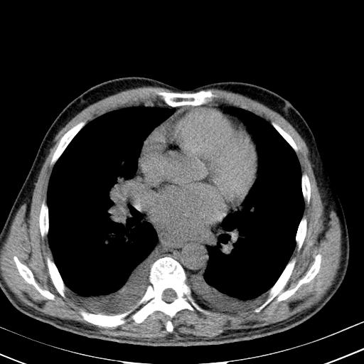
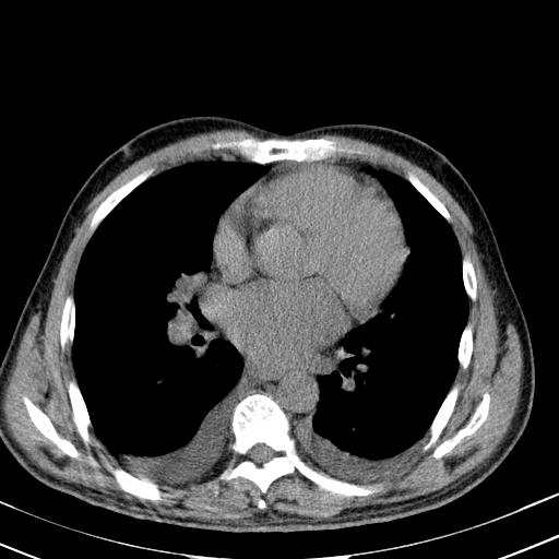
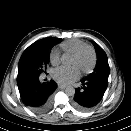
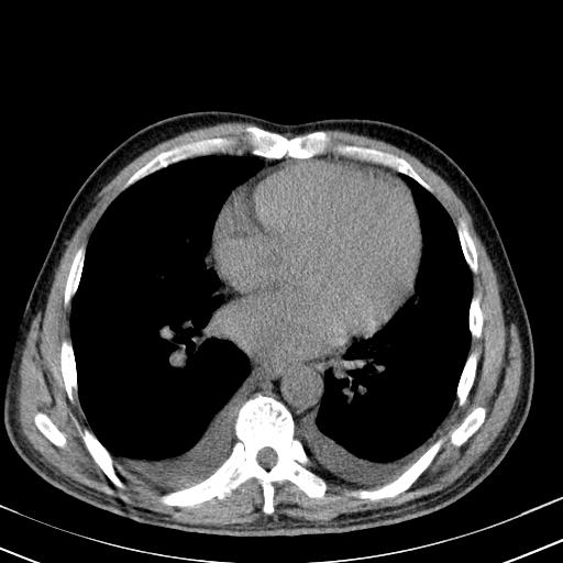
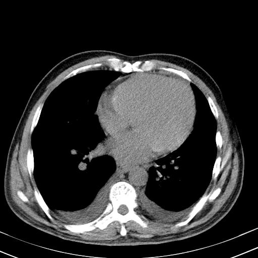
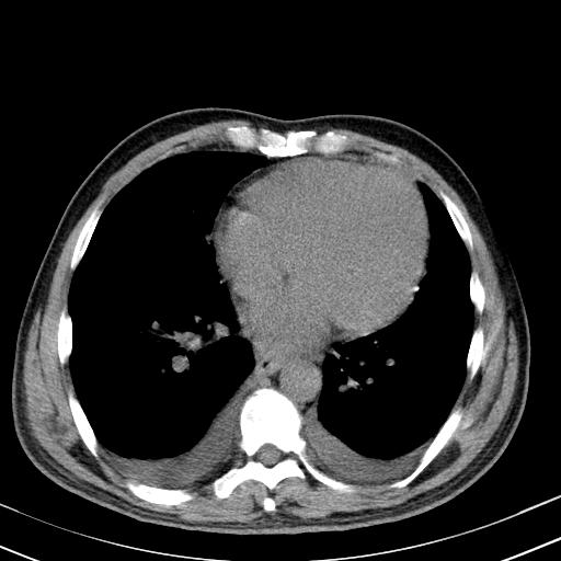
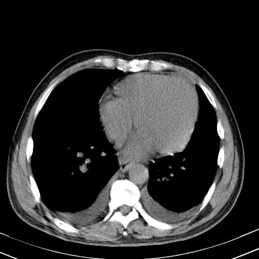
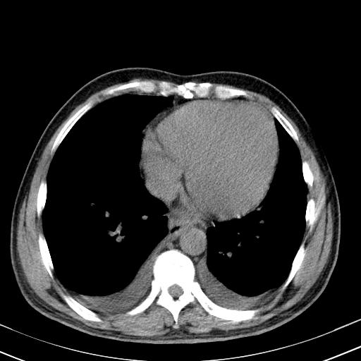
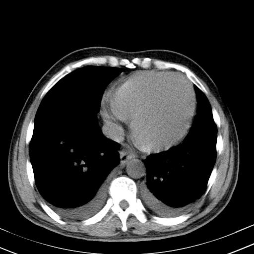
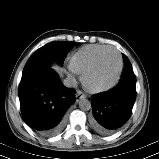
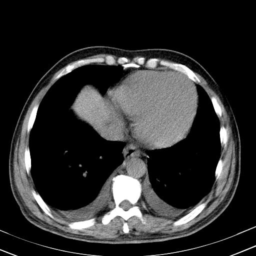
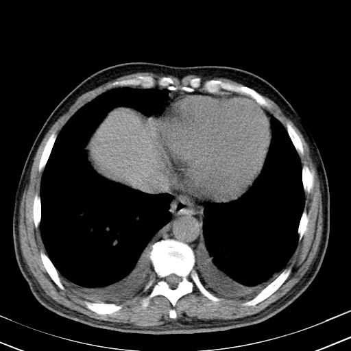
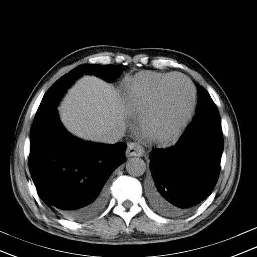
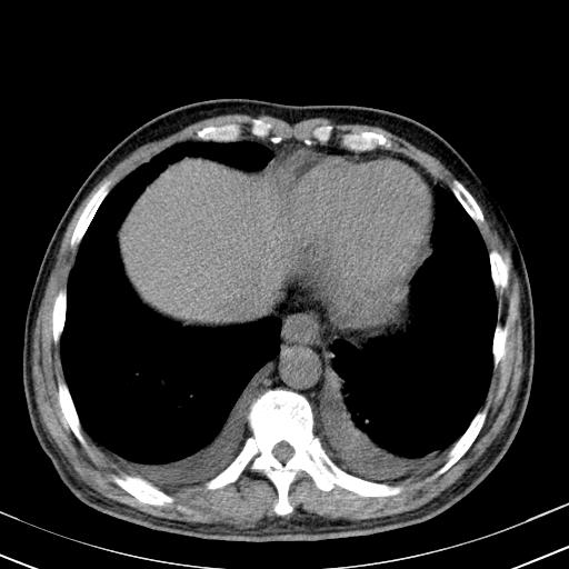
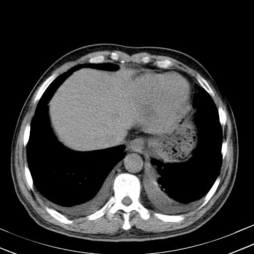
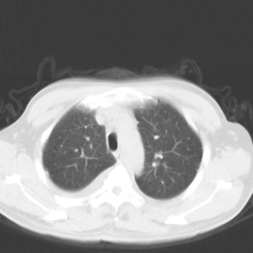
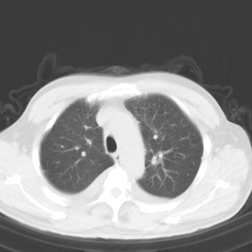
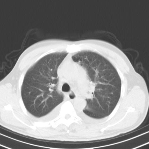
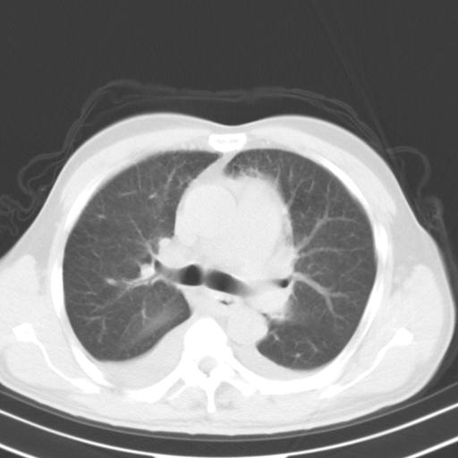
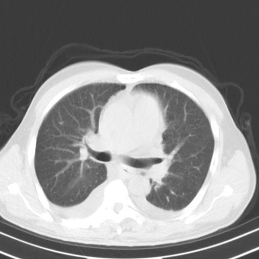
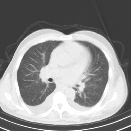
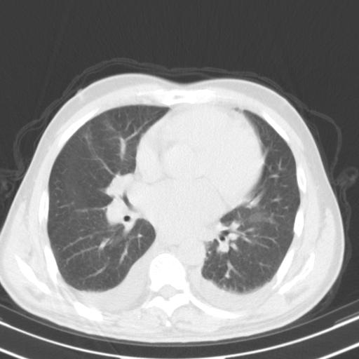
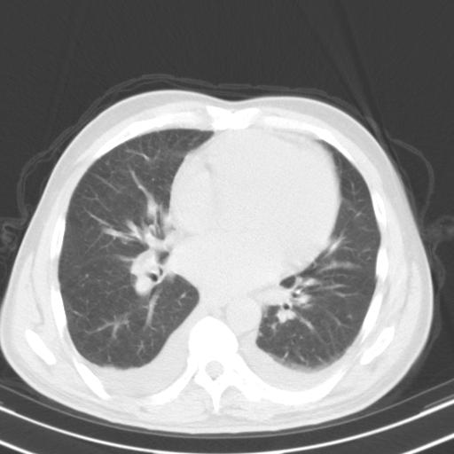
以下是引用zxl51642在2010-3-21 17:06:00的发言:[br]右下中心型肺癌并阻塞性肺炎/不张,纵膈淋巴结肿大,右侧大量胸腔积液,左侧少量胸腔积液,少量腹水。建议纤维支气管镜进一步检查。
以下是引用zxl51642在2010-3-21 17:06:00的发言:[br]右下中心型肺癌并阻塞性肺炎/不张,纵膈淋巴结肿大,右侧大量胸腔积液,左侧少量胸腔积液,少量腹水。建议纤维支气管镜进一步检查。
| 欢迎光临 医影在线 (http://bbs.radida.com/bbs/) | Powered by Discuz! X3.2 |