医影在线
标题: CT25321:两肺多发结节 请会诊 [打印本页]
作者: xuyongqi 时间: 2010-3-21 23:55
标题: CT25321:两肺多发结节 请会诊
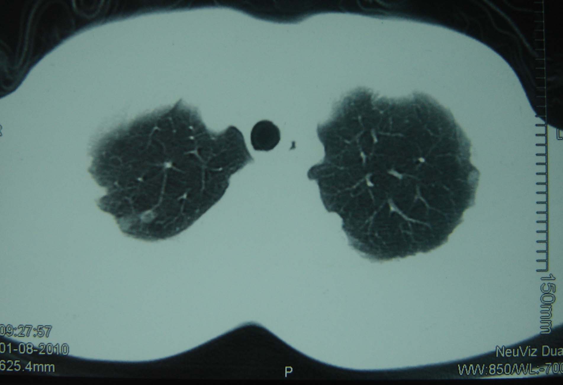
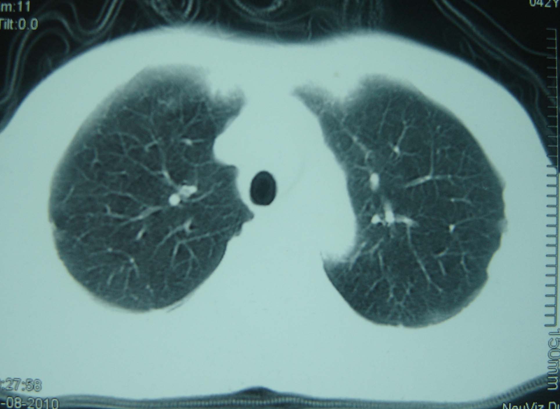
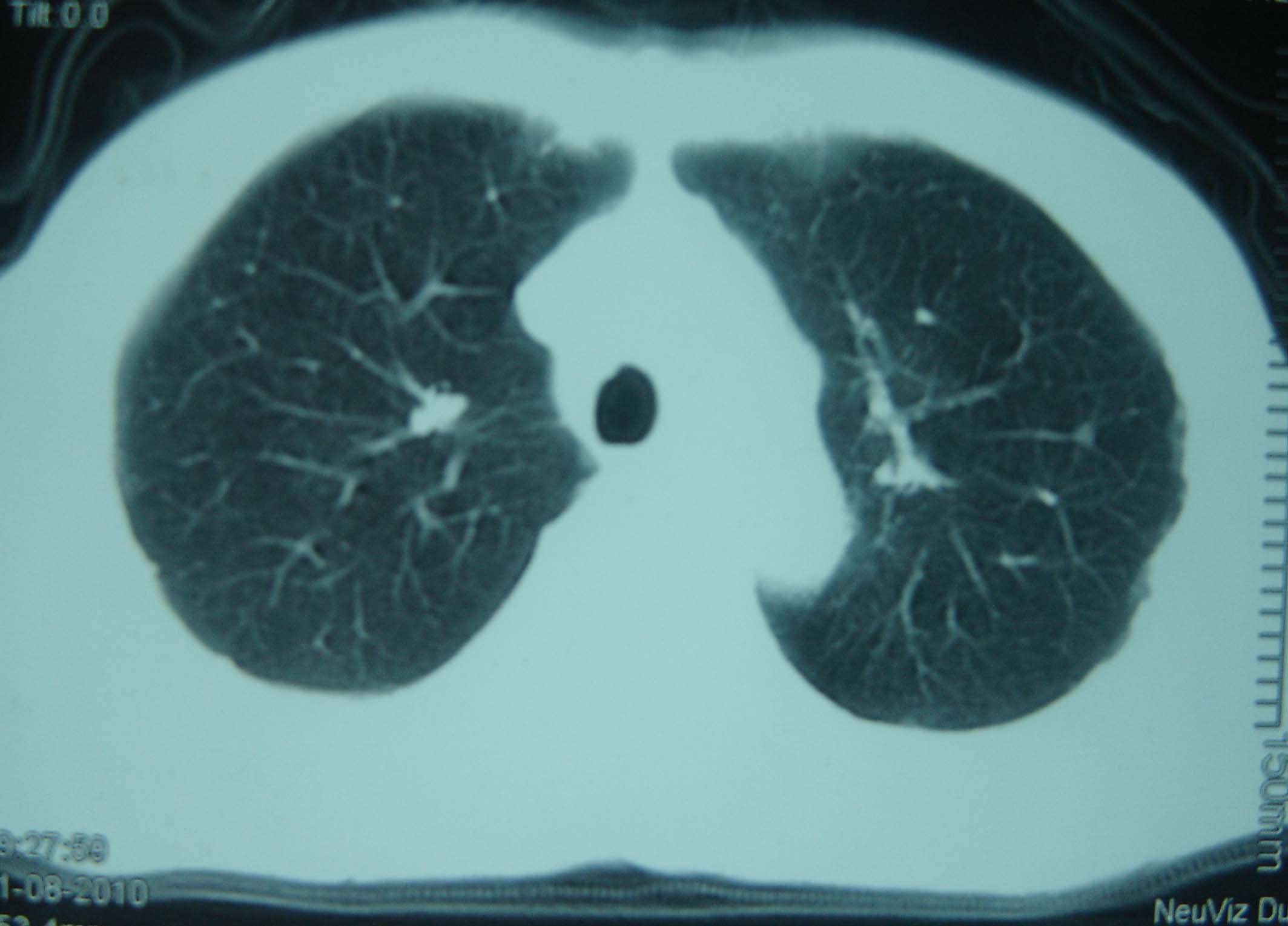
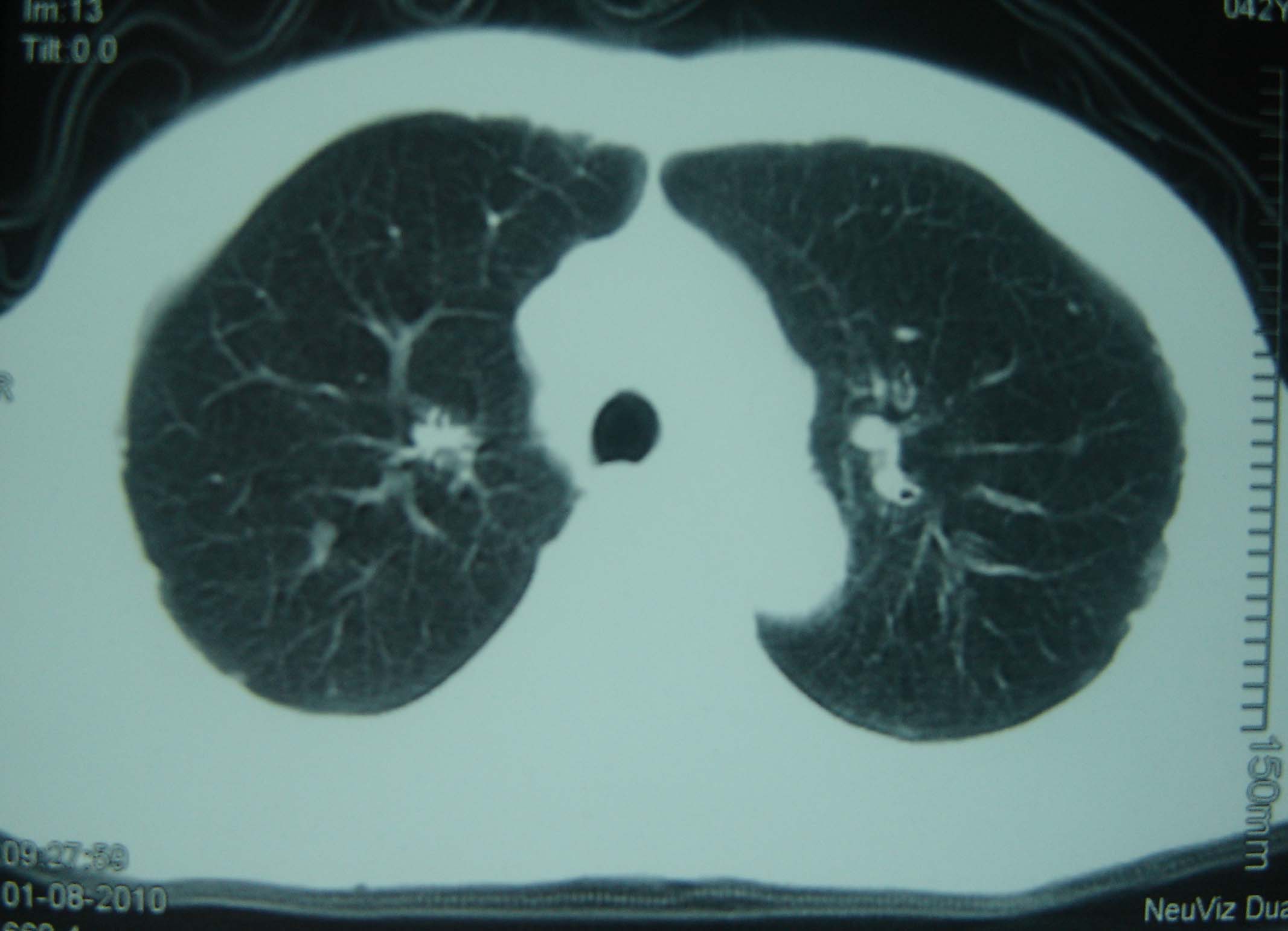
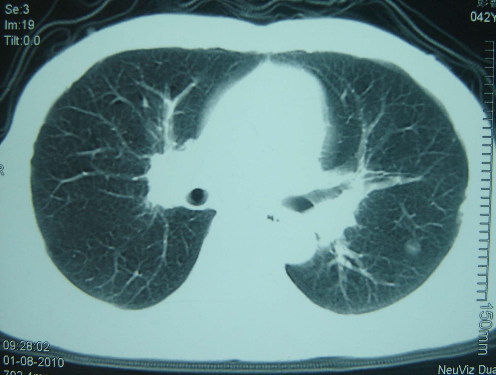
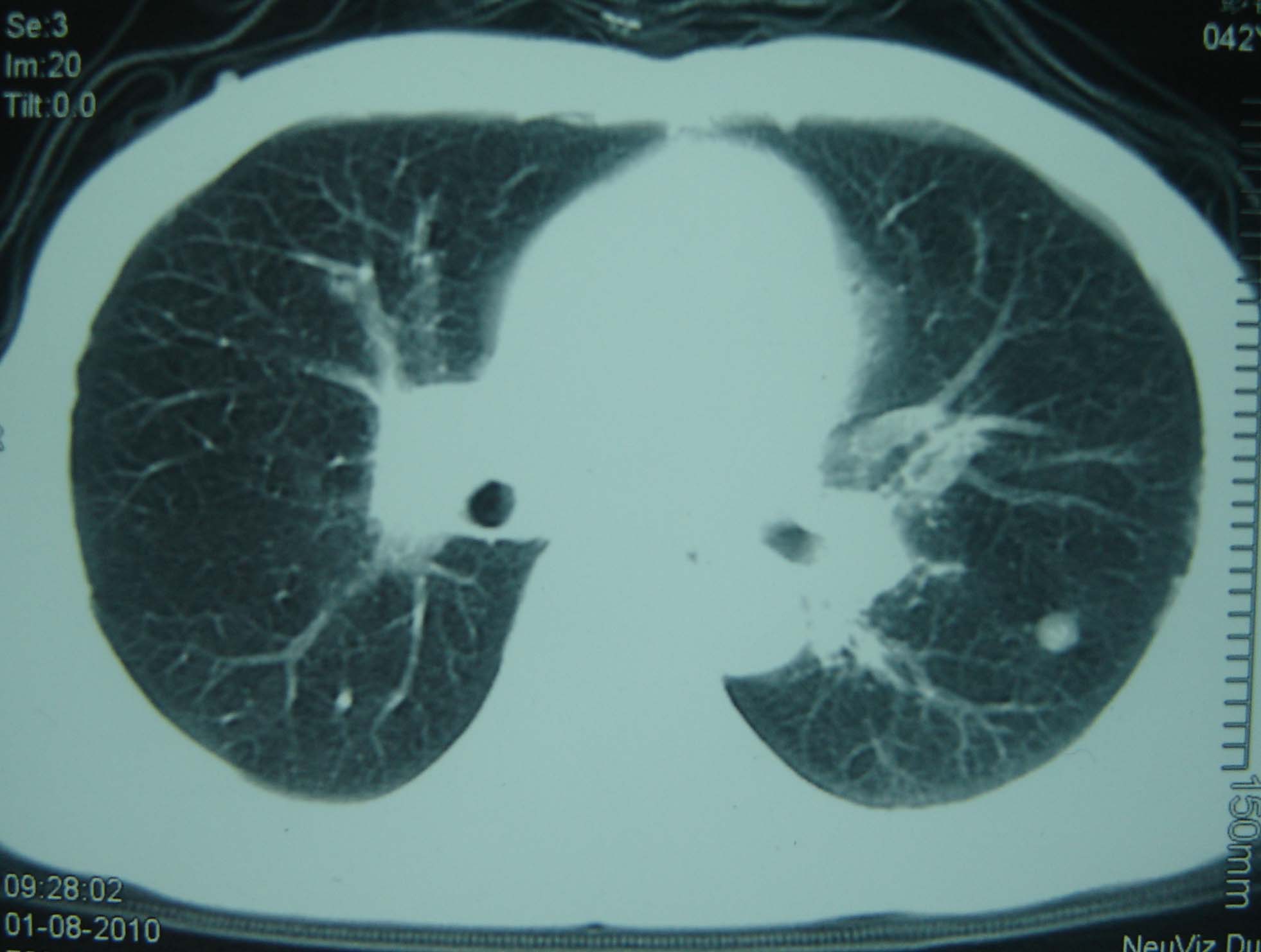
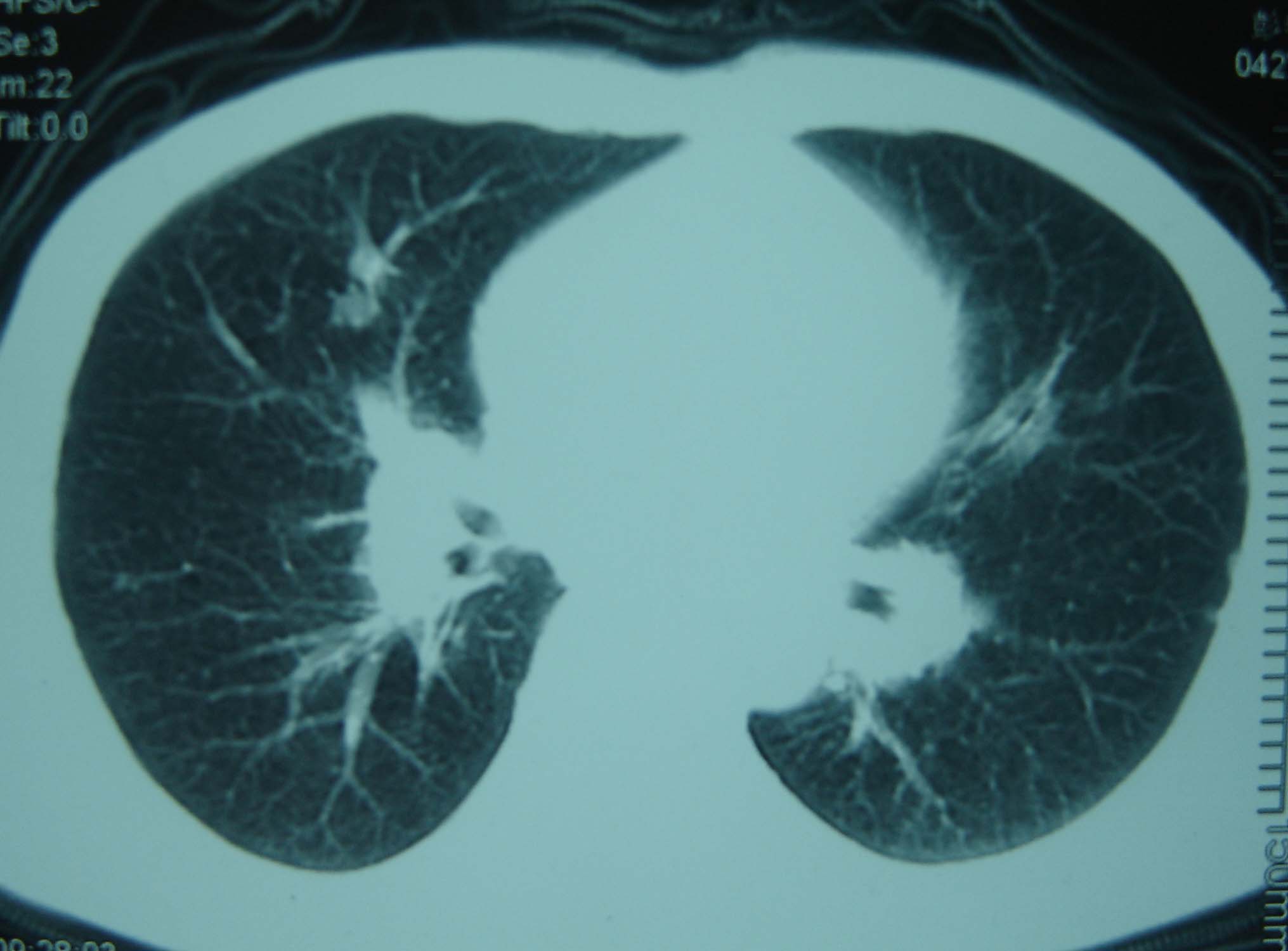
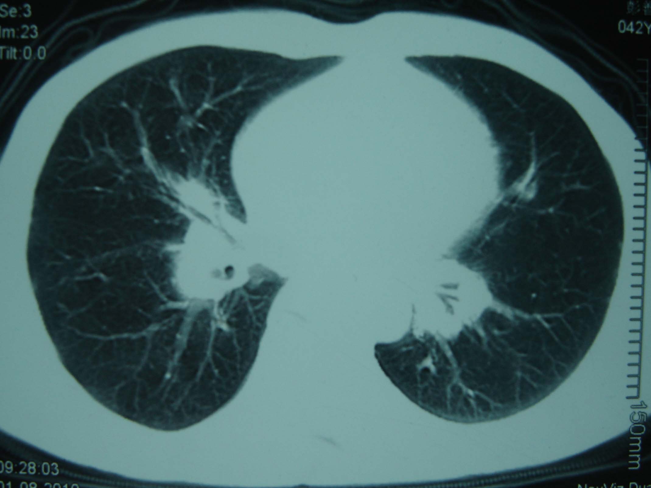
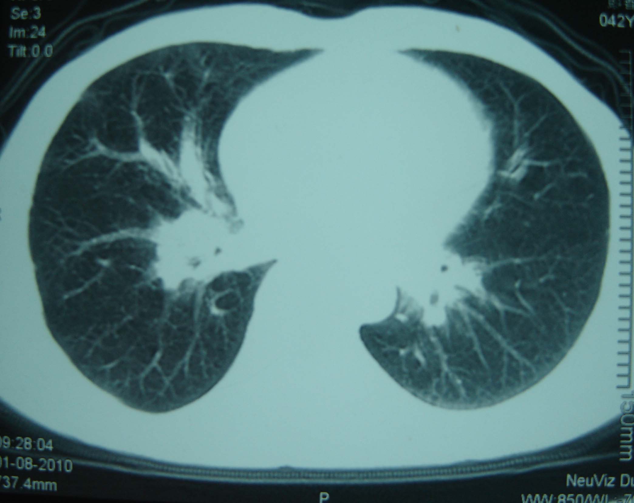
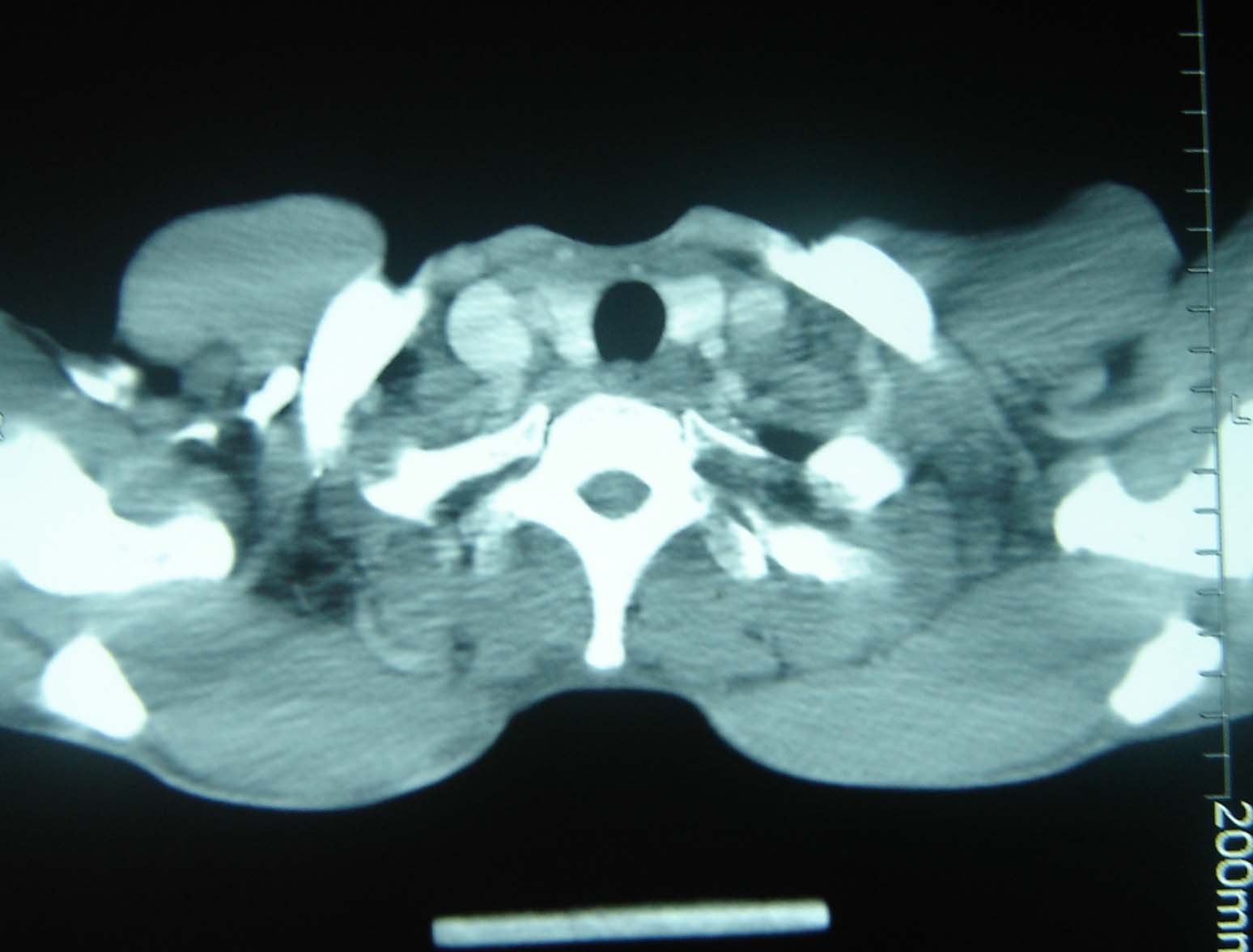
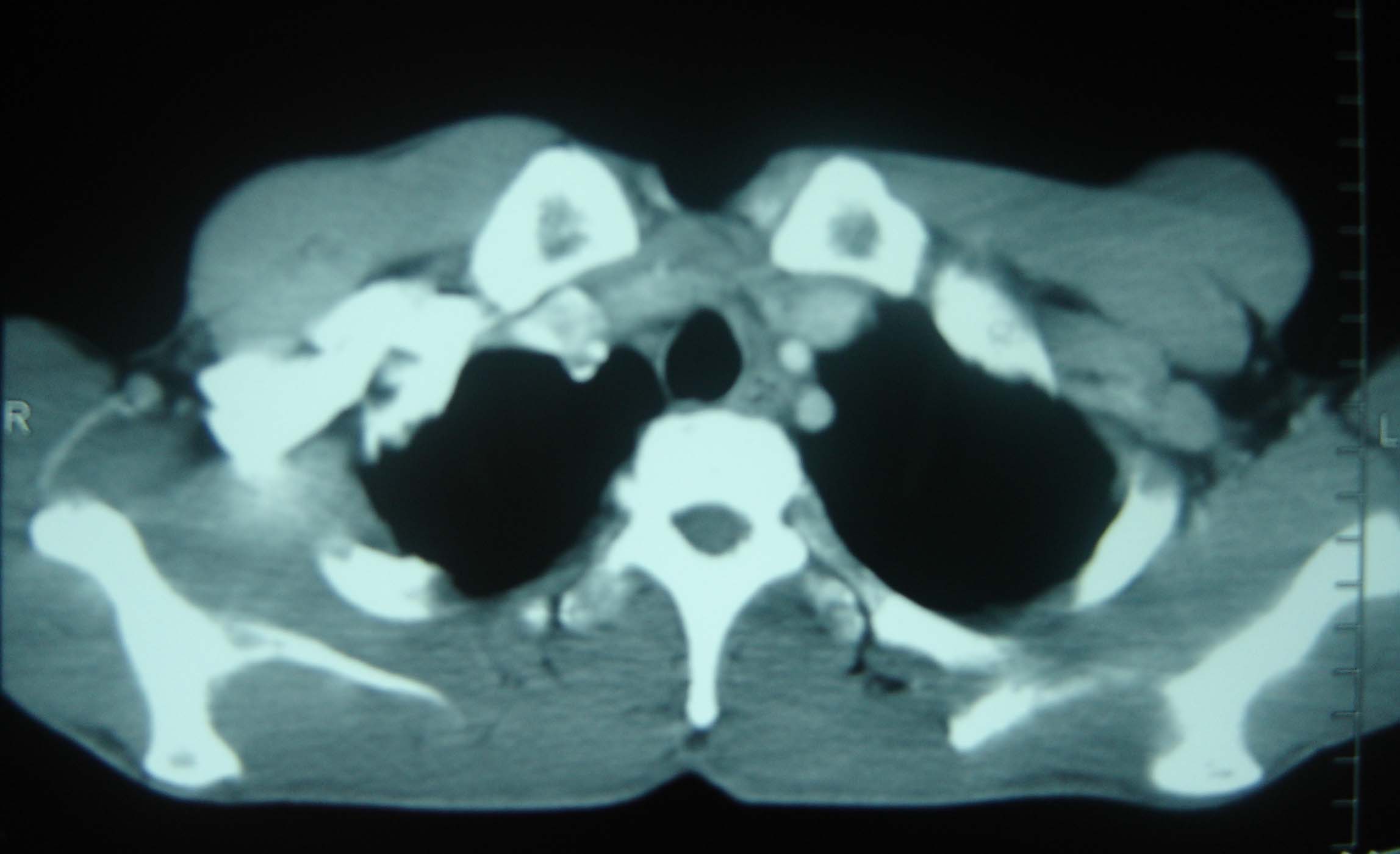
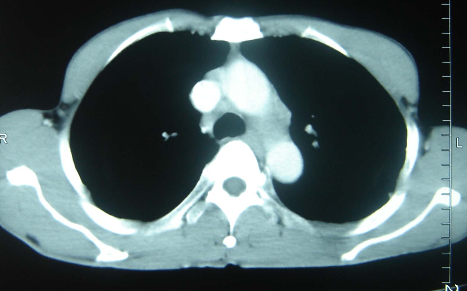
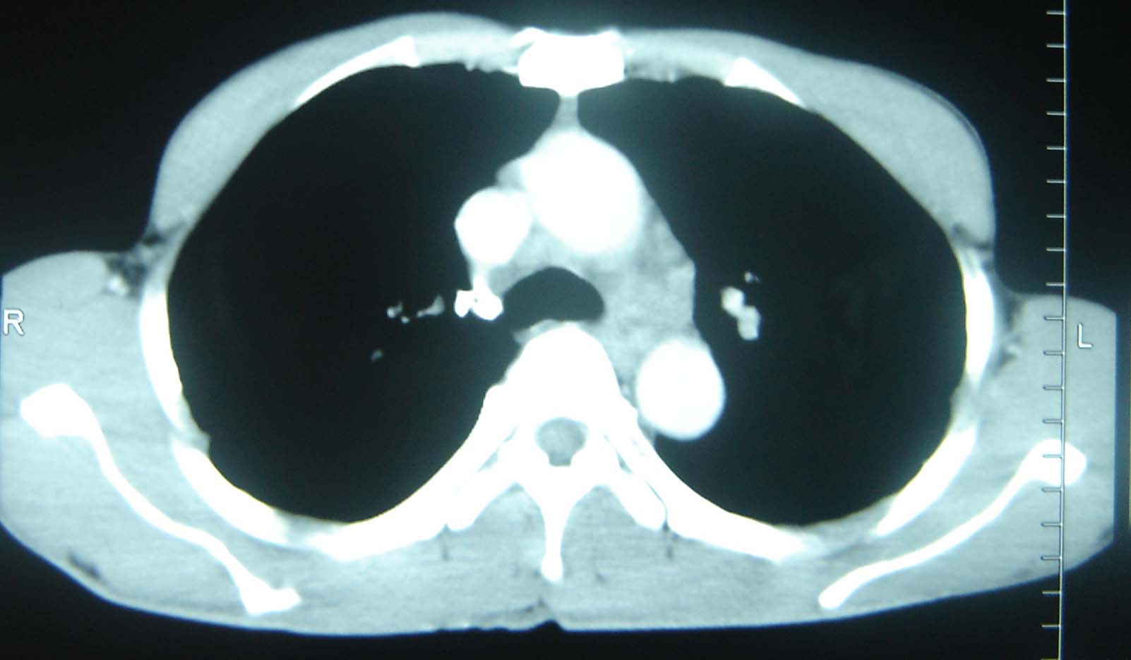
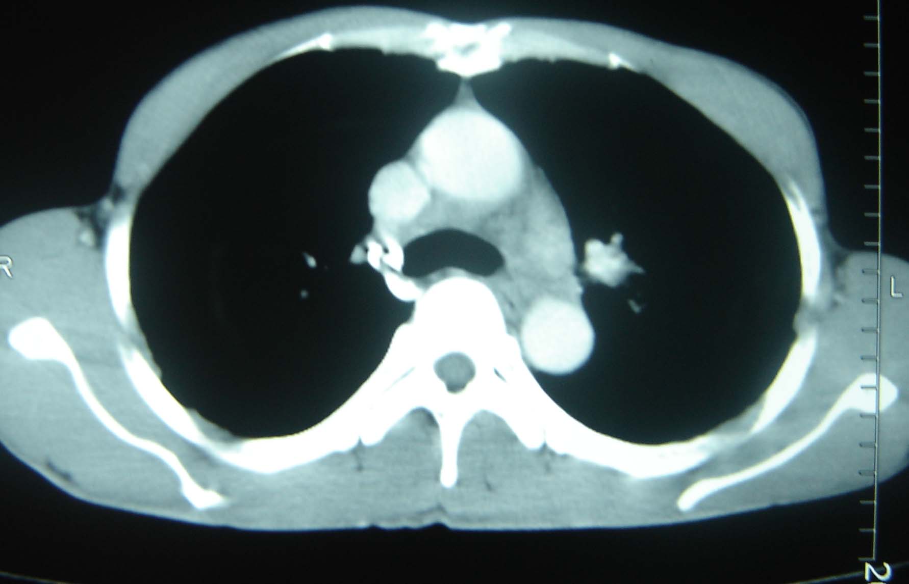
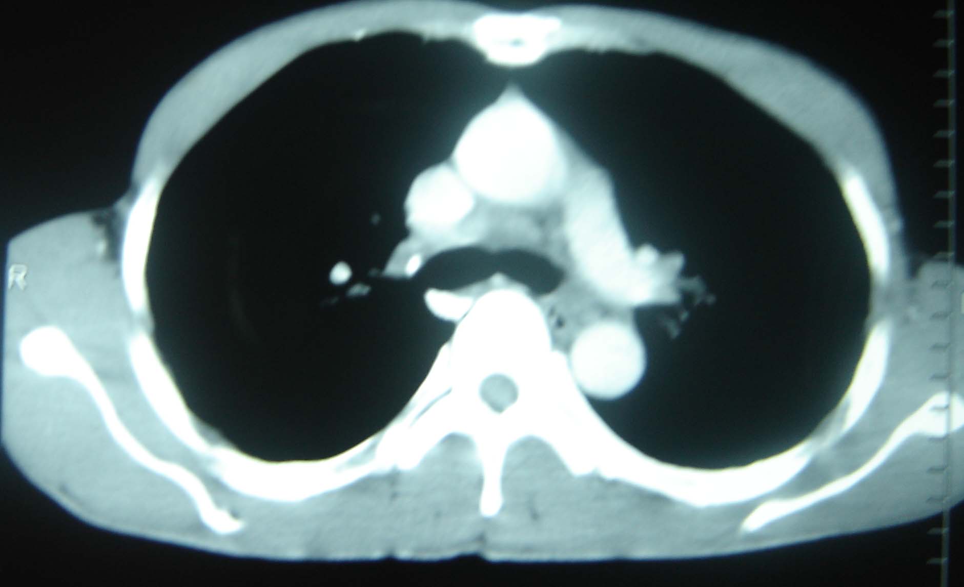
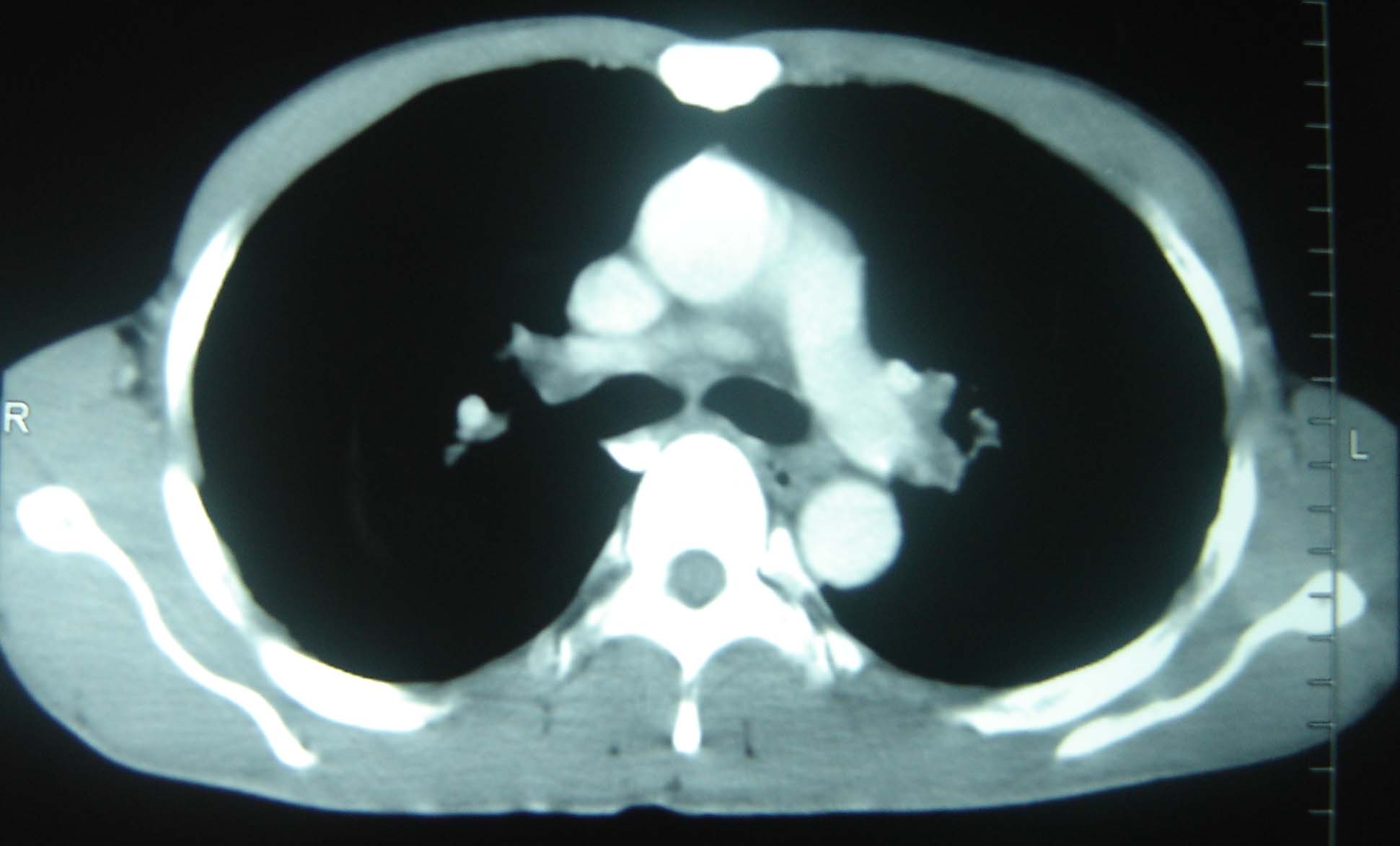
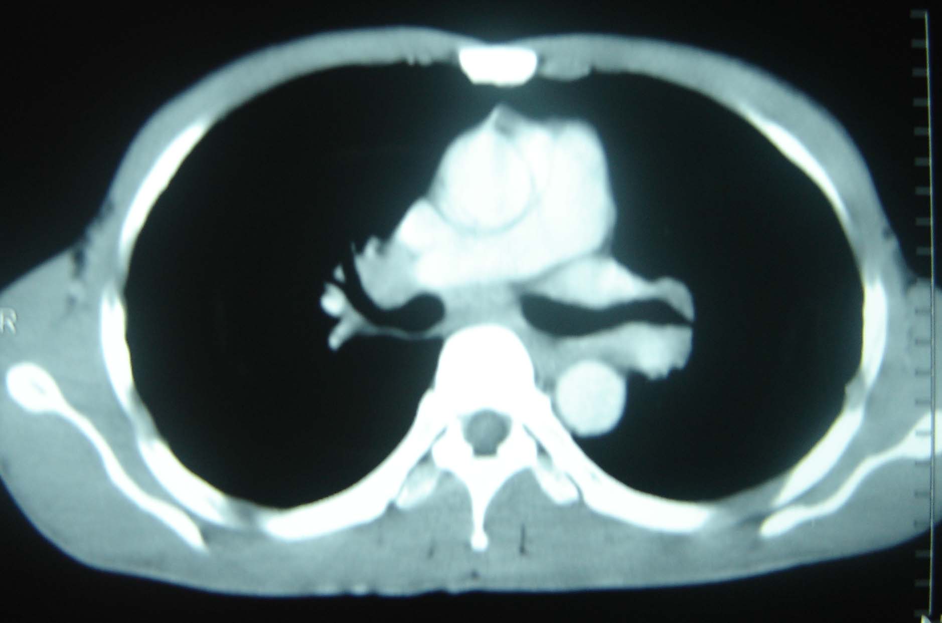
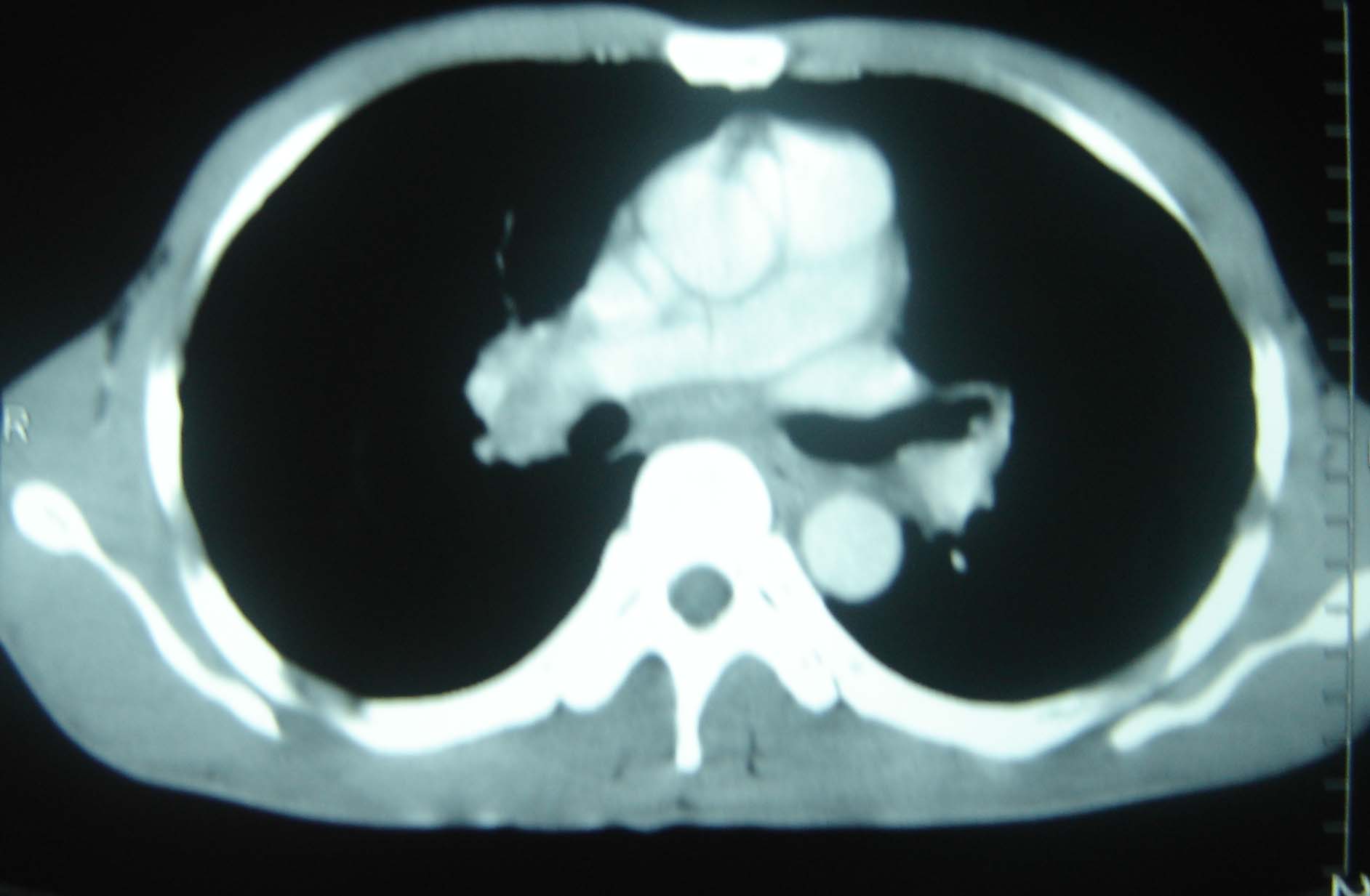
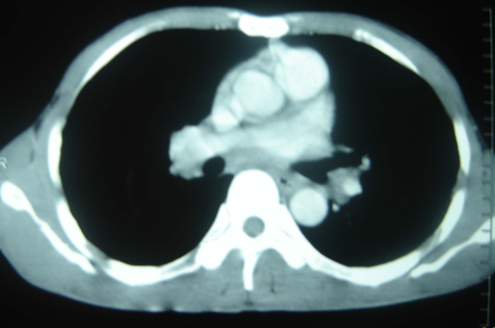
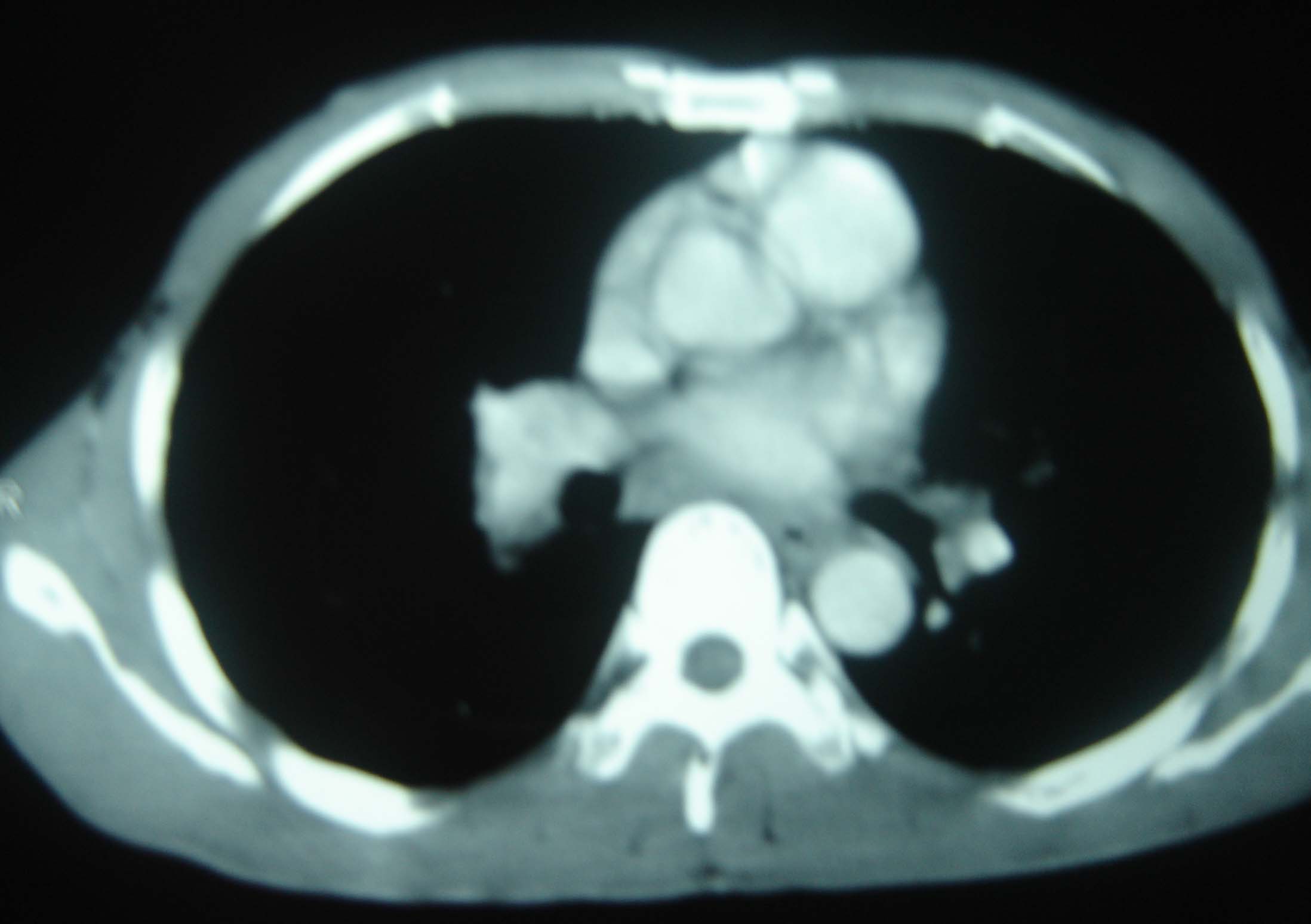
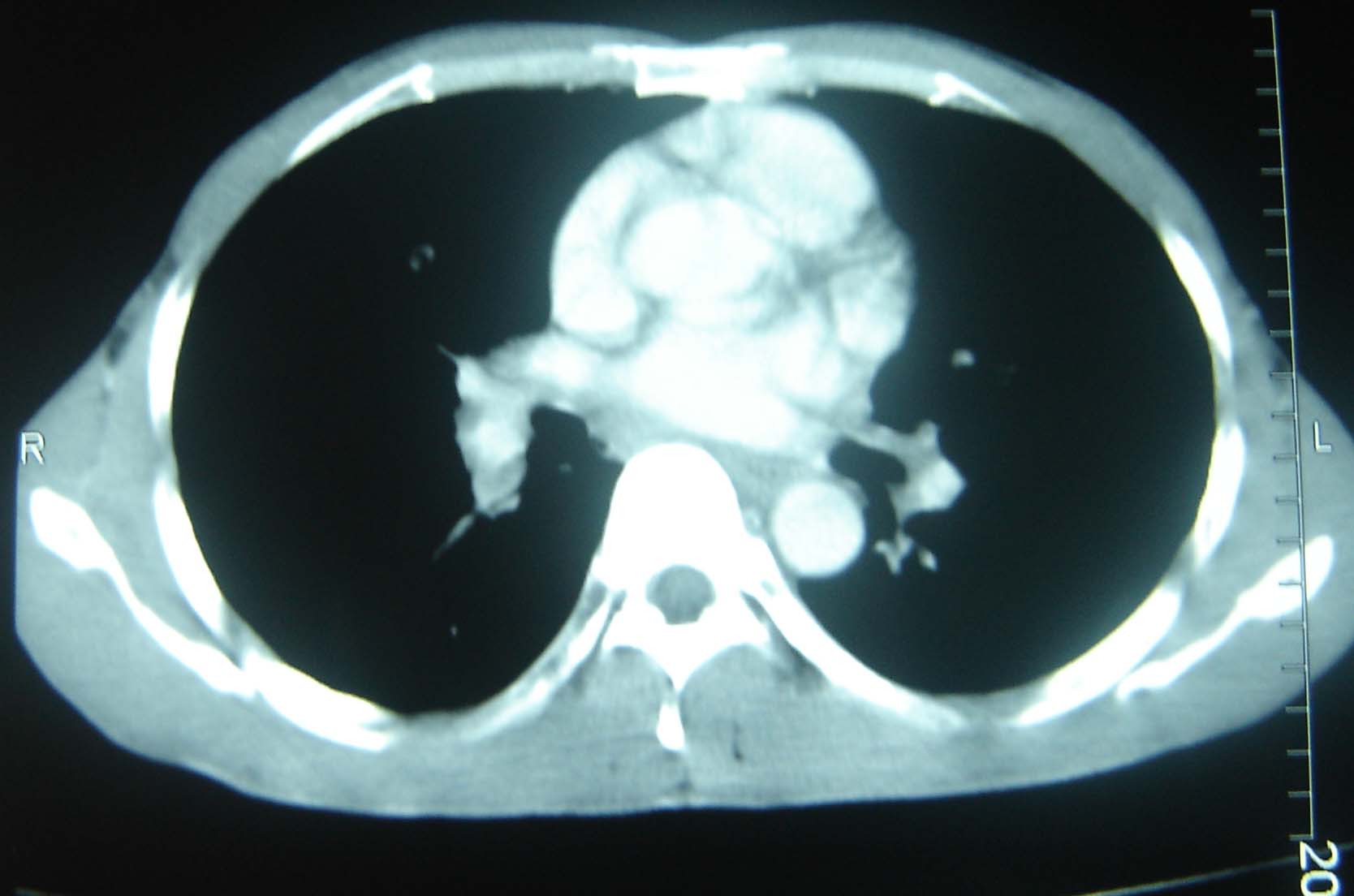
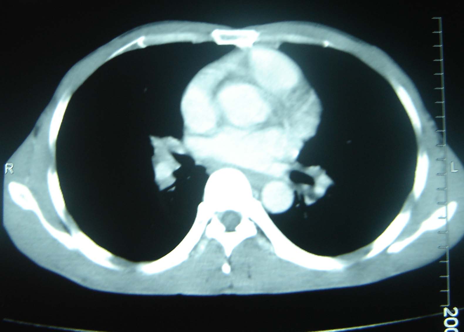
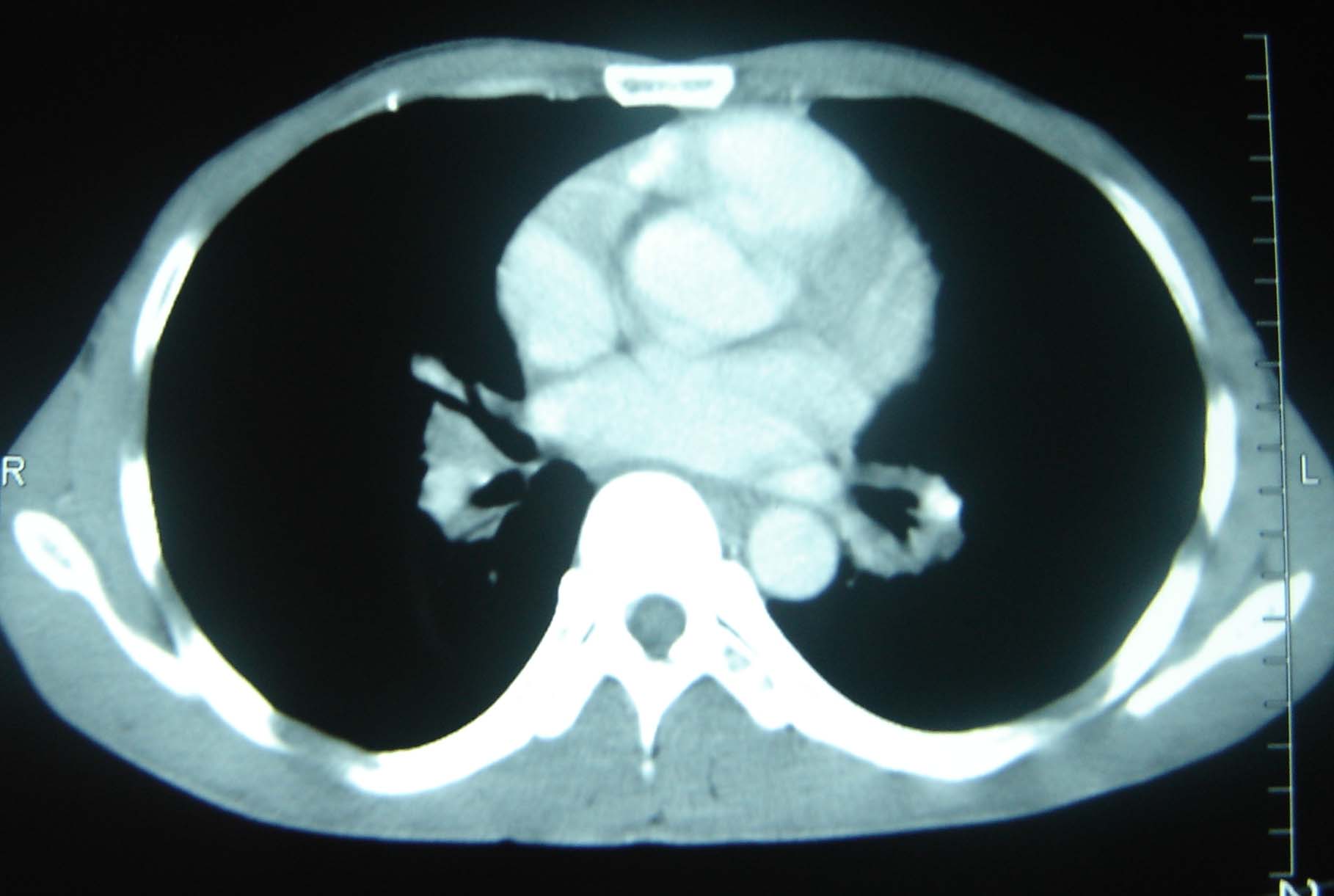
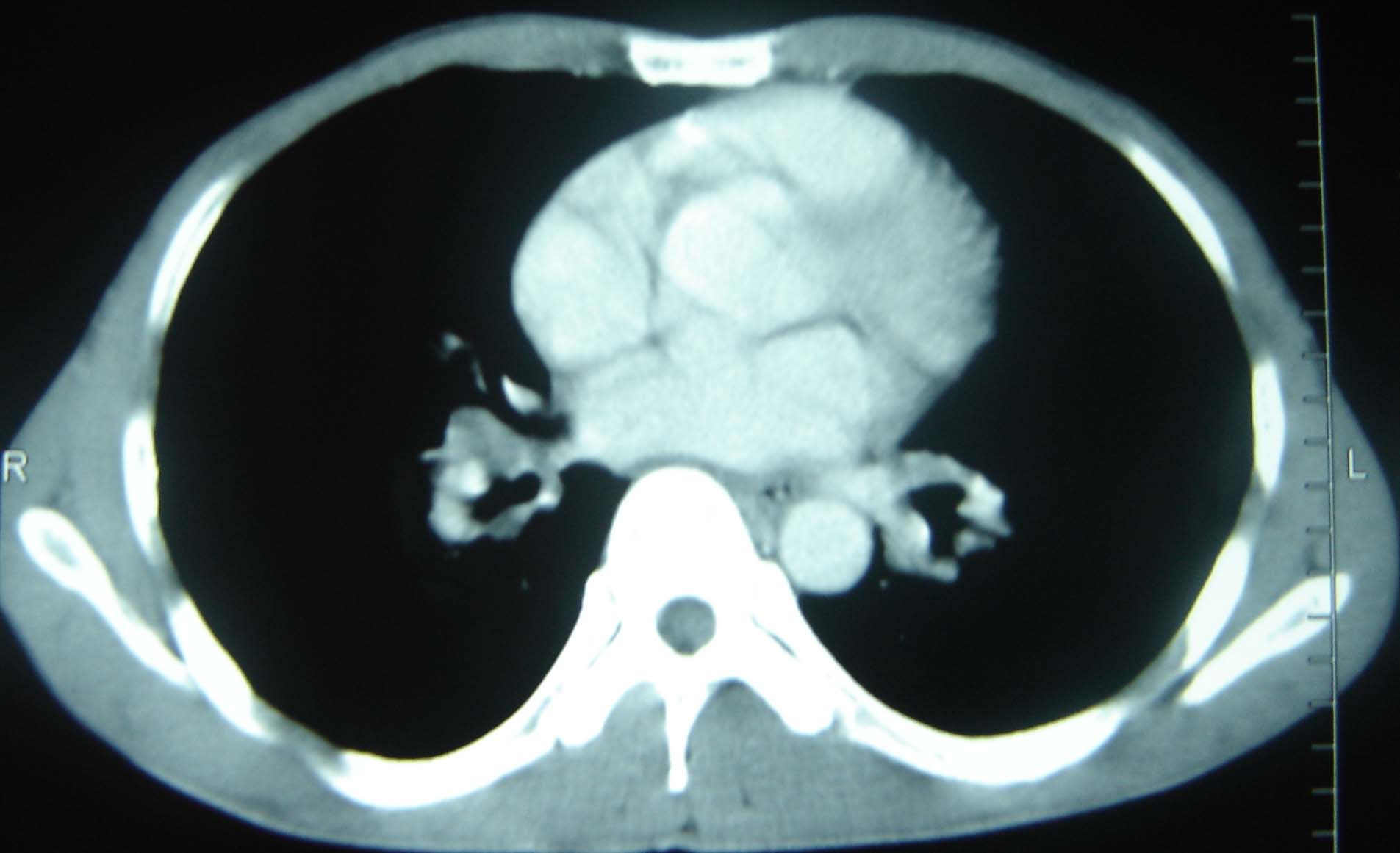
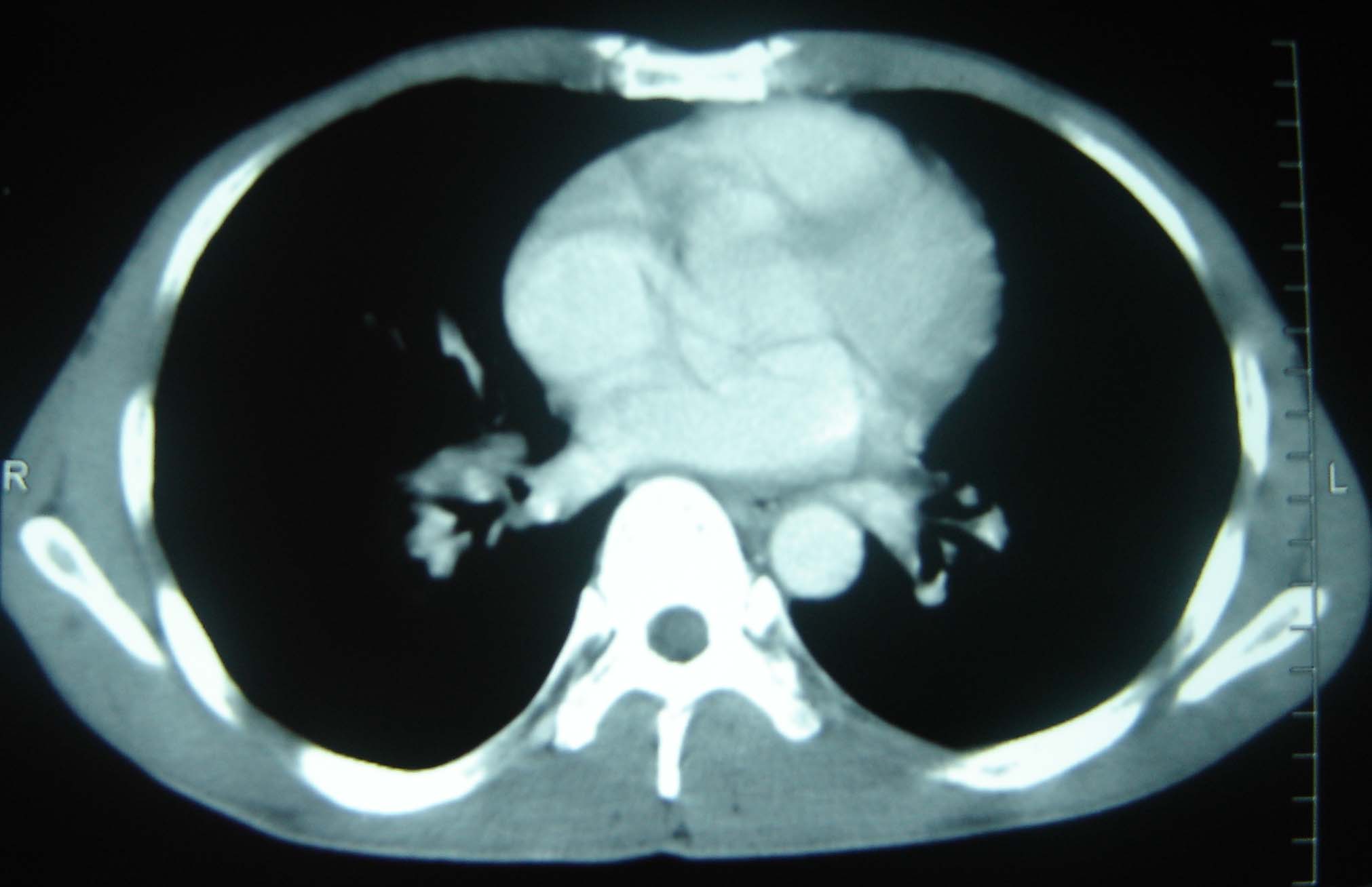
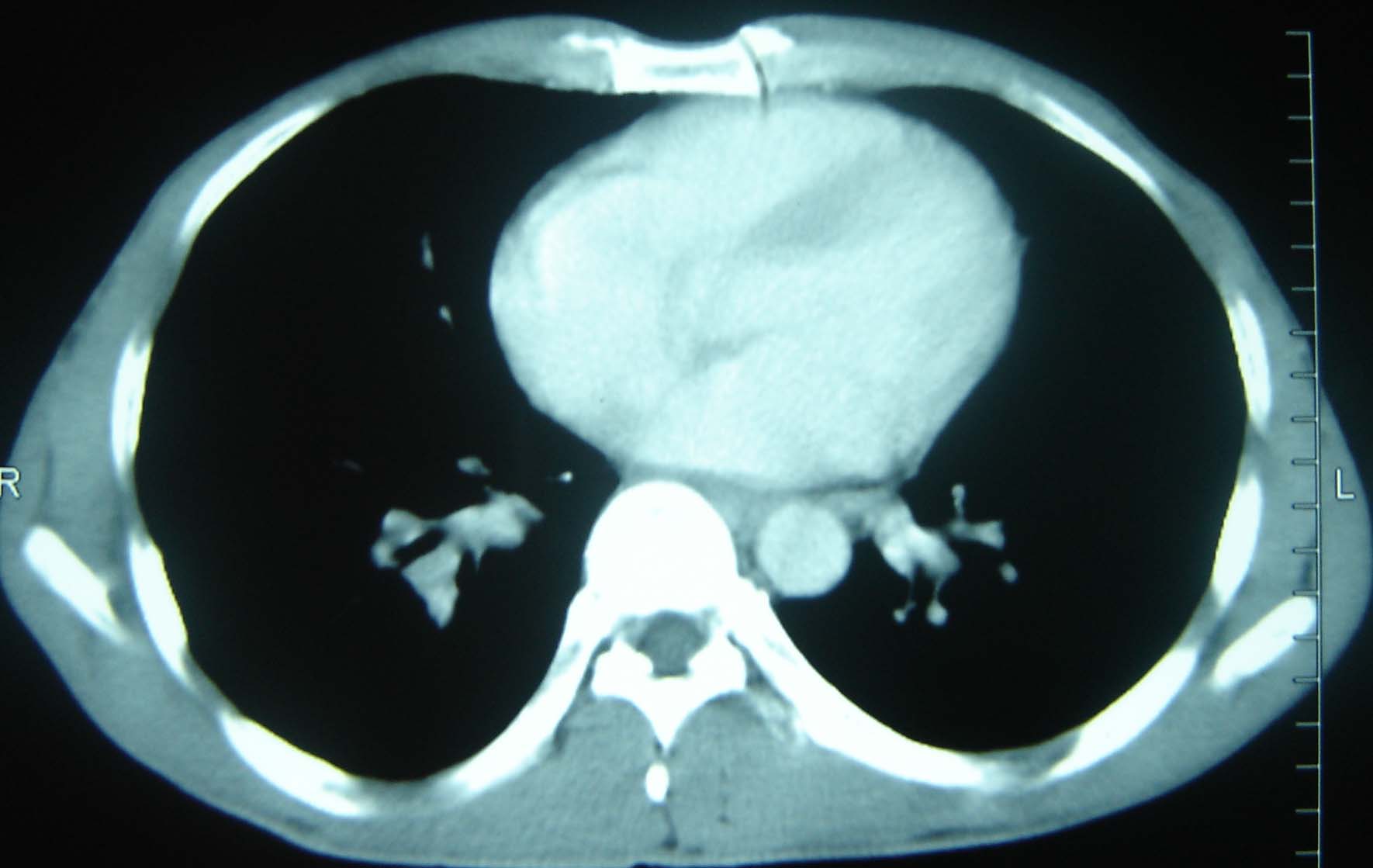
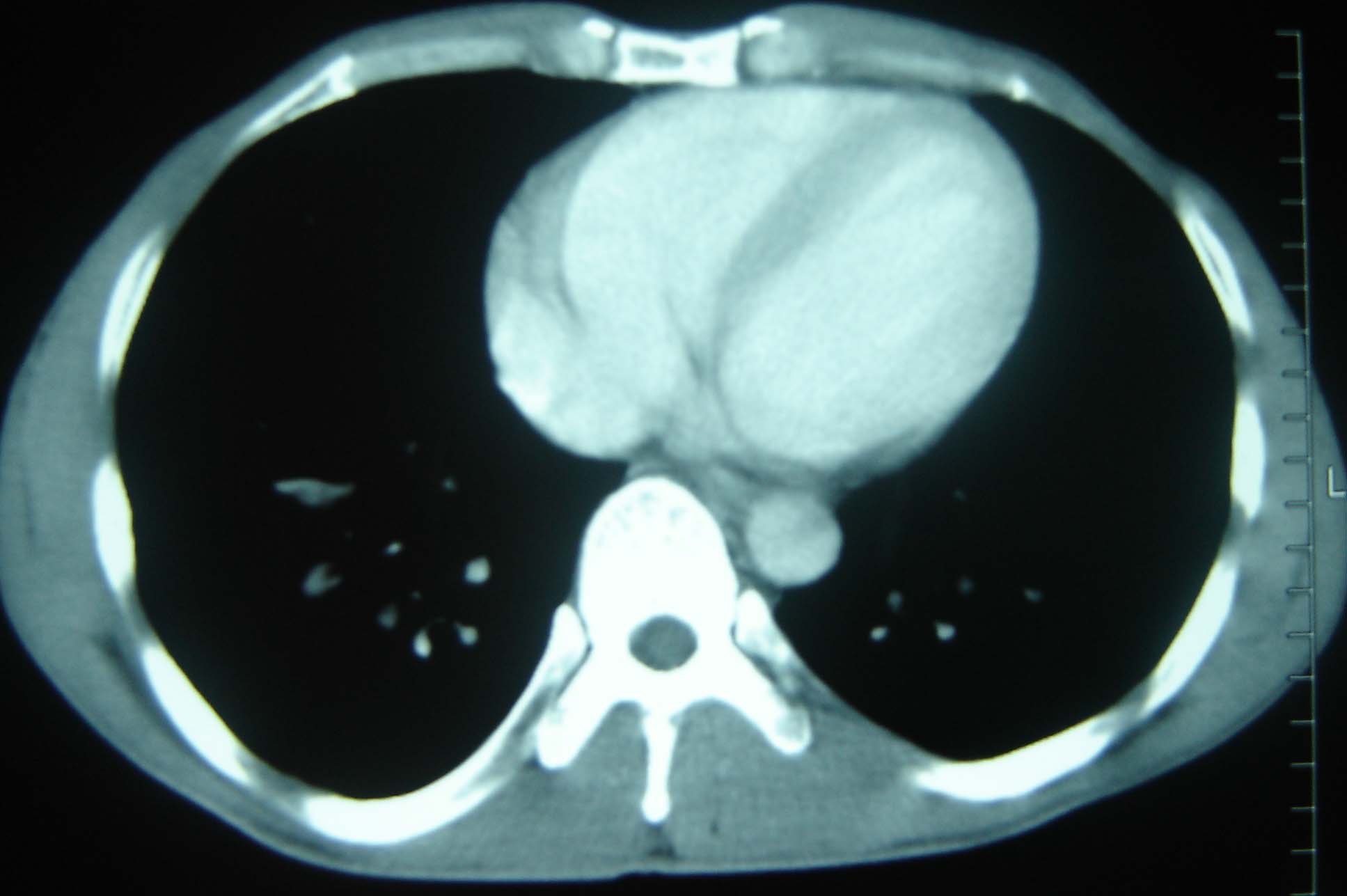
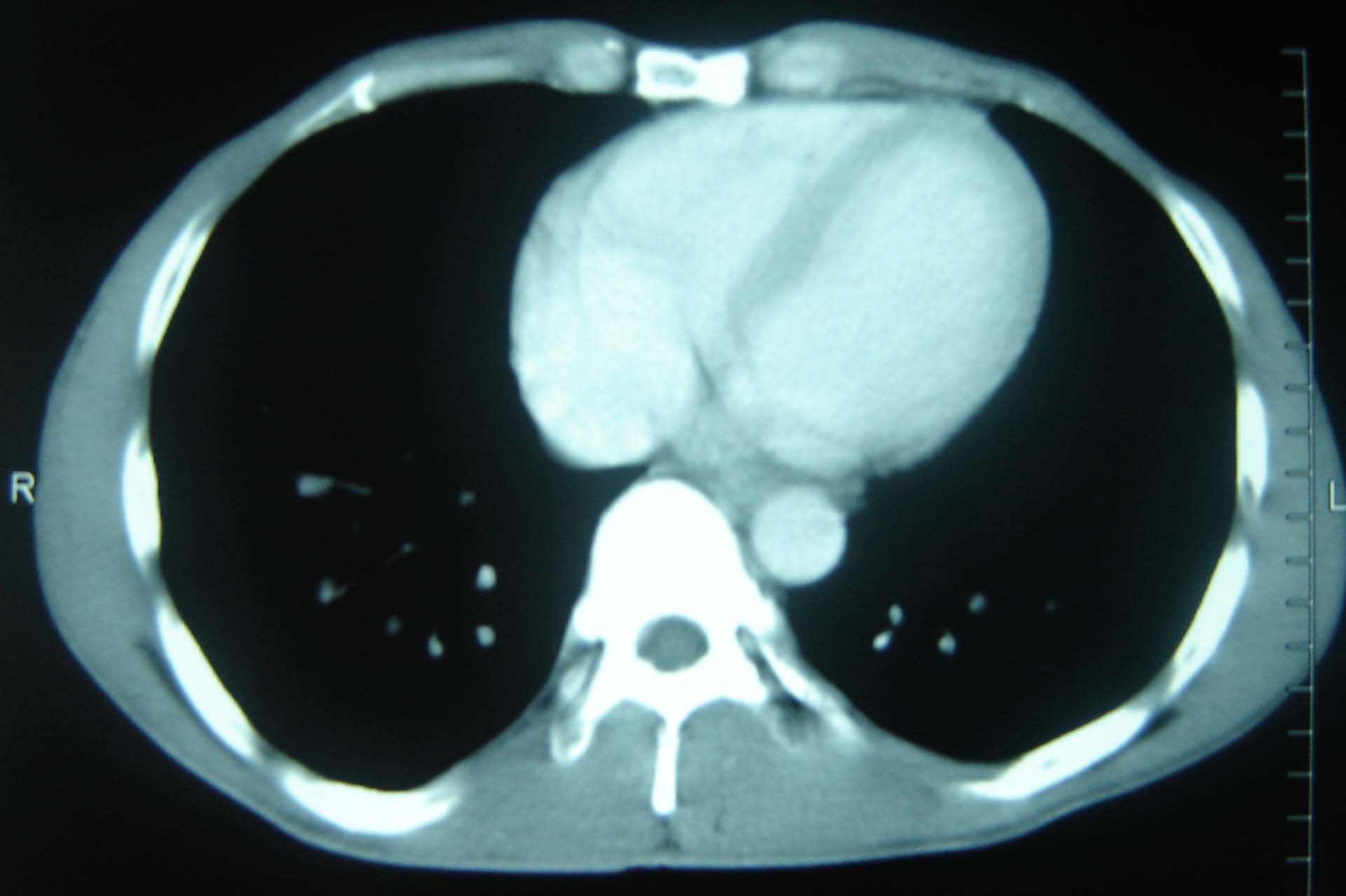
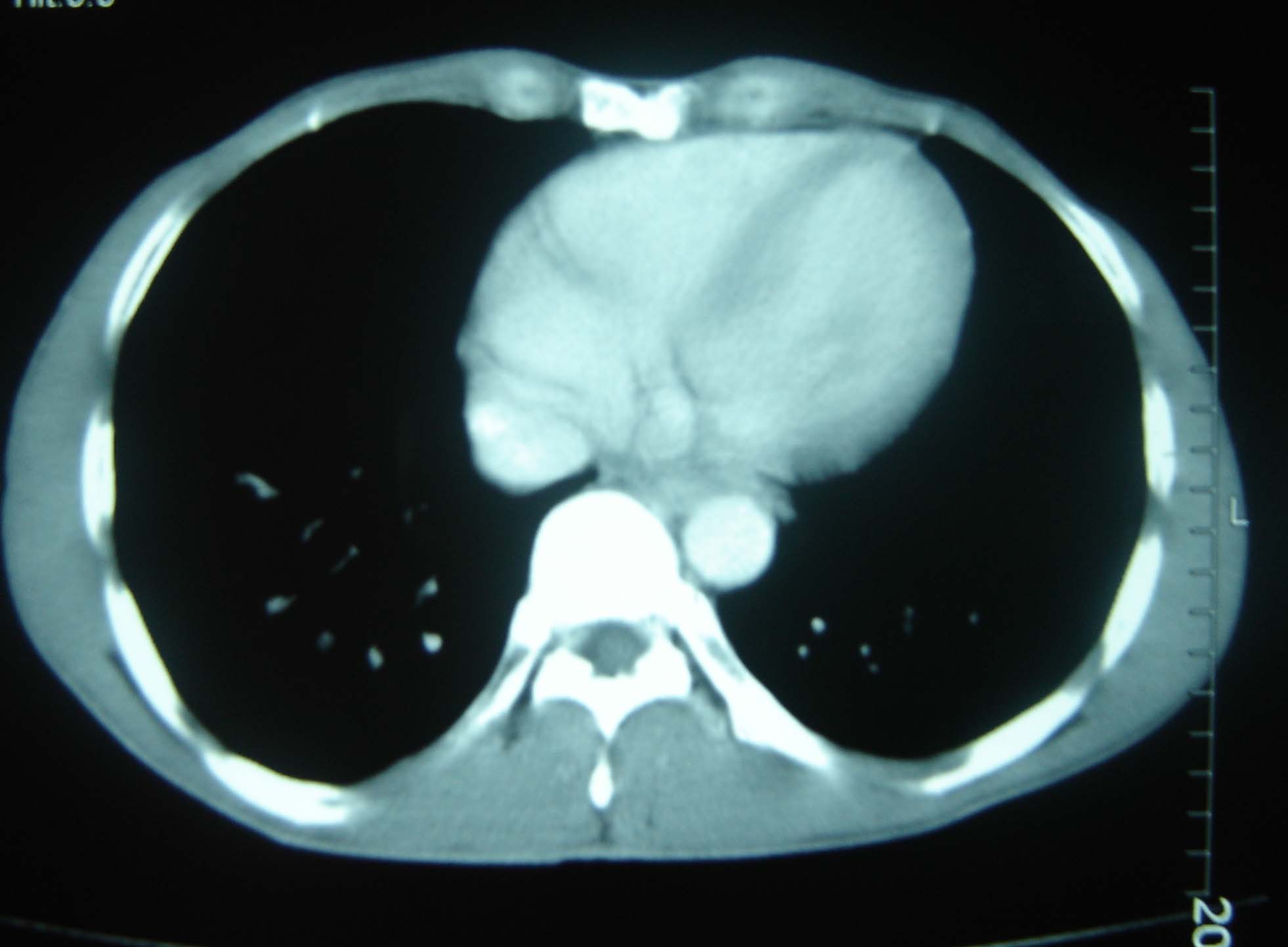
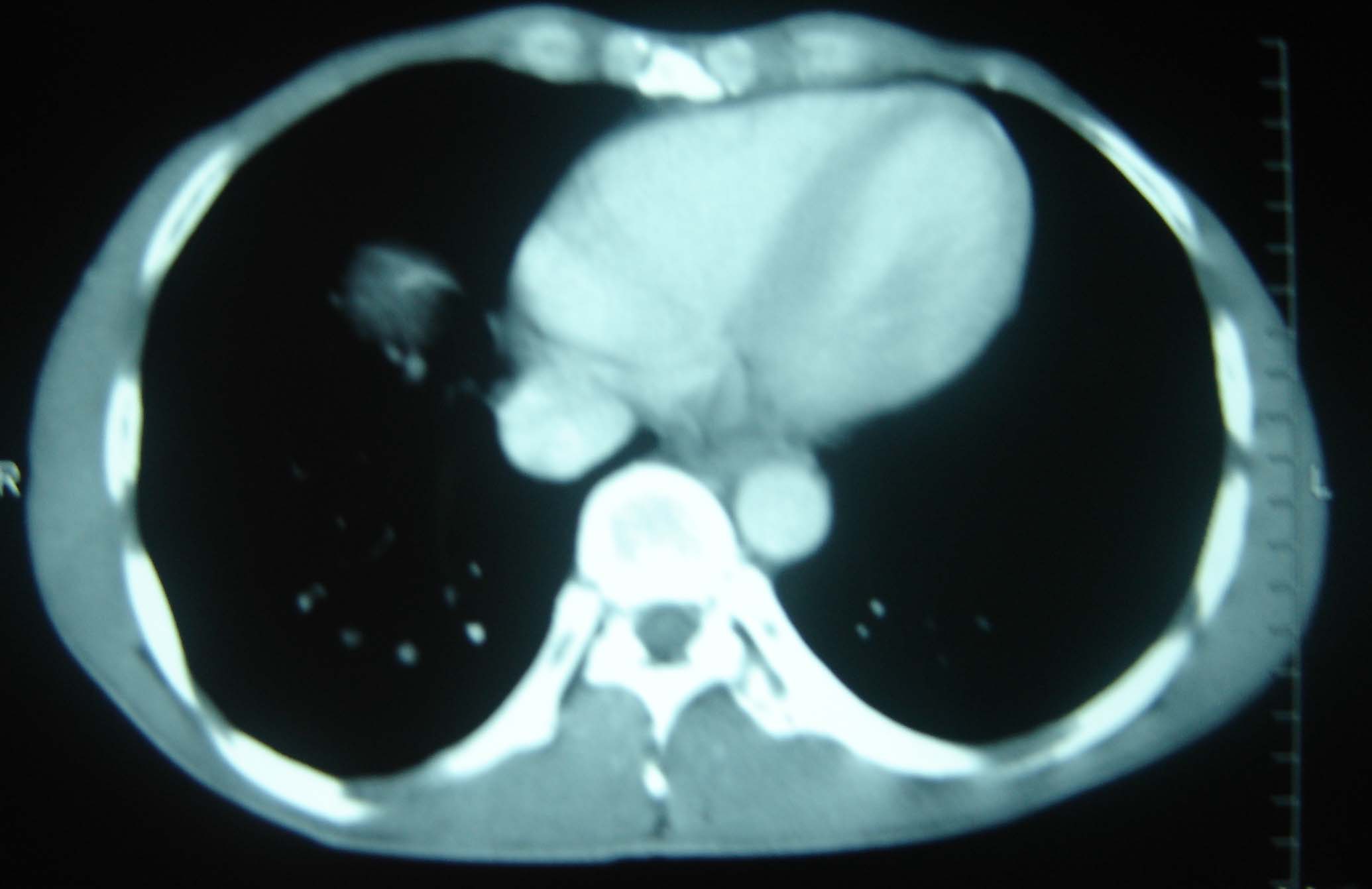
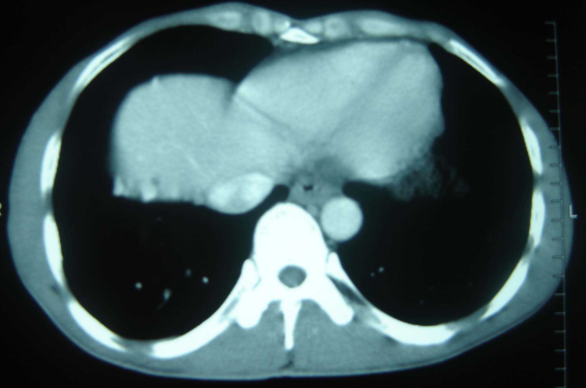
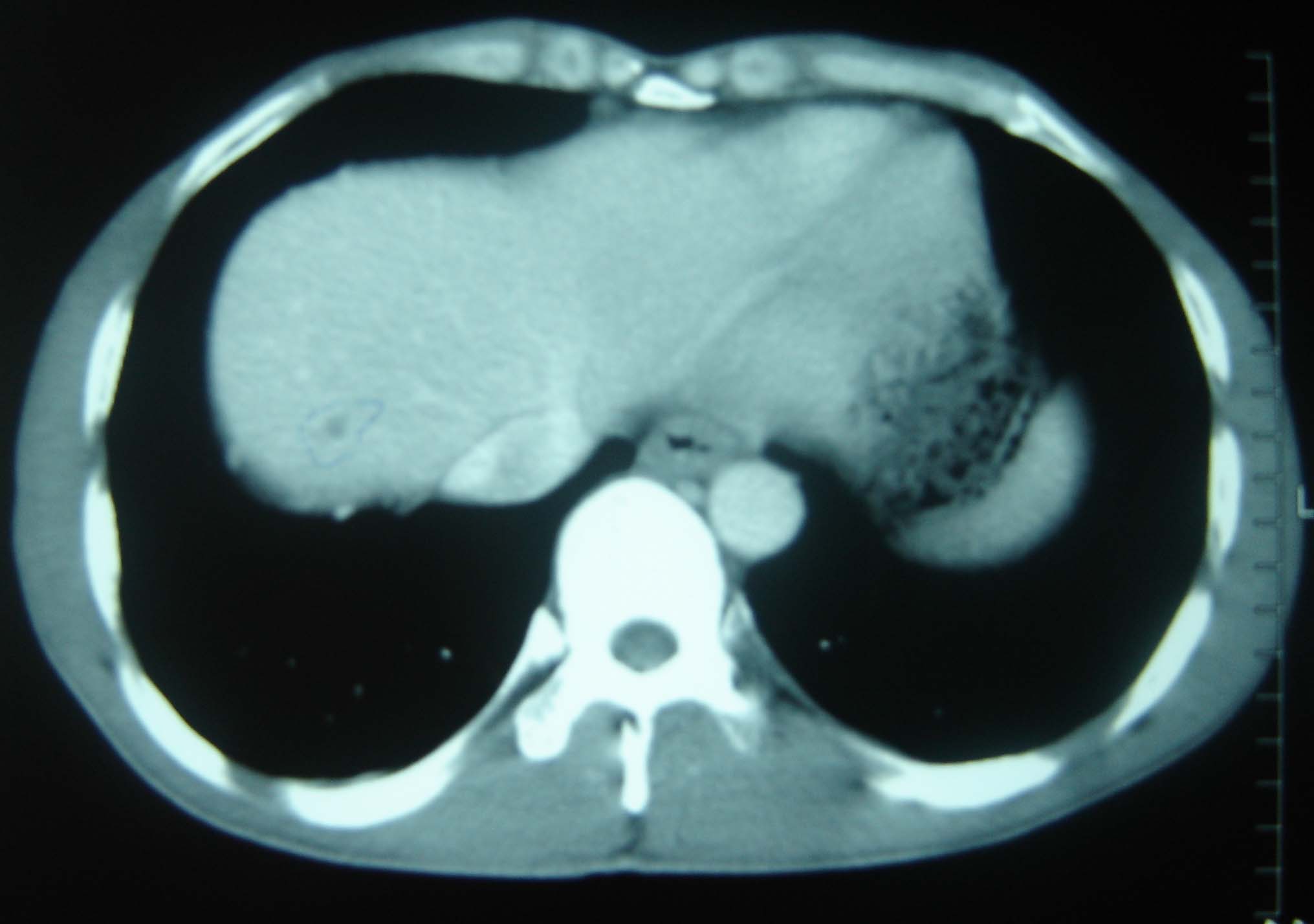
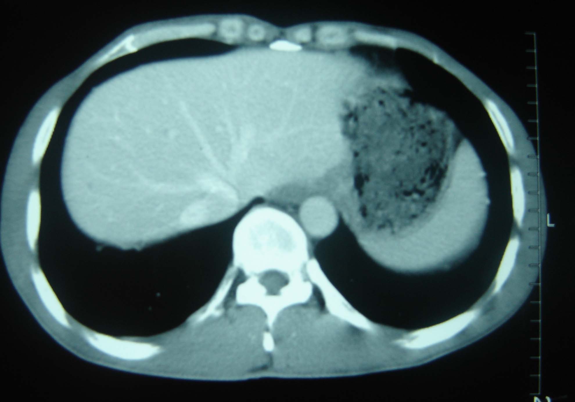
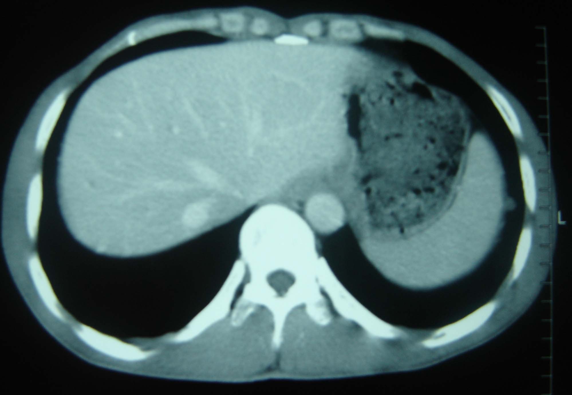
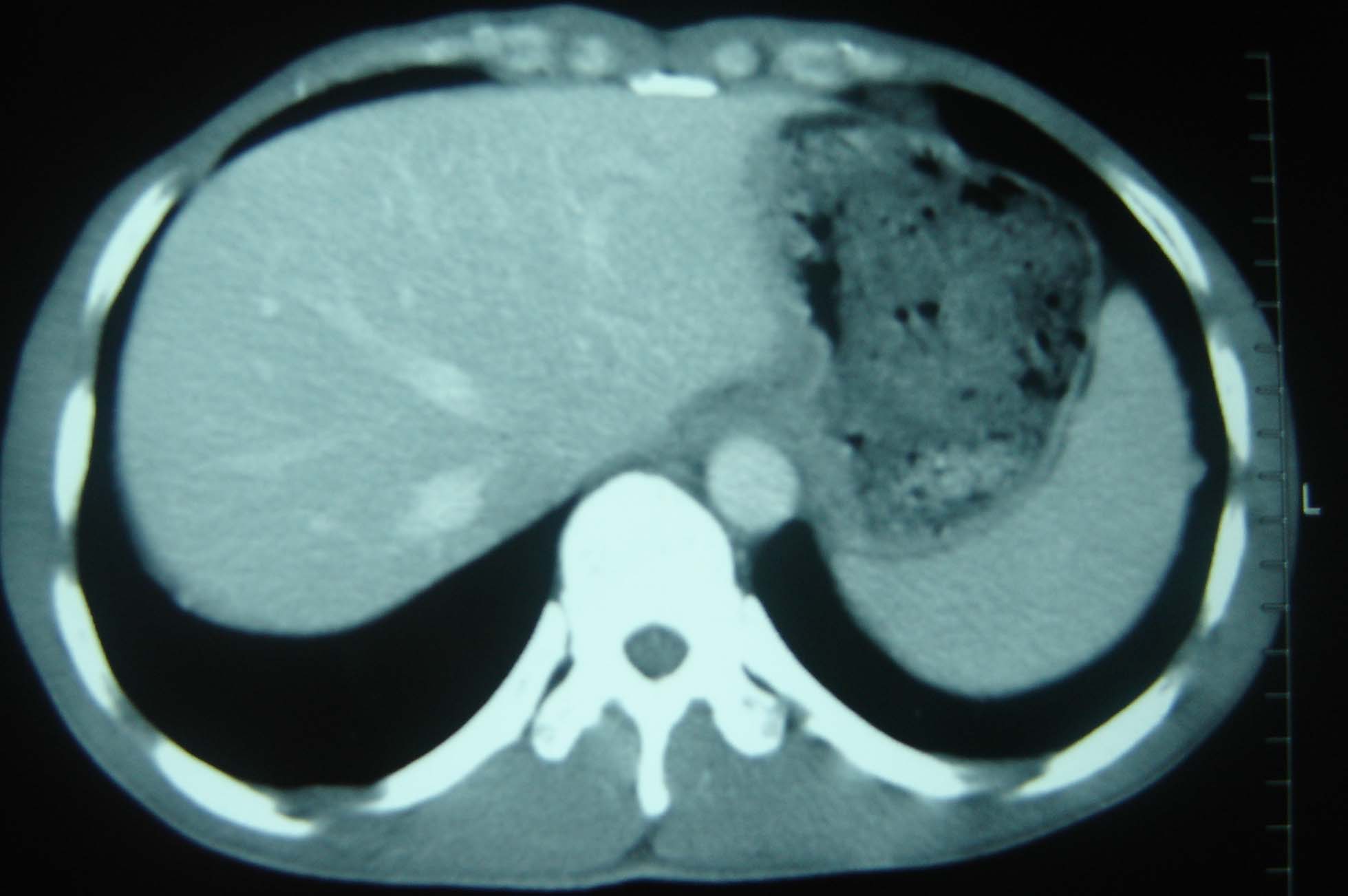
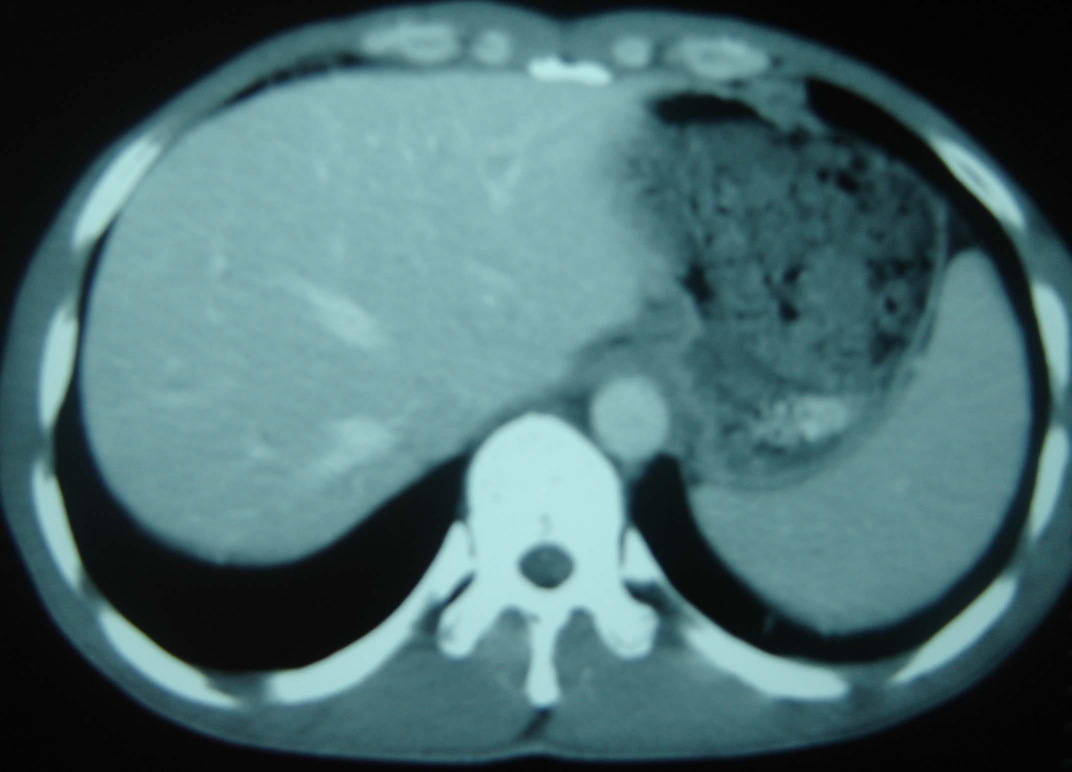
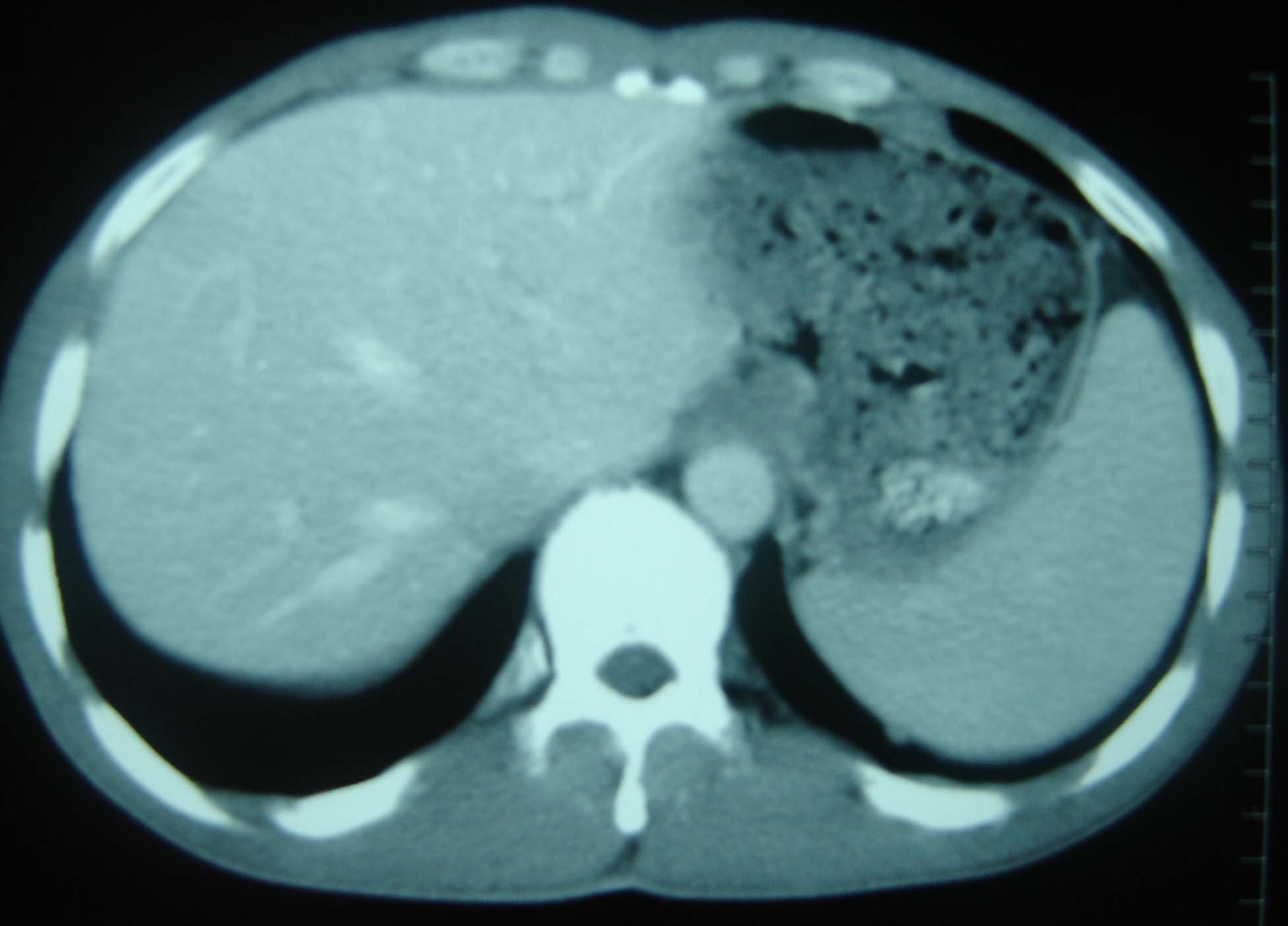
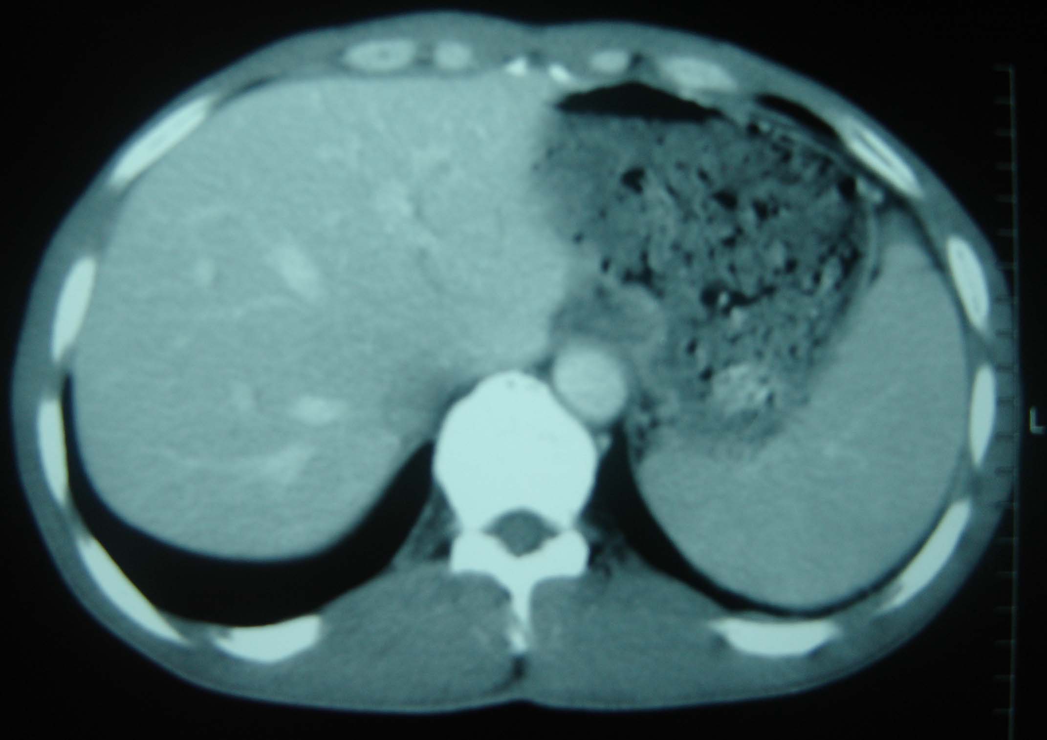
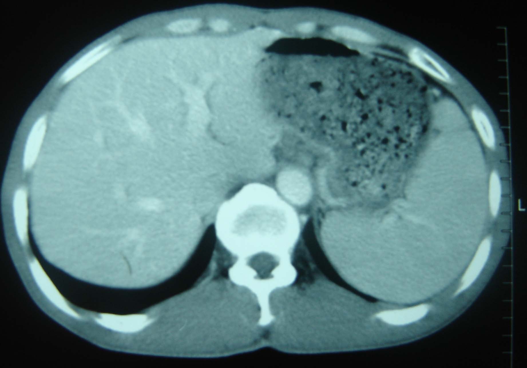
男 、43岁,咳嗽胸痛,装修工,平时接触粉尘较多,有吸烟史10多年,纤维支气管镜检查未发现异常,胃镜、腹部b超检查亦未发现异常,颈部淋巴结活检未发现肿瘤细胞。














































































[本贴已被 xuyongqi 于 2010-3-21 15:57:32 修改过]
[本贴已被 jiajie 于 2010-3-21 20:25:39 修改过]
作者: 子期 时间: 2010-3-22 00:45
不能排除转移,如果不能找到原发灶,只有短期随访。
作者: zxl51642 时间: 2010-3-22 01:11
结节病?转移瘤?
作者: zxczxc 时间: 2010-3-22 03:30
结节病。
作者: whmy 时间: 2010-3-22 03:30
转移瘤?
作者: panyishengct 时间: 2010-3-22 05:16
结节病?转移瘤?
作者: yangyang2000 时间: 2010-3-22 05:54
转移
作者: yangyudong333 时间: 2010-3-22 16:31
结节病?转移瘤?
作者: 随光逐影 时间: 2010-3-22 21:14
1)考虑双肺及胸膜多发性转移瘤。2)肺气肿。
作者: zxczxc 时间: 2010-3-22 22:12
双肺结节病。
作者: 黑白光影 时间: 2010-3-23 03:44
结节病?转移瘤?
| 欢迎光临 医影在线 (http://bbs.radida.com/bbs/) |
Powered by Discuz! X3.2 |