医影在线

标题: CT25233:胸部病变,请会诊!! [打印本页]

作者: jia119    时间: 2010-3-22 00:08
标题: CT25233:胸部病变,请会诊!!
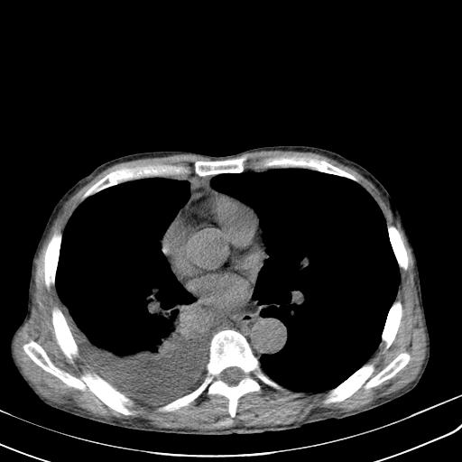
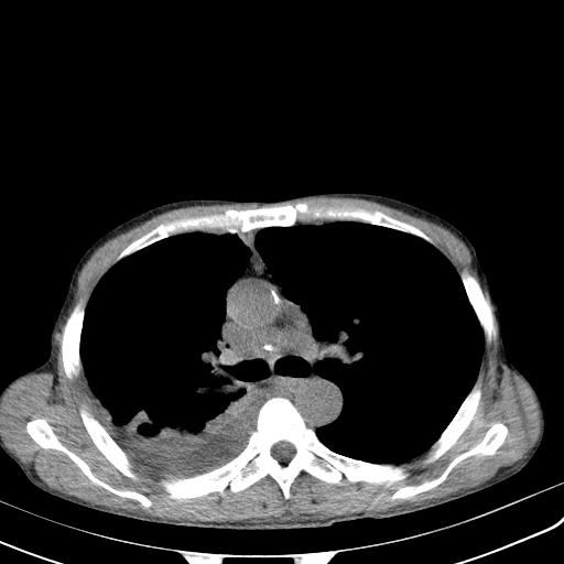
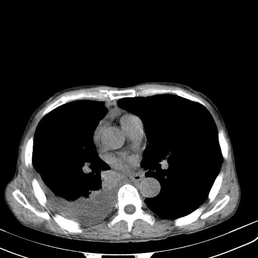
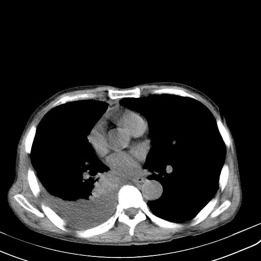
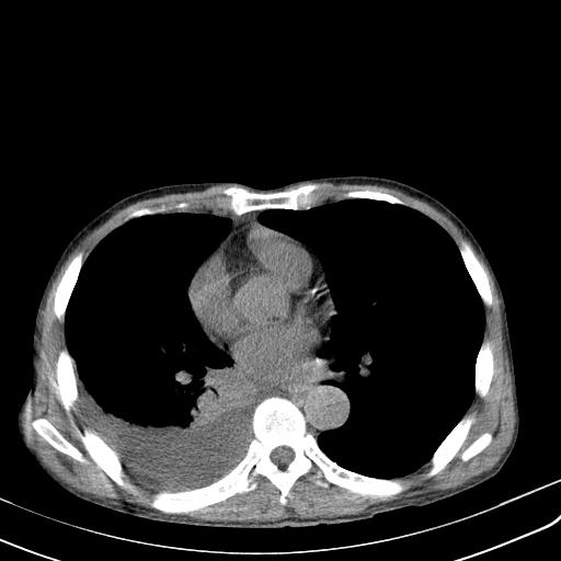
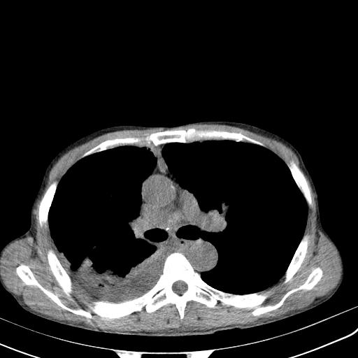
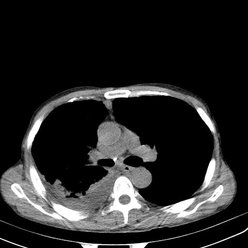
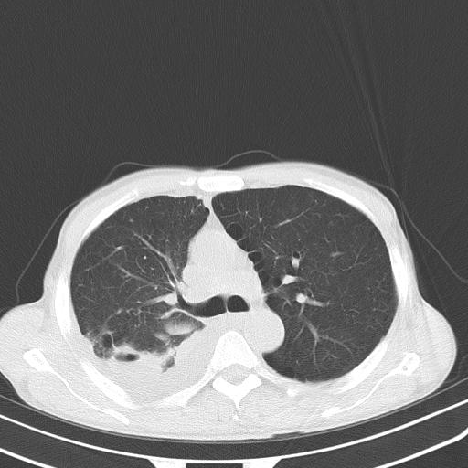
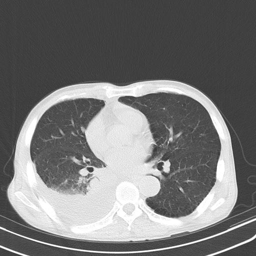
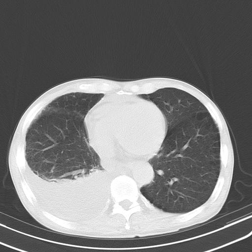
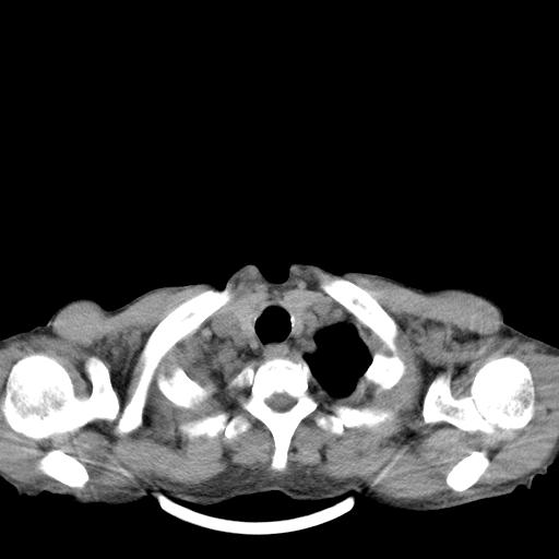
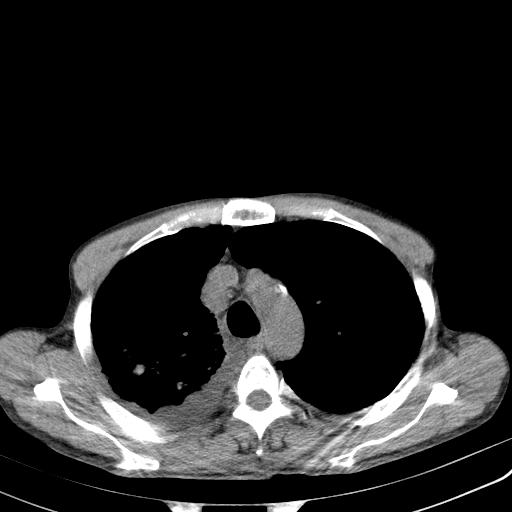
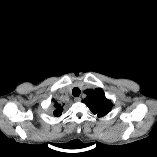
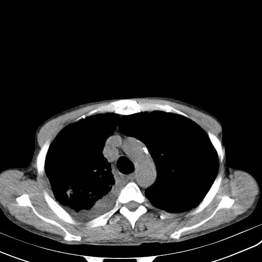
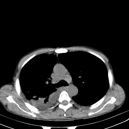
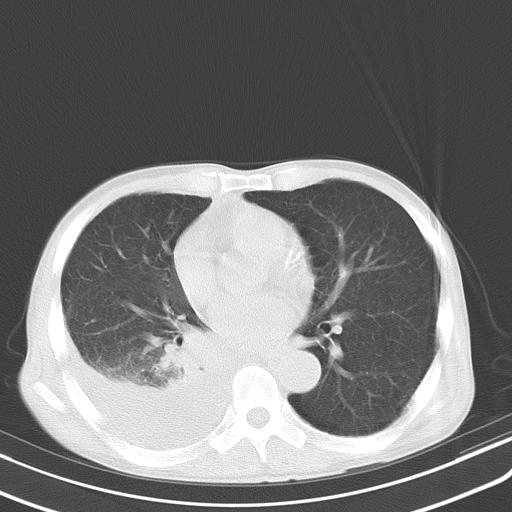
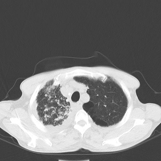
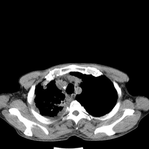
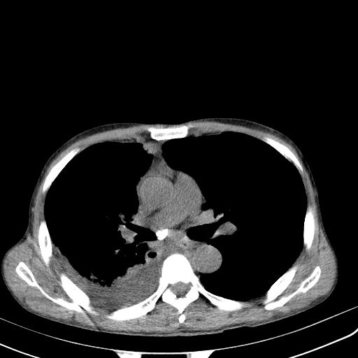
男性 75  咳嗽 一周前发热最高达39  












































































[本贴已被 jiajie 于 2010-3-21 20:27:37 修改过]

作者: 子期    时间: 2010-3-22 00:43
结核优先
作者: zxl51642    时间: 2010-3-22 01:16
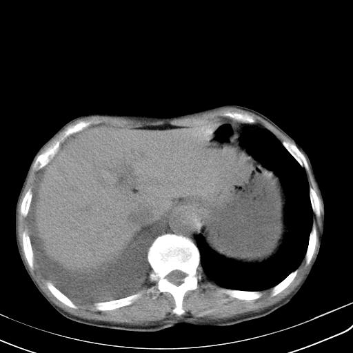
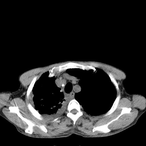
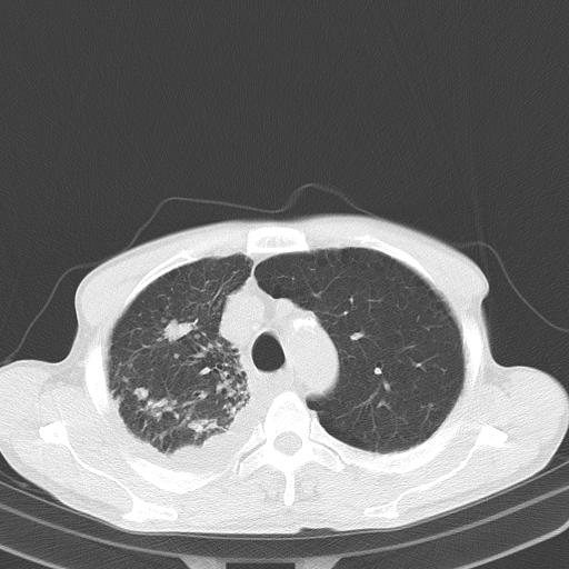
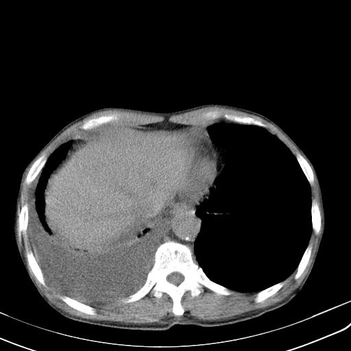
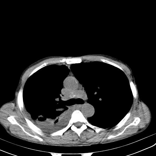
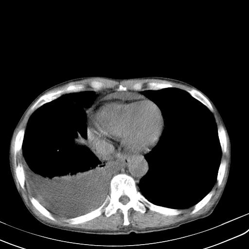
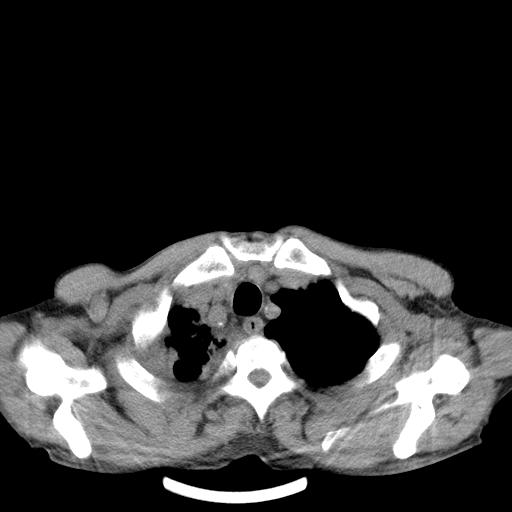
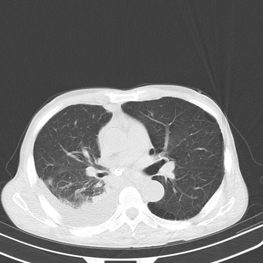
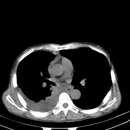
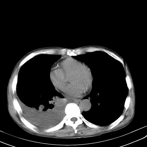
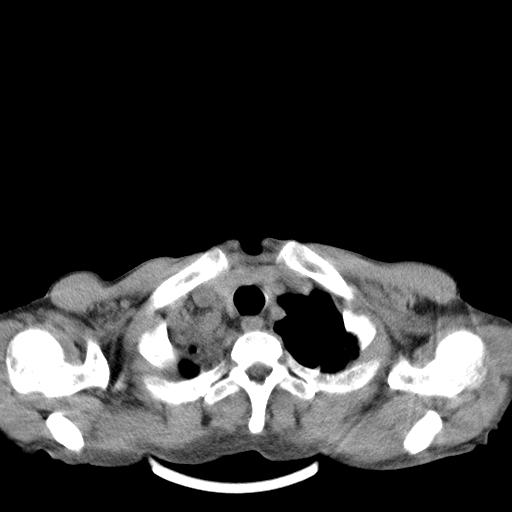
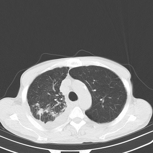
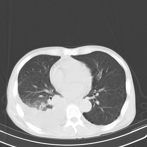
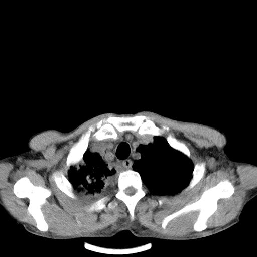
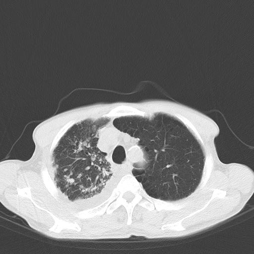
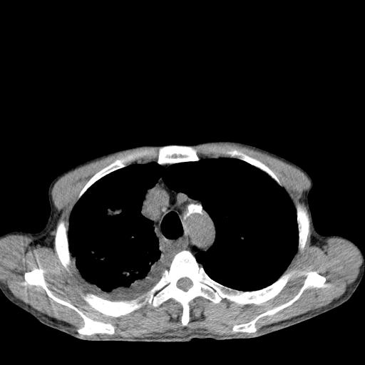
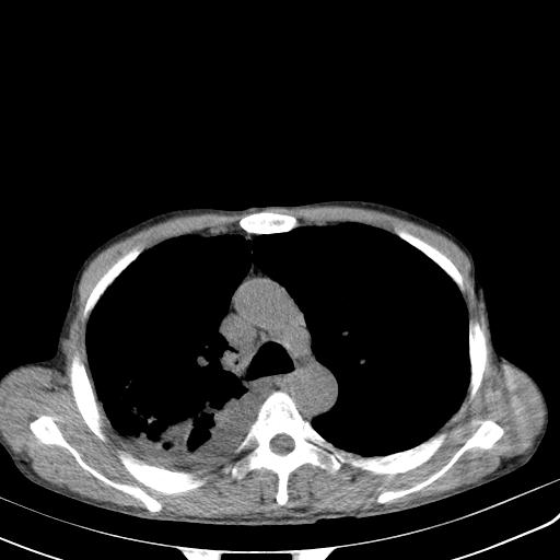
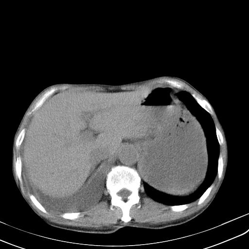
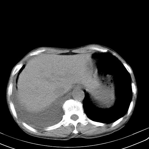
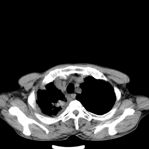
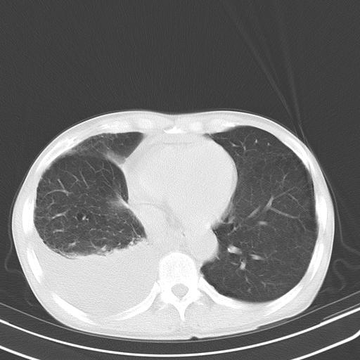
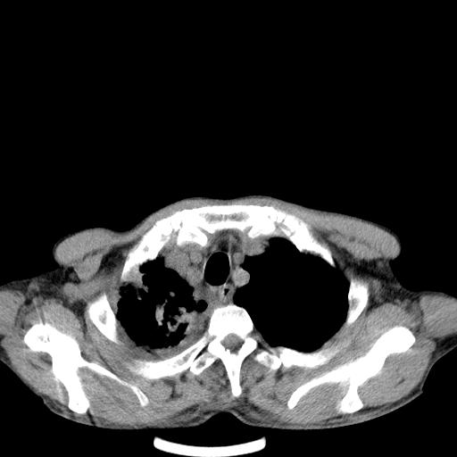
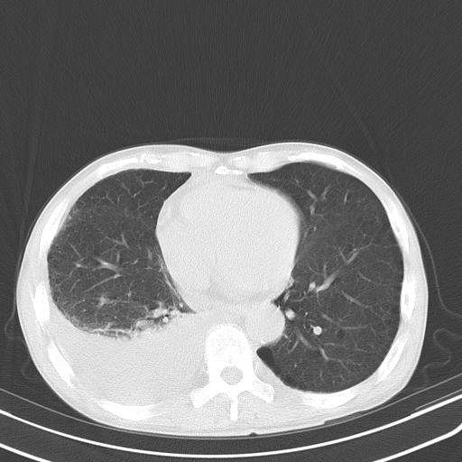
右肺继发型tb并右侧tb性胸腔炎,右侧胸腔大量积液并右下肺膨胀不全,慢支肺气肿、多发肺大泡。建议抽胸水实验室检查并复查排除恶性在占位。
作者: zxczxc    时间: 2010-3-22 03:35
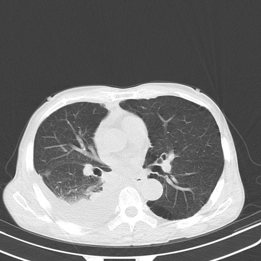
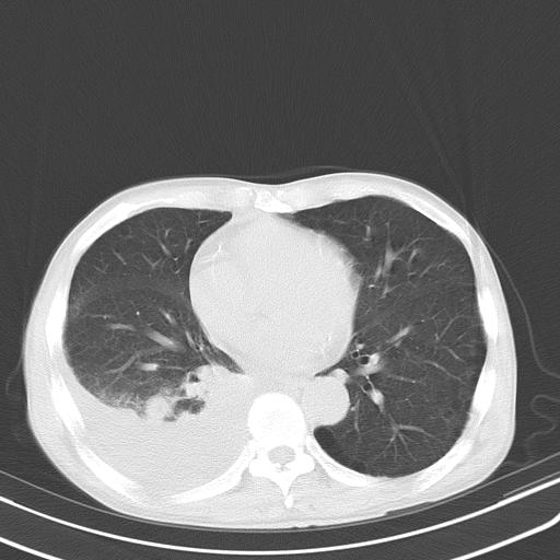
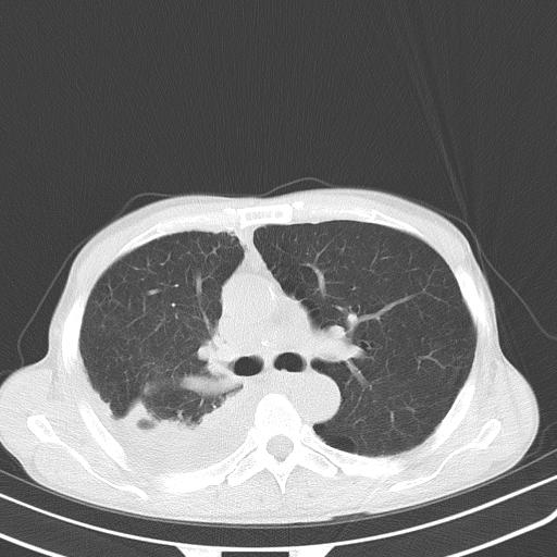
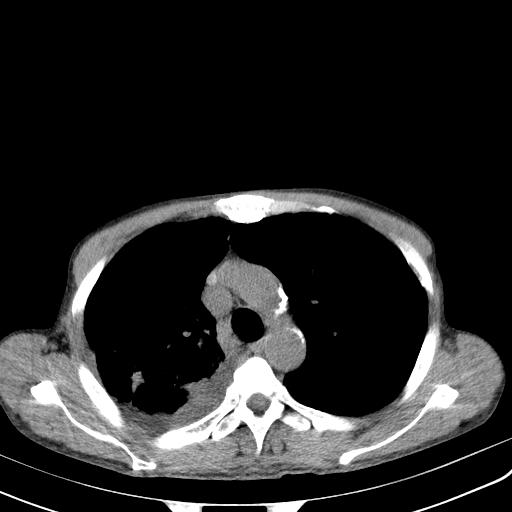
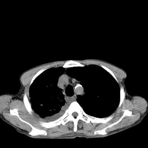
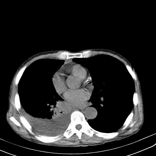
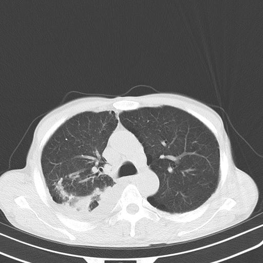
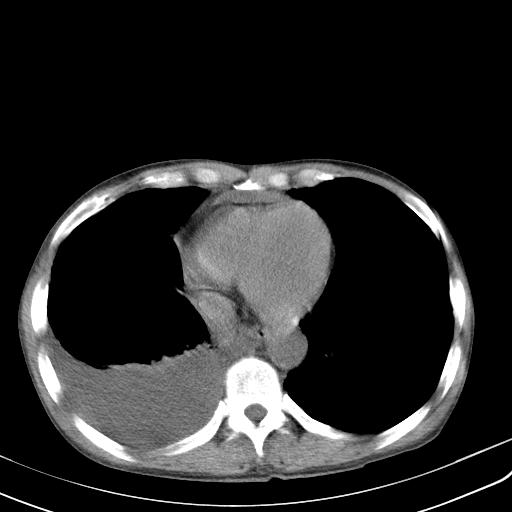
右上肺继发型肺结核,右胸腔中等量积液。
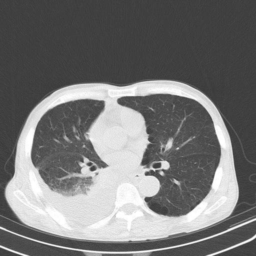
左上肺大泡。
作者: YRJ0513    时间: 2010-3-22 03:47
支持三楼
作者: dyqct    时间: 2010-3-22 05:14
标题: 回复:ct25233:胸部病变,请会诊!!
以下是引用zxczxc在2010-3-21 19:35:00的发言:[br]右上肺继发型肺结核,右胸腔中等量积液。[br]左上肺大泡。

支持!
作者: 曼一拍    时间: 2010-3-22 05:27
结核的基础上有纵隔淋巴结肿大,右侧有胸水,但右侧纵隔反而窄,说明有肺有不张。
再就是右下肺有块影,和不张混合,还是不能除外肺癌。
作者: yangyang2000    时间: 2010-3-22 05:53
右上肺继发型肺结核,右胸腔中等量积液。
左上肺大泡。
作者: zhao641    时间: 2010-3-22 07:45
补充材料,患者2月份ct片大致正常,双侧胸腔积液,2月份抽胸水未发现ca细胞,现患者发热,痰多,各气管通畅,
作者: yangyudong333    时间: 2010-3-22 16:13
右上肺继发型肺结核,右胸腔中等量积液。
左上肺大泡。
作者: dhlyq    时间: 2010-3-22 16:38
右上肺继发型肺结核,右胸腔中等量积液。
左上肺大泡。
作者: zjzjr    时间: 2010-3-22 20:28
右上肺继发型肺结核,右胸腔中等量积液。
左上肺大泡。
作者: 随光逐影    时间: 2010-3-22 21:18
1)右肺继发型肺结核。2)左肺胸膜下多发性肺大泡。3)右侧胸腔积液。
作者: 黑白光影    时间: 2010-3-23 03:47
右上肺继发型肺结核,右胸腔中等量积液。左上肺大泡。




欢迎光临 医影在线 (http://bbs.radida.com/bbs/) Powered by Discuz! X3.2