医影在线

标题: CT25234:请大家看看 [打印本页]

作者: huhong1111111    时间: 2010-3-22 00:39
标题: CT25234:请大家看看













[本贴已被 jiajie 于 2010-3-21 20:28:17 修改过]

作者: 子期    时间: 2010-3-22 00:57
有占位效应,考虑少胶
作者: zxl51642    时间: 2010-3-22 01:02
少枝?右侧枕叶软化灶并穿通畸形。
作者: liangshusheng    时间: 2010-3-22 02:21
少支胶质瘤,软化灶
作者: YRJ0513    时间: 2010-3-22 04:03
考虑少枝胶质瘤,本病多累及大脑半球额叶,其次为顶叶和聂叶,条块状钙化为其特征。
作者: dyqct    时间: 2010-3-22 05:25
考虑:1、少枝?
      2、右侧枕叶软化灶。
      3、请追问决不病史有无外伤及脑炎史。
作者: ct诊断高手    时间: 2010-3-22 05:36
少支胶质瘤,软化灶
作者: yangyang2000    时间: 2010-3-22 05:37
少枝?右侧枕叶软化灶并穿通畸形
作者: zhaozejun1    时间: 2010-3-22 06:24
标题: 回复:ct25234:请大家看看
以下是引用yangyang2000在2010-3-21 21:37:00的发言:[br]少枝?右侧枕叶软化灶并穿通畸形

作者: 翁志蓬    时间: 2010-3-22 06:59
标题: 考虑少枝胶质细胞瘤
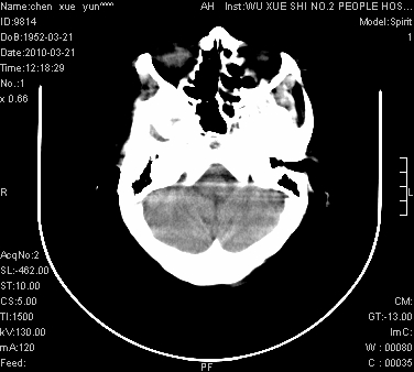
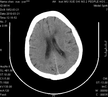
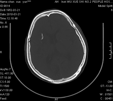
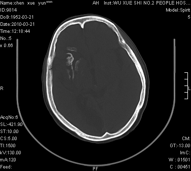
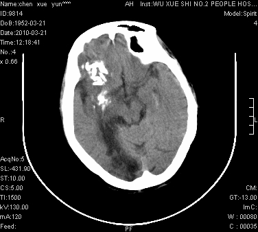
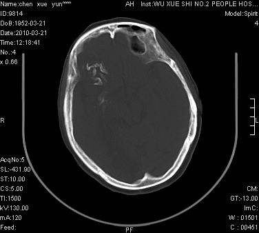
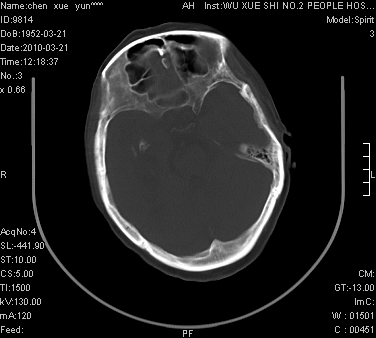
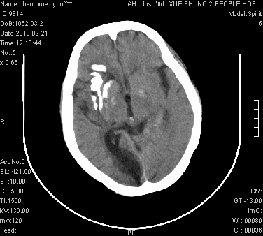
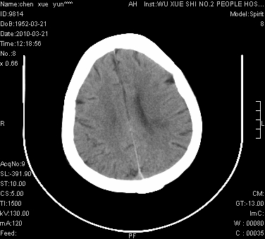
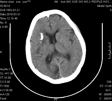
性别:不详;年龄:58岁;病史:不详。
ct表现:1、右侧额颞叶深部不规则钙化密度团块,呈弯曲条带状,占位效应不明显,考虑少枝胶质细胞瘤可能性大于血管瘤。2、右枕叶大片不规则低密度影,密度近似于脑脊液,右侧侧脑室后角及三角区扩张,考虑为陈旧性脑梗塞。
讨论:1、这个病灶的钙化有点像脑回样钙化,因此我最初考虑颅面血管瘤病(sturge-weber综合征),但是查阅了我们网站上的几个颅面血管瘤病病例,钙化均位于脑实质表面,沿脑回分布,而这例病灶位置较深,因此可以否定“颅面血管瘤病”这个诊断。
2、卜一会员曾经说过:少枝胶质细胞瘤的典型征象为弯曲条带状钙化,可作为定性的可靠征象(http://www.radida.com/news_view.asp?id=5150)
3、血管瘤也可以出现弯曲条带状钙化,但血管瘤多数出现“负占位”效应,即病灶周围的脑室、脑池及脑沟不是受压变窄,而是局限性的增宽。

附:网站上的颅面血管瘤病例
病例一、张耀森发布
http://www.radida.com/news_view.asp?id=2764
病例二、zhiqiang发布
http://www.radida.com/news_view.asp?id=3279
病例三、明礼诚信发布:
http://www.radida.com/news_view.asp?id=1740
病例四、cmg 转贴:
http://www.radida.com/news_view.asp?id=2534
作者: 心路寻觅    时间: 2010-3-22 08:34
谢谢翁老师的详解!希望翁管理员能多像这样给我们会员特别是刚入门的会员多讲讲,那我们会员进步的会更快,也就会更加支持医影在线!!
作者: 卜一    时间: 2010-3-22 14:56
支持翁站长的见解!
作者: yangyudong333    时间: 2010-3-22 16:11
支持翁站长的见解!
作者: dhlyq    时间: 2010-3-22 16:50
支持翁站长的见解
作者: 深泽交通    时间: 2010-3-22 16:56
考虑血管畸形
作者: zjzjr    时间: 2010-3-22 20:27
少枝,右侧枕叶软化灶并穿通畸形
作者: 随光逐影    时间: 2010-3-22 21:19
支持楼上意见。
作者: 黑白光影    时间: 2010-3-23 04:00
少枝,右侧枕叶软化灶并穿通畸形。




欢迎光临 医影在线 (http://bbs.radida.com/bbs/) Powered by Discuz! X3.2