





























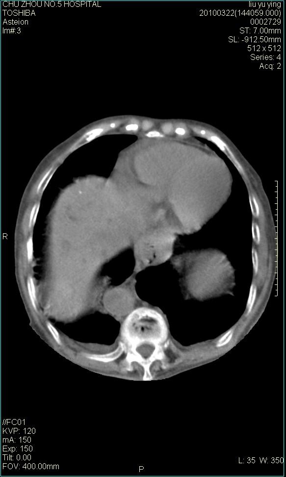
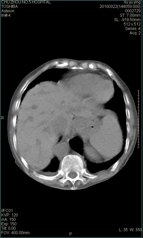
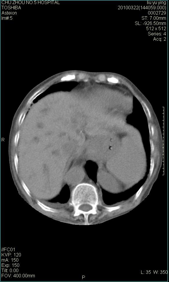
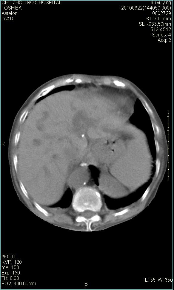
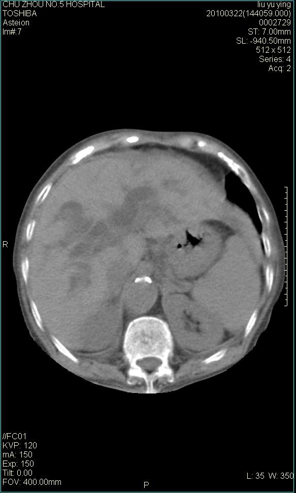
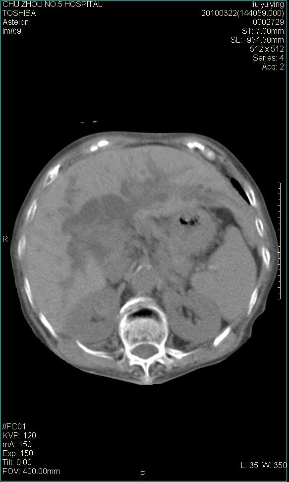
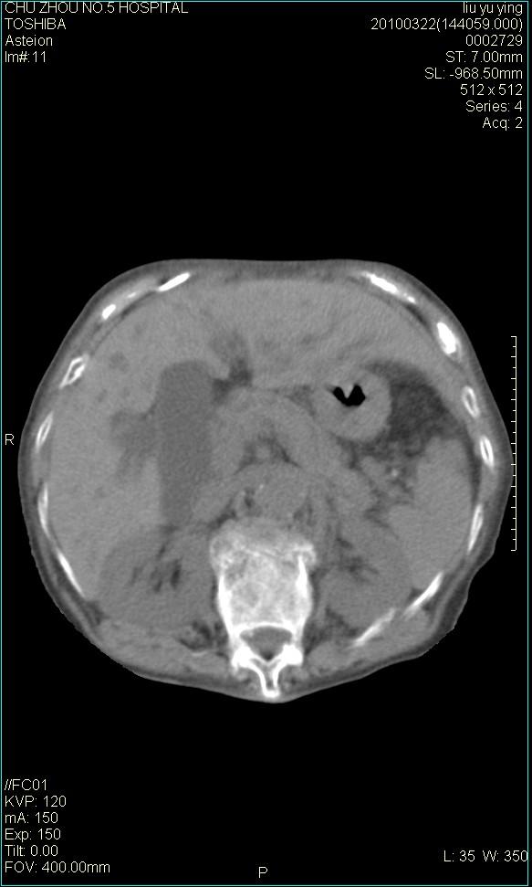
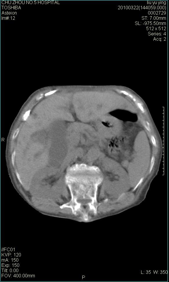
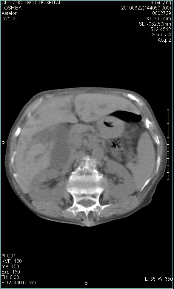
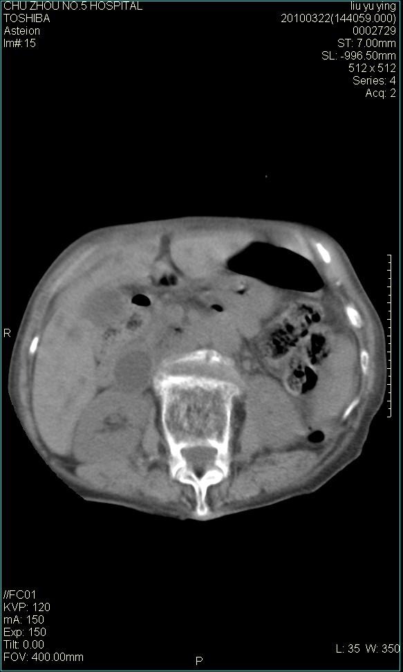
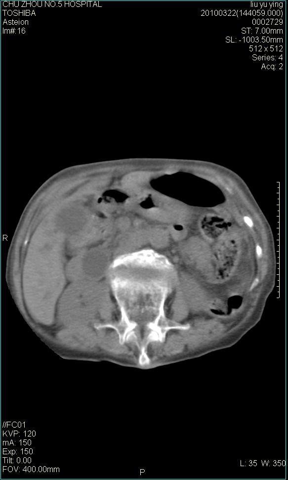
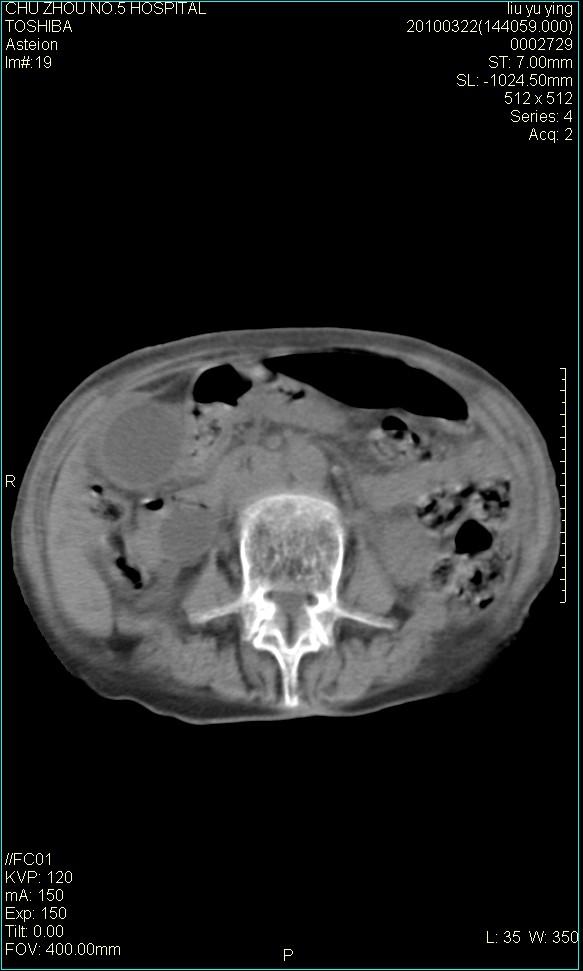
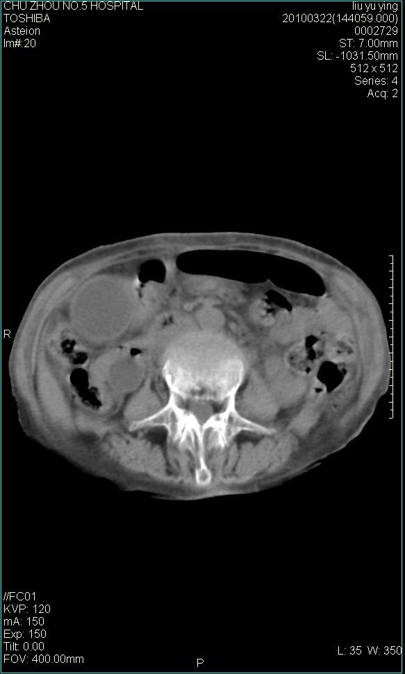
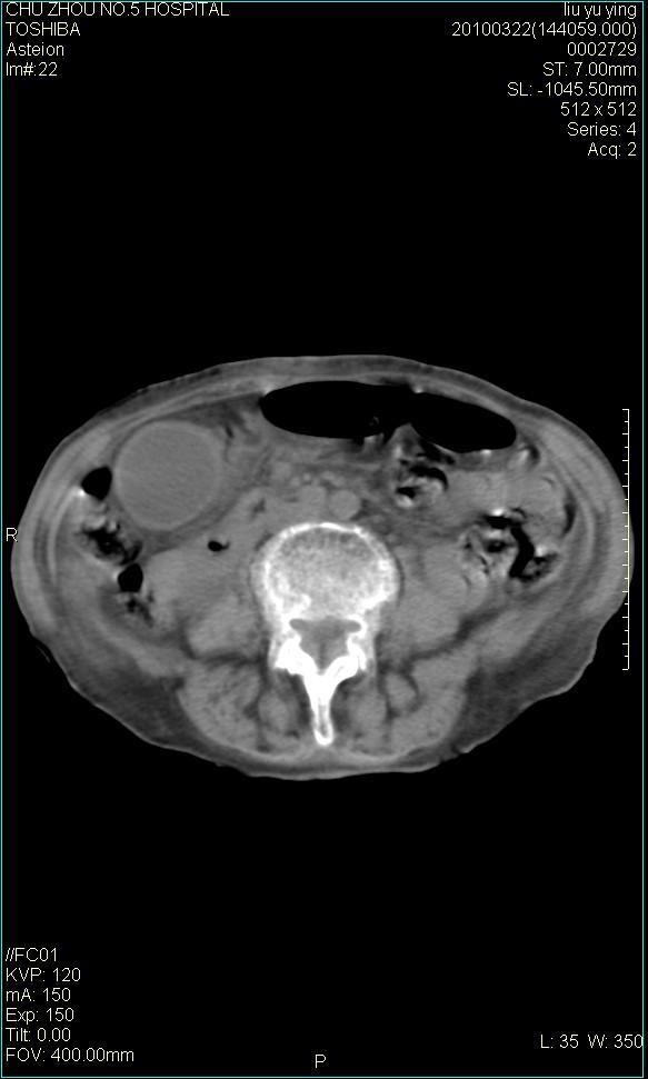
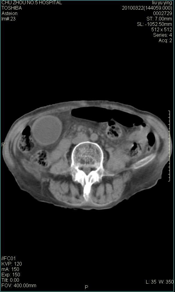
以下是引用科室第一人在2010-3-23 6:50:00的发言:[br]胆总管下段梗阻,多为肿瘤性病变,巨形胆囊,胆囊炎胆囊窝积液。[br]双侧胸腔积液,右降
以下是引用随光逐影在2010-3-23 8:12:00的发言:[br]1)胆系低位梗阻(肝内外胆管扩张,胆囊增大),原因待查。2)胆囊炎。3)双侧少量胸腔积液。4)降主动脉迂曲。
以下是引用科室第一人在2010-3-23 6:50:00的发言:[br]胆总管下段梗阻,多为肿瘤性病变,巨形胆囊,胆囊炎胆囊窝积液。[br]双侧胸腔积液,右降
| 欢迎光临 医影在线 (http://bbs.radida.com/bbs/) | Powered by Discuz! X3.2 |