医影在线
标题: CT25266:消瘦月余,前来肝部检查,请看看肠腔 [打印本页]
作者: 秋风秋雨.. 时间: 2010-3-23 21:17
标题: CT25266:消瘦月余,前来肝部检查,请看看肠腔






























































[本贴已被 aosangwa 于 2010-3-23 15:23:39 修改过]
[本贴已被 jiajie 于 2010-3-23 17:45:35 修改过]
作者: zxl51642 时间: 2010-3-23 22:22
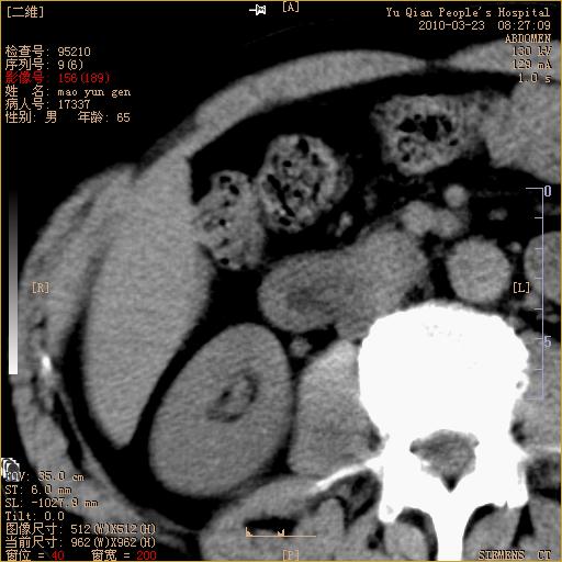
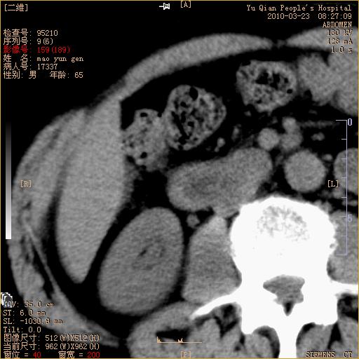
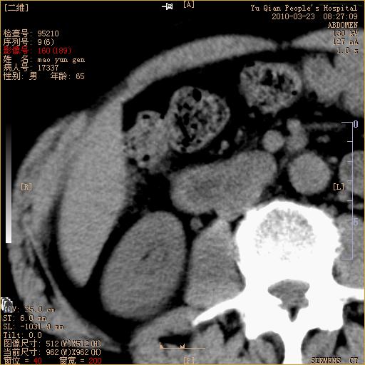
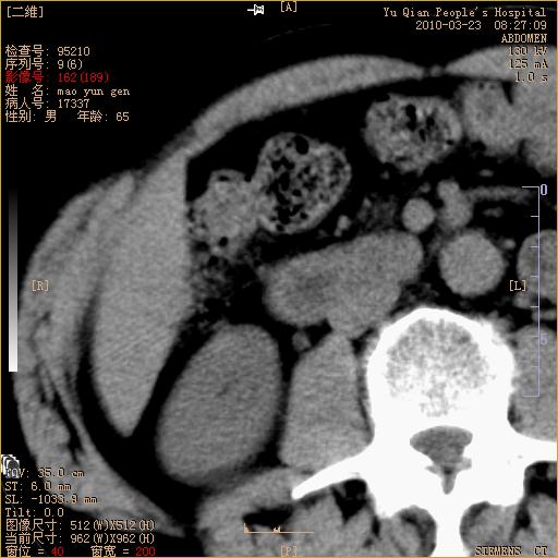
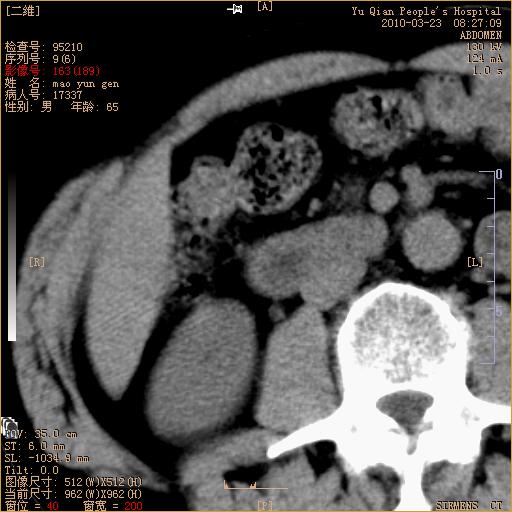
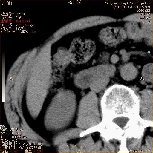
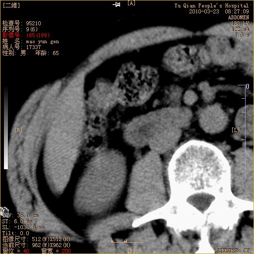
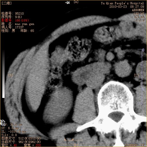
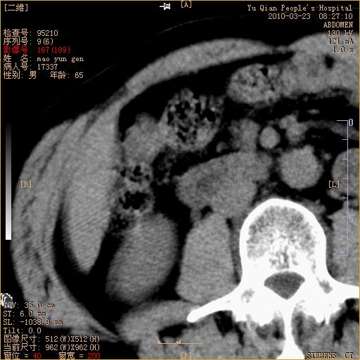
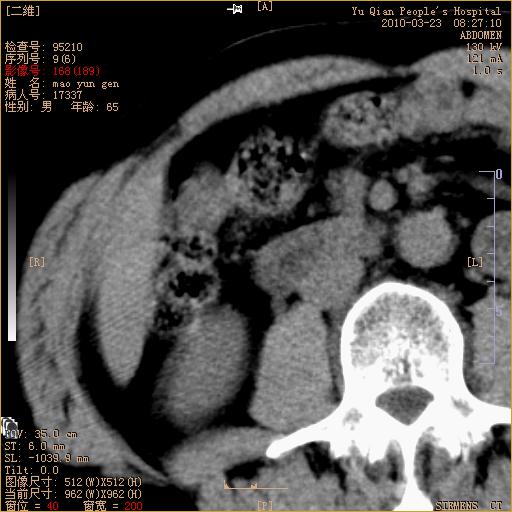
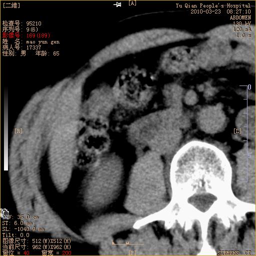
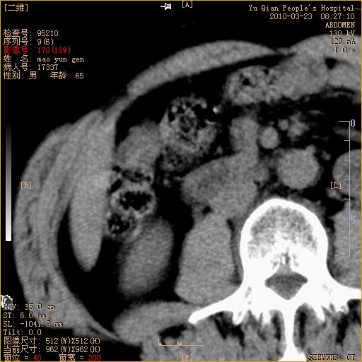
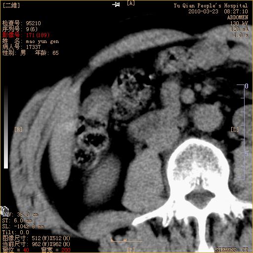
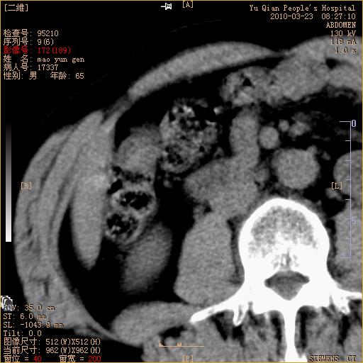
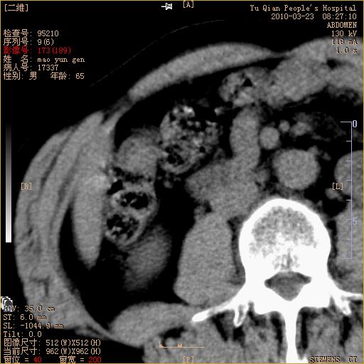
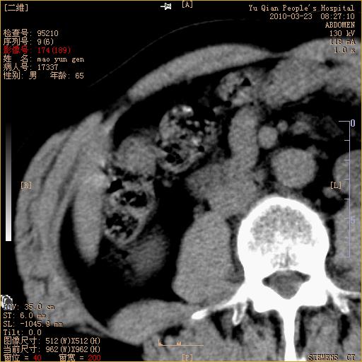
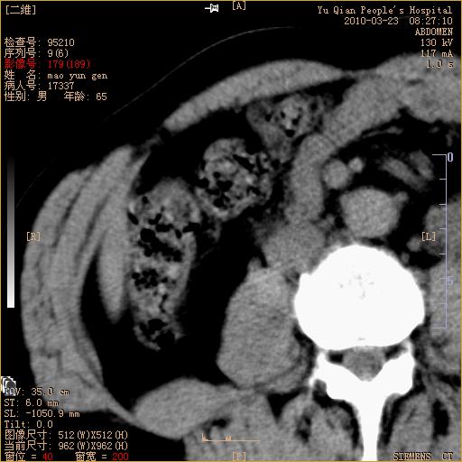
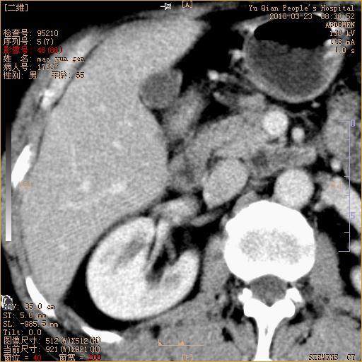
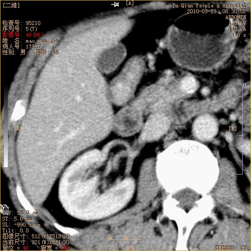
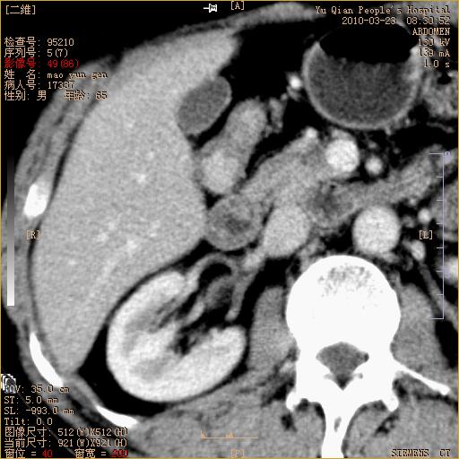
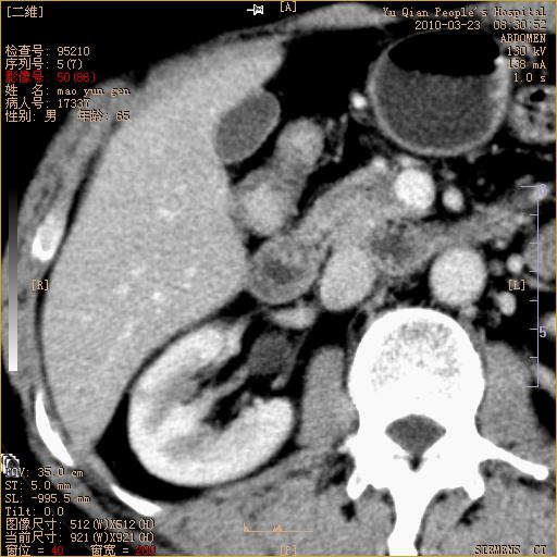
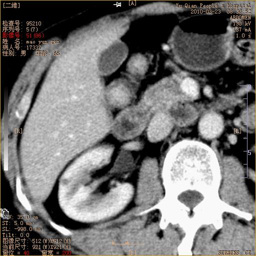
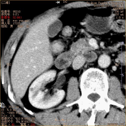
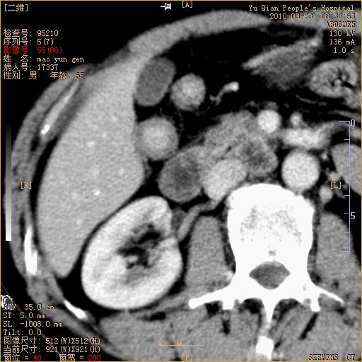
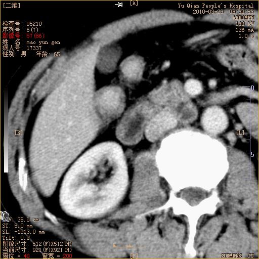
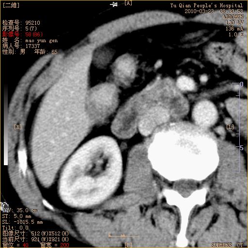
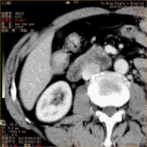
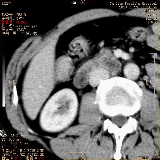
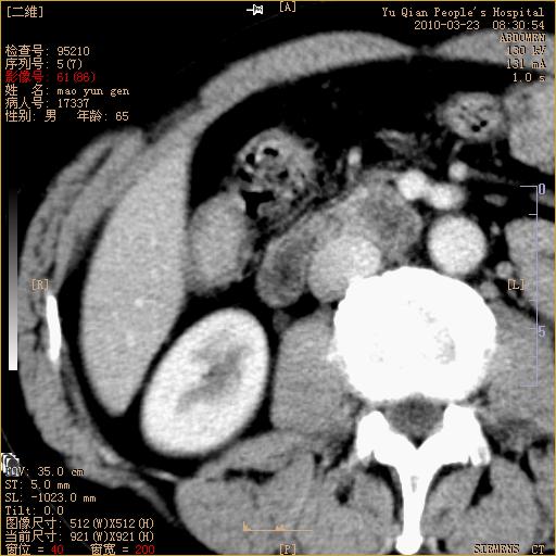
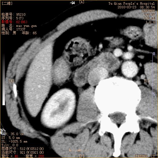
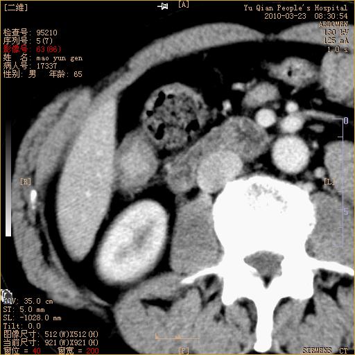
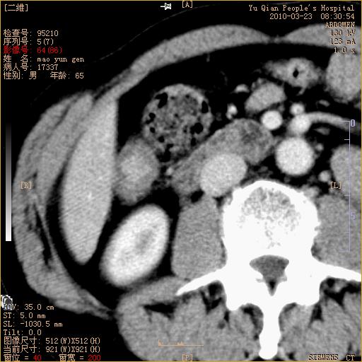
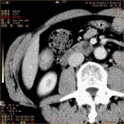
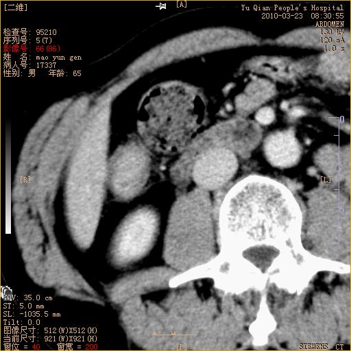
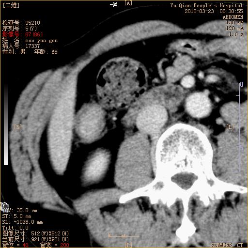
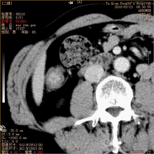
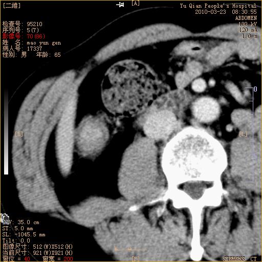
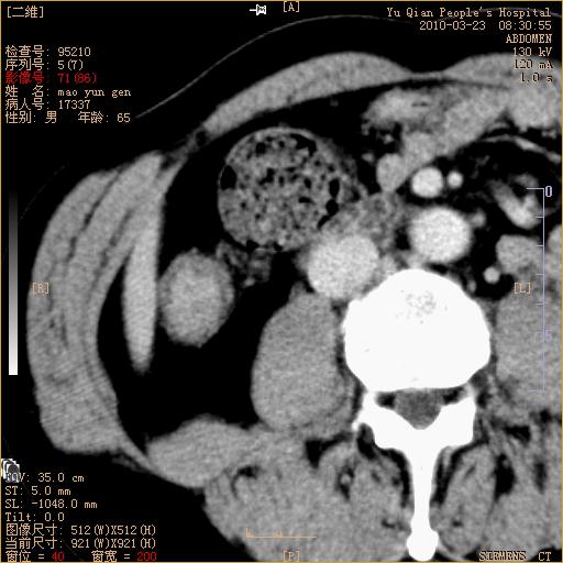
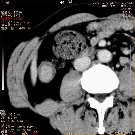
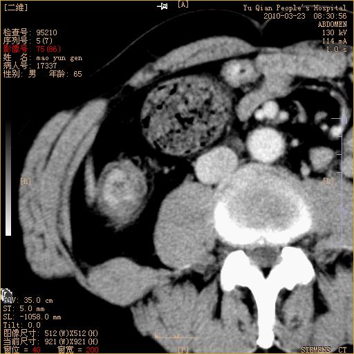
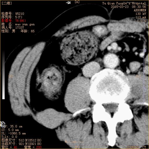
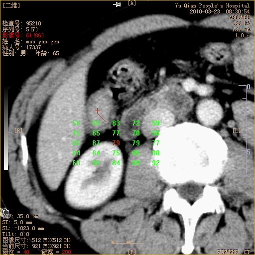
肝区结肠占位,腺癌可考虑,建议肠镜活检。
作者: 深泽交通 时间: 2010-3-23 22:45
未见明显异常
作者: aosangwa 时间: 2010-3-23 23:23
标题: 回复:消瘦月余,前来肝部检查,请看看肠腔
以下是引用zxl51642在2010-3-23 14:22:00的发言:[br]肝区结肠占位,腺癌可考虑,建议肠镜活检。
作者: LIAOQIANG 时间: 2010-3-23 23:35
升结肠肠壁增厚,不均强化,考虑升结肠腺癌可能性,建议肠镜检查。
作者: 随光逐影 时间: 2010-3-24 00:22
1)考虑升结肠癌。2)右肾小囊肿。
作者: muzi888 时间: 2010-3-24 00:46
结肠镜或钡灌肠检查!
作者: yuhongjun 时间: 2010-3-24 14:20
1)考虑升结肠癌。2)右肾小囊肿。
作者: 黑白光影 时间: 2010-3-24 19:59
标题: 回复:ct25266:消瘦月余,前来肝部检查,请看看肠腔
以下是引用liaoqiang在2010-3-23 15:35:00的发言:[br]升结肠肠壁增厚,不均强化,考虑升结肠腺癌可能性,建议肠镜检查。
支持
| 欢迎光临 医影在线 (http://bbs.radida.com/bbs/) |
Powered by Discuz! X3.2 |