医影在线

标题: PED3150:看这个小孩的心脏(胸片 仰卧位) [打印本页]

作者: gazi131    时间: 2010-3-24 05:26
标题: PED3150:看这个小孩的心脏(胸片 仰卧位)
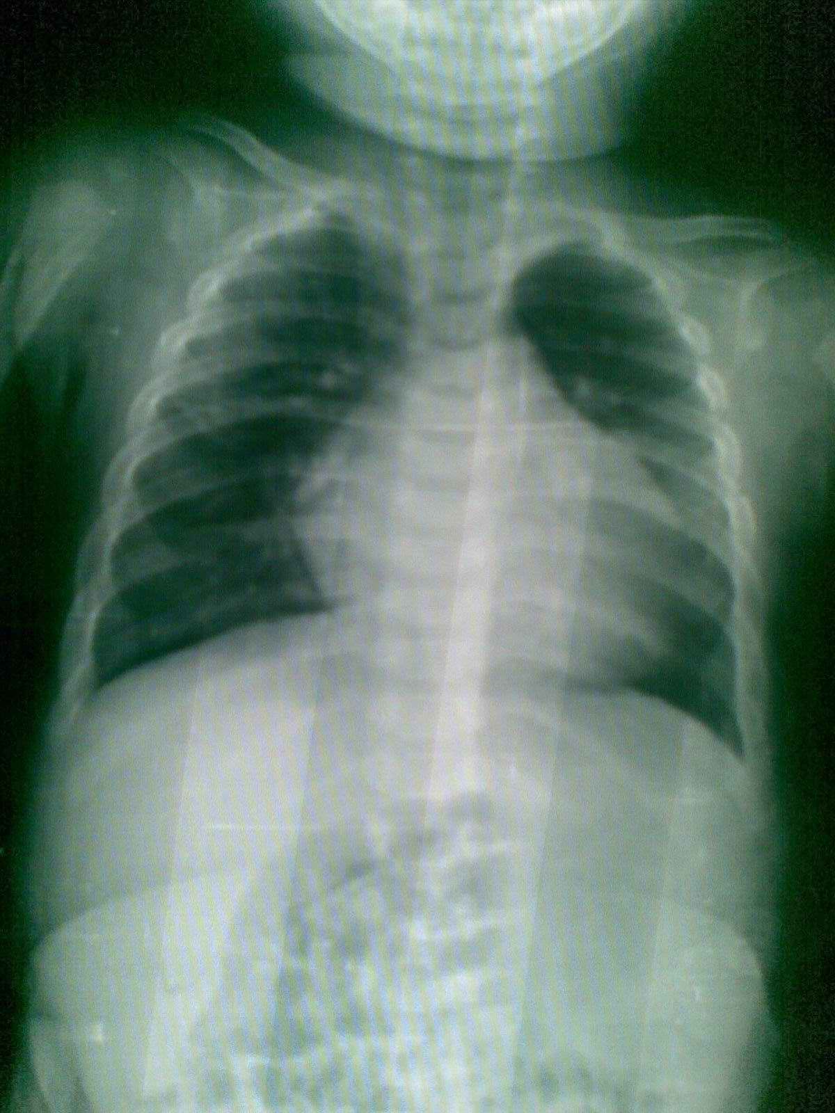
看这个小孩的心脏有问题吗?科里有医生说小孩的胸腺可以和心缘重叠,他说可能是胸腺,心脏没事,大家探讨下啊



[本贴已被 翁志蓬 于 2010-3-23 23:18:43 修改过]

作者: 江广1996    时间: 2010-3-24 06:45
他们说得对,小孩的胸腺可以和心缘重叠,可能是胸腺,心脏没事。
看小儿的心脏不能光以它的大小来衡量是否正常。
还要看肺门和肺血情况,并结合临床的其它检查。
这个小儿的肺血管纹理是正常的。
作者: zhanggenliang    时间: 2010-3-24 07:04
标题: 回复:看这个小孩的心脏(胸片 仰卧位)
以下是引用江广1996在2010-3-23 22:45:00的发言:[br]他们说得对,小孩的胸腺可以和心缘重叠,可能是胸腺,心脏没事。[br]看小儿的心脏不能光以它的大小来衡量是否正常。[br]还要看肺门和肺血情况,并结合临床的其它检查。[br]这个小儿的肺血管纹理是正常的。

结合心脏听诊
作者: yuhongjun    时间: 2010-3-24 14:31
图像不是很清晰,不好说肺血正不正常。
作者: dyqct    时间: 2010-3-24 15:39
应该没什么大问题。
作者: 平安是福    时间: 2010-3-24 16:52
正常。
作者: 红宇    时间: 2010-3-24 18:50
学习了
作者: 37度    时间: 2010-3-24 19:02
睡着的心影大些,不能确定。
作者: zxl51642    时间: 2010-3-24 19:31
应该没什么大问题。可做彩超
作者: 黑白光影    时间: 2010-3-24 21:22
支持大家
作者: 随光逐影    时间: 2010-3-25 02:41
未见明确异常;建议必要时行心脏超声检查。
作者: 拾荒者    时间: 2010-3-25 05:59
心影大一些,可建议结合b超检查。
作者: yangyudong333    时间: 2010-3-25 14:02
未见明确异常;建议必要时行心脏超声检查。
作者: 893161922    时间: 2010-3-25 21:09
是胸腺影,正常胸片.
作者: 893161922    时间: 2010-3-25 21:42
正常
作者: sunbin    时间: 2010-3-26 02:24
未见明显异常。结合心超。
作者: zzyingxiang    时间: 2010-3-26 04:31
支持大家




欢迎光临 医影在线 (http://bbs.radida.com/bbs/) Powered by Discuz! X3.2