医影在线

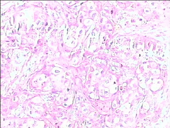
标题: X7009,病理结果:“右”乳腺浸润性导管癌,淋巴结转移癌 [打印本页]

作者: hexue    时间: 2010-3-24 06:52
标题: X7009,病理结果:“右”乳腺浸润性导管癌,淋巴结转移癌
http://www.radida.com/bbs/forum.php?mod=viewthread&tid=63980
作者: 随光逐影    时间: 2010-3-24 16:01
感谢楼主反馈结果,学习了。
作者: 黑白光影    时间: 2010-3-24 16:50
学习了。
作者: freedd    时间: 2010-3-28 19:41
谢谢
作者: xuxinggang    时间: 2010-3-28 19:47
学习了
作者: 谨言慎行    时间: 2010-3-29 01:00
谢谢




欢迎光临 医影在线 (http://bbs.radida.com/bbs/) Powered by Discuz! X3.2