医影在线

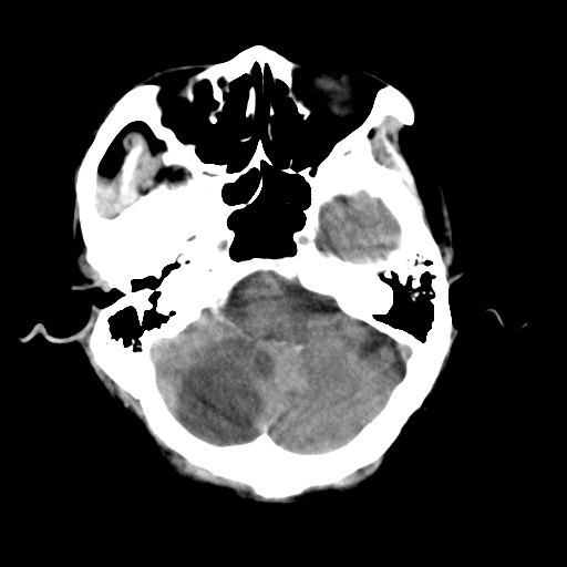
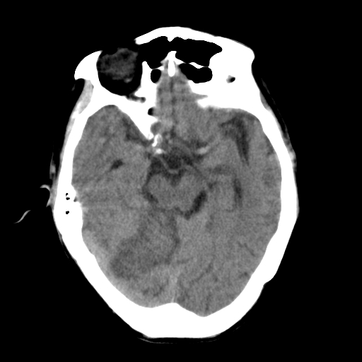
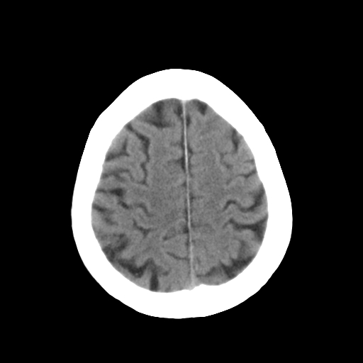
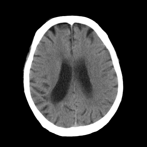
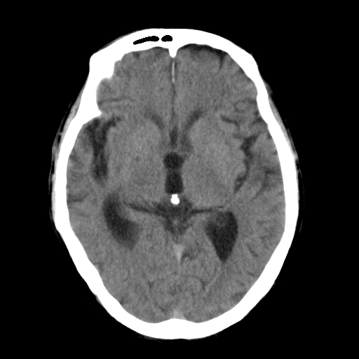
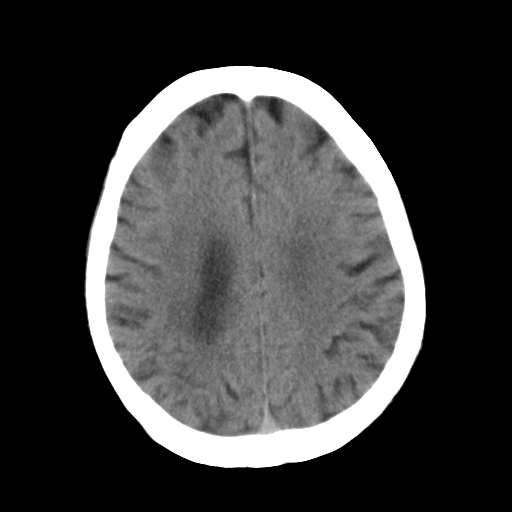
标题: CT25306:男性,75岁。右侧肢体无力一周。 [打印本页]

作者: lp7169    时间: 2010-3-24 22:41
标题: CT25306:男性,75岁。右侧肢体无力一周。















[本贴已被 jiajie 于 2010-3-24 18:46:09 修改过]

作者: 深泽交通    时间: 2010-3-24 23:00
考虑小脑梗塞
作者: muzi888    时间: 2010-3-24 23:14
支持!
作者: zxl51642    时间: 2010-3-24 23:15
考虑小脑梗塞,治疗后复查。
作者: 卜一    时间: 2010-3-24 23:35
考虑:小脑梗塞!
作者: 湘江一滴    时间: 2010-3-25 00:16
支持!
作者: 平安是福    时间: 2010-3-25 00:50
考虑:小脑梗塞
作者: fxt2347    时间: 2010-3-25 00:59
右侧小脑楔形片状低密度影,考虑脑梗塞,建议mri或增强检查除外肿瘤占位
作者: 随光逐影    时间: 2010-3-25 03:10
1)右侧小脑梗塞。2)脑萎缩。
作者: 影像的学    时间: 2010-3-25 03:43
右侧小脑梗塞!支持
作者: 黑白光影    时间: 2010-3-25 05:07
支持大家。
作者: dhlyq    时间: 2010-3-25 08:10
小脑梗塞
作者: yangyudong333    时间: 2010-3-25 13:29
考虑小脑梗塞,治疗后复查。
作者: yuhongjun    时间: 2010-3-25 14:25
考虑小脑梗塞,治疗后复查。




欢迎光临 医影在线 (http://bbs.radida.com/bbs/) Powered by Discuz! X3.2