医影在线

标题: CT25308:肺不张会诊 [打印本页]

作者: 孤家寡人    时间: 2010-3-25 00:31
标题: CT25308:肺不张会诊
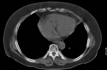
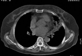
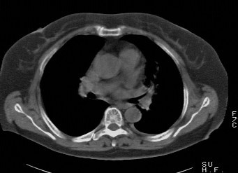
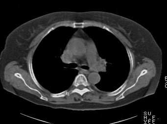
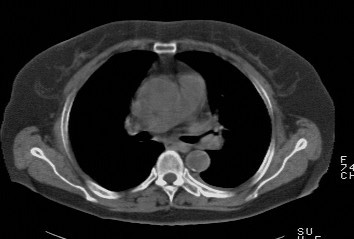
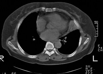
f,74发热咳嗽三天








[本贴已被 jiajie 于 2010-3-24 18:50:22 修改过]

作者: zxl51642    时间: 2010-3-25 02:50
没有肺窗,先考虑肺癌。
作者: 随光逐影    时间: 2010-3-25 03:13
考虑左肺上叶中央型肺癌并左肺上叶舌段肺不张。
作者: 水蓝色的    时间: 2010-3-25 04:49
考虑左肺上叶中央型肺癌并左肺上叶舌段肺不张.
作者: hhhhhh6    时间: 2010-3-25 04:51
做支气管镜吧,支持楼上,不过还得做支气管镜,结核,炎症都可以这样的,那为什么还要考ca呢,因为这样的图ca最多见
作者: dyqct    时间: 2010-3-25 05:01
标题: 回复:ct25308:肺不张会诊
以下是引用hhhhhh6在2010-3-24 20:51:00的发言:[br]做支气管镜吧,支持楼上,不过还得做支气管镜,结核,炎症都可以这样的,那为什么还要考ca呢,因为这样的图ca最多见

支持!
作者: 黑白光影    时间: 2010-3-25 05:13
左肺上叶舌段肺不张,建议作进一步检查除外中心型肺癌。
作者: 卜一    时间: 2010-3-25 05:22
左肺上叶舌段肺不张,建议行纤支检查除外中心型肺癌。支持!
作者: 影象小辈    时间: 2010-3-25 06:51
考虑左肺上叶中央型肺癌并左肺上叶舌段肺不张。
作者: yangyudong333    时间: 2010-3-25 13:33
考虑左肺上叶中央型肺癌并左肺上叶舌段肺不张。
作者: yuhongjun    时间: 2010-3-25 14:20
考虑左肺上叶中央型肺癌并左肺上叶舌段肺不张。




欢迎光临 医影在线 (http://bbs.radida.com/bbs/) Powered by Discuz! X3.2