
























































以下是引用随光逐影在2010-3-24 19:15:00的发言:[br]结合病史,考虑双肺及纵隔淋巴结多发转移、左侧胸膜转移并左侧大量胸水,左下肺膨胀不全。
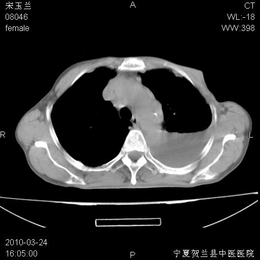
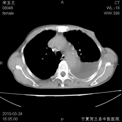
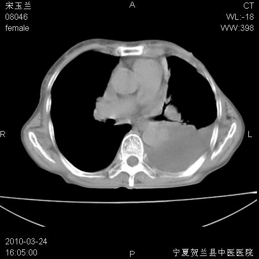
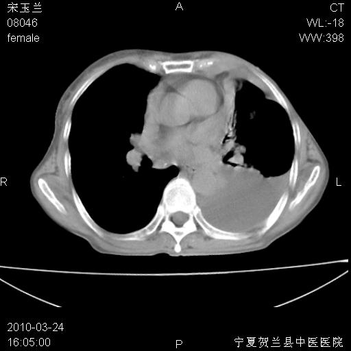
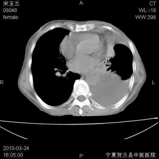
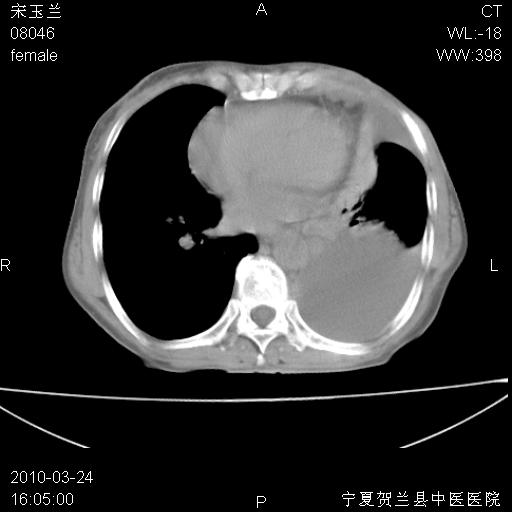
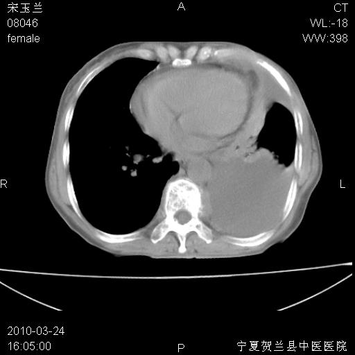
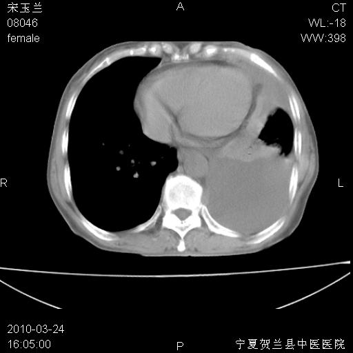
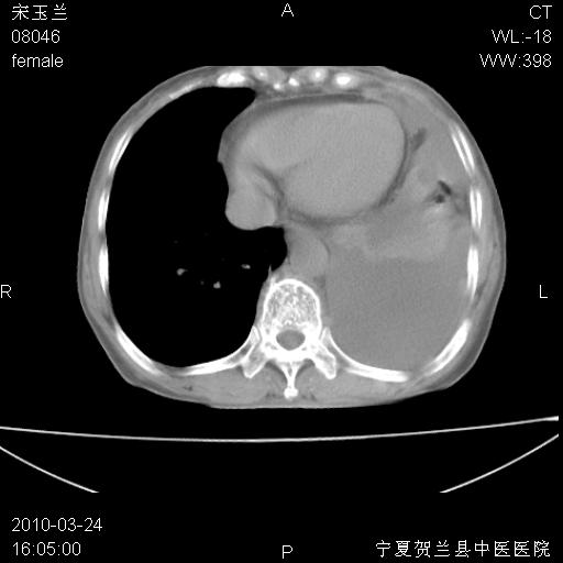
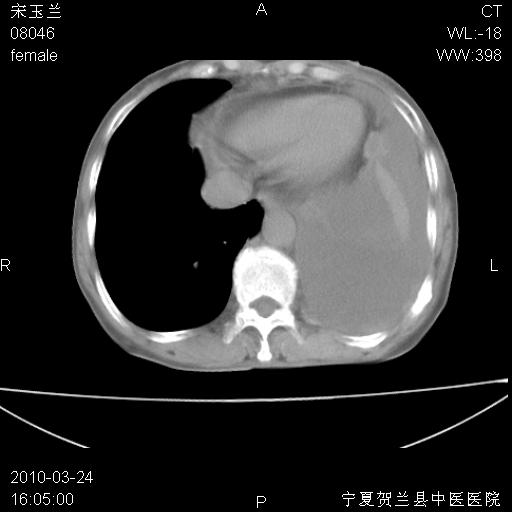
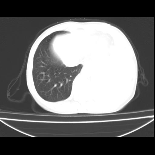
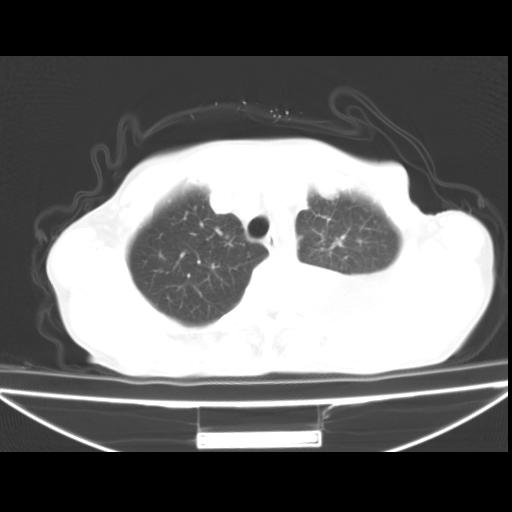
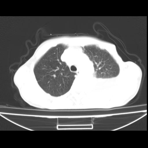
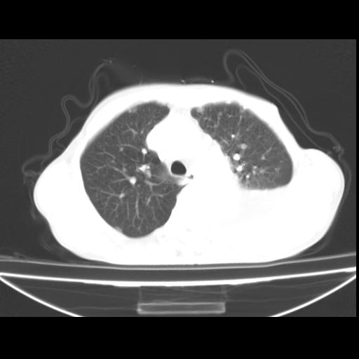
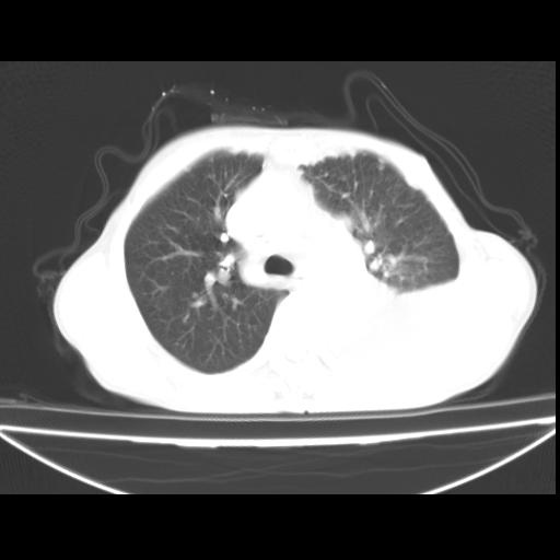
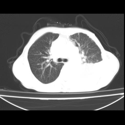
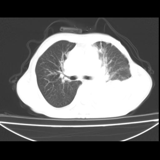
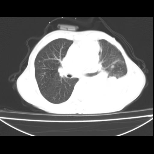
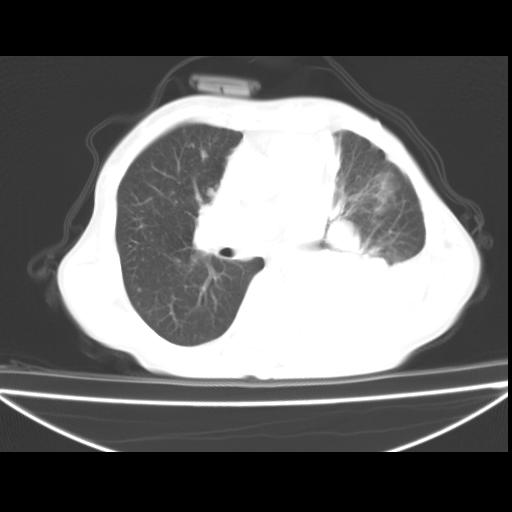
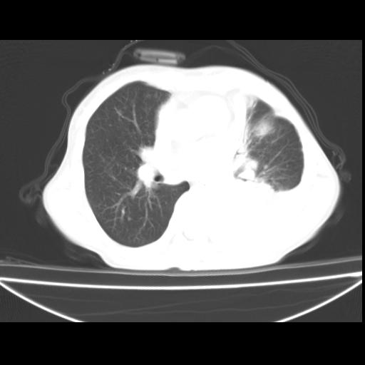
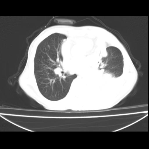
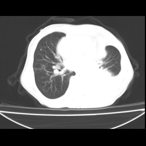
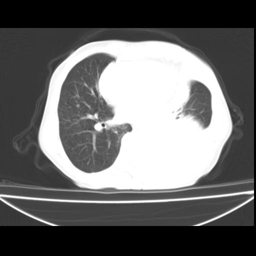
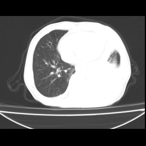
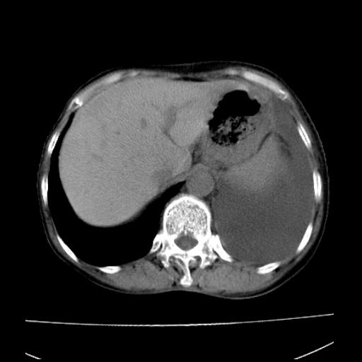
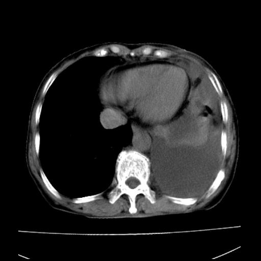
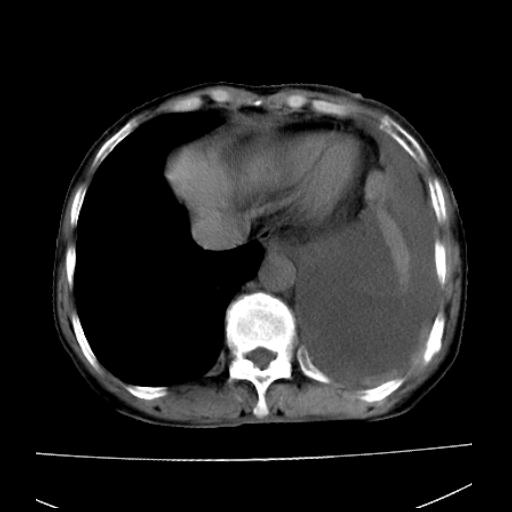
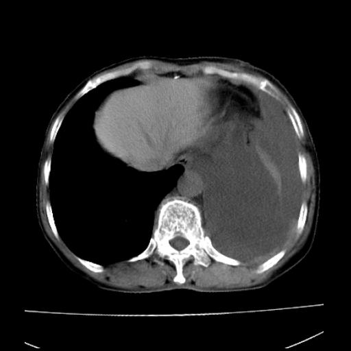
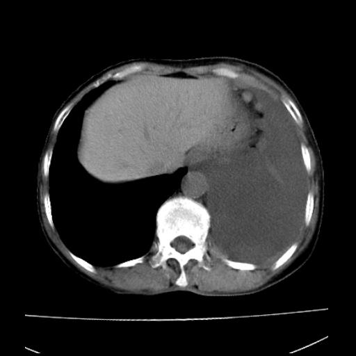
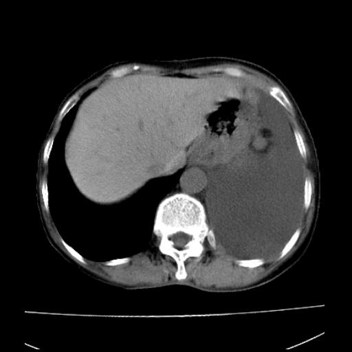
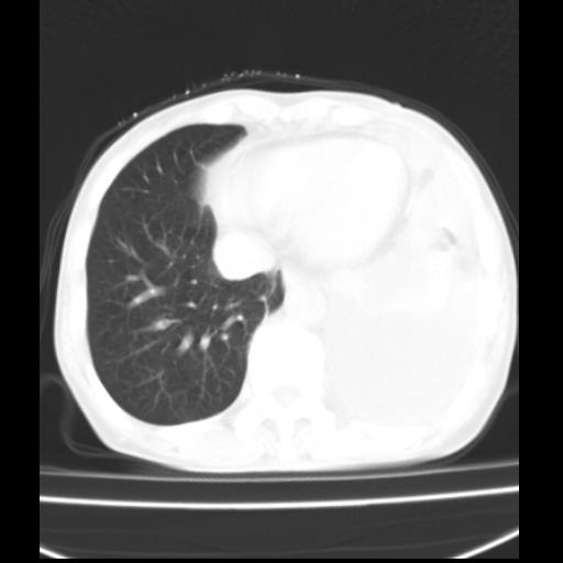
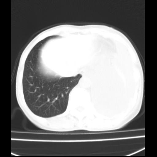
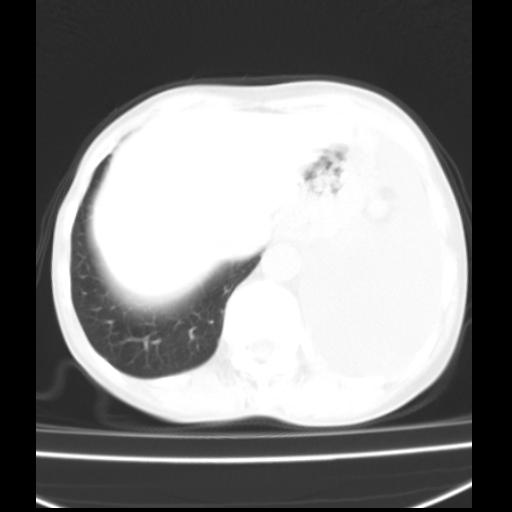
以下是引用zxl51642在2010-3-24 18:49:00的发言:[br]结合乳腺癌术后病史,考虑双肺及纵隔淋巴结多发转移、左侧胸膜转移并左侧大量胸水、左下肺膨胀不全。
以下是引用zxl51642在2010-3-24 18:49:00的发言:[br]结合乳腺癌术后病史,考虑双肺及纵隔淋巴结多发转移、左侧胸膜转移并左侧大量胸水、左下肺膨胀不全。
| 欢迎光临 医影在线 (http://bbs.radida.com/bbs/) | Powered by Discuz! X3.2 |