



















以下是引用心路寻觅在2010-3-24 17:28:00的发言:[br]两肺继发性tb左上肺空洞形成,建议痰检明确诊断。
以下是引用心路寻觅在2010-3-24 17:28:00的发言:[br]两肺继发性tb左上肺空洞形成,建议痰检明确诊断。
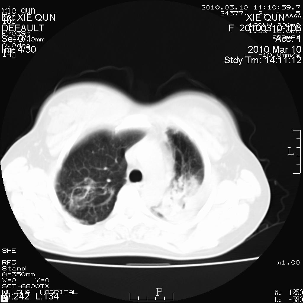
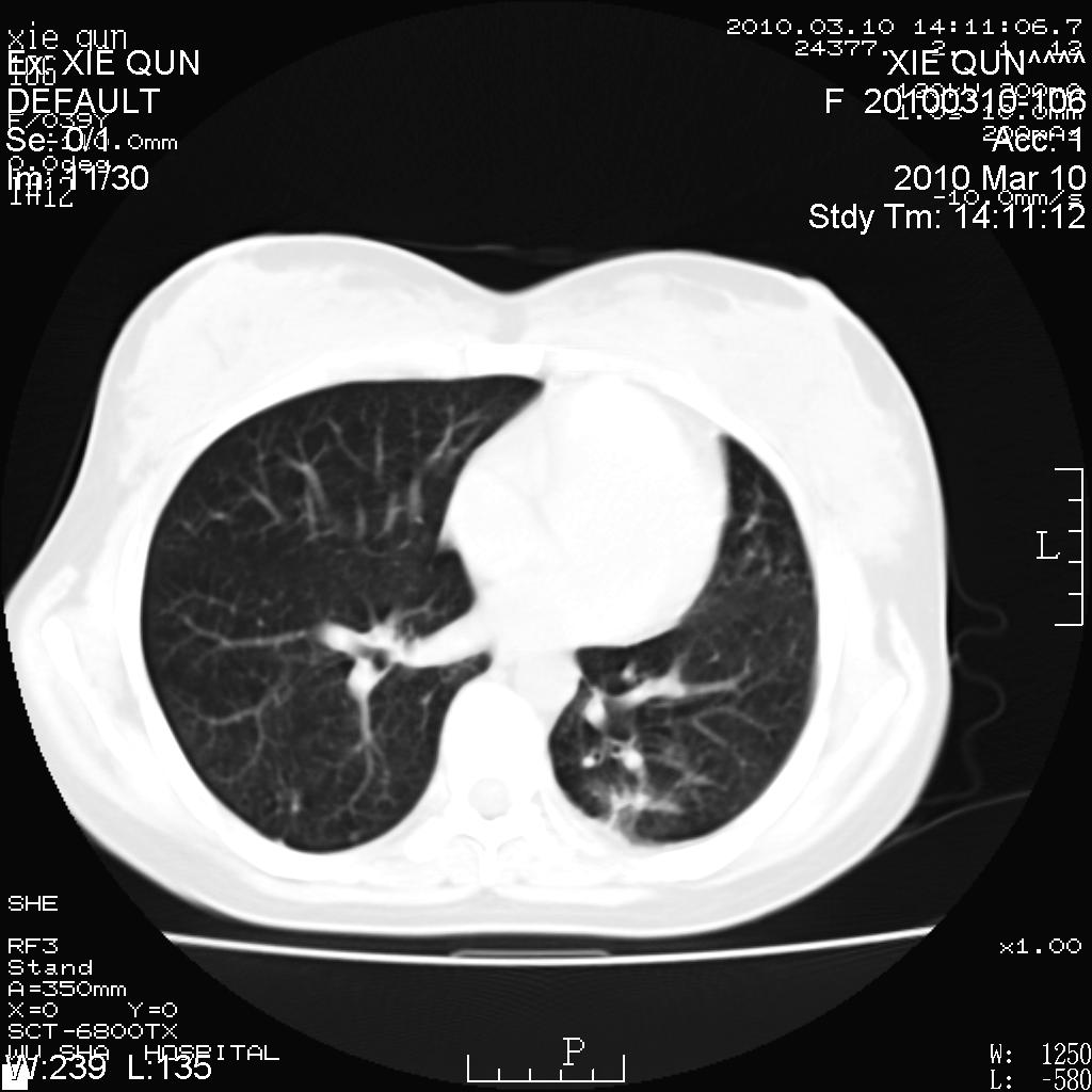
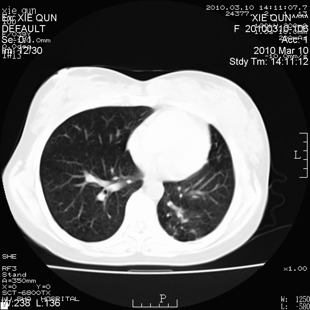
以下是引用随光逐影在2010-3-24 19:19:00的发言:[br]两肺继发性结核并左上肺上叶空洞形成。
以下是引用随光逐影在2010-3-24 19:19:00的发言:[br]两肺继发性结核并左上肺上叶空洞形成。
| 欢迎光临 医影在线 (http://bbs.radida.com/bbs/) | Powered by Discuz! X3.2 |