医影在线

标题: CT25311:箭头所指是问题么? [打印本页]

作者: fanshl    时间: 2010-3-25 01:10
标题: CT25311:箭头所指是问题么?
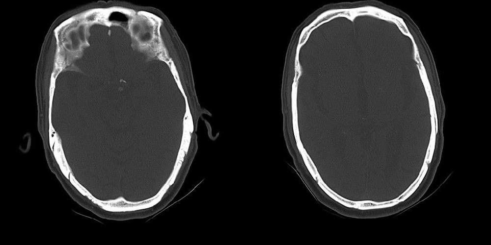
该患者因头疼来诊,发现枕骨不规则缺损。











[本贴已被 jiajie 于 2010-3-24 18:51:19 修改过]

作者: zsj943006    时间: 2010-3-25 01:24
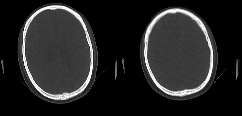
箭头所指为颅骨嗜酸性肉芽肿
作者: 沉默是金    时间: 2010-3-25 02:13
不除外转移
作者: 影象小辈    时间: 2010-3-25 02:18
支持一楼
作者: zxl51642    时间: 2010-3-25 02:38
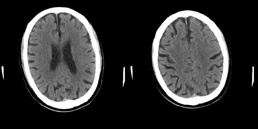
蛛网膜颗粒压迹,讨论过很多了,年龄大了不考虑lch;脑白质疏松。
作者: 513ytb    时间: 2010-3-25 03:05
蛛网膜颗粒压迹,
作者: 随光逐影    时间: 2010-3-25 03:17
箭头所指:蛛网膜颗粒压迹。
作者: 泪洒红尘    时间: 2010-3-25 03:28
蛛网膜颗粒压迹。
作者: 影像的学    时间: 2010-3-25 03:37
珠网膜颗粒压迹
作者: 江广1996    时间: 2010-3-25 04:22
标题: 回复:ct25311:箭头所指是问题么?
以下是引用zxl51642在2010-3-24 18:38:00的发言:[br]蛛网膜颗粒压迹,讨论过很多了,年龄大了不考虑lch;脑白质疏松。

作者: hhhhhh6    时间: 2010-3-25 04:49
我都是先描一下完了考虑正常的 万一不是呢,谁能保证所有这样表现的都是没事,要是有个占位找谁说理去,写上吧
作者: 卜一    时间: 2010-3-25 05:08
蛛网膜颗粒压迹!
作者: 黑白光影    时间: 2010-3-25 05:28
蛛网膜颗粒压迹
作者: dyqct    时间: 2010-3-25 05:48
蛛网膜颗粒压迹。脑萎缩。
作者: huangxun4321    时间: 2010-3-25 06:47
蛛网膜颗粒压迹.
作者: yangyudong333    时间: 2010-3-25 13:16
蛛网膜颗粒压迹,
作者: yuhongjun    时间: 2010-3-25 14:39
蛛网膜颗粒压迹。
作者: ljchenshiying    时间: 2010-3-25 16:17
蛛网膜颗粒压迹
作者: 施明    时间: 2010-3-25 16:36
压迹




欢迎光临 医影在线 (http://bbs.radida.com/bbs/) Powered by Discuz! X3.2