医影在线

标题: CT25322:脑内发现混杂密度影 [打印本页]

作者: 宏宏    时间: 2010-3-25 17:01
标题: CT25322:脑内发现混杂密度影
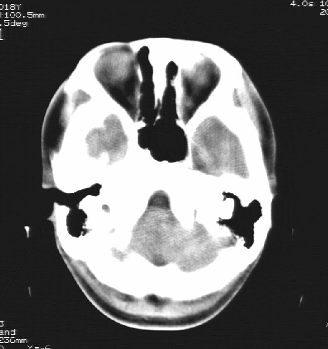
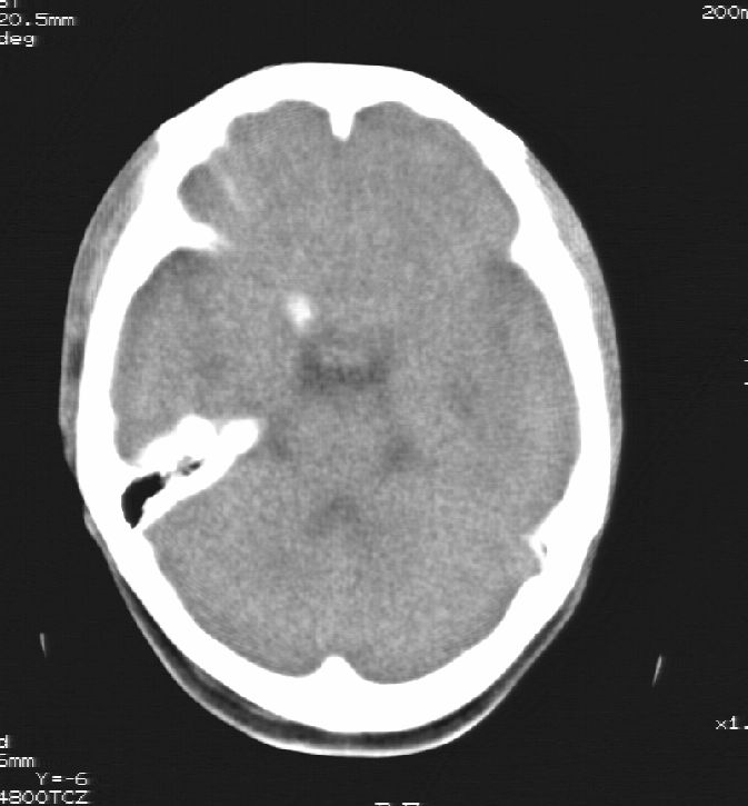
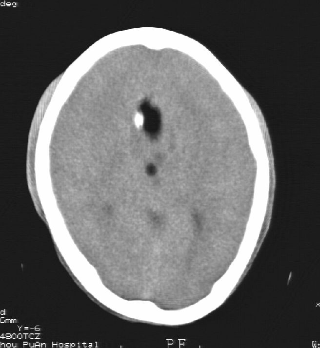
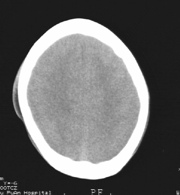
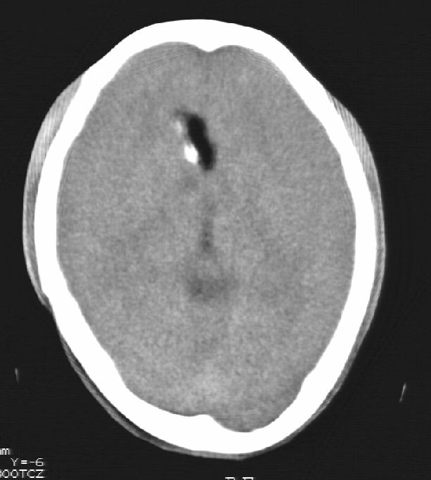
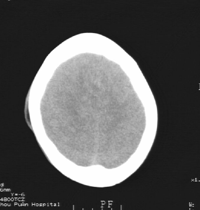
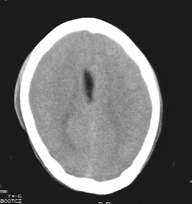
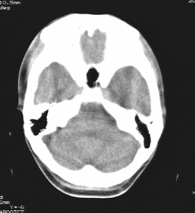
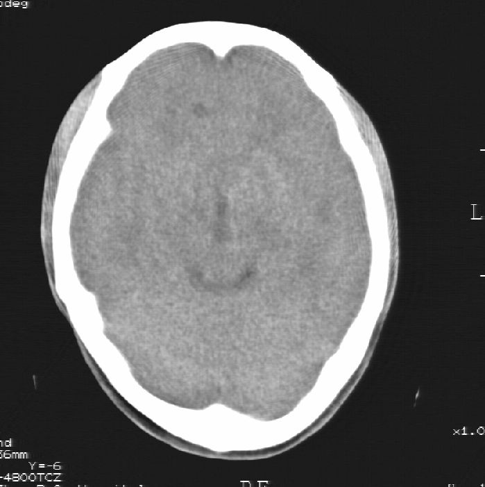
患者男,22岁,因外伤入院,低密度影ct值约-120hu。












[本贴已被 jiajie 于 2010-3-25 20:15:34 修改过]

作者: 北方的狼    时间: 2010-3-25 17:48
透明隔缺如伴血管畸形,增强看看。
作者: 龙刚    时间: 2010-3-25 18:19
胼胝体发育不全合并 透明隔缺如 、脂肪瘤。
作者: 随光逐影    时间: 2010-3-25 19:07
胼胝体发育不全合并脂肪瘤;建议必要时行mri检查。
作者: zxl51642    时间: 2010-3-25 19:34
脑水肿,头皮下血肿,胼胝体发育不全、合并脂肪瘤及钙化;建议必要时行mri检查。
作者: 一见如故    时间: 2010-3-25 19:38
畸胎瘤也有可能
作者: 黑白光影    时间: 2010-3-26 04:46
胼胝体发育不全、合并脂肪瘤及钙化。
作者: yangyudong333    时间: 2010-3-26 15:12
胼胝体发育不全、合并脂肪瘤及钙化。
作者: shuiyuan    时间: 2010-3-27 17:21
胼胝体发育不全、合并脂肪瘤及钙化。




欢迎光临 医影在线 (http://bbs.radida.com/bbs/) Powered by Discuz! X3.2