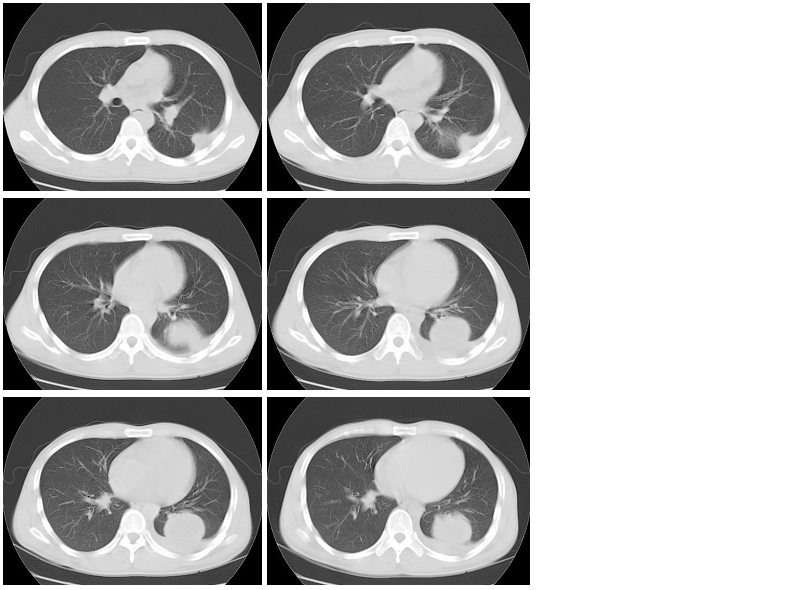
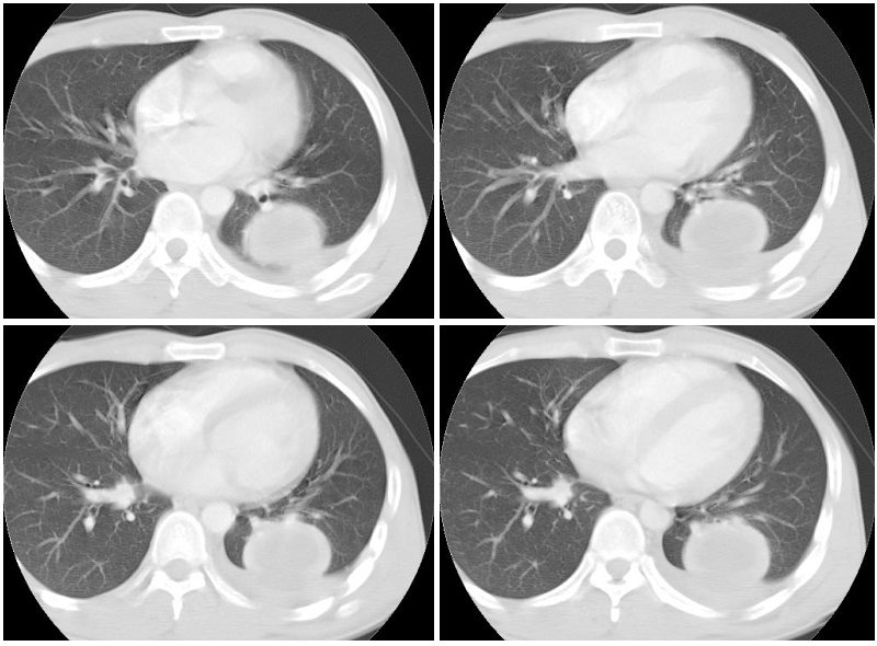
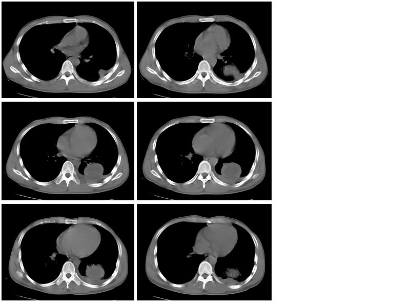
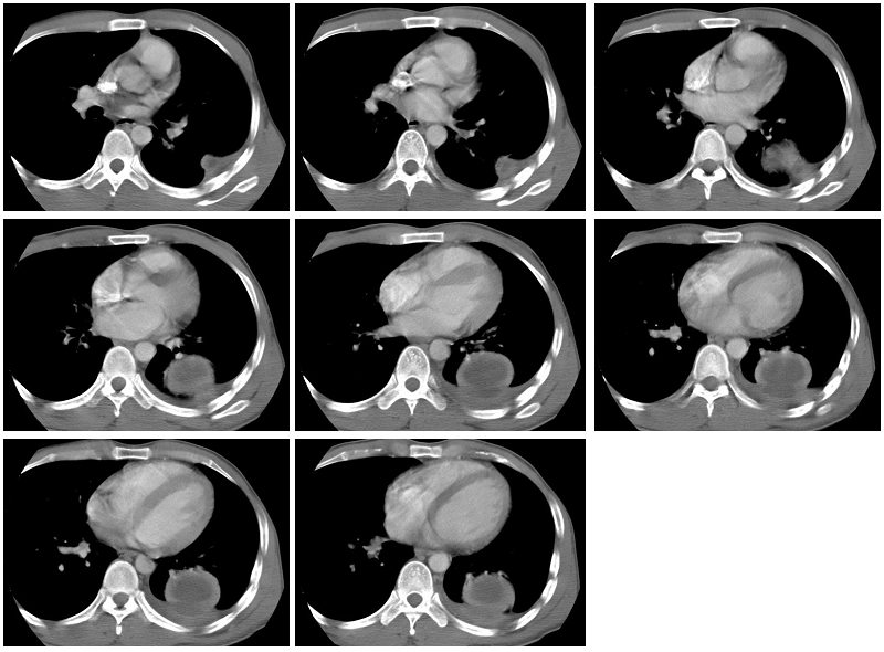
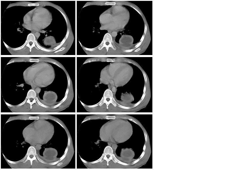
男性,34岁,咳嗽,胸痛一个月,左下肺呼吸音清。分别是肺窗(1-2),纵隔窗(3),增强动脉期(4),平衡期(5),平扫ct值为40-50hu,增强后厚壁达到80-100hu, [/color]




[本贴已被 wd8929053 于 2010-3-25 14:41:57 修改过]
[本贴已被 wd8929053 于 2010-3-25 14:43:27 修改过]
[本贴已被 jiajie 于 2010-3-25 20:30:21 修改过]
作者: 心路寻觅 时间: 2010-3-25 22:33
左肺下叶背段肿块影,边缘欠光整,无明显分叶,局部胸膜反应明显,增强扫描明显强化,其内见无强化低密度区,考虑左肺下叶化脓性感染,建议正规抗炎治疗后复查!鉴别诊断:1、结核瘤:环形强化或无强化,周围见卫星灶 2、周围型肺癌:分叶毛刺明显,局部胸膜凹陷征。
作者: zxl51642 时间: 2010-3-25 22:33
类圆形肿块,强化显著,内液化区无强化,考虑左下肺脓肿,左侧少量胸腔积液。
作者: 深泽交通 时间: 2010-3-25 23:05
边缘环形强化 结核球或肺脓肿
作者: muzi888 时间: 2010-3-25 23:13
左下叶背段脓肿,并左侧少量胸腔积液。
作者: 随光逐影 时间: 2010-3-26 00:05
左肺下叶肺脓肿;左侧少量胸腔积液。
作者: zdgh 时间: 2010-3-26 00:13
左肺下叶类圆形肿块,呈典型的环形强化,累及胸膜,少量胸腔积液
考虑诊断:结核球
鉴别诊断:肺脓肿
作者: 赵物学 时间: 2010-3-26 00:37
标题: 回复:左下肺肿块或胸膜肿块
以下是引用zdgh在2010-3-25 16:13:00的发言:[br]左肺下叶类圆形肿块,呈典型的环形强化,累及胸膜,少量胸腔积液[br]考虑诊断:结核球[br]鉴别诊断:肺脓肿
哥们决定支持你不过要改下考虑诊断:结核球不除外肺脓肿
作者: 拂晓 时间: 2010-3-26 00:44
标题: 回复:左下肺肿块或胸膜肿块
以下是引用随光逐影在2010-3-25 16:05:00的发言:[br]左肺下叶肺脓肿;左侧少量胸腔积液。
作者: sunbin 时间: 2010-3-26 01:09
左下肺可见类圆形高密度影,可见双环征,增强后,壁强化明显,内低密度影未见强化,同侧胸腔积液,左下肺脓肿。治疗后复查。
作者: 卜一 时间: 2010-3-26 01:16
左肺下叶背段肿块影,边缘欠光整,无明显分叶,局部胸膜反应明显,增强扫描明显强化,其内见无强化低密度区,考虑左肺下叶化脓性感染,建议正规抗炎治疗后复查!鉴别诊断:1、结核瘤:环形强化或无强化,周围见卫星灶 2、周围型肺癌:分叶毛刺明显,局部胸膜凹陷征。
支持!!!
作者: 513ytb 时间: 2010-3-26 02:41
左肺下叶肺脓肿;左侧少量胸腔积液。
作者: jkydlj 时间: 2010-3-26 03:53
左肺下叶肺脓肿;左侧少量胸腔积液。
作者: yuhongjun 时间: 2010-3-26 15:12
类圆形肿块,强化显著,内液化区无强化,考虑左下肺脓肿,左侧少量胸腔积液。
作者: zxczxc 时间: 2010-3-26 18:20
左下肺脓肿。
作者: 黑白光影 时间: 2010-3-26 21:45
左肺下叶肺脓肿;左侧少量胸腔积液。
作者: 苦作舟 时间: 2010-3-26 23:52
支持大家意见,,,脓肿伴胸水。。估计胸水也是脓性的。
作者: shuiyuan 时间: 2010-3-27 17:10
左肺下叶背段肿块影,边缘欠光整,无明显分叶,局部胸膜反应明显,增强扫描明显强化,其内见无强化低密度区,考虑左肺下叶化脓性感染,建议正规抗炎治疗后复查!鉴别诊断:1、结核瘤:环形强化或无强化,周围见卫星灶 2、周围型肺癌:分叶毛刺明显,局部胸膜凹陷征。
支持!!!
| 欢迎光临 医影在线 (http://bbs.radida.com/bbs/) |
Powered by Discuz! X3.2 |