医影在线

标题: PED3151:求助 [打印本页]

作者: guojia19840118    时间: 2010-3-25 22:58
标题: PED3151:求助




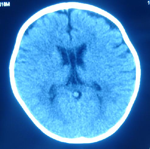
箭头指的地方是占位还是正常的直窦或正常组织?急!谢谢各位老师。

[本贴已被 jiajie 于 2010-3-25 20:46:41 修改过]

作者: 随光逐影    时间: 2010-3-25 23:30
1)箭头所指:galen静脉(即大脑大静脉)。2)透明隔间腔与vergae腔并存。
作者: guojia19840118    时间: 2010-3-25 23:33
好的谢谢!
作者: sunbin    时间: 2010-3-26 02:26
支持2楼。
作者: 拾荒者    时间: 2010-3-26 03:13
同意二楼分析。
作者: 黑白光影    时间: 2010-3-26 04:29
支持2楼。
作者: dyqct    时间: 2010-3-26 05:21
标题: 回复:ped3151:求助
以下是引用随光逐影在2010-3-25 15:30:00的发言:[br]1)箭头所指:galen静脉(即大脑大静脉)。2)透明隔间腔与vergae腔并存。

支持!
作者: zxl51642    时间: 2010-3-26 19:39
1)箭头所指:galen静脉(即大脑大静脉)。2)第五脑室、第六脑室。
作者: yangyudong333    时间: 2010-3-27 14:04
以下是引用随光逐影在2010-3-25 15:30:00的发言:
1)箭头所指:galen静脉(即大脑大静脉)。2)透明隔间腔与vergae腔并存。
作者: 赵物学    时间: 2010-3-27 21:59
血管影




欢迎光临 医影在线 (http://bbs.radida.com/bbs/) Powered by Discuz! X3.2