医影在线

标题: CT25338:女 14岁 3岁时检查为脑积水 现在发育滞后 偶有尿失 [打印本页]

作者: wsqyg    时间: 2010-3-26 02:55
标题: CT25338:女 14岁 3岁时检查为脑积水 现在发育滞后 偶有尿失













[本贴已被 jiajie 于 2010-3-25 20:33:46 修改过]

作者: 随光逐影    时间: 2010-3-26 03:00
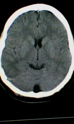
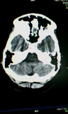
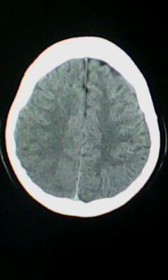
颅脑ct轴位平扫颅内未见明确异常。
作者: HOUHOU5151    时间: 2010-3-26 04:08
蛛网膜囊肿!
作者: chenxipinpin    时间: 2010-3-26 04:50
脑皮质增厚,发育异常!
作者: 科室第一人    时间: 2010-3-26 05:04
左侧灰质异位
作者: 地球上的    时间: 2010-3-26 06:56
颅脑ct轴位平扫颅内未见明确异常。
作者: yangyudong333    时间: 2010-3-26 14:45
颅脑ct轴位平扫颅内未见明确异常。
作者: yuhongjun    时间: 2010-3-26 15:07
颅脑ct轴位平扫颅内未见明确异常。
作者: zxl51642    时间: 2010-3-26 19:01
建议mri
作者: ct诊断高手    时间: 2010-3-26 20:45
颅脑ct轴位平扫颅内未见明确异常。
作者: 黑白光影    时间: 2010-3-26 21:48
颅脑ct轴位平扫颅内未见明确异常,建议mri。
作者: shuiyuan    时间: 2010-3-27 17:16
蛛网膜囊肿!
作者: niedajun    时间: 2010-3-27 18:13
左侧颞枕叶区密度异常?




欢迎光临 医影在线 (http://bbs.radida.com/bbs/) Powered by Discuz! X3.2