








































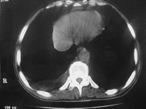
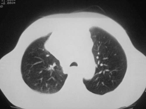
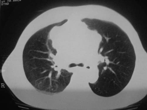
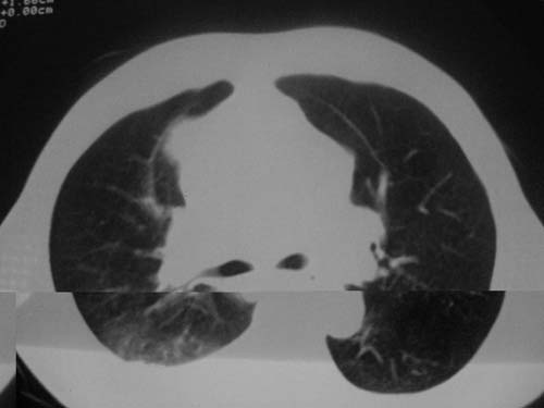
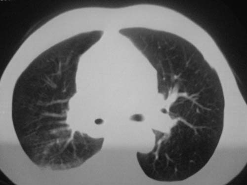
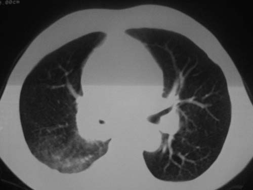
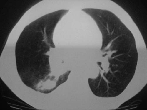
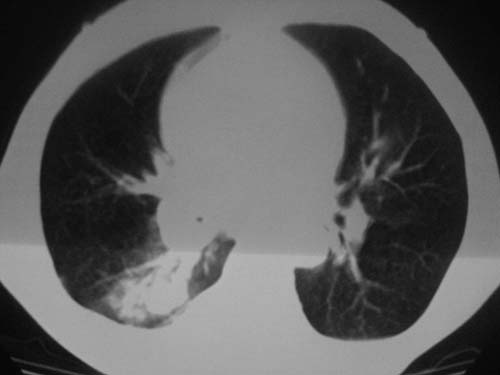
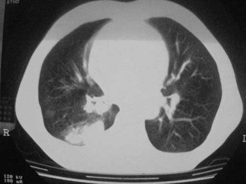
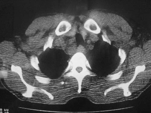
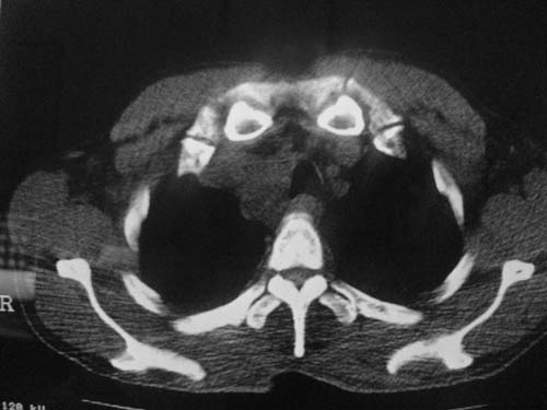
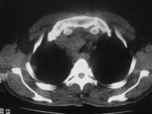
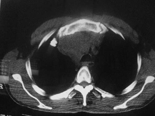
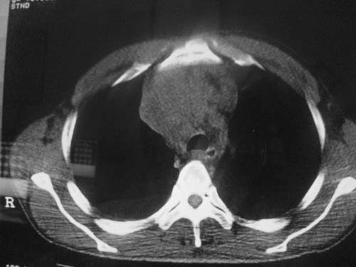
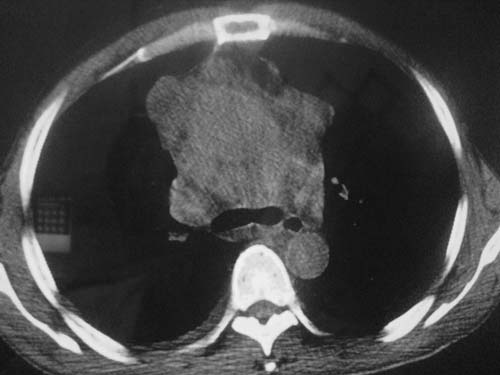
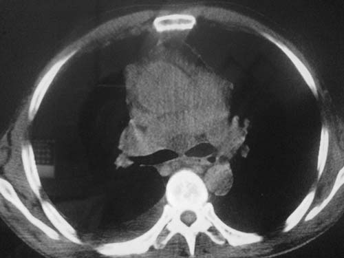
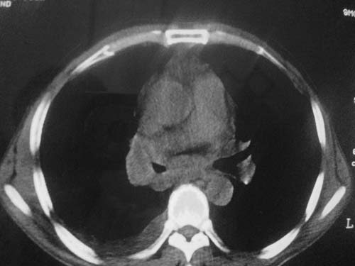
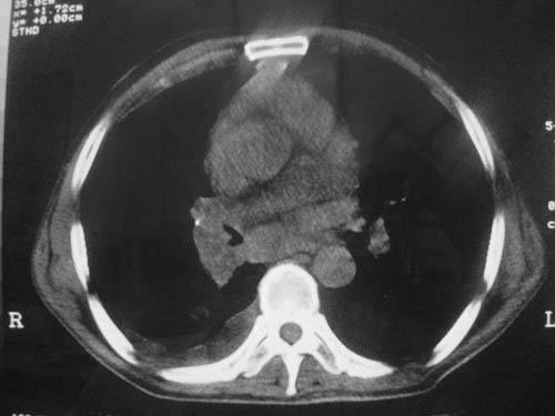
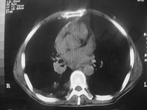
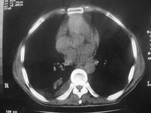
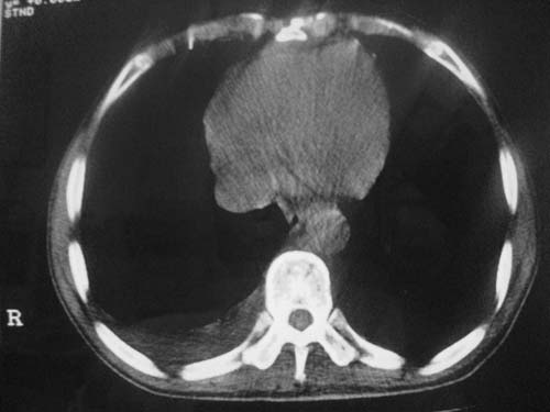
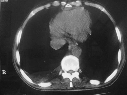
以下是引用科室第一人在2010-3-25 20:30:00的发言:[br]1:纵膈肿瘤性病变,恶性胸腺瘤可能性大伴纵膈右肺门淋巴结转移,右侧胸腔积液。[br]2:右侧肺门肿瘤性病变,纵膈淋巴结转移,右侧胸腔积液。右下叶转移。
以下是引用子期在2010-3-25 21:00:00的发言:[br]先考虑右中央型肺癌伴转移。
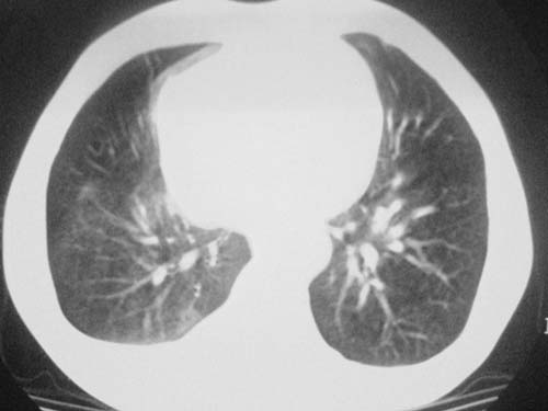
以下是引用江广1996在2010-3-25 22:49:00的发言:[br]通常肺癌向纵隔转移多见,纵隔肿瘤向肺内转移少见(有的表现为向肺内侵润)。本例以一元论考虑:右中心型肺癌并纵隔淋巴等多处转移。[br][br][本贴已被 江广1996 于 2010-3-25 22:50:07 修改过]
以下是引用yangyudong333在2010-3-26 6:43:00的发言:[br]“冰冻纵膈”,考虑纵膈淋巴瘤伴肺内及胸膜侵润。
| 欢迎光临 医影在线 (http://bbs.radida.com/bbs/) | Powered by Discuz! X3.2 |