医影在线

标题: CT25342:请教2 [打印本页]

作者: zgb5618    时间: 2010-3-26 04:10
标题: CT25342:请教2
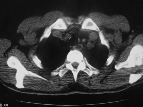
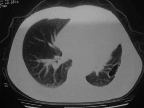
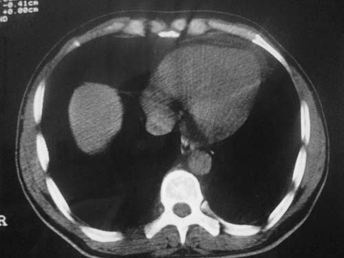
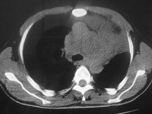
男性39岁,干咳一个月,最近胸憋气短,自己感觉发烧出汗,要求拍ct

































图像质量较差请多包含,考虑肺癌,肺结核不除外,大家是否同意这种看法,请各位老师指教


[本贴已被 jiajie 于 2010-3-25 20:36:29 修改过]

作者: yaoyuan    时间: 2010-3-26 04:24
肺癌
作者: 摘星空竹子    时间: 2010-3-26 04:37
左肺上叶中央型肺癌并阻塞性肺不张。
作者: 科室第一人    时间: 2010-3-26 04:42
支持
作者: 摘星空竹子    时间: 2010-3-26 04:43
另少量心包积液。
作者: dyqct    时间: 2010-3-26 06:02
考虑:左肺上叶中央型肺癌并阻塞性肺不张。左肺下叶囊肿或支扩。
作者: 天天影像    时间: 2010-3-26 06:43
左侧肺癌伴阻塞性肺炎,纵隔转移。
作者: 江广1996    时间: 2010-3-26 06:54
1.左侧肺癌伴阻塞性肺炎,纵隔转移。2.左下肺大泡。3.左下肺感染
作者: andy_wang    时间: 2010-3-26 06:57
标题: 回复:ct25342:请教2
以下是引用摘星空竹子在2010-3-25 20:37:00的发言:[br]左肺上叶中央型肺癌并阻塞性肺不张。
支持肺癌观点!
作者: 513ytb    时间: 2010-3-26 07:11
左肺上叶中央型肺癌并阻塞性肺不张。
作者: 卜一    时间: 2010-3-26 12:59
左肺上叶中央型肺癌并阻塞性肺不张。支持!
作者: yuhongjun    时间: 2010-3-26 14:19
左肺上叶中央型肺癌并阻塞性肺不张。
作者: yangyudong333    时间: 2010-3-26 14:41
左肺上叶中央型肺癌并阻塞性肺不张。
作者: 赵物学    时间: 2010-3-26 14:49
标题: 回复:ct25342:请教2
以下是引用dyqct在2010-3-25 22:02:00的发言:[br]考虑:左肺上叶中央型肺癌并阻塞性肺不张。左肺下叶囊肿或支扩。

纵隔淋吧结肿大
心包积液
双侧胸膜增厚
作者: muzi888    时间: 2010-3-26 17:41
左肺上叶中央型肺癌并阻塞性肺不张。左下转移,支扩!
作者: zxl51642    时间: 2010-3-26 17:44
以下是引用dyqct在2010-3-25 22:02:00的发言:
考虑:左肺上叶中央型肺癌并阻塞性肺不张。左肺下叶囊肿或支扩。
纵隔淋吧结肿大
心包积液
双侧胸膜增厚
作者: 随光逐影    时间: 2010-3-26 19:00
左肺上叶中央型肺癌并阻塞性肺不张,纵隔淋巴结转移。
作者: 施明    时间: 2010-3-26 19:37
肺癌
作者: 黑白光影    时间: 2010-3-27 21:36
1.左侧肺癌伴阻塞性肺炎,纵隔转移。2.左下肺大泡。3.左下肺感染




欢迎光临 医影在线 (http://bbs.radida.com/bbs/) Powered by Discuz! X3.2