医影在线
标题: CT25345:右肾占位。 [打印本页]
作者: ayi 时间: 2010-3-26 04:15
标题: CT25345:右肾占位。
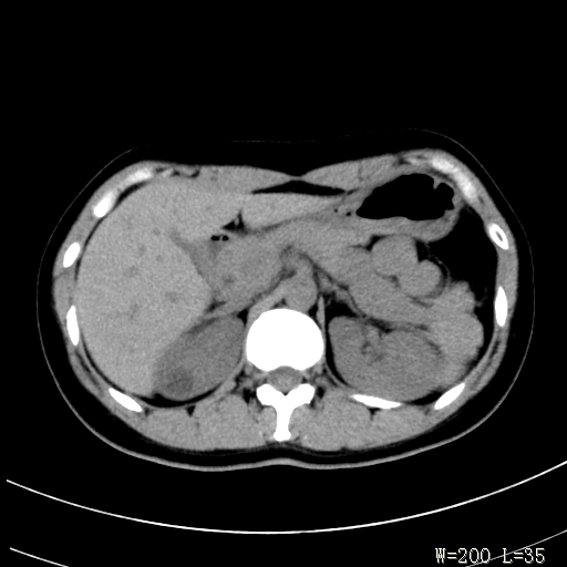
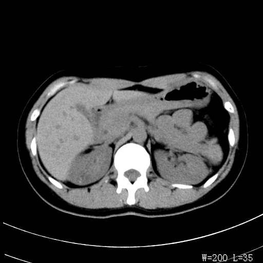
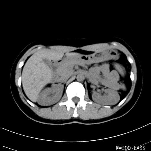
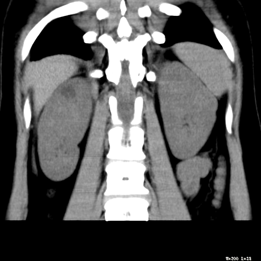
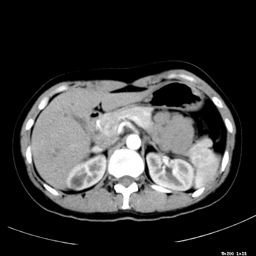
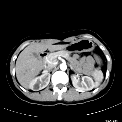
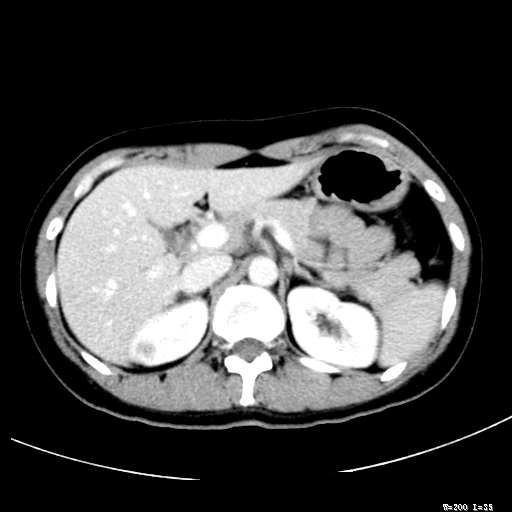
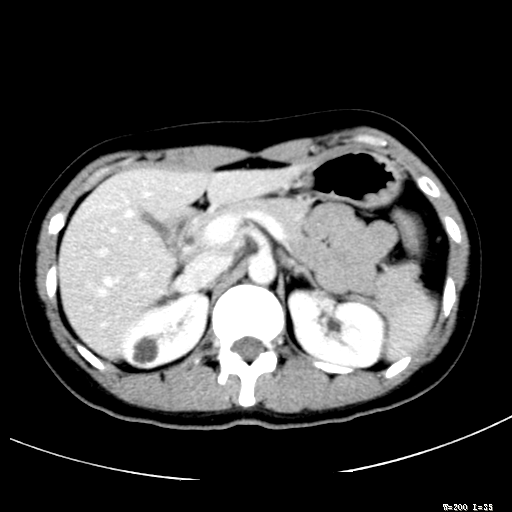
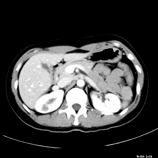
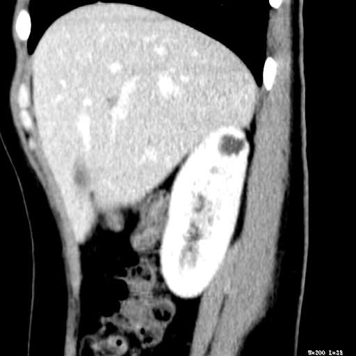
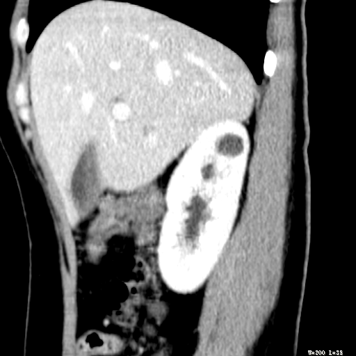
女,30岁,右腰部胀痛3个月。















[本贴已被 ayi 于 2010-3-25 20:25:14 修改过]
[本贴已被 jiajie 于 2010-3-25 20:45:14 修改过]
[本贴已被 ayi 于 2010-3-30 13:40:47 修改过]
作者: 子期 时间: 2010-3-26 05:10
增强无明显强化,先考虑血管平滑肌脂肪瘤,建议作薄层扫描右mri检查,
作者: dyqct 时间: 2010-3-26 06:05
标题: 回复:ct25345:右肾占位。(发错地方了,怎样转到ct?)
以下是引用子期在2010-3-25 21:10:00的发言:[br]增强无明显强化,先考虑血管平滑肌脂肪瘤,建议作薄层扫描右mri检查,
支持!
作者: 地球上的 时间: 2010-3-26 06:14
增强无明显强化,先考虑血管平滑肌脂肪瘤,建议作薄层扫描右mri检查
支持
作者: linyiming 时间: 2010-3-26 10:21
感觉像囊肿.
作者: 卜一 时间: 2010-3-26 12:57
囊肿!
作者: yuhongjun 时间: 2010-3-26 14:20
支持考虑囊肿。
作者: yangyudong333 时间: 2010-3-26 14:40
支持考虑囊肿。
作者: 赵物学 时间: 2010-3-26 14:46
增强无明显强化,先考虑血管平滑肌脂肪瘤这个好说做mri去
下面我要说的是怎么胰头平扫占位做个增强就不算了啊,我说还像占位一起做mri
作者: muzi888 时间: 2010-3-26 17:38
支持囊肿!
作者: zxl51642 时间: 2010-3-26 17:46
囊肿!
作者: 平安是福 时间: 2010-3-26 18:02
支持囊肿或血管平滑肌脂肪瘤。
作者: 随光逐影 时间: 2010-3-26 19:04
考虑右肾近上极囊肿;建议必时行mri检查。
作者: ct诊断高手 时间: 2010-3-26 20:36
支持囊肿!
作者: 黑白光影 时间: 2010-3-27 21:39
支持考虑囊肿可能,建议mr。
| 欢迎光临 医影在线 (http://bbs.radida.com/bbs/) |
Powered by Discuz! X3.2 |