医影在线
标题: CT25343:请教3 [打印本页]
作者: zgb5618 时间: 2010-3-26 04:15
标题: CT25343:请教3
(结果公布:http://www.radida.com/bbs/forum.php?mod=viewthread&tid=71857)
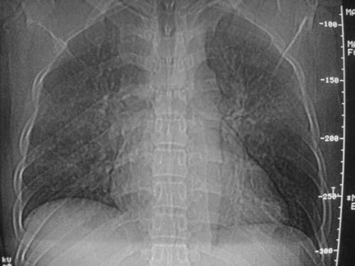
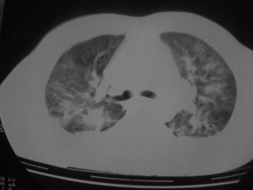
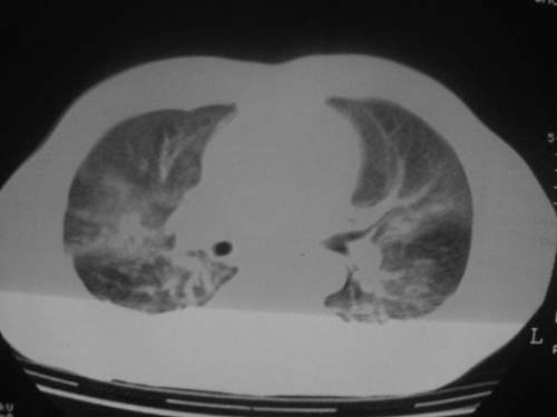
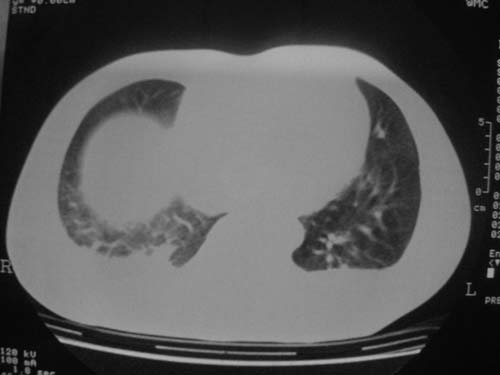
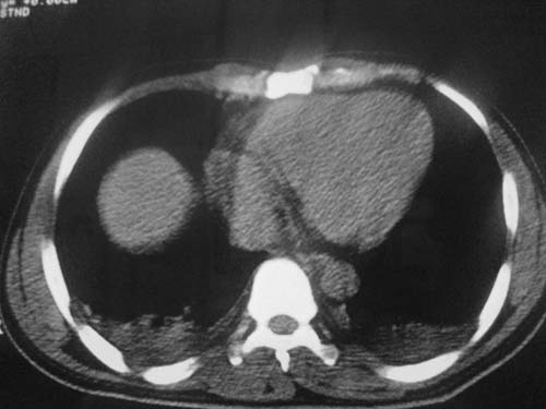
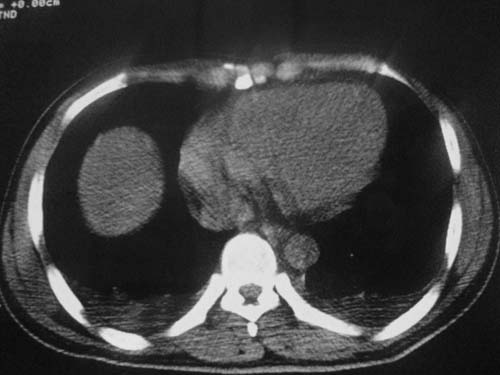
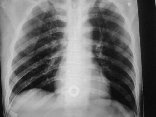
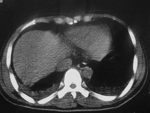
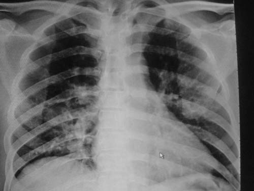
外伤病人,年龄忘了,中年人右侧肋骨骨折了,
这是刚住院拍的片子。
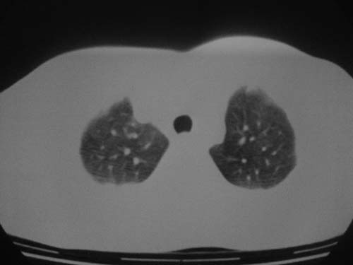
这是第三天拍的片子.




















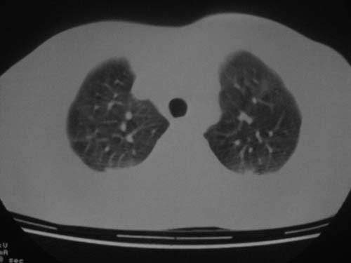
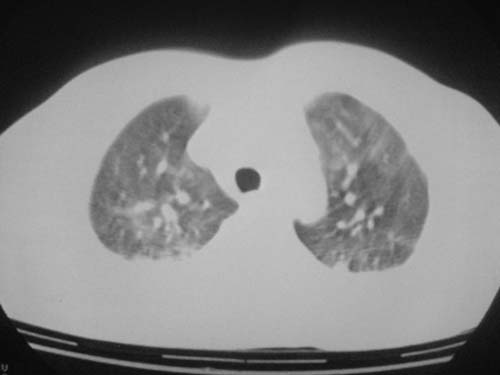
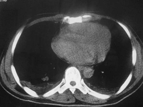
这是第五天拍的ct,纵隔窗我没都传,实在是太费时,请教各位老师,此病人有肺水肿吗?帮忙分析一下
[本贴已被 jiajie 于 2010-3-25 20:36:59 修改过]
[本贴已被 jiajie 于 2010-10-12 18:15:48 修改过]
作者: 子期 时间: 2010-3-26 04:57
创伤性湿肺
作者: dyqct 时间: 2010-3-26 06:04
支持!
作者: 岚儿 时间: 2010-3-26 06:06
支持肺水肿,双侧胸腔积液,入院第三天发病,会不会是心源性、药物过敏性、快速输液等情况,建议提供病史。
作者: 江广1996 时间: 2010-3-26 06:32
标题: 回复:ct25343:请教3
支持肺水肿,双侧胸腔积液.
入院第三天发病,会不会是心源性、药物过敏性、快速输液,栓塞,ards等情况,建议提供病史及患者转归情况。
患者第三天后逐渐加重,不符合肺挫伤表现,因为肺挫伤大部分是以外伤后24小时或36小时为发病高峰,之后就开始吸收。
作者: andy_wang 时间: 2010-3-26 06:55
不知道具体外伤的情况(部位,方式‘程度等),肺内病变范围较广,上下叶都有,似乎与肺挫伤不相符合,是应该看看临床治疗详情,特别是输液出入量,以前见过类似的病人,间质性肺水肿可能大!等待结果,盼盼盼!
作者: 卜一 时间: 2010-3-26 12:56
创伤性湿肺!
作者: yuhongjun 时间: 2010-3-26 14:22
很好的病例,期待结果。
作者: 赵物学 时间: 2010-3-26 14:37
尽管上面列举了影响肺血管内外液体交换的各自因素,但实际上肺水肿通常是多种发病机理的综合效应。下面仅就几种临床常见肺水肿的发病机理作一简要介绍。
(一)肺微血管静水压力升高性肺水肿临床常见于心肌梗塞、高血压和主动脉等疾患引起的左心衰,二尖瓣狭窄及肺静脉闭塞性疾病引起肺静脉压升高时,引起肺微血管静水压升高。同时还可扩张已关闭的毛细血管床,造成通透系数增加。当这两种因素引起的液体滤过量超过淋巴系统清除能力时,即产生肺水肿。
(二)微血管和肺泡壁通透性增加性肺水肿弥漫性肺部感染,吸入有毒气体和休克(特别是革兰氏阴性杆菌败血症和出血性胰腺炎)均可损害毛细血管内皮和肺泡上皮,增加通透性引起肺水肿。
(三)血浆胶体渗透压降低虽然肝肾疾病可引起低蛋白血症,降低胶体渗透压,但由于同时伴有微血管周围的胶体渗透压下降,故很少产生肺水肿。只有同时伴有微血管内静水压力升高时,才诱发肺水肿。
(四)肺淋巴回流障碍据推测成人肺淋巴流量稳态时可达200ml/h,是阻止肺水肿最重要的因素。急性微血管静水压力或通透性增加时,肺淋巴流量可增加10倍以上,减慢肺水肿形成的速度。当其引流不畅或瘀滞时,即可诱发肺间质甚至肺泡水肿。
(五)复张后肺水肿胸穿排气或抽液速度过快、量过多时,可骤然加大胸腔负压,降低微血管周围静水压,增加滤过压力差。同时由于过大胸腔负压的作用,肺毛细血管开放的数量和流入的血流量均增多,使滤过面积和滤过系数均增加。另外,肺组织萎缩后表面活性物质生成减少,降低肺泡上皮的蛋白反射系数,诱发形成肺泡水肿。
(六)高原肺水肿易发生在3000米以上高原,过量运动或劳动为诱发因素,多见25岁以下年轻人。机理尚不清楚。可能与肺小动脉或肺静脉收缩有关。病人吸氧或回到平原后病情改善提示低氧的作用,但低氧本身并不改变肺微血管的通透性。因此,运动后心输出量增多和肺动脉压力升高与低氧性肺小动脉收缩一起,可产生这一典型的前小动脉压力升高性肺水肿。
(七)神经原肺水肿可发生在患中枢神经系统疾病但没有明显左心衰的患者。很多研究提示与交感神经系统活动有关。肾上腺素能介质大量释放导致末梢血管收缩,升高血压,将血液转移到循环中,同时可发生左心室顺应性降低。两种因素均升高左房压,诱发肺水肿。此外,刺激肾上腺素能受体可直接增加毛细血管通透性,但与升高压力比较,这一作用相对较小。
看到了吧,我可以明确的告诉你有肺水肿,问题是 是个事就能引起肺水肿,现在要整明白是什么事
ct上说的肺水肿和病理上的不一样通常是指ct 上说的炎症 和感染 挫伤以外的病 和不能定诊的病
支一下4楼吧
作者: yangyudong333 时间: 2010-3-26 14:39
创伤性湿肺!
作者: muzi888 时间: 2010-3-26 17:36
创伤性湿肺,双侧胸腔积液!
作者: zxl51642 时间: 2010-3-26 17:48
支持4、5楼
作者: 平安是福 时间: 2010-3-26 17:59
支持创伤性湿肺。
作者: 随光逐影 时间: 2010-3-26 19:02
1)双侧创伤性湿肺。2)双侧胸腔积液。
作者: 施明 时间: 2010-3-26 19:43
肺水肿
作者: 黑白光影 时间: 2010-3-27 21:38
支持4、5楼意见
作者: zgb5618 时间: 2010-4-2 16:18
跟主治医生讨论病例
结果:病人刚入院水电解质紊乱,治疗期间大量输液,而且速度较快,正如4.5楼那样说的引起肺水肿,对症治疗后病情好转,
作者: ghp3522 时间: 2010-10-13 05:39
谢谢反馈。
作者: shihai 时间: 2010-10-13 05:58
引以为戒!
作者: xiongneo 时间: 2010-10-13 06:42
学习了
作者: 影像之路 时间: 2010-10-13 06:45
学习了
作者: zmczmc 时间: 2010-10-13 14:29
增长见识。
作者: dhlyq 时间: 2010-10-13 15:51
学习了
作者: yuhongjun 时间: 2010-10-13 17:42
谢谢反馈结果,很好的病例,值得借鉴。
作者: dzctfzx123456 时间: 2010-10-13 18:58
谢谢反馈结果,很好的病例,值得借鉴
作者: sdzyy 时间: 2010-10-13 23:47
谢谢反馈结果,值得借鉴,学习了。
作者: 拾荒者 时间: 2010-10-17 03:47
不错的病例,值得借鉴!
作者: 12640484 时间: 2010-11-6 08:17
收藏
欢迎光临 医影在线 (http://bbs.radida.com/bbs/) |
Powered by Discuz! X3.2 |