











































































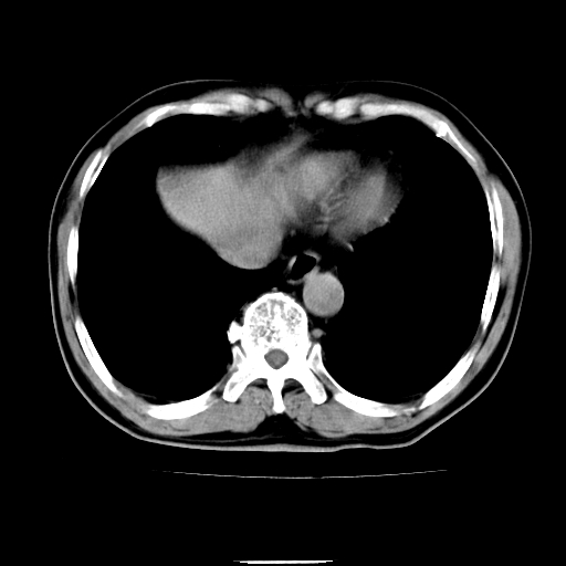
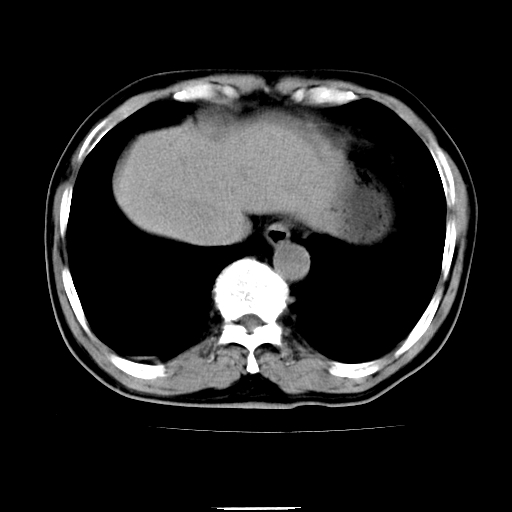
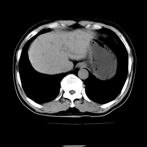
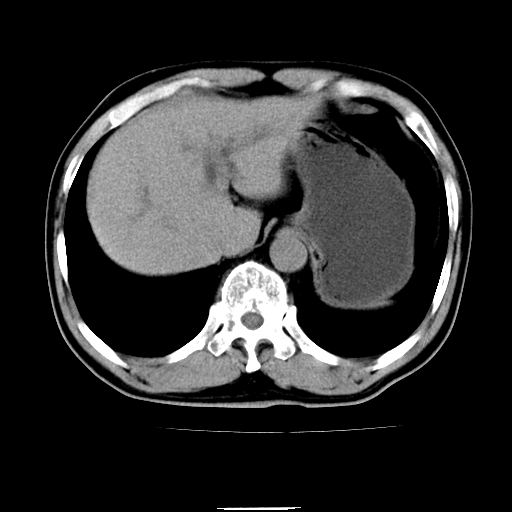
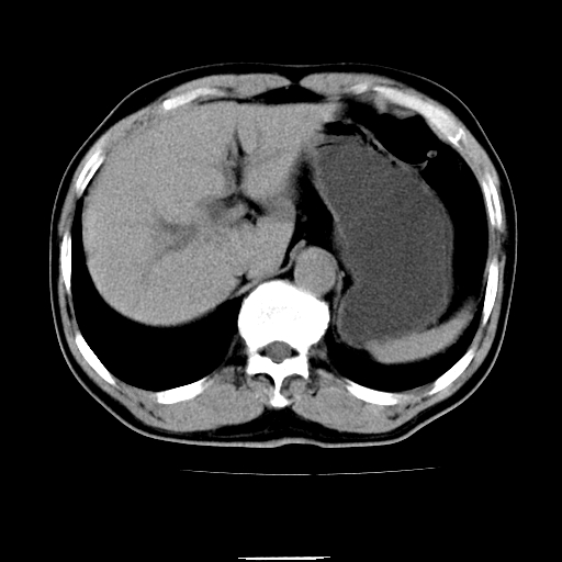
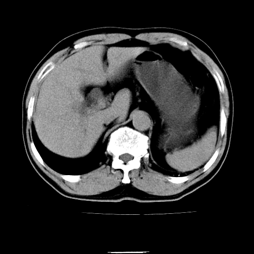
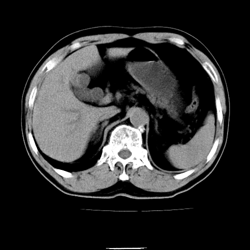
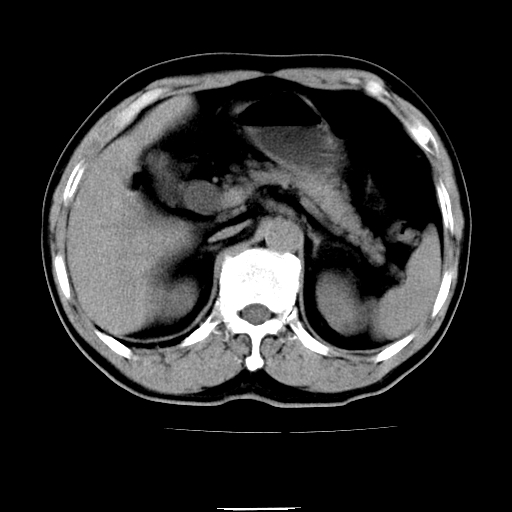
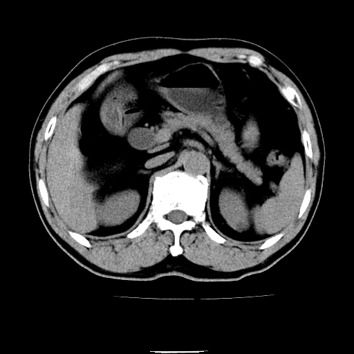
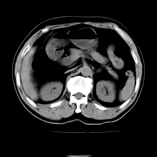
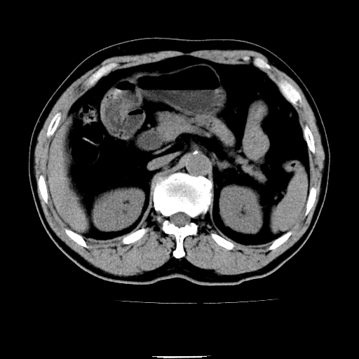
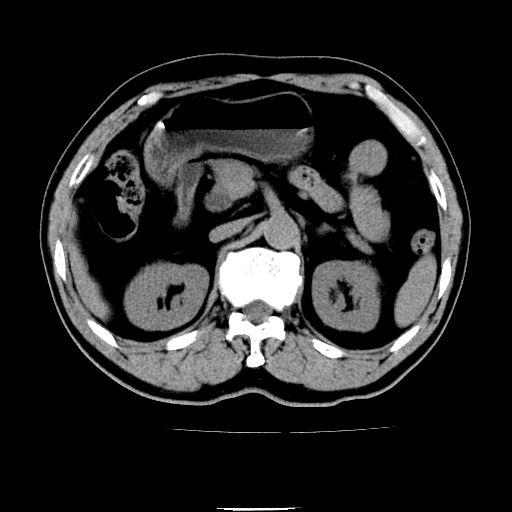
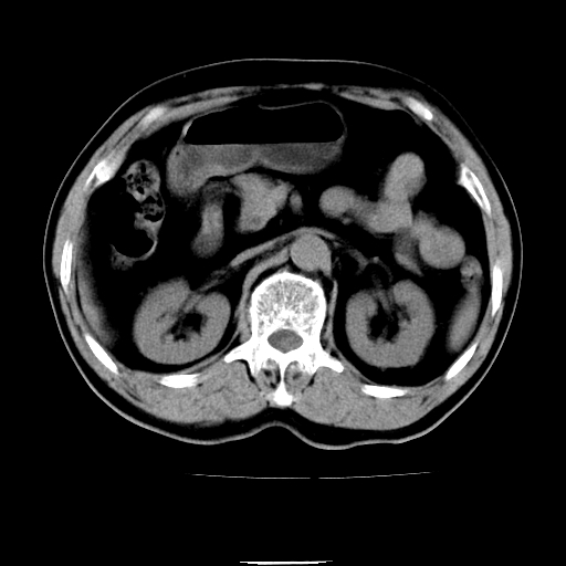
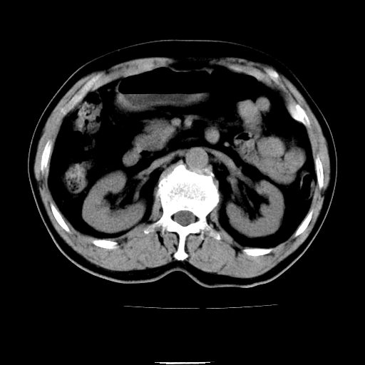
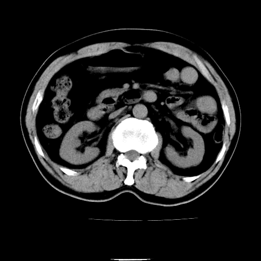
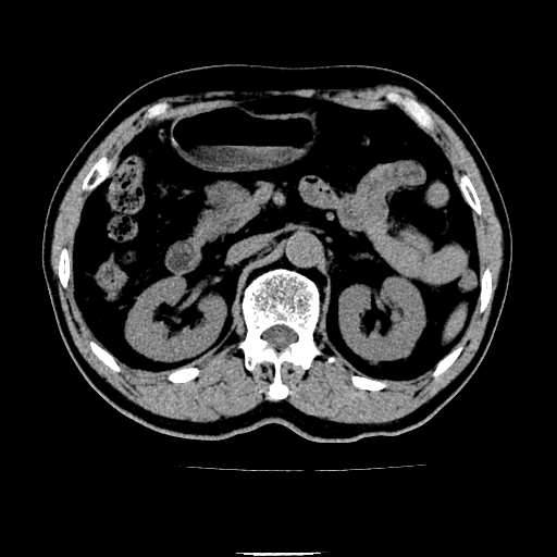
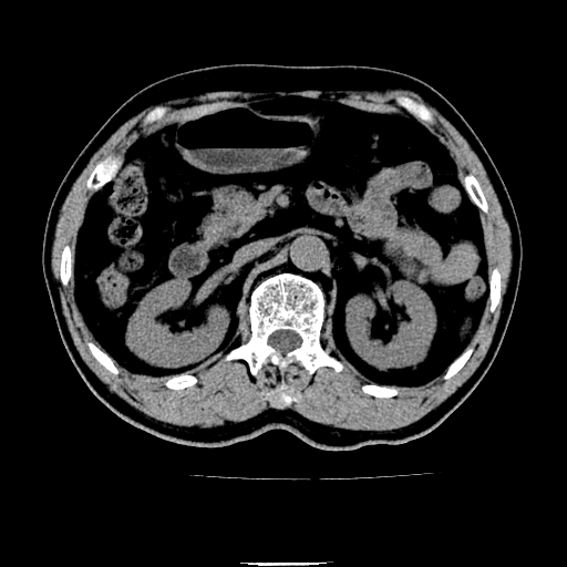
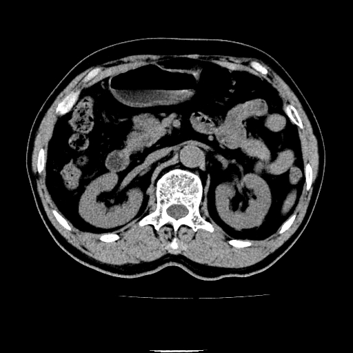
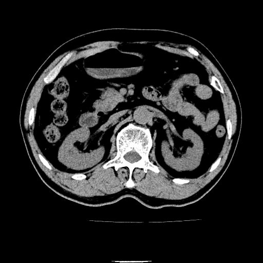
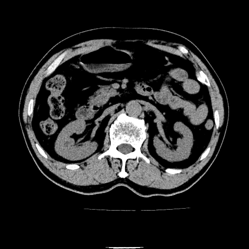
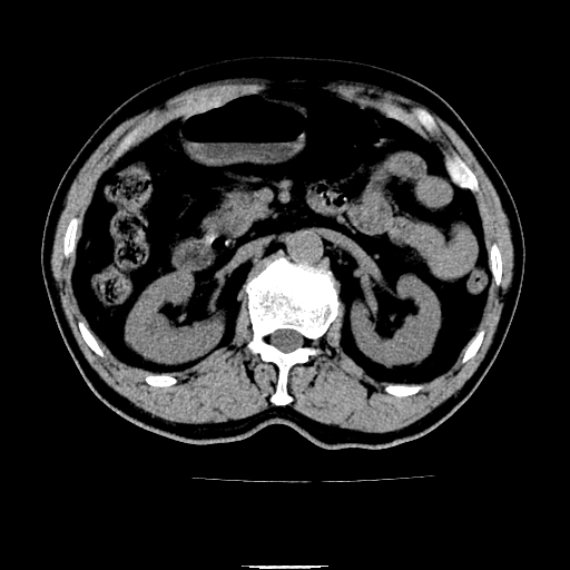
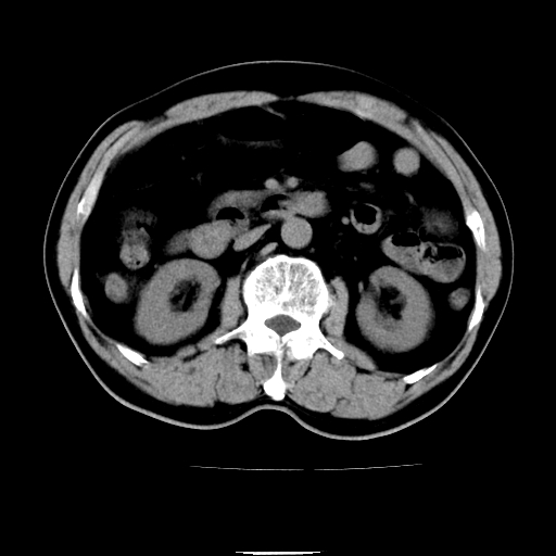
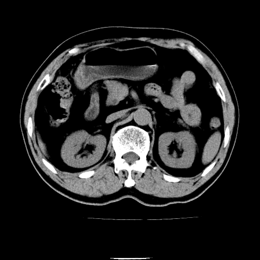
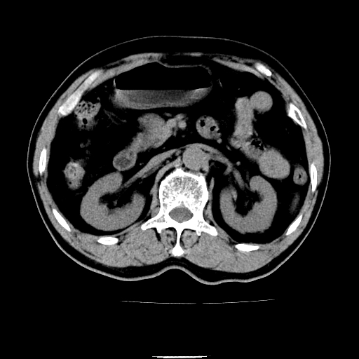
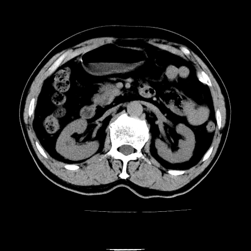
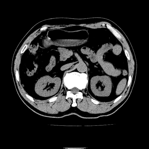
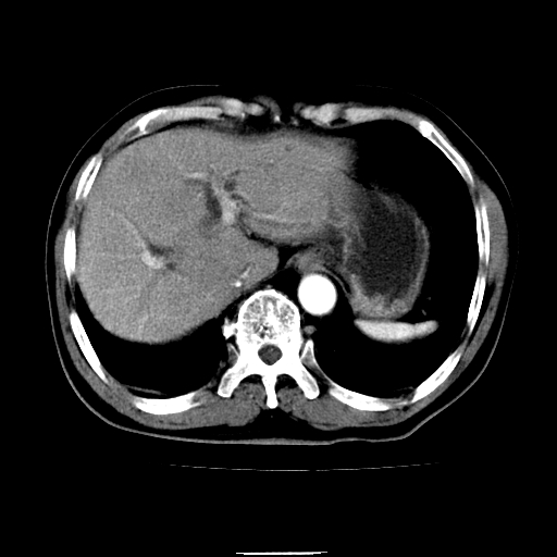
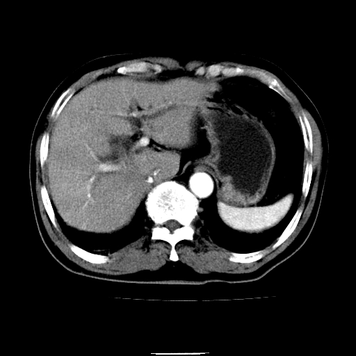
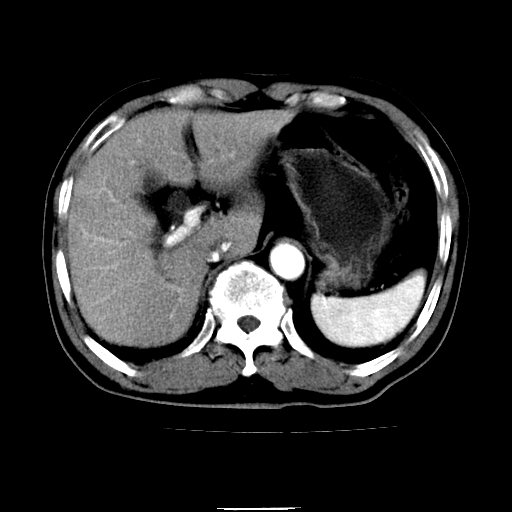
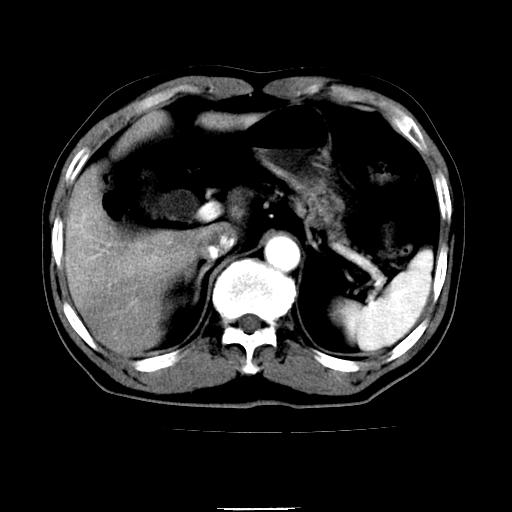
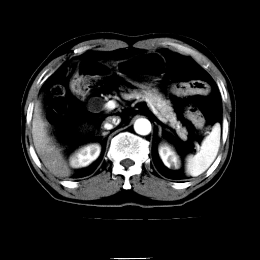
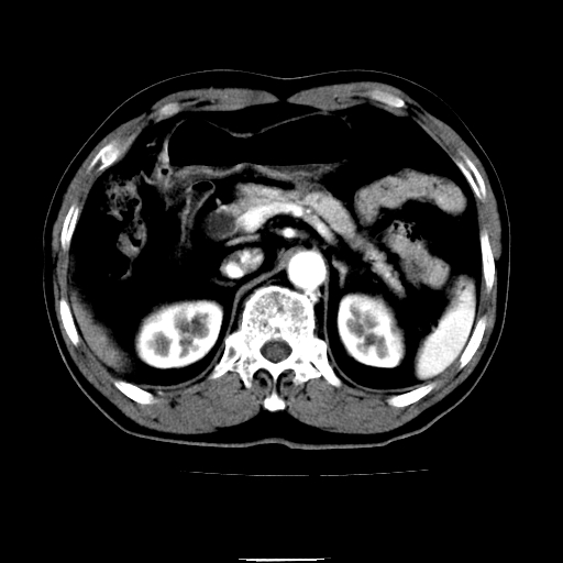
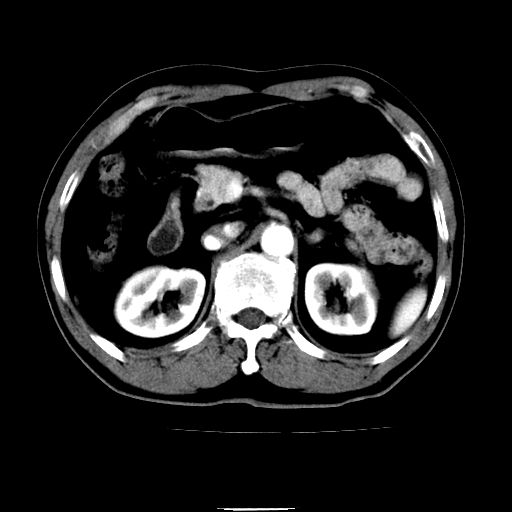
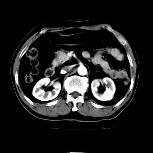
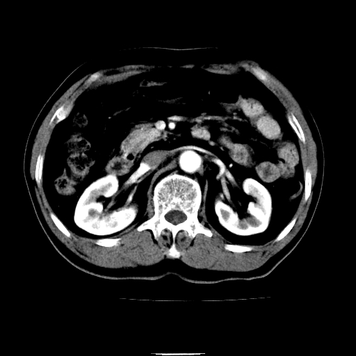
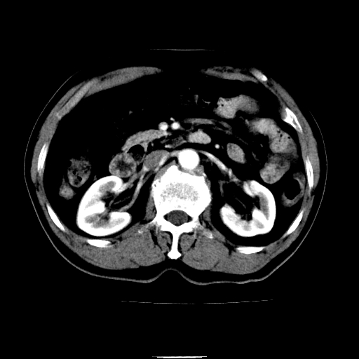
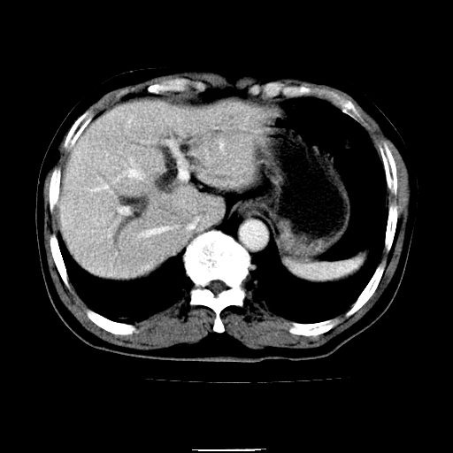
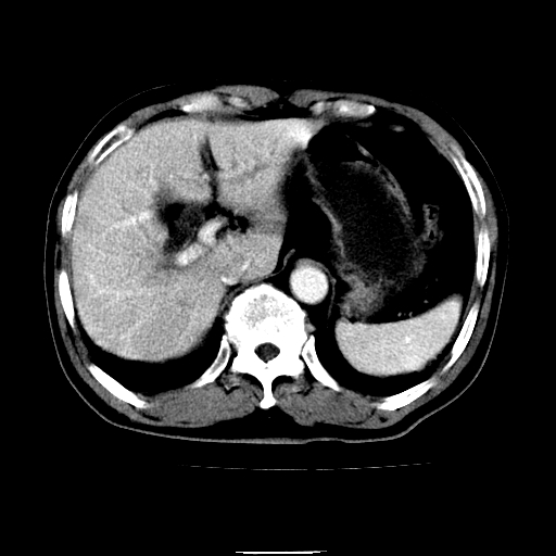
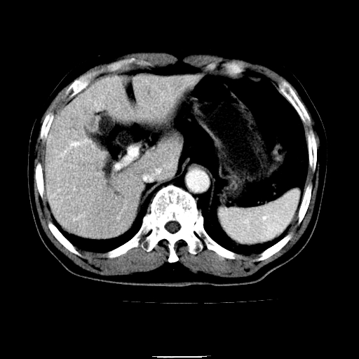
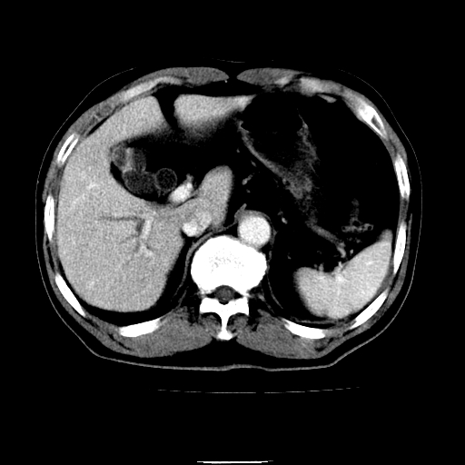
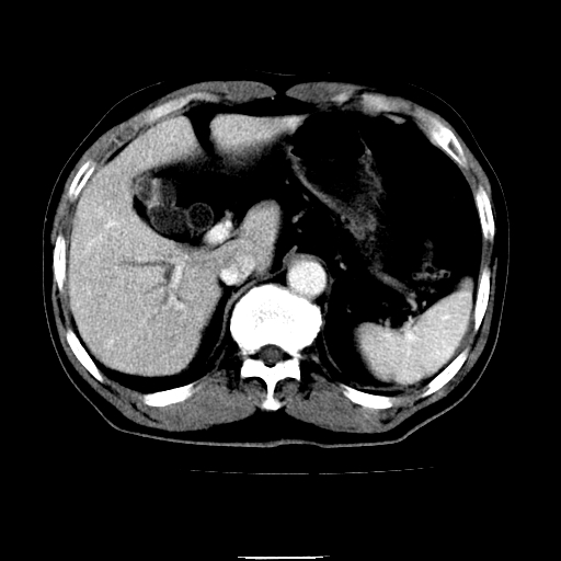
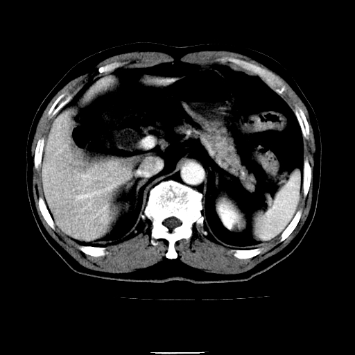
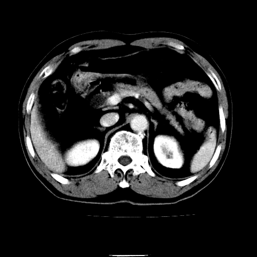
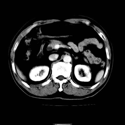
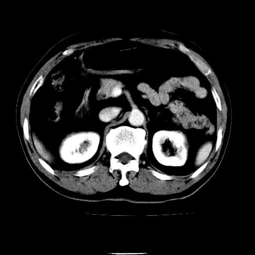
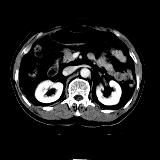
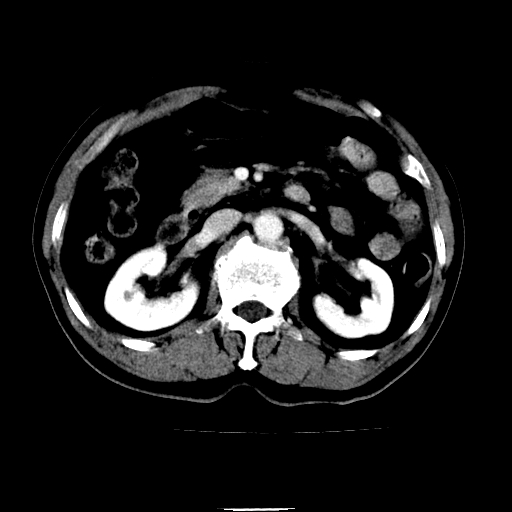
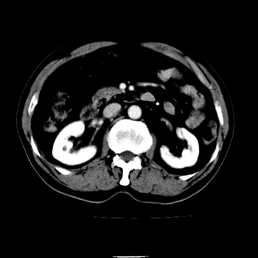
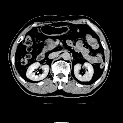
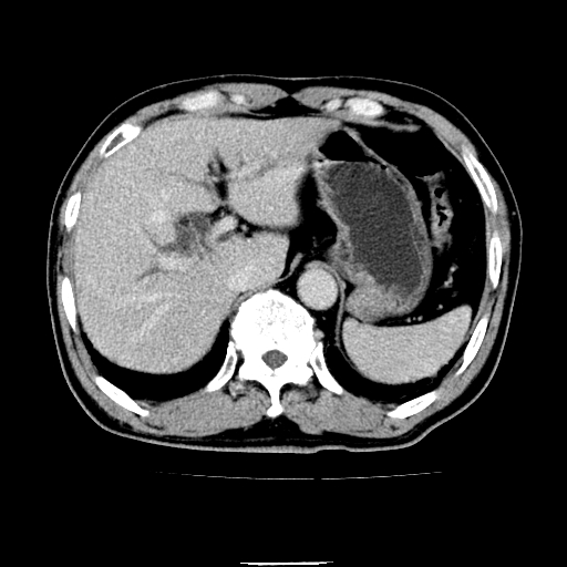
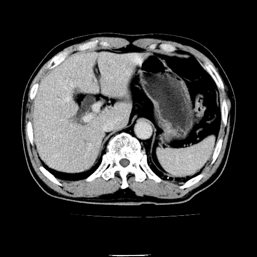
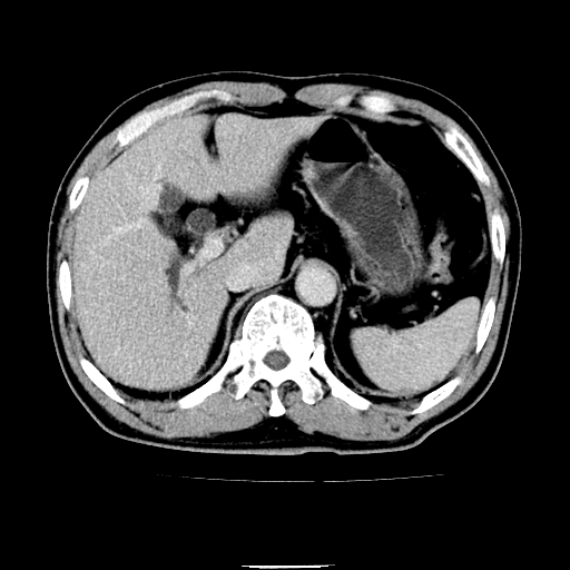
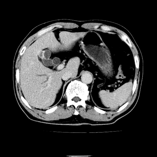
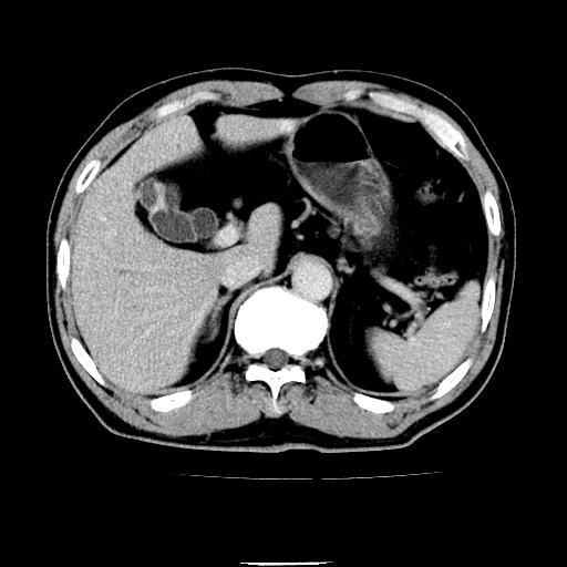
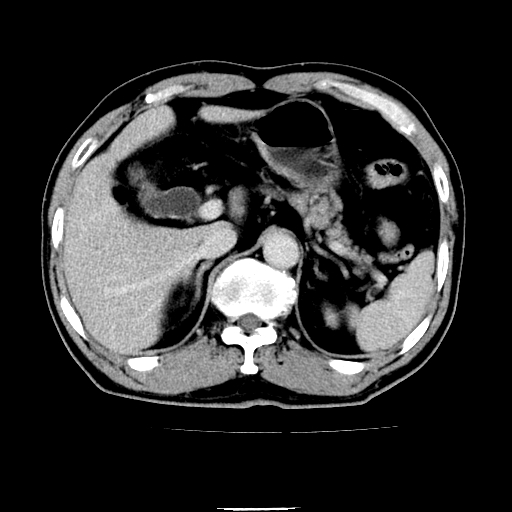
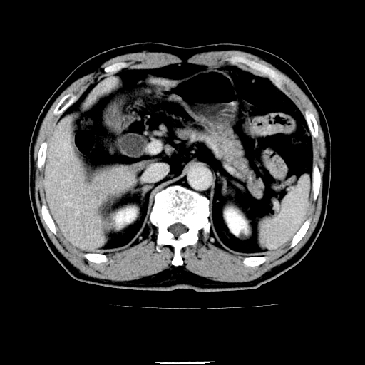
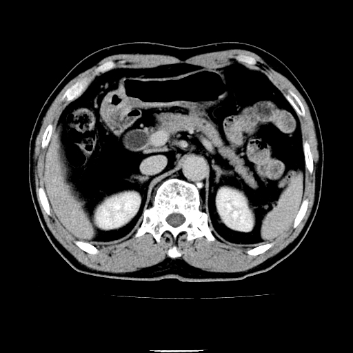
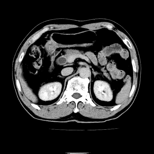
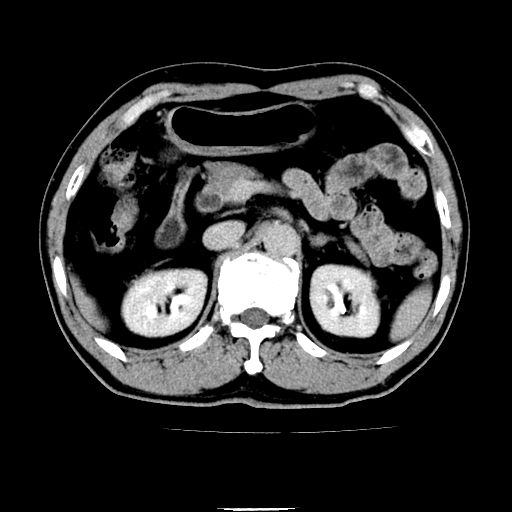
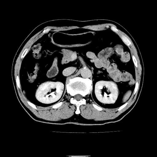
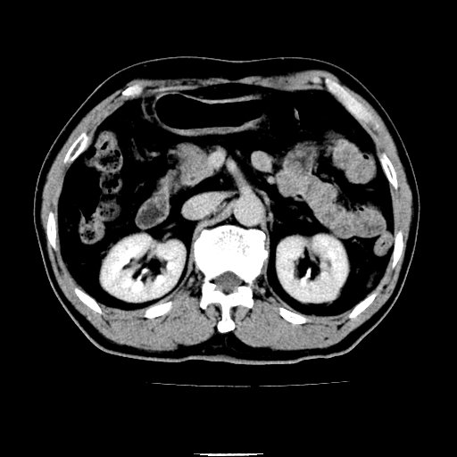
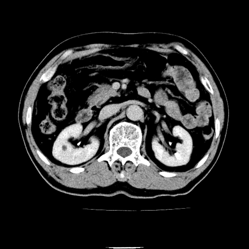
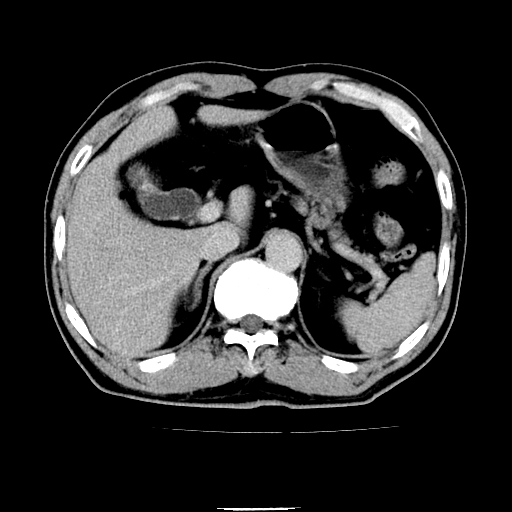
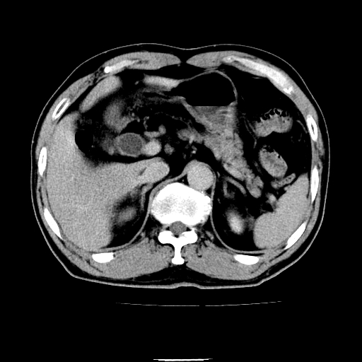
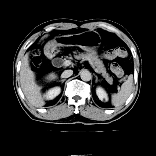
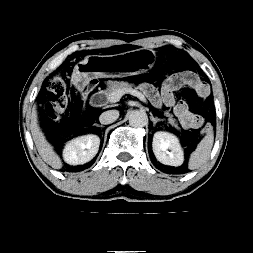
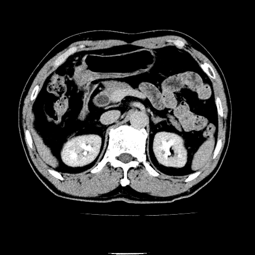
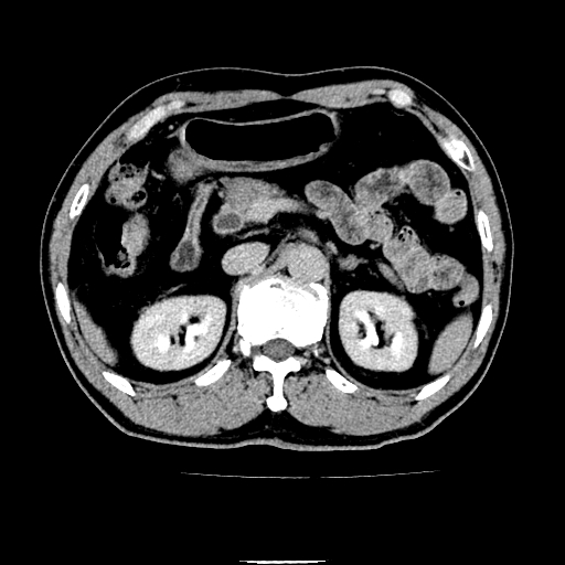
以下是引用chenqiong在2010-3-25 20:56:00的发言:[br]1、胆囊炎,胆囊息肉[br]2、肝内胆管及胆总管扩张,胆总管下端结石[br]3、十二指肠乳头旁憩室
以下是引用zxl51642在2010-3-26 10:47:00的发言:[br]胆囊炎,胆囊息肉,胆总管扩张,但未看到明显肿块,肝内胆管扩张不像恶性,炎性狭窄或阴性结石可能吧,建议mrcp,右肾小囊肿
| 欢迎光临 医影在线 (http://bbs.radida.com/bbs/) | Powered by Discuz! X3.2 |